RECEIVE 25% OFF PUBLISHED ANTIBODIES WITH CODE "PUB25"! Offer valid for US customers and available internationally through distributors.

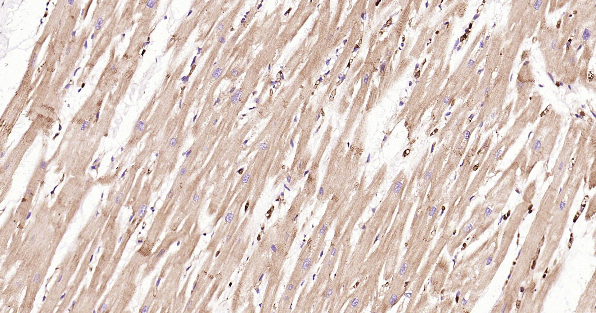
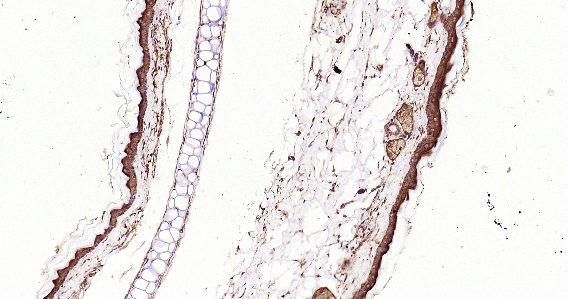
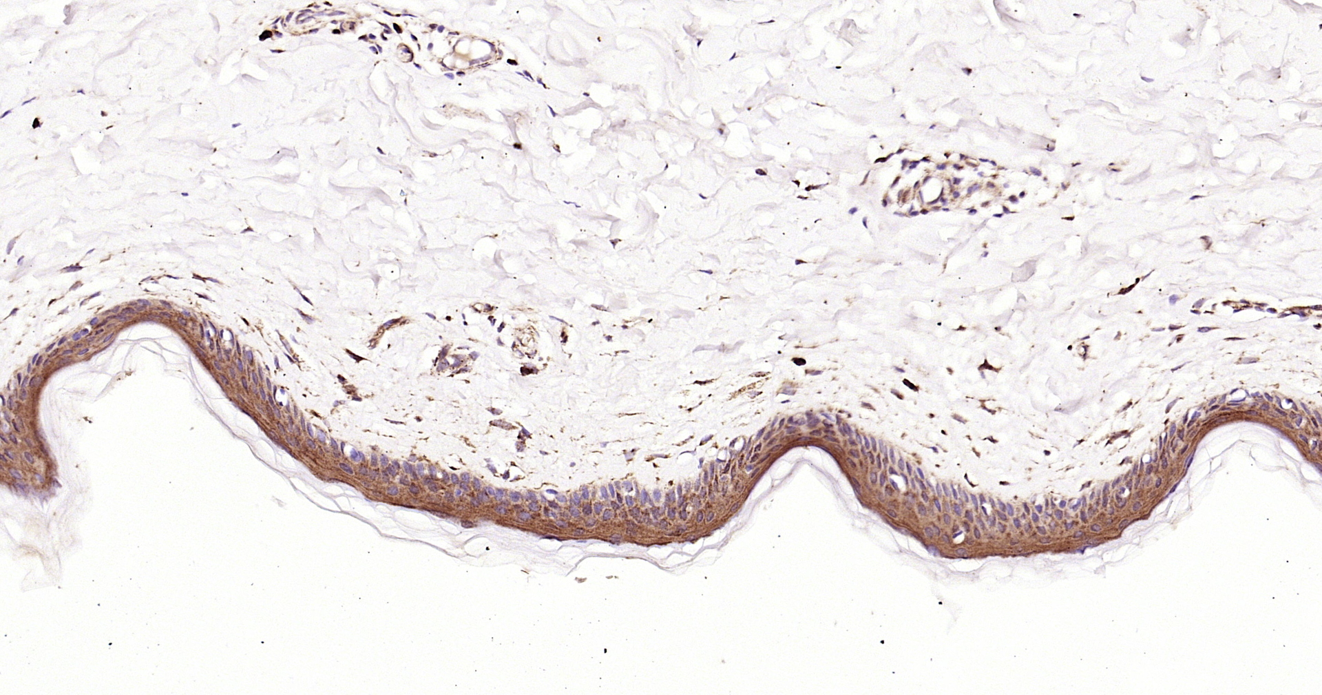
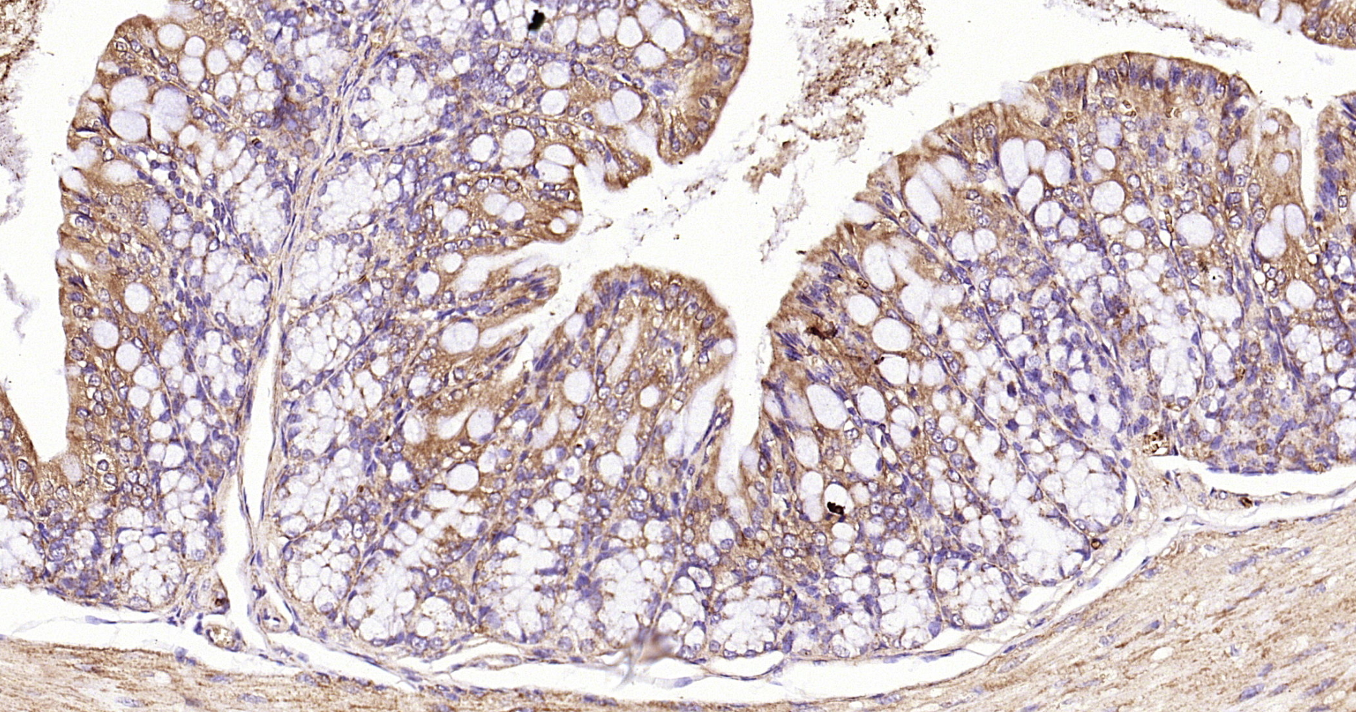
APAF1 Recombinant Antibody

