RECEIVE 25% OFF PUBLISHED ANTIBODIES WITH CODE "PUB25"! Offer valid for US customers and available internationally through distributors.

CA9 Recombinant Antibody

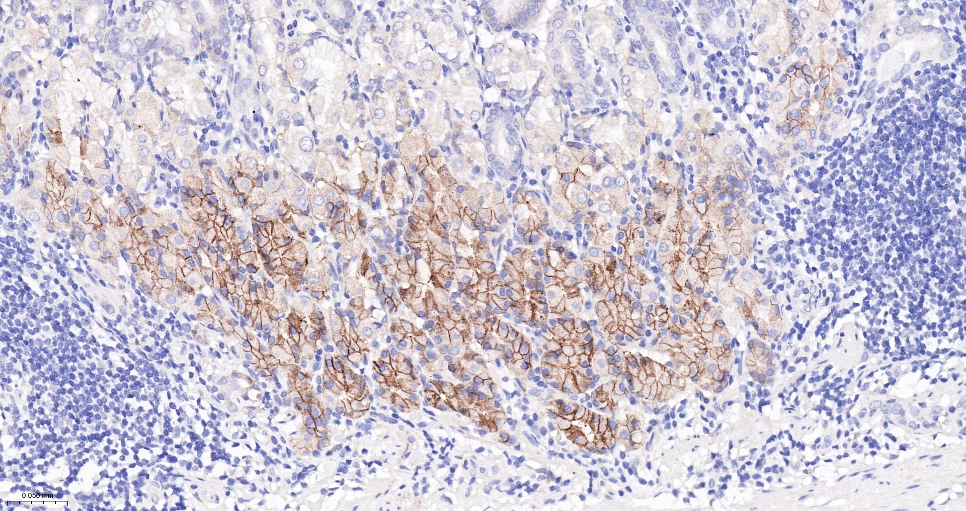
Applications

  • WB
  • IHC-P
  • IHC-F
  • IF(IHC-P)

Reactivity

  • Human
Overview
Catalog # bsm-61234r-TR
Product Name CA9 Recombinant Antibody
Applications WB, IHC-P, IHC-F, IF(IHC-P)
Reactivity Human
Specifications
Conjugation Unconjugated
Host Rabbit
Source KLH conjugated synthetic peptide derived from human Carbonic anhydrase 9
Clonality Recombinant
Isotype IgG
Concentration Lot dependent
Purification Purified by Protein A.
Storage Buffer 0.01M TBS (pH 7.4), 1% BSA, 0.02% Proclin 300, and 50% Glycerol
Storage Condition Shipped at 4C. Store at -20C for one year. Avoid repeated freeze/thaw cycles.
Target
Gene ID 768
Swiss Prot Q16790
Subcellular location Nucleus, Cell membrane
Synonyms MN; P54/58N; CAIX; CA9; Carbonic anhydrase IX; CAH9.
Background Catalyzes the interconversion between carbon dioxide and water and the dissociated ions of carbonic acid (i.e. bicarbonate and hydrogen ions).
Application Dilution
WB 1:500-2000
IHC-P IHC-P1:200-800
IHC-F IHC-F1:200-800
IF(IHC-P) IFIHC-P1:200-800