RECEIVE 25% OFF PUBLISHED ANTIBODIES WITH CODE "PUB25"! Offer valid for US customers and available internationally through distributors.

Acetyl CoA carboxylase Recombinant Antibody

Applications

  • WB
  • FCM
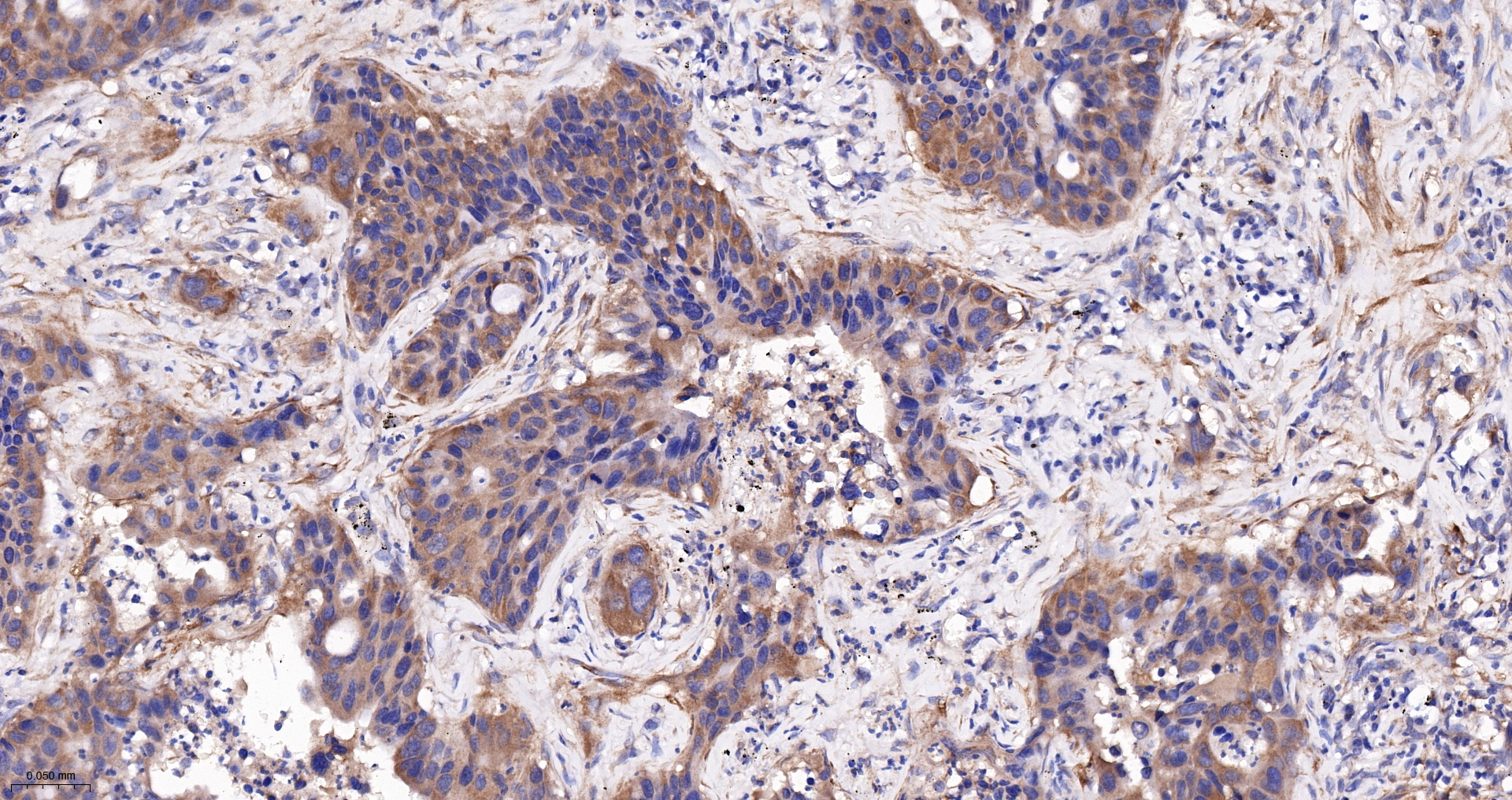
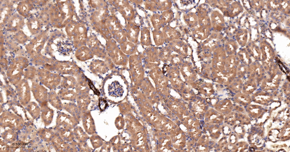
