RECEIVE 25% OFF PUBLISHED ANTIBODIES WITH CODE "PUB25"! Offer valid for US customers and available internationally through distributors.

LSP1 Recombinant Antibody

Applications

  • WB
  • FCM
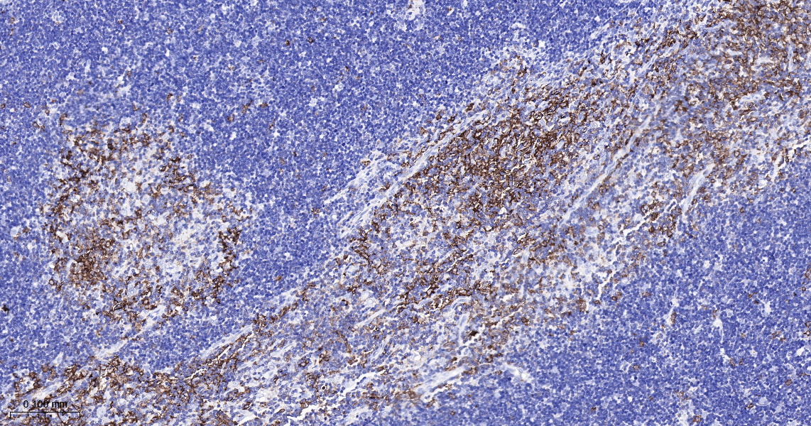
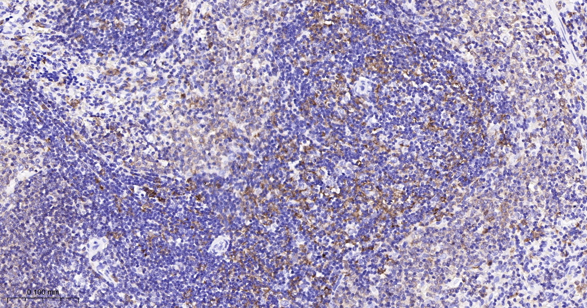
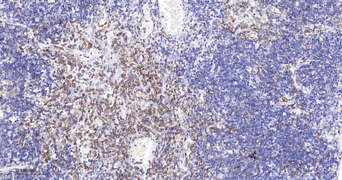
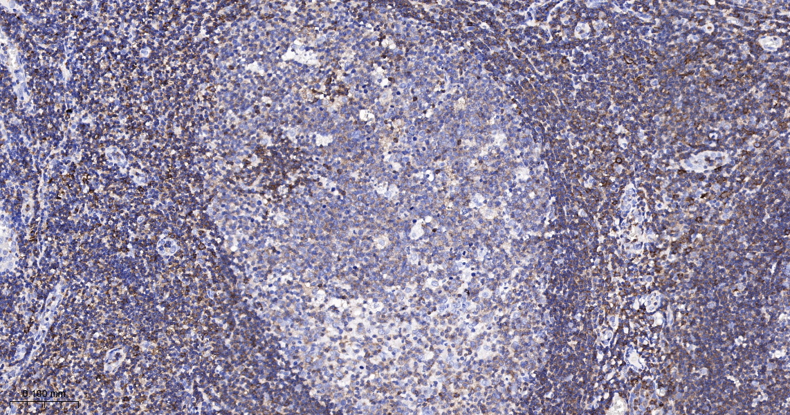
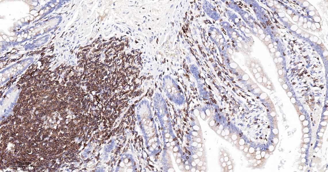
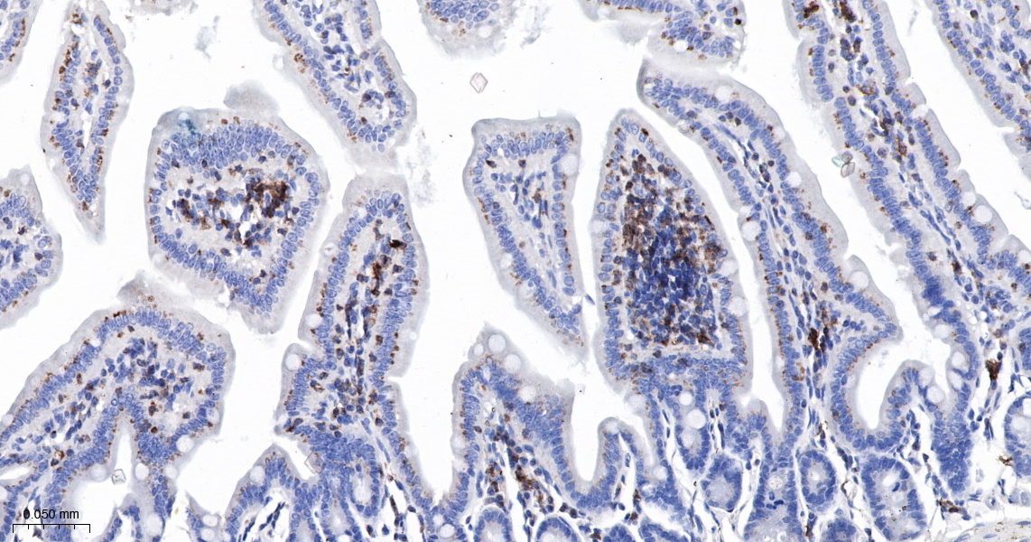
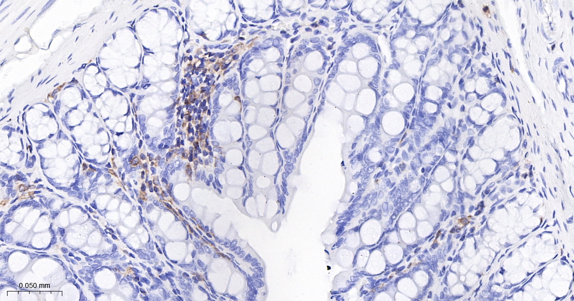
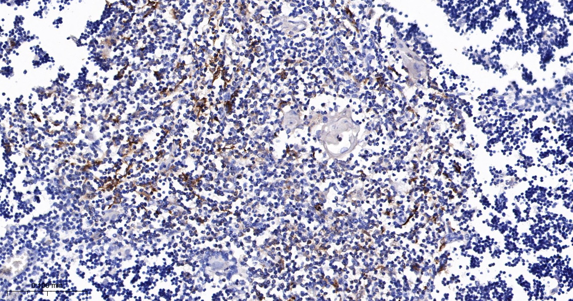
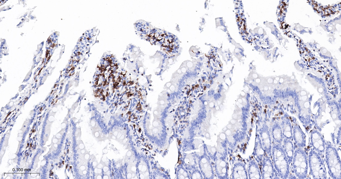
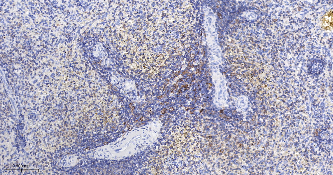
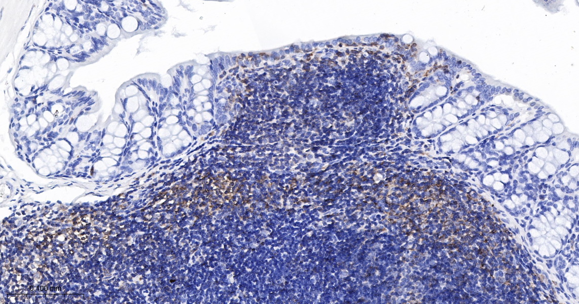
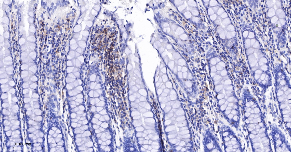
  • IHC-P
  • IHC-F
  • IF(IHC-P)
  • IF(ICC)

