RECEIVE 25% OFF PUBLISHED ANTIBODIES WITH CODE "PUB25"! Offer valid for US customers and available internationally through distributors.

Radixin Recombinant Antibody

Applications

  • WB
  • FCM
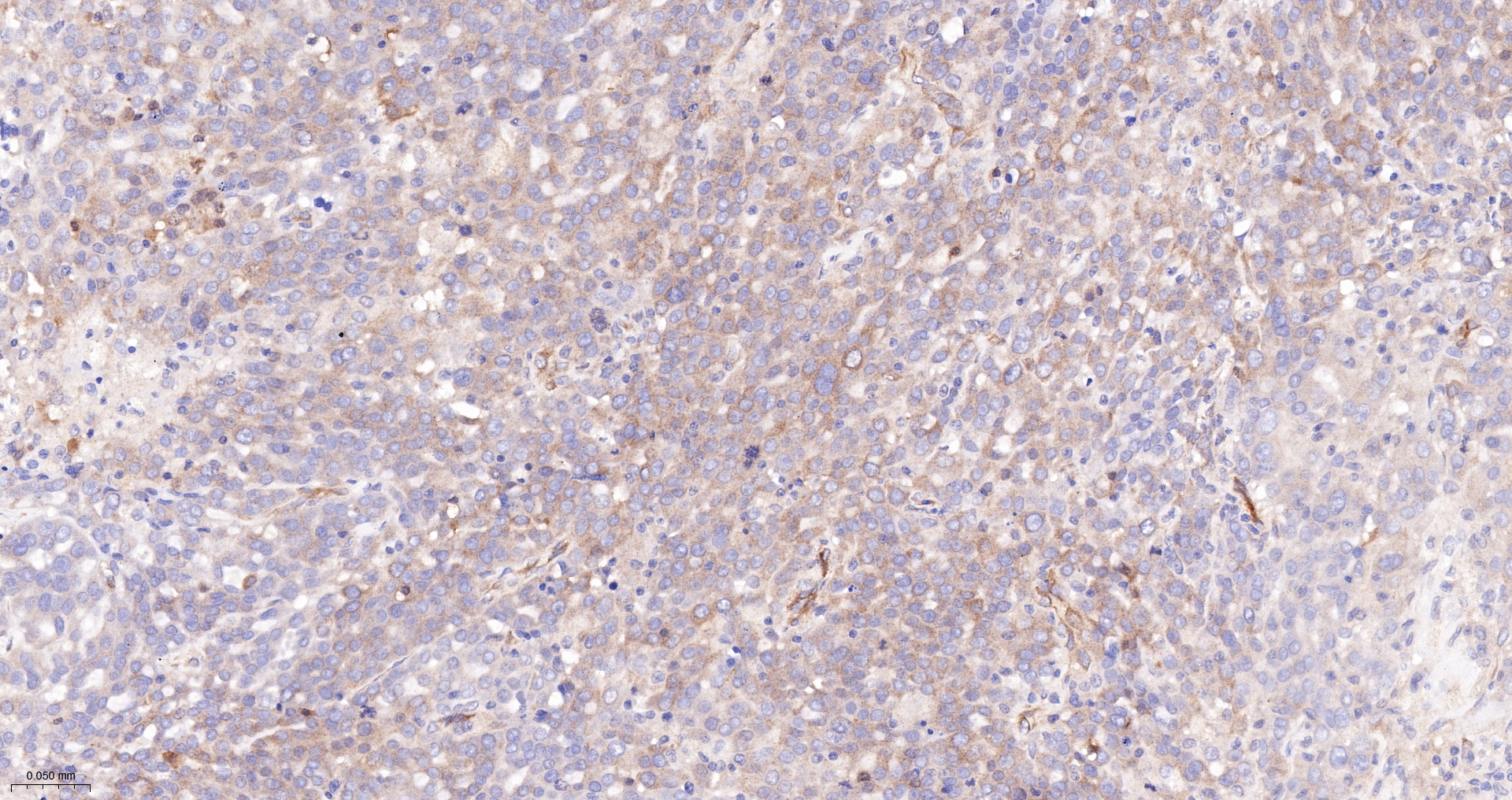
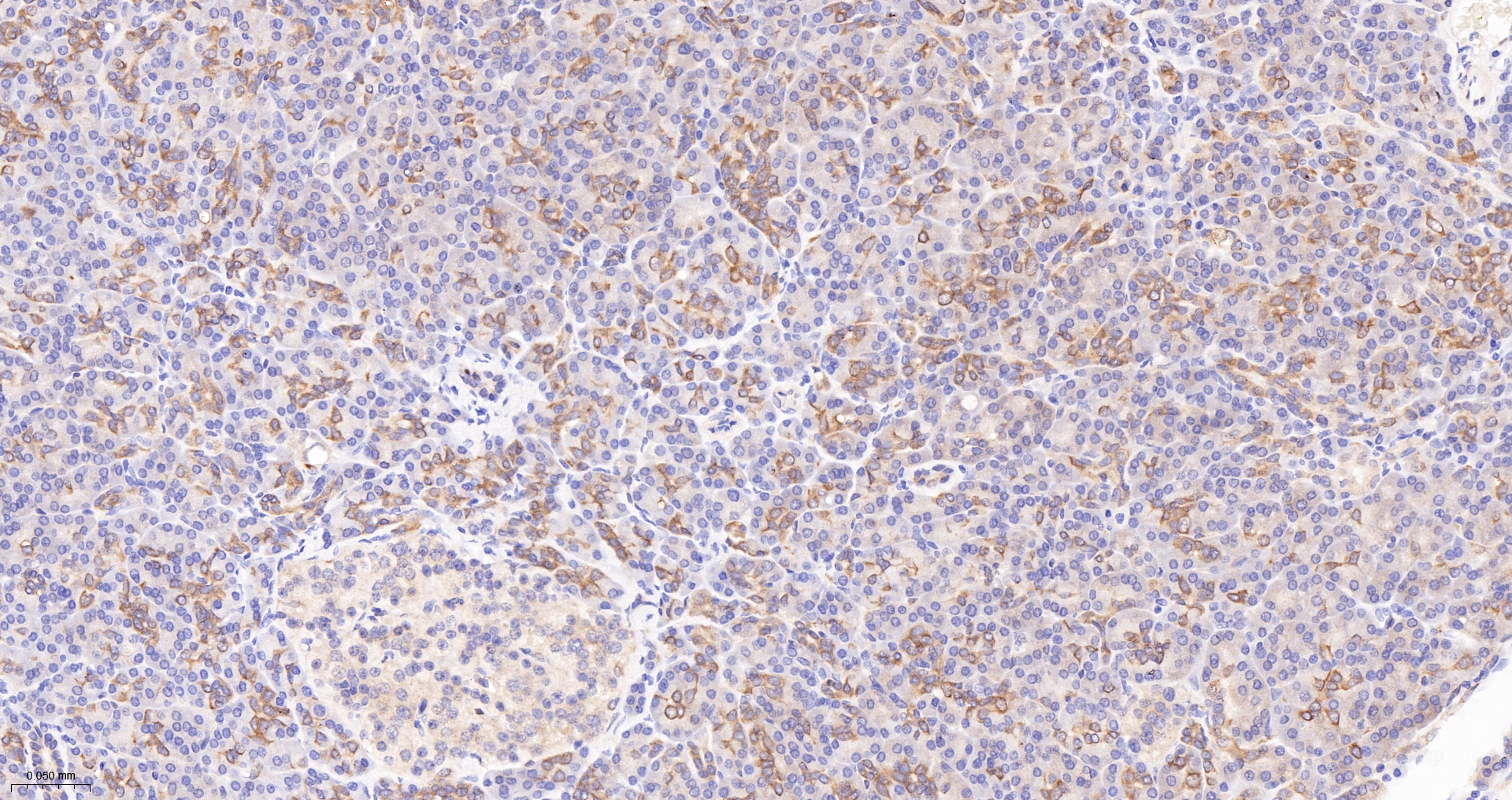
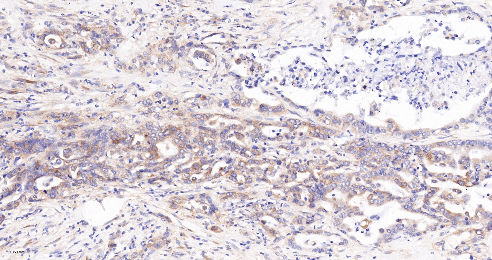
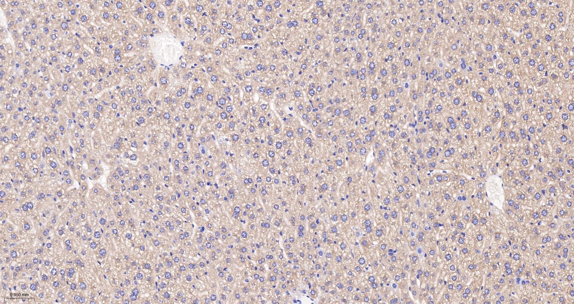
  • IHC-P
  • IHC-F
  • IF(IHC-P)
