Receive 30% off all Monoclonal IHC antibodies with code "MONO-IHC-30"! Offer valid for US customers and available internationally through distributors.

CK II alpha Recombinant Antibody

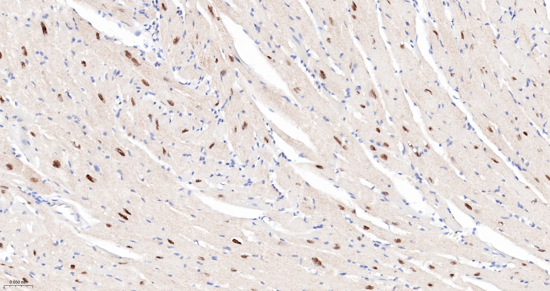
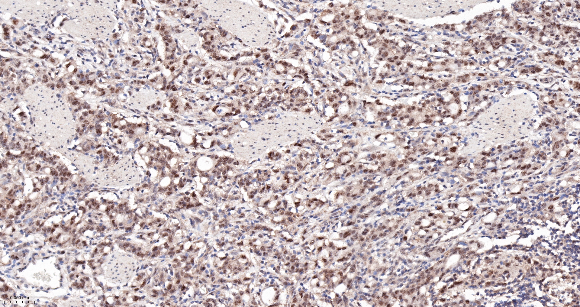
Applications