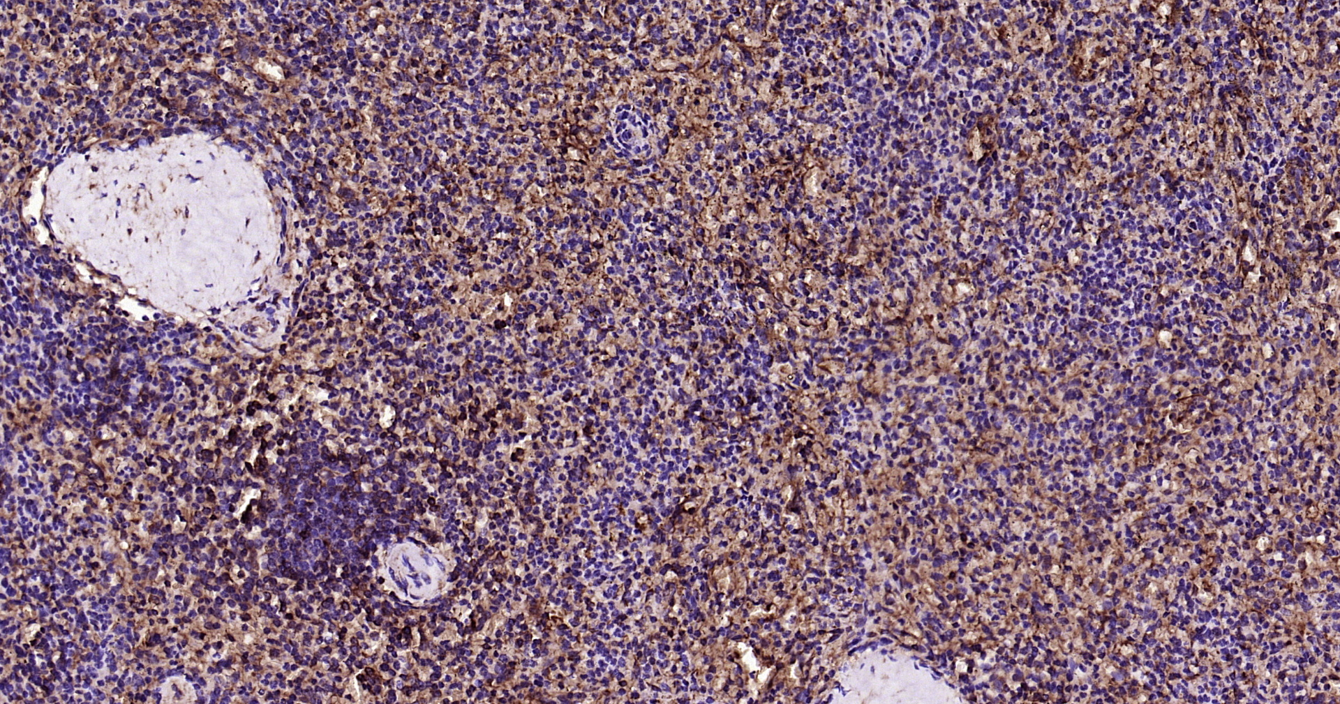
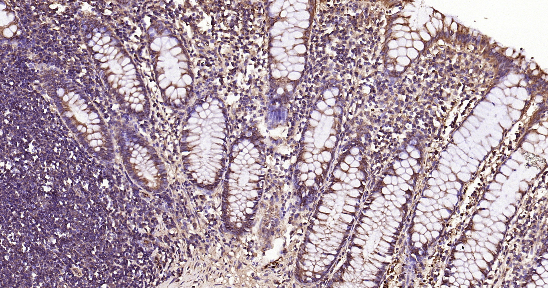
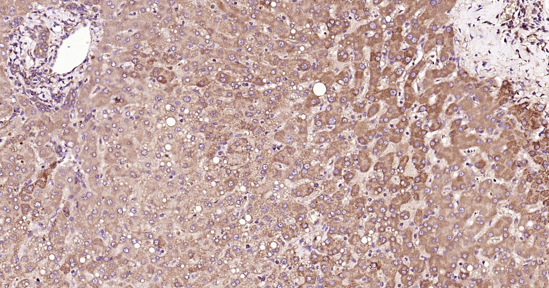
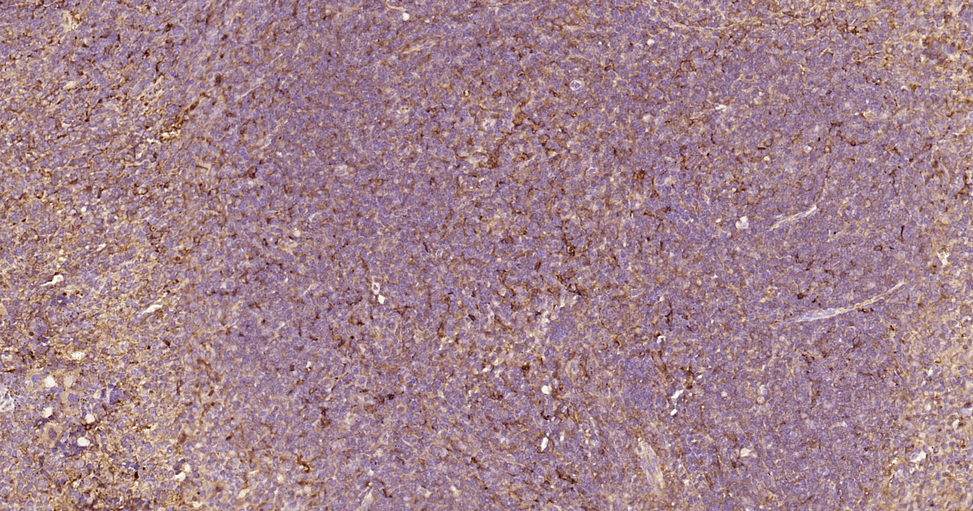
Applications