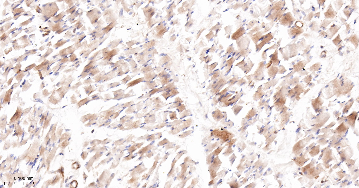
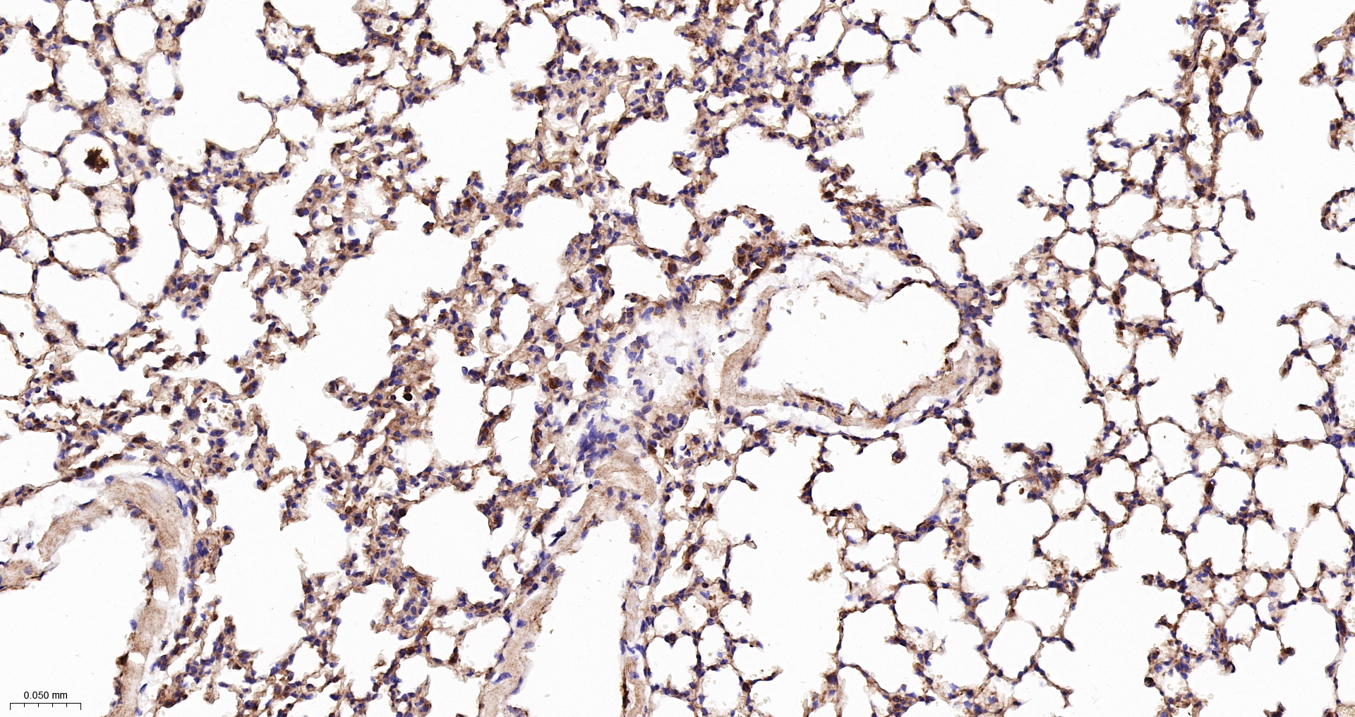
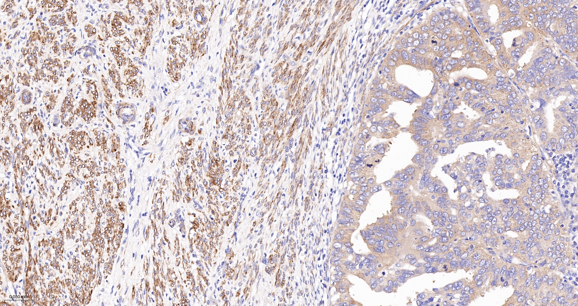
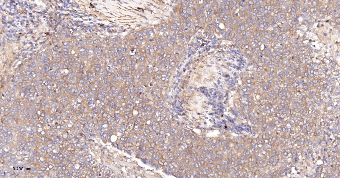
  • IHC-P
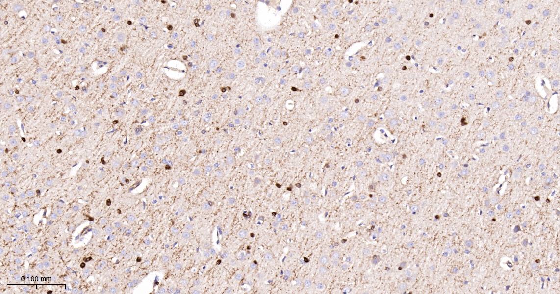
  • IHC-F
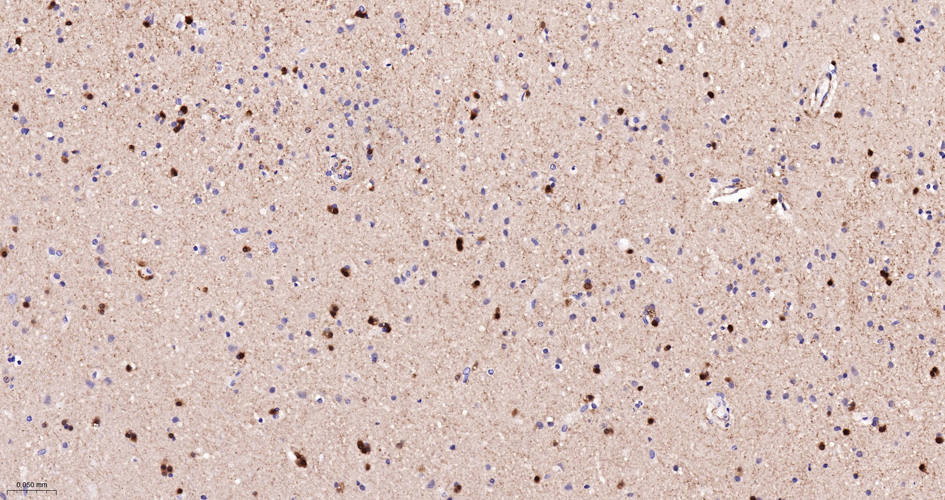
  • IF(IHC-P)

