RECEIVE 25% OFF PUBLISHED ANTIBODIES WITH CODE "PUB25"! Offer valid for US customers and available internationally through distributors.

CD5 Recombinant Antibody

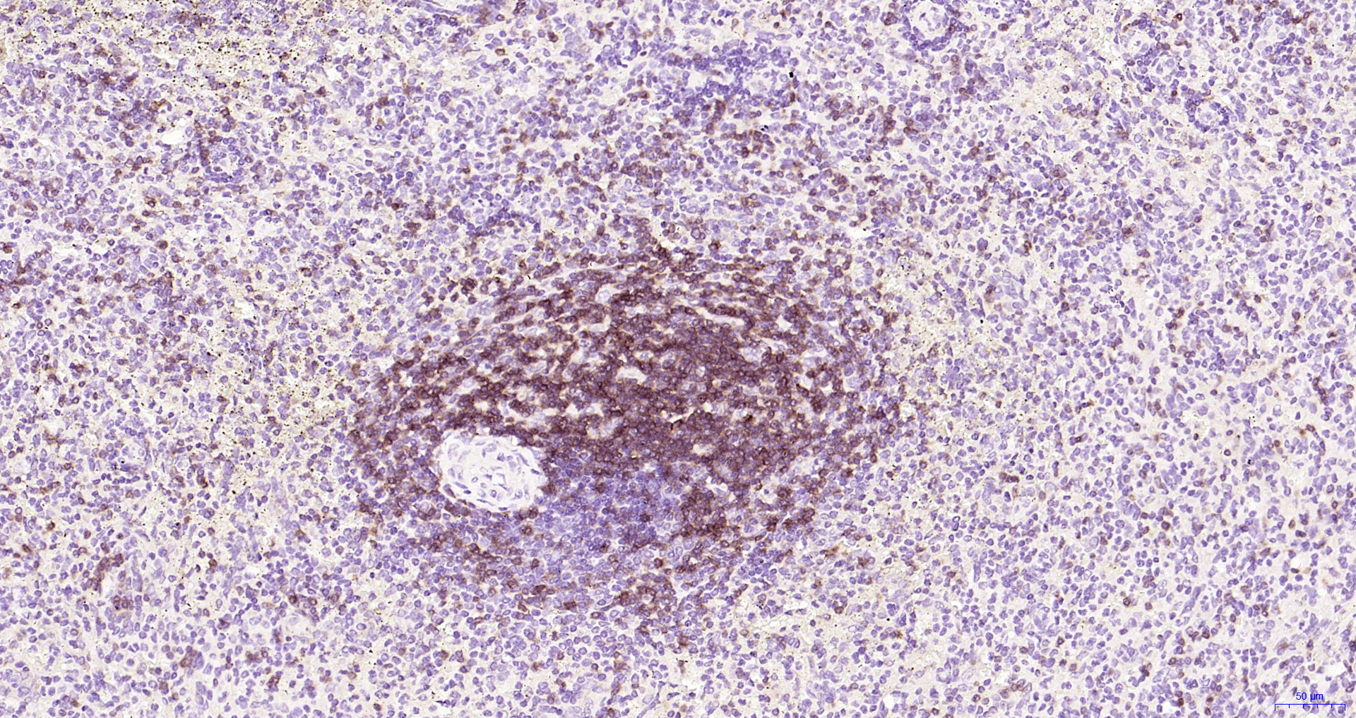
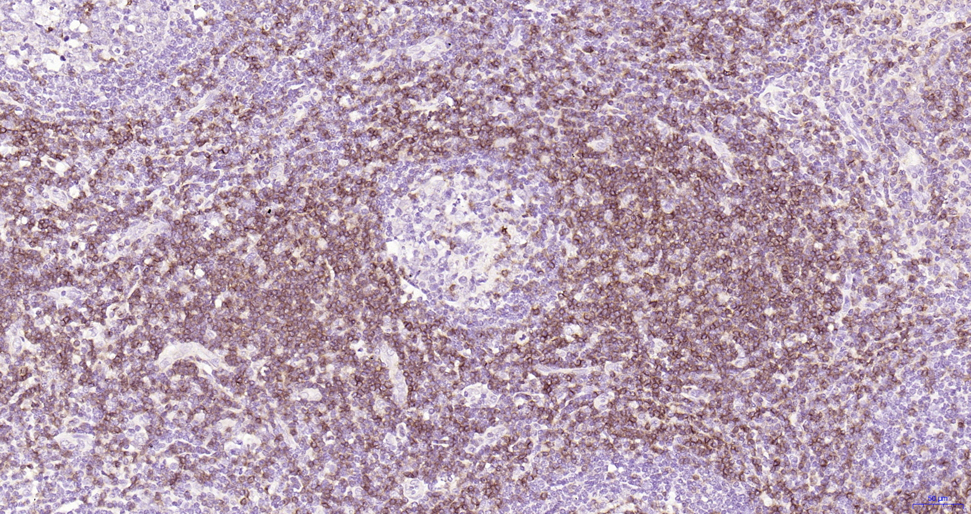
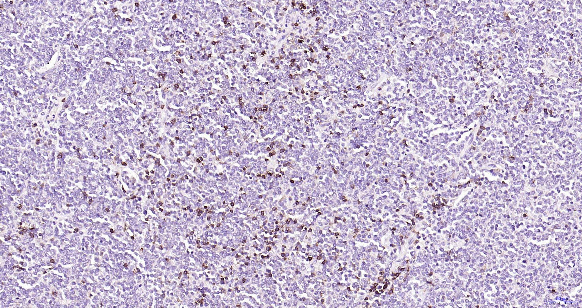
Applications

  • WB
  • IHC-P
  • IHC-F
  • IF(IHC-P)

Reactivity

  • Human
Overview
Catalog # bsm-61094r-100ul
Product Name CD5 Recombinant Antibody
Applications WB, IHC-P, IHC-F, IF(IHC-P)
Reactivity Human
Specifications
Conjugation Unconjugated
Host Rabbit
Source KLH conjugated synthetic peptide derived from human CD5
Clonality Recombinant
Isotype IgG
Concentration Lot dependent
Purification Purified by Protein A.
Storage Buffer 0.01M TBS(pH7.4) with 1% BSA, 0.02% Proclin300 and 50% Glycerol.
Storage Condition Shipped at 4C. Store at -20C for one year. Avoid repeated freeze/thaw cycles.
Target
Gene ID 921
Swiss Prot P06127
Subcellular location Cell membrane
Synonyms T-cell surface glycoprotein CD5; Lymphocyte antigen 1; Ly-1; Lyt-1; CD5 antigen; CD 5; CD5 molecule; CD5 antigen (p56 62); CD5_HUMAN; LEU 1; LEU1; Ly12; LyA; Lymphocyte Antigen CD5; Lymphocyte antigen T1/Leu 1; Lymphocyte antigen T1/Leu-1; Lymphocyte glycoprotein T1/Leu1; OTTHUMP00000236973; p56 62; T1.
Background May act as a receptor in regulating T-cell proliferation.
Application Dilution
WB 1:500-2000
IHC-P IHC-P1:50-200
IHC-F IHC-F1:50-200
IF(IHC-P) IFIHC-P1:50-200