  • WB
  • IHC-P
  • IHC-F
  • IF(IHC-P)
  • IF(ICC)

Reactivity

  • Human
  • Mouse
Overview
Catalog # bsm-61152r-100ul
Product Name APAF1 Recombinant Antibody
Applications WB, IHC-P, IHC-F, IF(IHC-P), IF(ICC)
Reactivity Human, Mouse
Specifications
Conjugation Unconjugated
Host Rabbit
Source KLH conjugated synthetic peptide derived from human APAF 1
Clonality Recombinant
Isotype IgG
Concentration Lot dependent
Purification Purified by Protein A.
Storage Buffer 0.01M TBS (pH 7.4), 1% BSA, 0.02% Proclin 300, and 50% Glycerol
Storage Condition Shipped at 4C. Store at -20C for one year. Avoid repeated freeze/thaw cycles.
Target
Gene ID 317
Swiss Prot O14727
Subcellular location Cytoplasm
Synonyms APAF; APAF-1; APAF1; apoptotic peptidase activating factor 1; apoptotic protease activating factor 1; Apoptotic protease-activating factor 1; CED4; DKFZp781B1145; KIAA0413.
Background Oligomeric Apaf-1 mediates the cytochrome c-dependent autocatalytic activation of pro-caspase-9 (Apaf-3), leading to the activation of caspase-3 and apoptosis. This activation requires ATP. Isoform 6 is less effective in inducing apoptosis.
Application Dilution
WB 1:500-2000
IHC-P IHC-P1:100-500
IHC-F IHC-F1:100-500
IF(IHC-P) IFIHC-P1:100-500
IF(ICC) IFICC1:50-200