Reactivity

  • Human
  • Mouse
  • Rat
Overview
Catalog # bsm-61228r-100ul
Product Name Acetyl CoA carboxylase Recombinant Antibody
Applications WB, FCM, IHC-P, IHC-F, IF(IHC-P)
Reactivity Human, Mouse, Rat
Specifications
Conjugation Unconjugated
Host Rabbit
Source KLH conjugated synthetic peptide derived from human Acetyl CoA carboxylase
Clonality Recombinant
Isotype IgG
Concentration 1 mg/ml
Purification Purified by Protein A.
Storage Buffer 0.01M TBS (pH 7.4), 1% BSA, 0.02% Proclin 300, and 50% Glycerol
Storage Condition Shipped at 4C. Store at -20C for one year. Avoid repeated freeze/thaw cycles.
Target
Gene ID 32
Swiss Prot O00763
Subcellular location Cell membrane
Synonyms ACAC; ACACA; ACACB; ACC; ACC-alpha; ACC1; ACC2; ACCA; ACCB; Acetyl-CoA carboxylase 1; Biotin carboxylase.
Background ACC1 a subunit of acetyl-CoA carboxylase (ACC), a multifunctional enzyme system. Catalyzes the carboxylation of acetyl-CoA to malonyl-CoA, the rate-limiting step in fatty acid synthesis. Acetyl-CoA carboxylase (ACC) catalyzes the pivotal step of the fatty acid synthesis pathway. The 265 kDa ACCŚÁ (ACC1) is the predominant isoform found in liver, adipocytes, and mammary gland, while the 280 kDa ACCŚÂ (ACC2) is the major isoform in skeletal muscle and heart.
Application Dilution
WB 1:500-2000
FCM FCM1:50-200
IHC-P IHC-P1:200-800
IHC-F IHC-F1:200-800
IF(IHC-P) IFIHC-P1:200-800