RECEIVE 25% OFF PUBLISHED ANTIBODIES WITH CODE "PUB25"! Offer valid for US customers and available internationally through distributors.

Cathepsin D Recombinant Antibody

Applications

  • WB
  • FCM
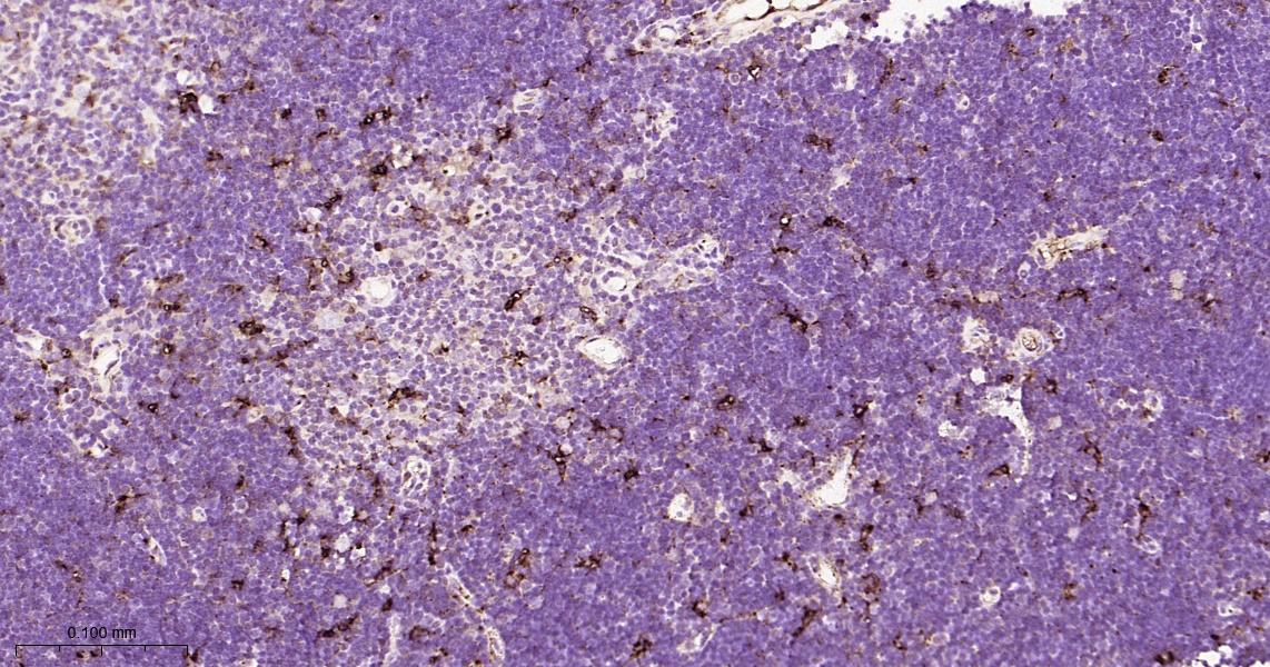
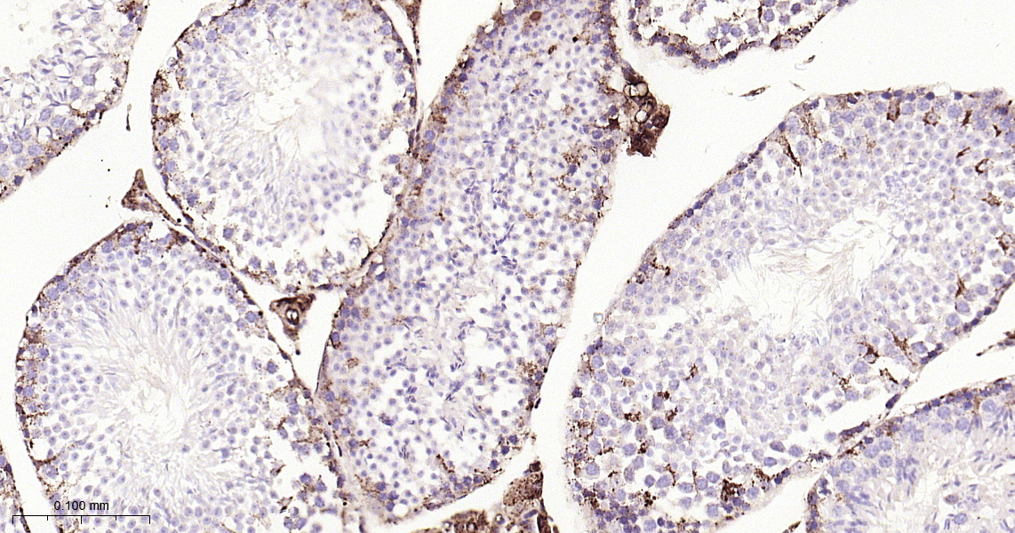
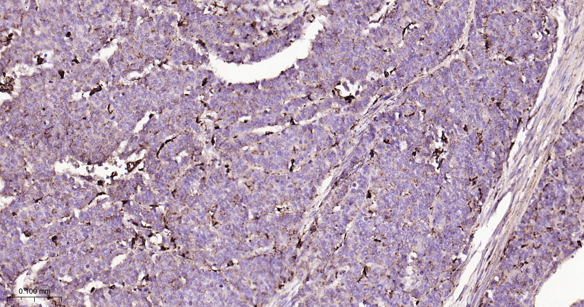
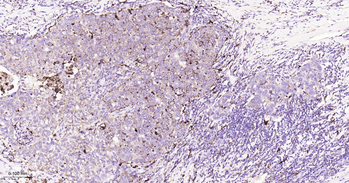
  • IHC-P
  • IHC-F
  • IF(IHC-P)
  • IF(ICC)
  • IP

