RECEIVE 25% OFF PUBLISHED ANTIBODIES WITH CODE "PUB25"! Offer valid for US customers and available internationally through distributors.

TPH Recombinant Antibody

Applications

  • WB
  • IHC-P
  • IHC-F
  • IP
  • IF

Reactivity

  • Human
  • Mouse
  • Rat
Overview
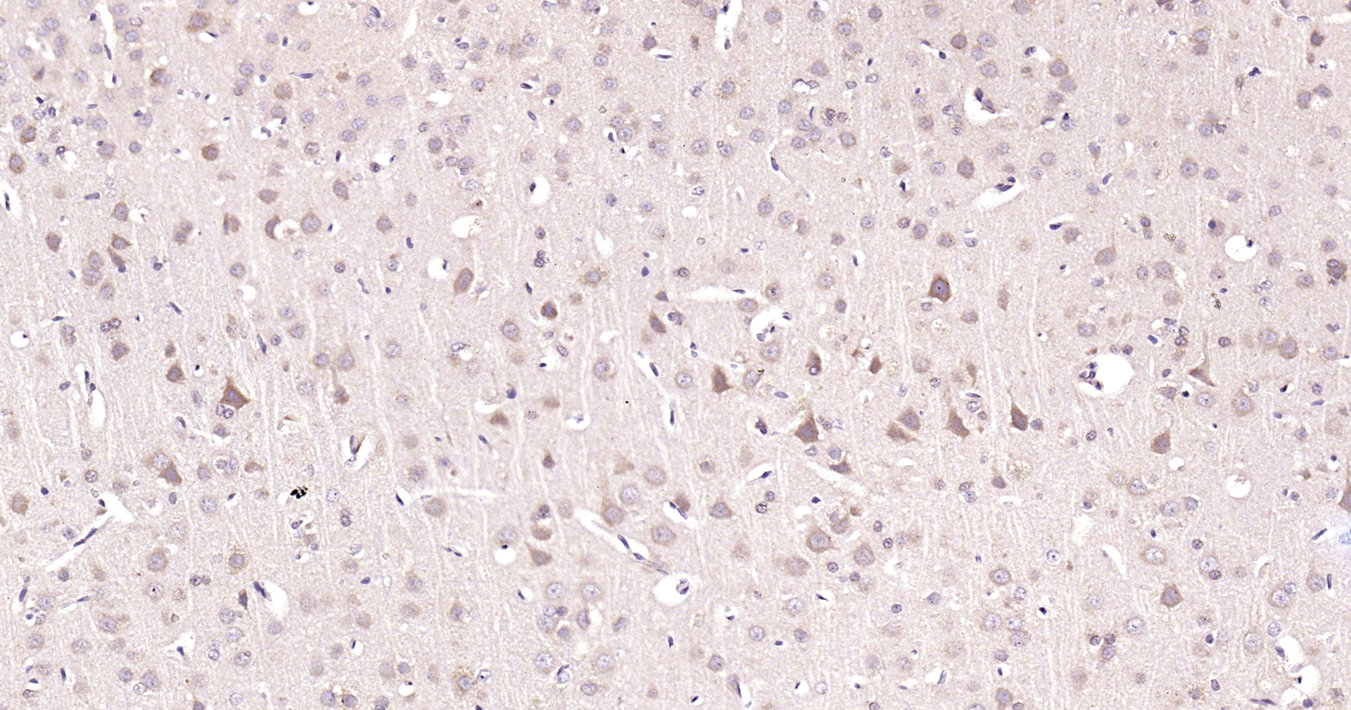
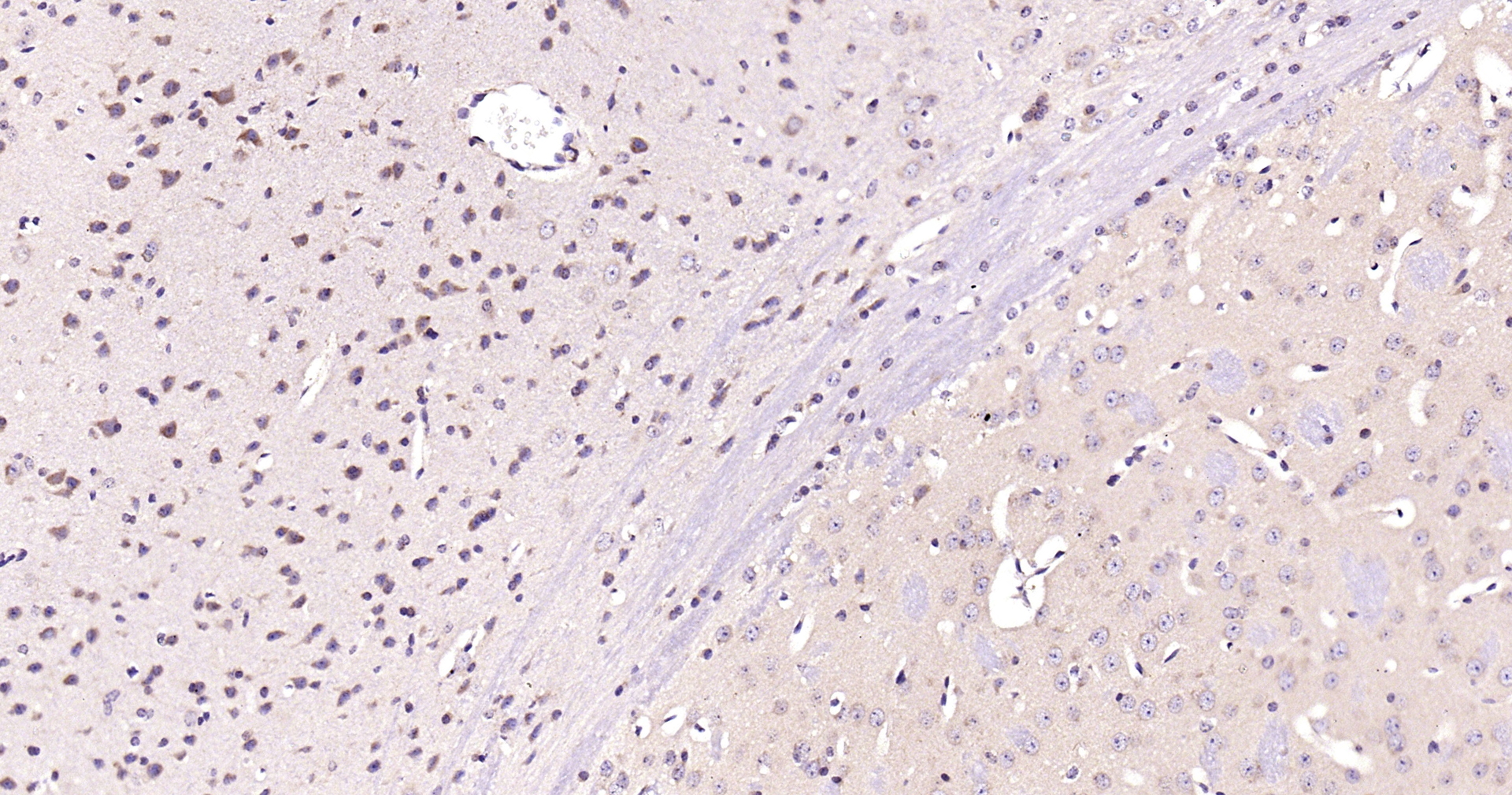
Catalog # bsm-61227r-TR
Product Name TPH Recombinant Antibody
Applications WB, IHC-P, IHC-F, IP, IF
Reactivity Human, Mouse, Rat
Specifications
Conjugation Unconjugated
Host Rabbit
Source KLH conjugated synthetic peptide derived from human TPH1
Clonality Recombinant
Isotype IgG
Concentration Lot dependent
Purification Purified by Protein A.
Storage Buffer 0.01M TBS (pH 7.4), 1% BSA, 0.02% Proclin 300, and 50% Glycerol
Storage Condition Shipped at 4C. Store at -20C for one year. Avoid repeated freeze/thaw cycles.
Target
Gene ID 7166
Swiss Prot P17752
Subcellular location Cytoplasm
Synonyms TPH1;MGC119994;TPRH;TRPH;Tryptophan 5-hydroxylase 1; Tryptophan Hydroxylase.
Background Oxidizes L-tryptophan to 5-hydroxy-l-tryptophan in the rate-determining step of serotonin biosynthesis.
Application Dilution
WB 1:300-5000
IHC-P 1:200-400
IHC-F 1:100-500
IP 1-2ug
IF