RECEIVE 25% OFF PUBLISHED ANTIBODIES WITH CODE "PUB25"! Offer valid for US customers and available internationally through distributors.

Adiponectin Recombinant Antibody

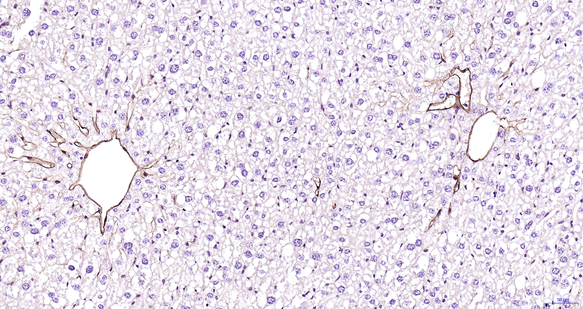
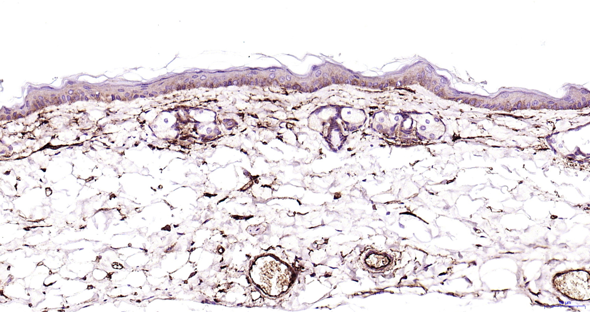
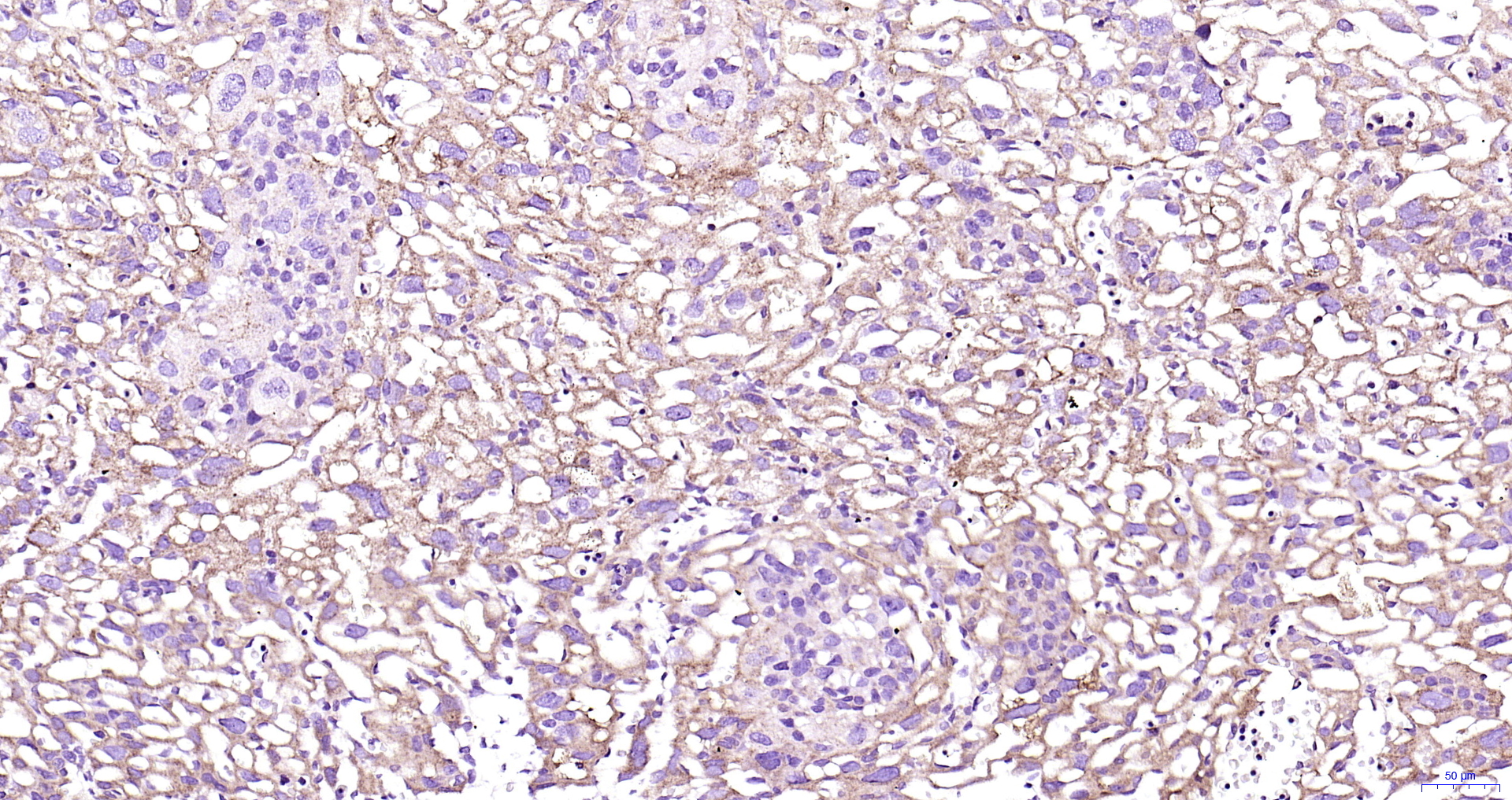
Applications

  • WB
  • IHC-P
  • IHC-F
  • IF(IHC-P)
  • IF(ICC)

Reactivity

  • Mouse
Overview
Catalog # bsm-61121r-100ul
Product Name Adiponectin Recombinant Antibody
Applications WB, IHC-P, IHC-F, IF(IHC-P), IF(ICC)
Reactivity Mouse
Specifications
Conjugation Unconjugated
Host Rabbit
Source KLH conjugated synthetic peptide derived from mouse Adiponectin
Clonality Recombinant
Isotype IgG
Concentration Lot dependent
Purification Purified by Protein A.
Storage Buffer 0.01M TBS (pH 7.4), 1% BSA, 0.02% Proclin 300, and 50% Glycerol
Storage Condition Shipped at 4C. Store at -20C for one year. Avoid repeated freeze/thaw cycles.
Target
Gene ID 11450
Swiss Prot Q60994
Subcellular location Secreted
Synonyms 30 kDa adipocyte complement related protein; ACDC; ACRP30; Adipocyte; Adipocyte C1q and collagen domain containing protein; Adipocyte complement related 30 kDa protein; Adipocyte complement related protein of 30 kDa; adipocyte-specific secretory protein; Adiponectin; Adiponectin precursor; adiponectin, C1Q and collagen domain containing; Adipoq; Adipose most abundant gene transcript 1; Adipose specific collagen like factor; ADIPQTL1; ADPN; APM1; C1q and collagen domain-containing protein; GBP28; Gelatin binding protein; Gelatin binding protein 28.
Background Important adipokine involved in the control of fat metabolism and insulin sensitivity, with direct anti-diabetic, anti-atherogenic and anti-inflammatory activities. Stimulates AMPK phosphorylation and activation in the liver and the skeletal muscle, enhancing glucose utilization and fatty-acid combustion.
Application Dilution
WB 1:500-2000
IHC-P IHC-P1:50-200
IHC-F IHC-F1:50-200
IF(IHC-P) IFIHC-P1:50-200
IF(ICC) IFICC1:50-200