Reactivity

  • Human
  • Mouse
Overview
Catalog # bsm-61164r-100ul
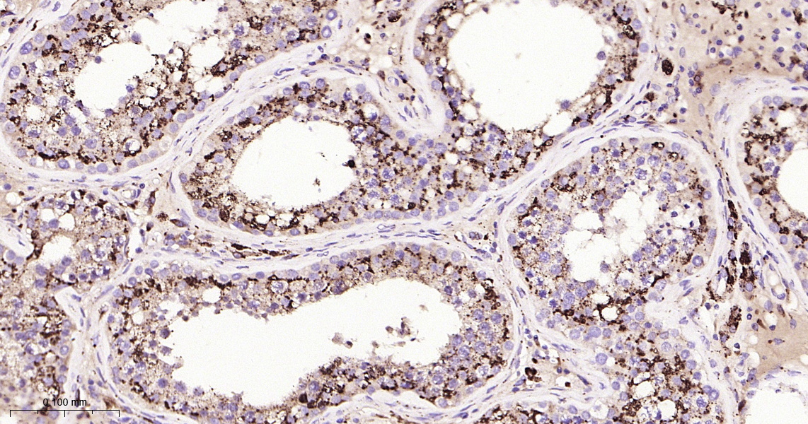
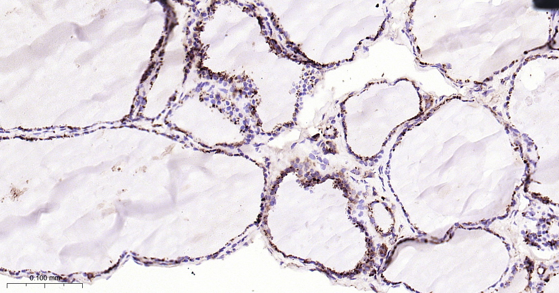
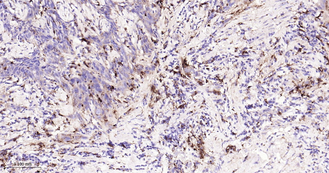
Product Name Cathepsin D Recombinant Antibody
Applications WB, FCM, IHC-P, IHC-F, IF(IHC-P), IF(ICC), IP
Reactivity Human, Mouse
Specifications
Conjugation Unconjugated
Host Rabbit
Source KLH conjugated synthetic peptide derived from human Cathepsin D
Clonality Recombinant
Isotype IgG
Concentration Lot dependent
Purification Purified by Protein A.
Storage Buffer 0.01M TBS (pH 7.4), 1% BSA, 0.02% Proclin 300, and 50% Glycerol
Storage Condition Shipped at 4C. Store at -20C for one year. Avoid repeated freeze/thaw cycles.
Target
Gene ID 1509
Swiss Prot P07339
Subcellular location Cytoplasm, Secreted
Synonyms CATD; Cathepsin D; Cathepsin D heavy chain; Cathepsin D light chain; ceroid-lipofuscinosis, neuronal 10; CLN10; CPSD; CTSD; lysosomal aspartyl peptidase; lysosomal aspartyl protease; MGC2311.
Background Acid protease active in intracellular protein breakdown. Plays a role in APP processing following cleavage and activation by ADAM30 which leads to APP degradation. Involved in the pathogenesis of several diseases such as breast cancer and possibly Alzheimer disease.
Application Dilution
WB 1:500-2000
FCM FCM1:50-100
IHC-P IHC-P1:100-500
IHC-F IHC-F1:100-500
IF(IHC-P) IFIHC-P1:100-500
IF(ICC) IFICC1:50-200
IP IP1:20-50