RECEIVE 25% OFF PUBLISHED ANTIBODIES WITH CODE "PUB25"! Offer valid for US customers and available internationally through distributors.

GATA2/3 Recombinant Antibody

Applications

  • WB
  • IHC-P
  • IHC-F
  • IF(IHC-P)
  • IF(ICC)
  • IP

Reactivity

  • Human
  • Rat

Predicted Reactivity

  • Mouse
Overview
Catalog # bsm-61203r-100ul
Product Name GATA2/3 Recombinant Antibody
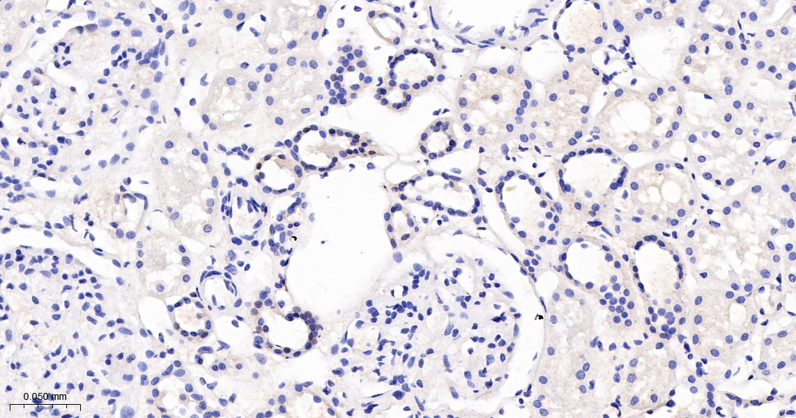
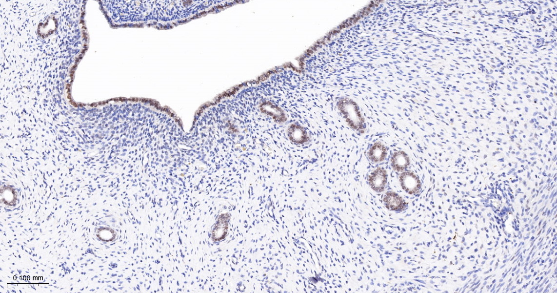
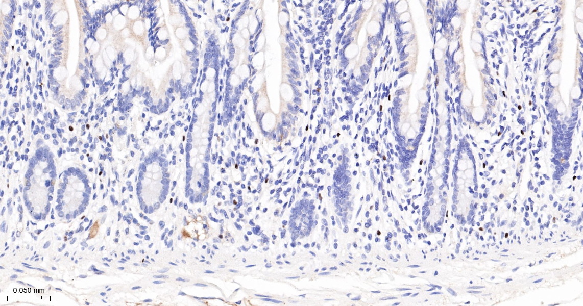
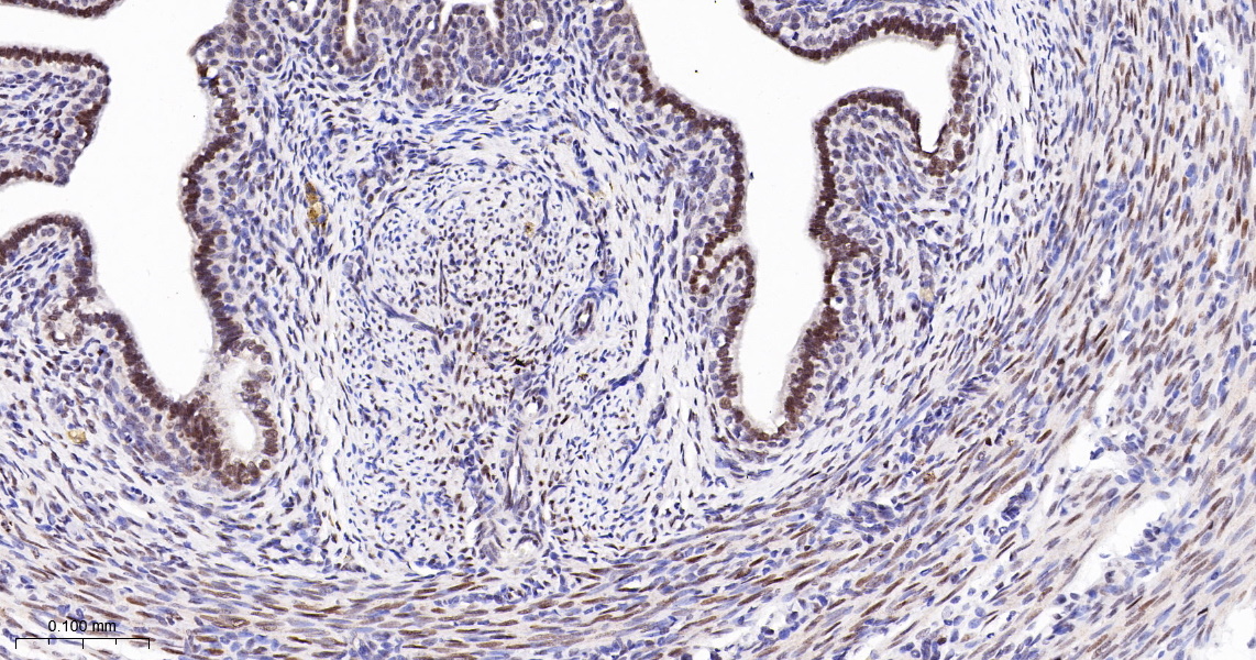
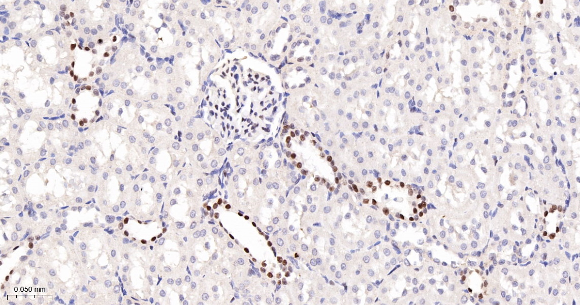
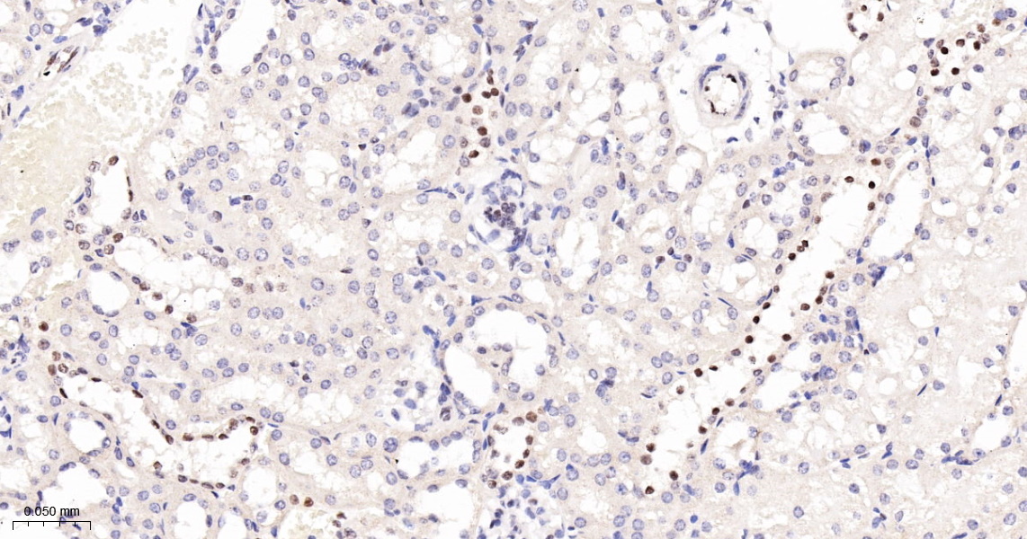
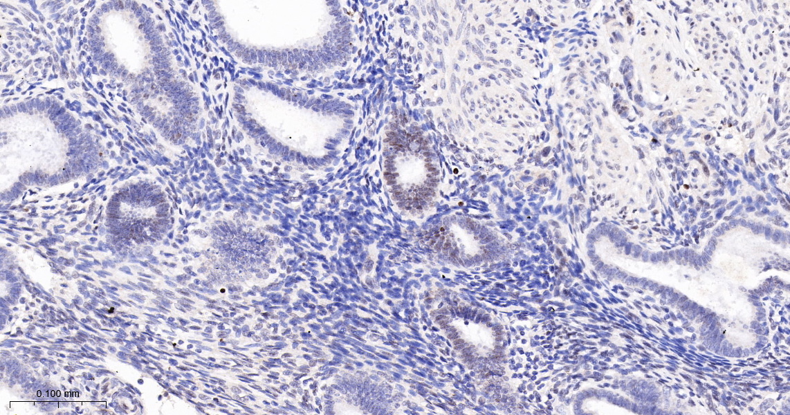
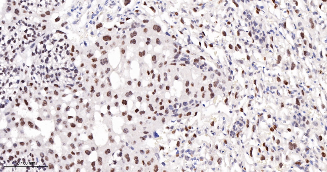
Applications WB, IHC-P, IHC-F, IF(IHC-P), IF(ICC), IP
Reactivity Human, Rat
Predicted Reactivity Mouse
Specifications
Conjugation Unconjugated
Host Rabbit
Source KLH conjugated synthetic peptide derived from human GATA2
Clonality Recombinant
Isotype IgG
Concentration Lot dependent
Purification Purified by Protein A.
Storage Buffer 0.01M TBS (pH 7.4), 1% BSA, 0.02% Proclin 300, and 50% Glycerol
Storage Condition Shipped at 4C. Store at -20C for one year. Avoid repeated freeze/thaw cycles.
Target
Gene ID 2624
Swiss Prot P23769,P23771
Subcellular location Nucleus
Synonyms DCML;GATA binding protein 2;GATA binding protein 3;HDR;HDRS;IMD21;MONOMAC;NFE1B.
Background Transcriptional activator which regulates endothelin-1 gene expression in endothelial cells. Binds to the consensus sequence 5'-AGATAG-3'.
Application Dilution
WB 1:500-2000
IHC-P IHC-P1:50-200
IHC-F IHC-F1:50-200
IF(IHC-P) IFIHC-P1:50-200
IF(ICC) IFICC1:50-200
IP IP1:20-50