Reactivity

  • Human
  • Mouse
  • Rat
Overview
Catalog # bsm-61255r-100ul
Product Name LSP1 Recombinant Antibody
Applications WB, FCM, IHC-P, IHC-F, IF(IHC-P), IF(ICC)
Reactivity Human, Mouse, Rat
Specifications
Conjugation Unconjugated
Host Rabbit
Source KLH conjugated synthetic peptide derived from human LSP1
Clonality Recombinant
Isotype IgG
Concentration Lot dependent
Purification Purified by Protein A.
Storage Buffer 0.01M TBS (pH 7.4), 1% BSA, 0.02% Proclin 300, and 50% Glycerol
Storage Condition Shipped at 4C. Store at -20C for one year. Avoid repeated freeze/thaw cycles.
Target
Gene ID 4046
Swiss Prot P33241
Subcellular location Cytoplasm, Cell membrane
Synonyms Lymphocyte-specific protein 1; Protein pp52; 52 kDa phosphoprotein; Lymphocyte-specific antigen WP34; 47 kDa actin-binding protein.
Background LSP1 is a 52 kDa leukocyte-specific protein expressed in B cells, T cells, macrophages and neutrophils. The protein binds F-actin through its C-terminal actin-binding repeat and regulates cytoskeletal-related cellular movement such as polarization, chemotaxis and locomotion. LSP1 is a phospho-protein and has been identified as a major substrate of MAP kinase and PKC in lymphocytes and neutrophils.
Application Dilution
WB 1:500-2000
FCM FCM1:50-100
IHC-P IHC-P1:50-200
IHC-F IHC-F1:50-200
IF(IHC-P) IFIHC-P1:50-200
IF(ICC) IFICC1:50-200