  • IF(ICC)
  • IP

Reactivity

  • Human
  • Mouse
  • Rat
Overview
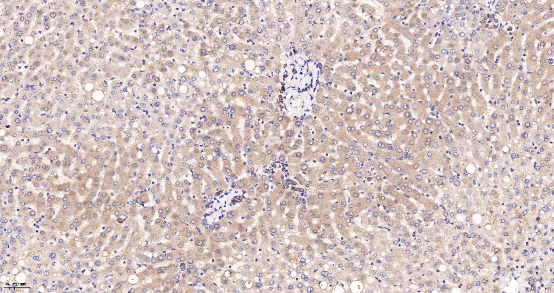
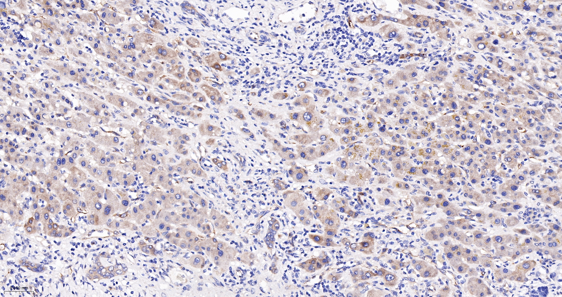
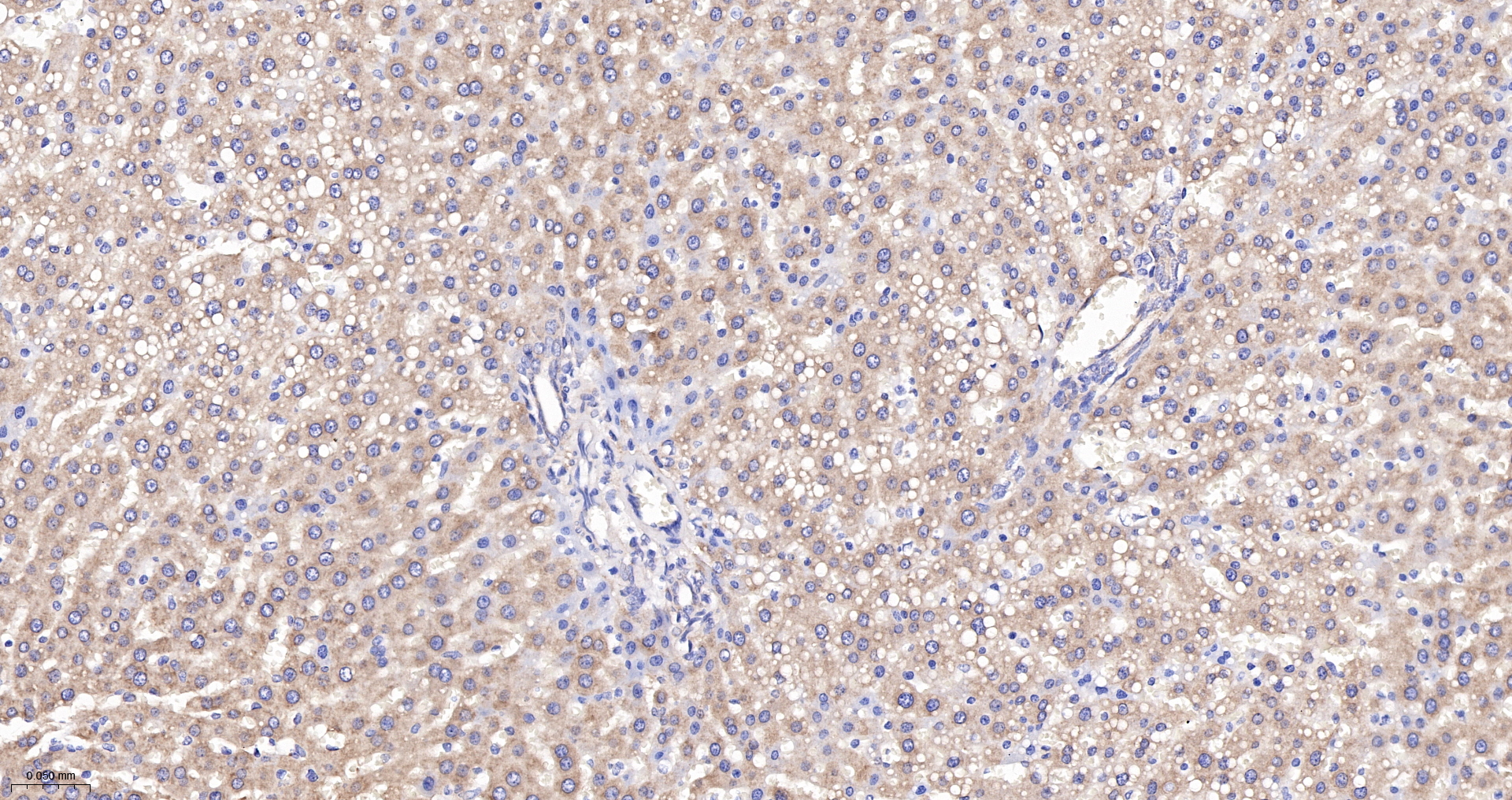
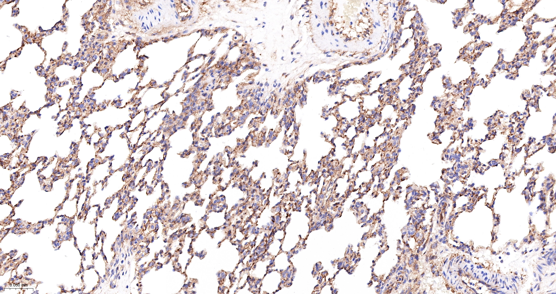
Catalog # bsm-61253r-TR
Product Name Radixin Recombinant Antibody
Applications WB, FCM, IHC-P, IHC-F, IF(IHC-P), IF(ICC), IP
Reactivity Human, Mouse, Rat
Specifications
Conjugation Unconjugated
Host Rabbit
Source KLH conjugated synthetic peptide derived from human Radixin
Clonality Recombinant
Isotype IgG
Concentration Lot dependent
Purification Purified by Protein A.
Storage Buffer 0.01M TBS (pH 7.4), 1% BSA, 0.02% Proclin 300, and 50% Glycerol
Storage Condition Shipped at 4C. Store at -20C for one year. Avoid repeated freeze/thaw cycles.
Target
Gene ID 5962
Swiss Prot P35241
Subcellular location Cytoplasm, Cell membrane
Synonyms RDX; Radixin; Protein roadkill; HIB; ESP10; DFNB24; RADI.
Background Probably plays a crucial role in the binding of the barbed end of actin filaments to the plasma membrane.
Application Dilution
WB 1:500-2000
FCM FCM1:50-100
IHC-P IHC-P1:50-200
IHC-F IHC-F1:50-200
IF(IHC-P) IFIHC-P1:50-200
IF(ICC) IFICC1:50-200
IP IP1:20-50