  • WB
  • IHC-P
  • IHC-F
  • IF
  • Flow-Cyt

Reactivity

  • Human
  • Mouse
  • Rat
Overview
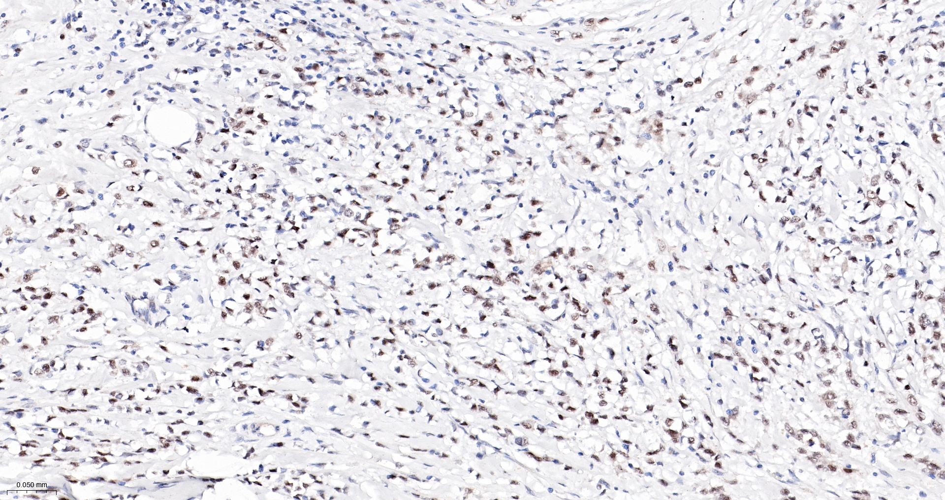
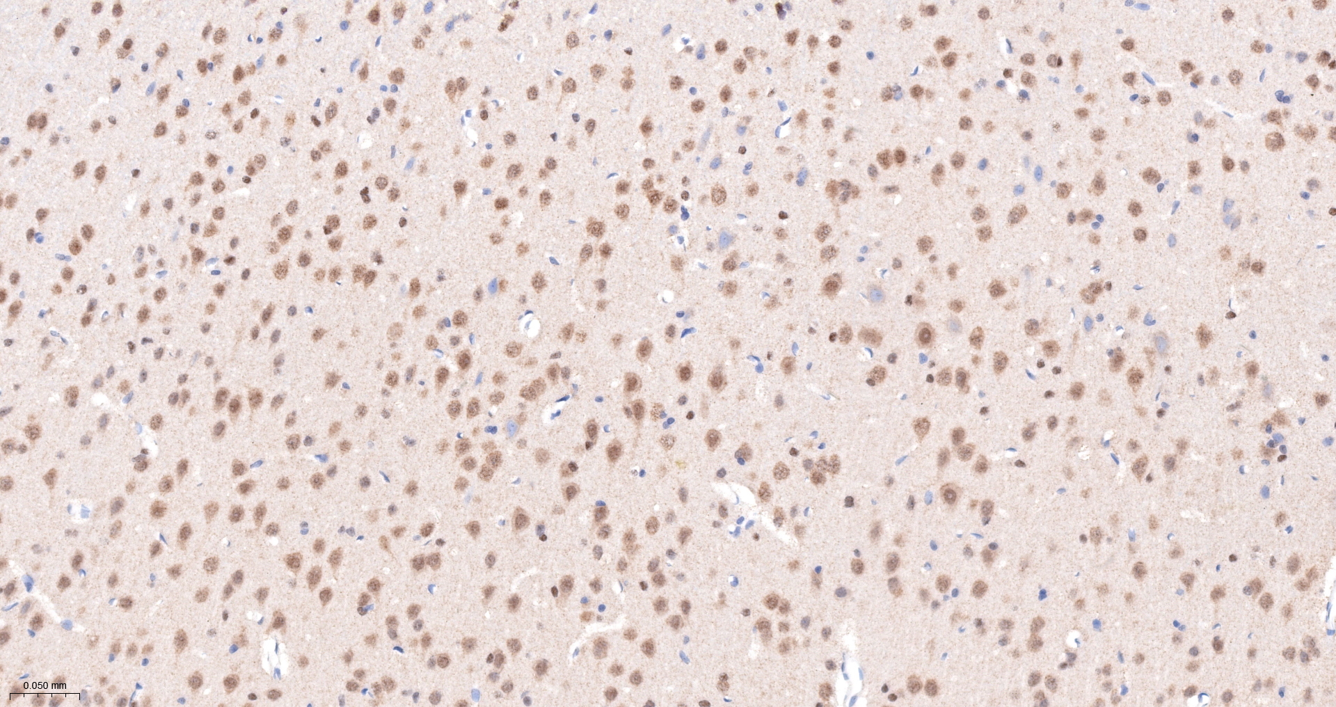
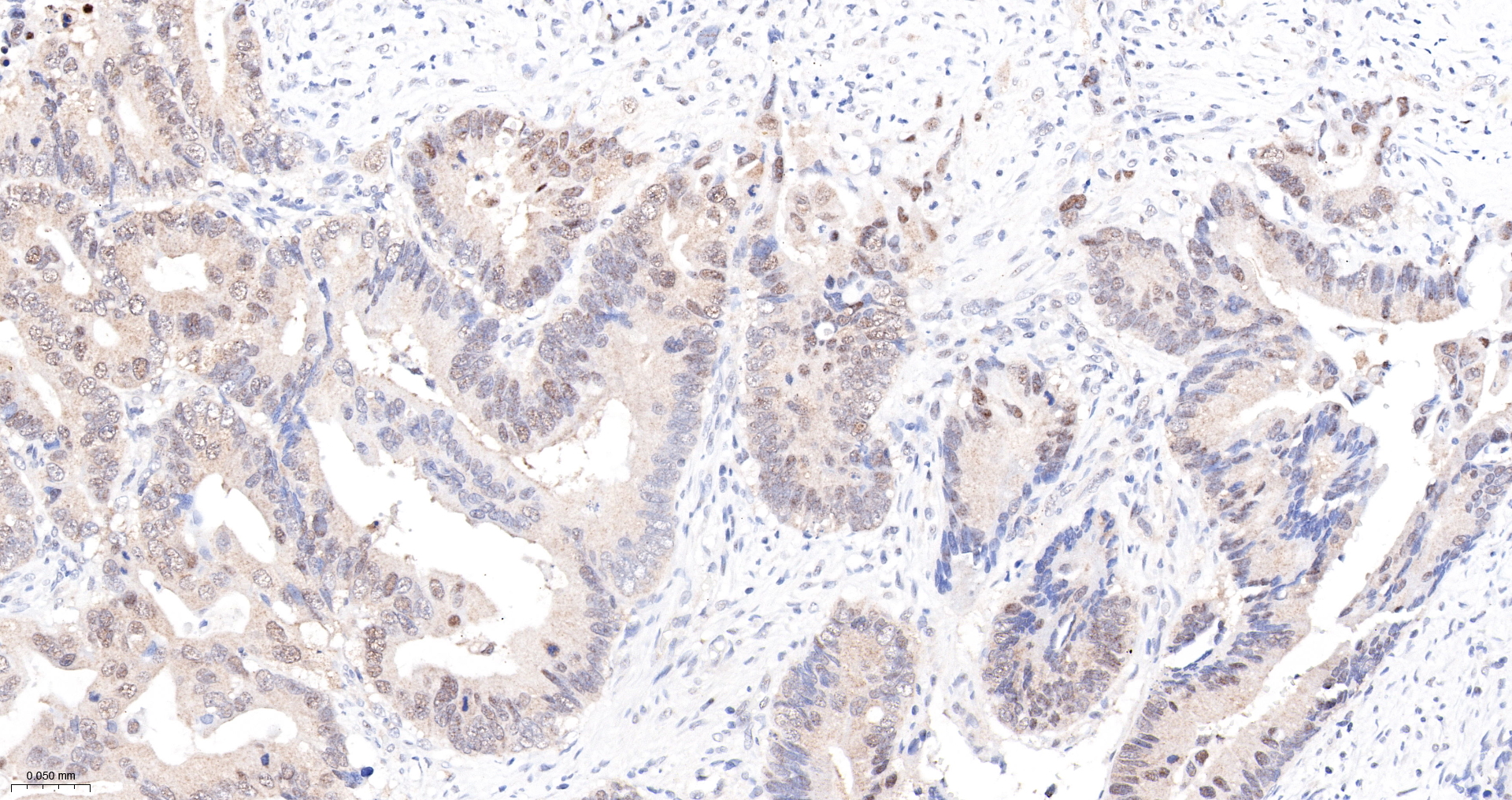
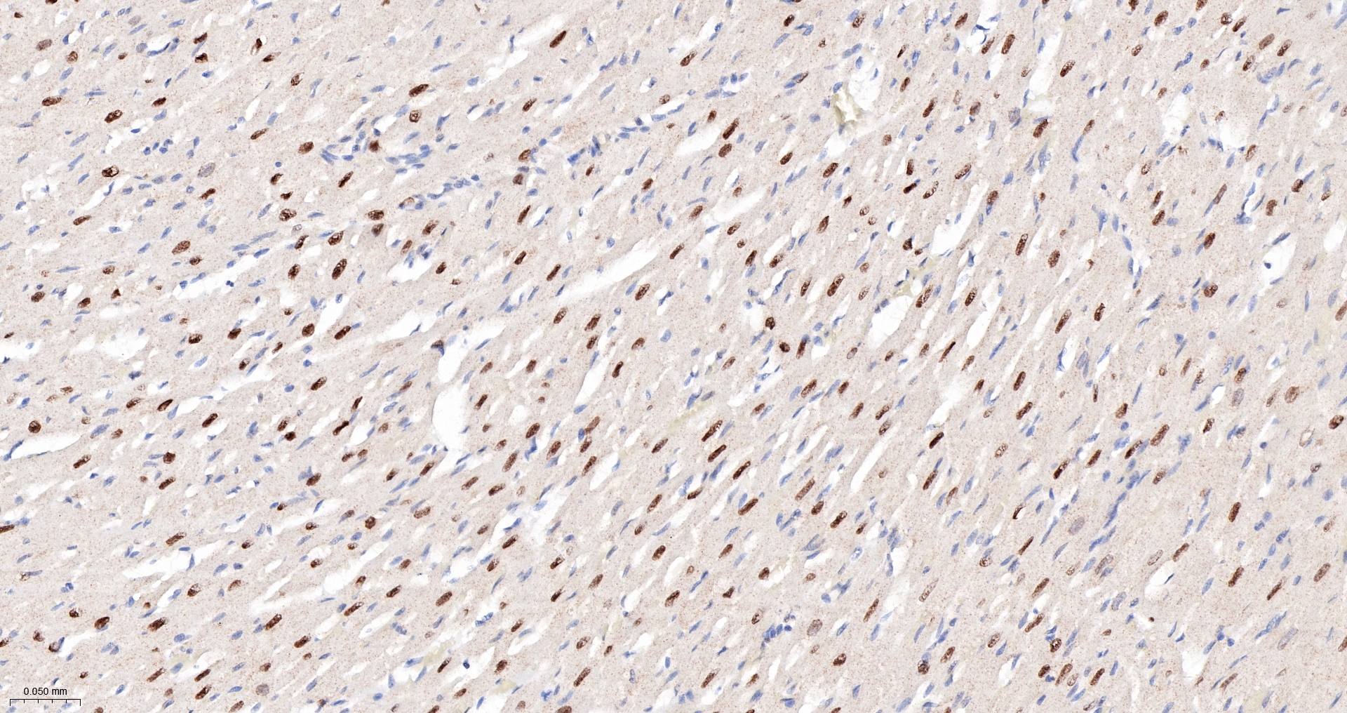
Catalog # bsm-61133r
Product Name CK II alpha Recombinant Antibody
Applications WB, IHC-P, IHC-F, IF, Flow-Cyt
Reactivity Human, Mouse, Rat
Specifications
Conjugation Unconjugated
Host Rabbit
Source KLH conjugated synthetic peptide derived from human CK II alpha
Clonality Recombinant
Isotype IgG
Concentration Lot dependent
Purification Purified by Protein A.
Storage Buffer 0.01M TBS (pH 7.4), 1% BSA, 0.02% Proclin 300, and 50% Glycerol
Storage Condition Shipped at 4C. Store at -20C for one year. Avoid repeated freeze/thaw cycles.
Target
Gene ID 1457
Swiss Prot P68400
Subcellular location Nucleus
Synonyms Casein kinase 2 alpha 1 polypeptide;Casein kinase II alpha subunit;CK II alpha;CK2 alpha;CK2A1;CKIIalpha;CSNK2A1.
Background Catalytic subunit of a constitutively active serine/threonine-protein kinase complex that phosphorylates a large number of substrates containing acidic residues C-terminal to the phosphorylated serine or threonine. Regulates numerous cellular processes, such as cell cycle progression, apoptosis and transcription, as well as viral infection. May act as a regulatory node which integrates and coordinates numerous signals leading to an appropriate cellular response.
Application Dilution
WB 1:300-5000
IHC-P 1:200-400
IHC-F 1:100-500
IF
Flow-Cyt 1ug/Test