RECEIVE 25% OFF PUBLISHED ANTIBODIES WITH CODE "PUB25"! Offer valid for US customers and available internationally through distributors.

HSP90 beta Recombinant Antibody

Applications

  • WB
  • FCM
  • IHC-P
  • IHC-F
  • IF(IHC-P)
  • IF(ICC)
  • IP

Reactivity

  • Human
  • Mouse
  • Rat
Overview
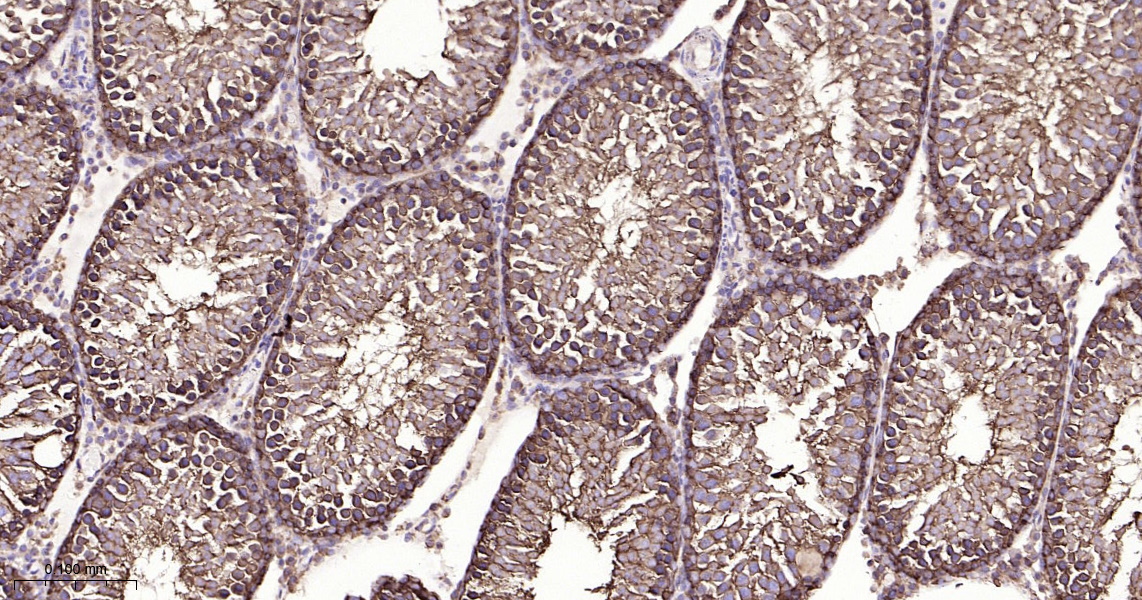
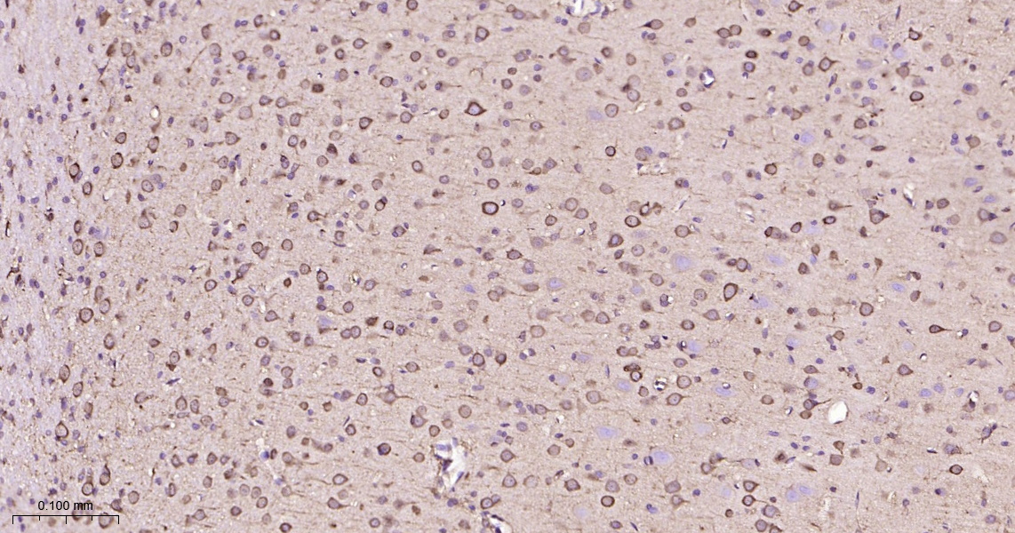
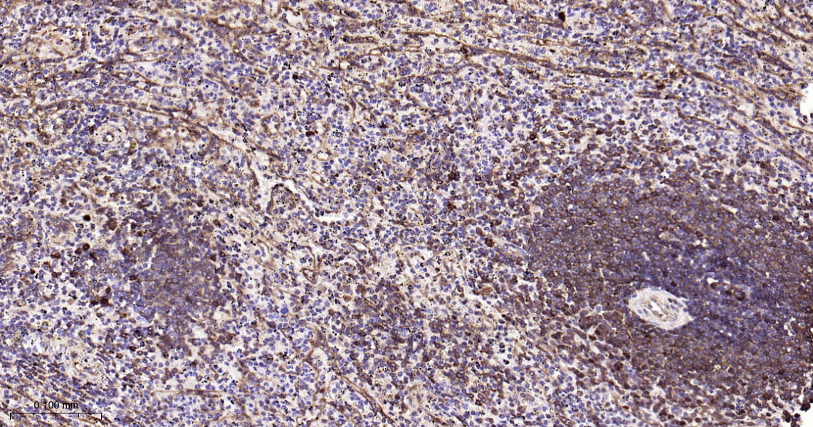
Catalog # bsm-61128r-100ul
Product Name HSP90 beta Recombinant Antibody
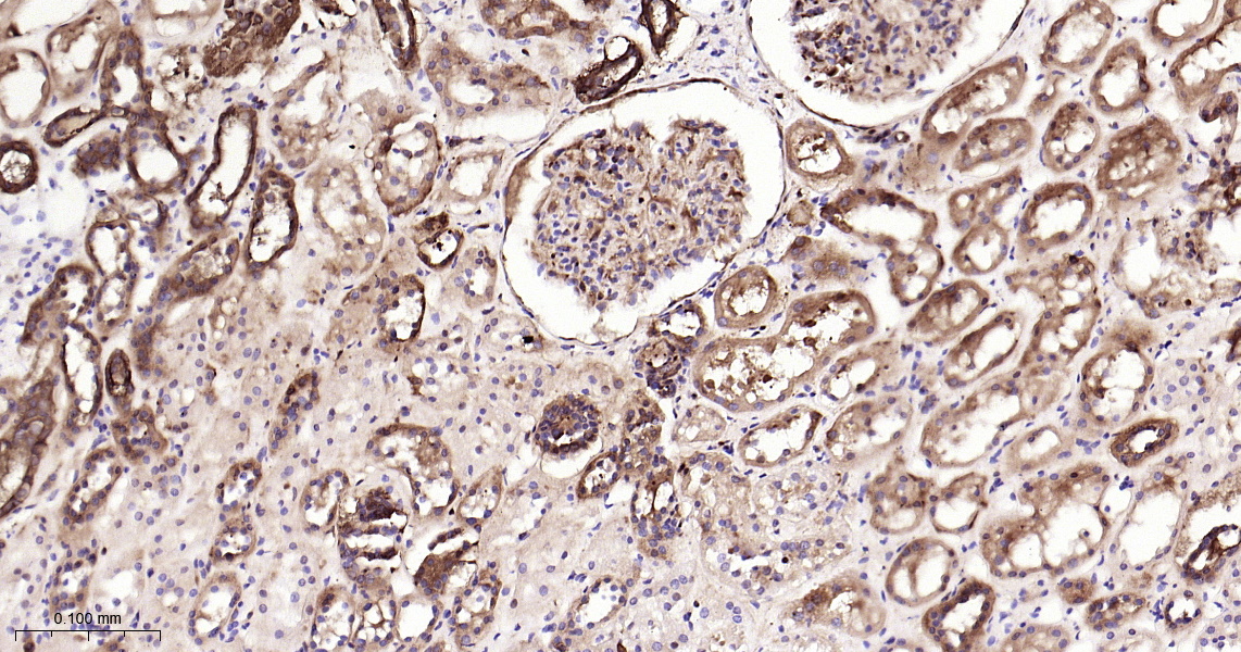
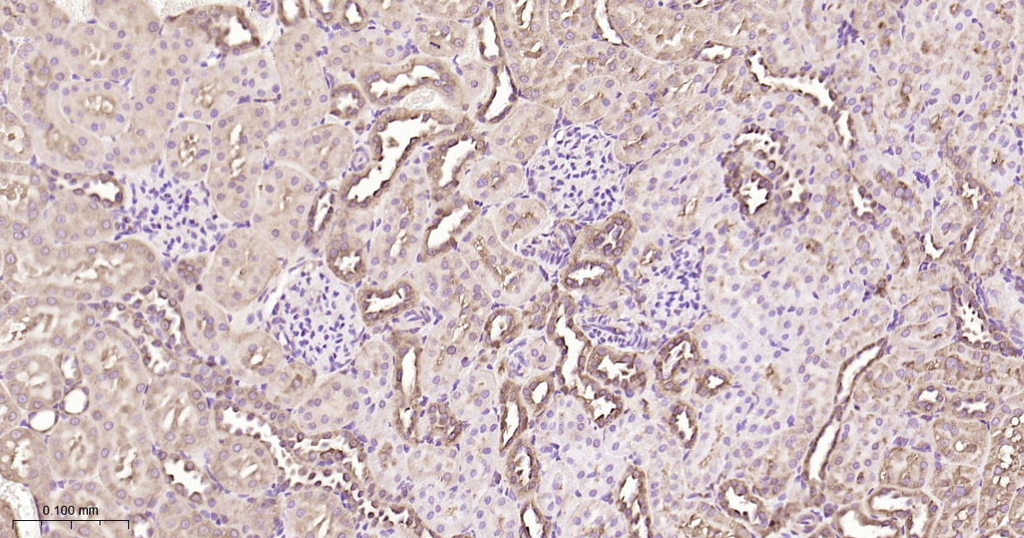
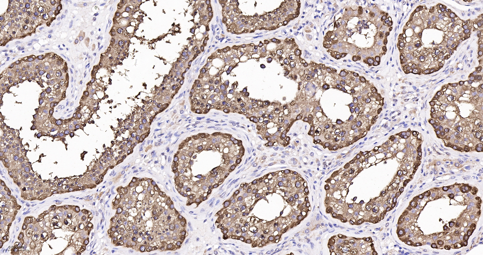
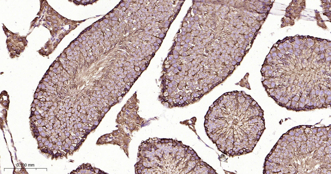
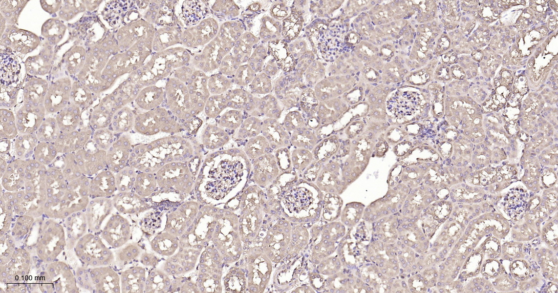
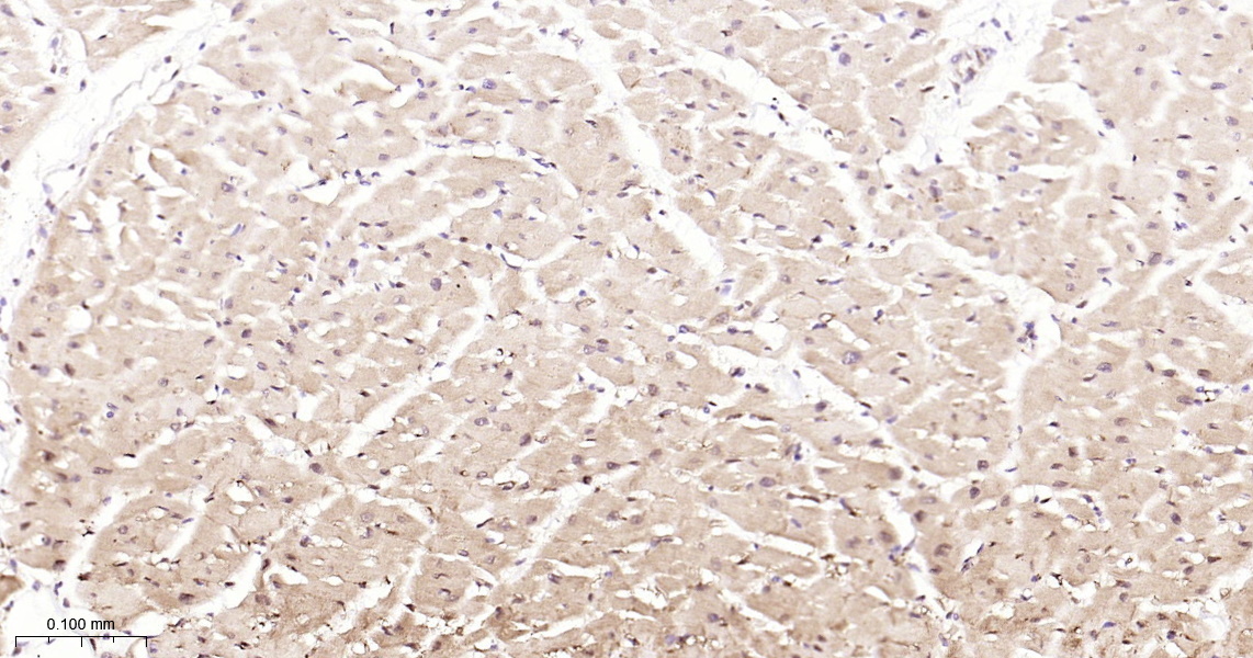
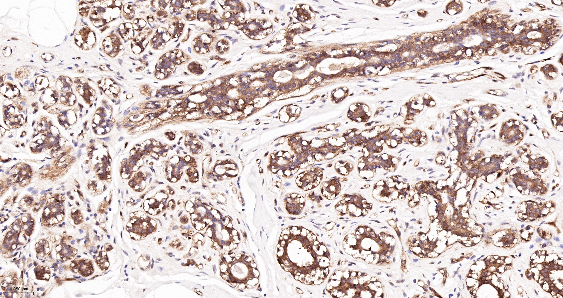
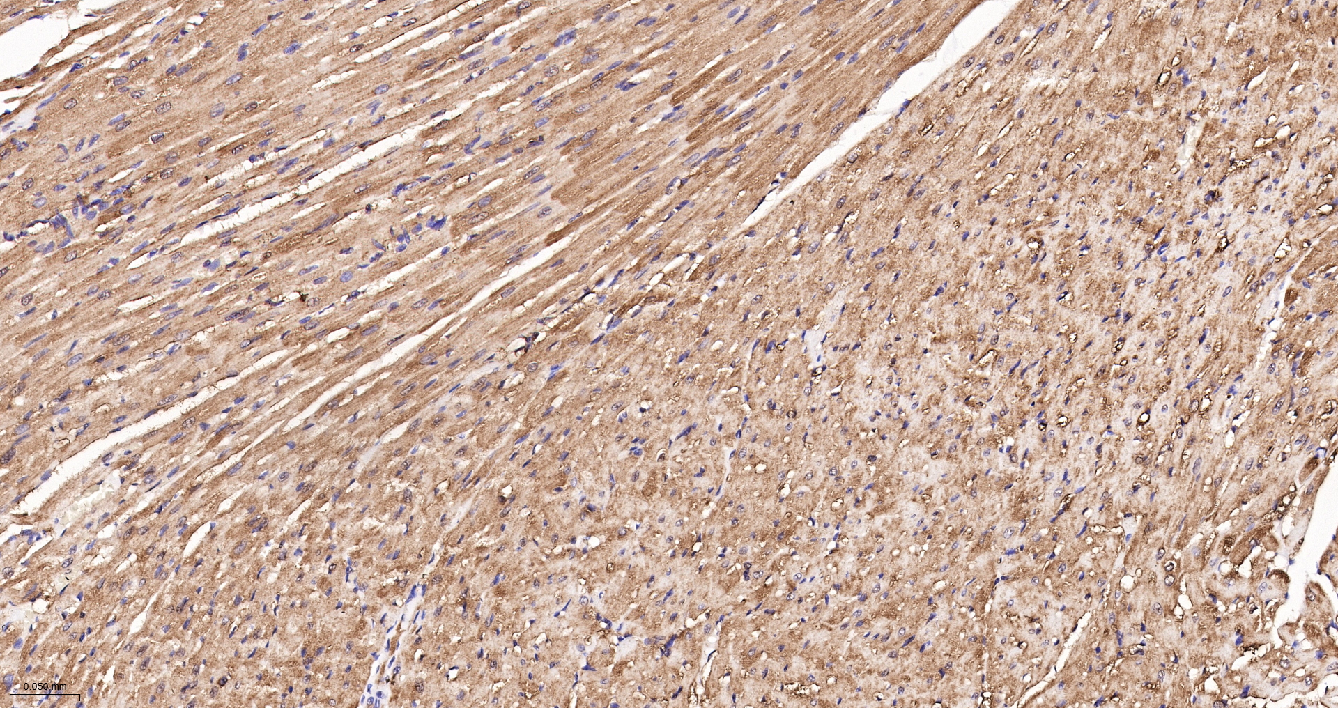
Applications WB, FCM, IHC-P, IHC-F, IF(IHC-P), IF(ICC), IP
Reactivity Human, Mouse, Rat
Specifications
Conjugation Unconjugated
Host Rabbit
Source KLH conjugated synthetic peptide derived from human Hsp90 beta
Clonality Recombinant
Isotype IgG
Concentration 1 mg/ml
Purification Purified by Protein A.
Storage Buffer 0.01M TBS (pH 7.4), 1% BSA, 0.02% Proclin 300, and 50% Glycerol
Storage Condition Shipped at 4C. Store at -20C for one year. Avoid repeated freeze/thaw cycles.
Target
Gene ID 3326
Swiss Prot P08238
Subcellular location Cytoplasm
Synonyms HS90B;HSP 84;HSP90-beta;HSP90AB1; HSPC2; HSPCB; Heat shock protein HSP 90-beta.
Background Molecular chaperone that promotes the maturation, structural maintenance and proper regulation of specific target proteins involved for instance in cell cycle control and signal transduction.
Application Dilution
WB 1:1000-5000
FCM FCM1ug/Test
IHC-P IHC-P1:100-500
IHC-F IHC-F1:100-500
IF(IHC-P) IFIHC-P1:100-500
IF(ICC) IFICC1:100-500
IP IP1:20-50