RECEIVE 25% OFF PUBLISHED ANTIBODIES WITH CODE "PUB25"! Offer valid for US customers and available internationally through distributors.

ATP5MC1 Recombinant Antibody

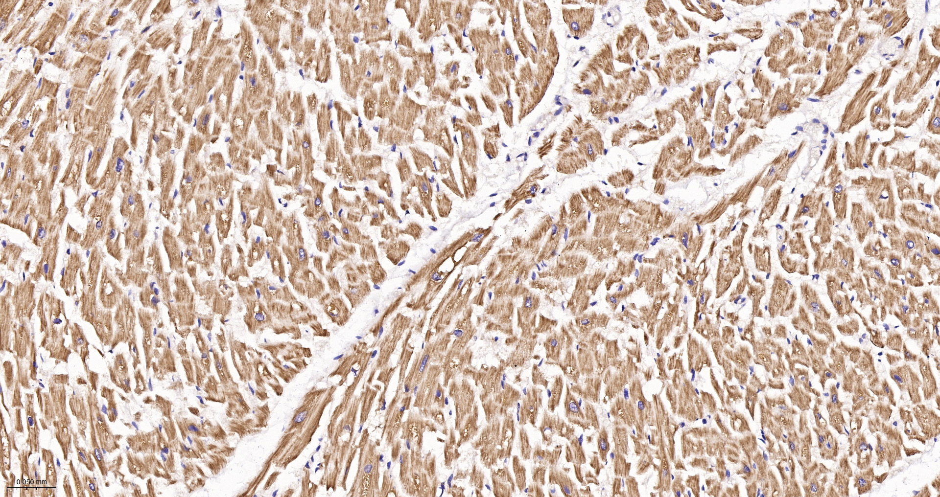
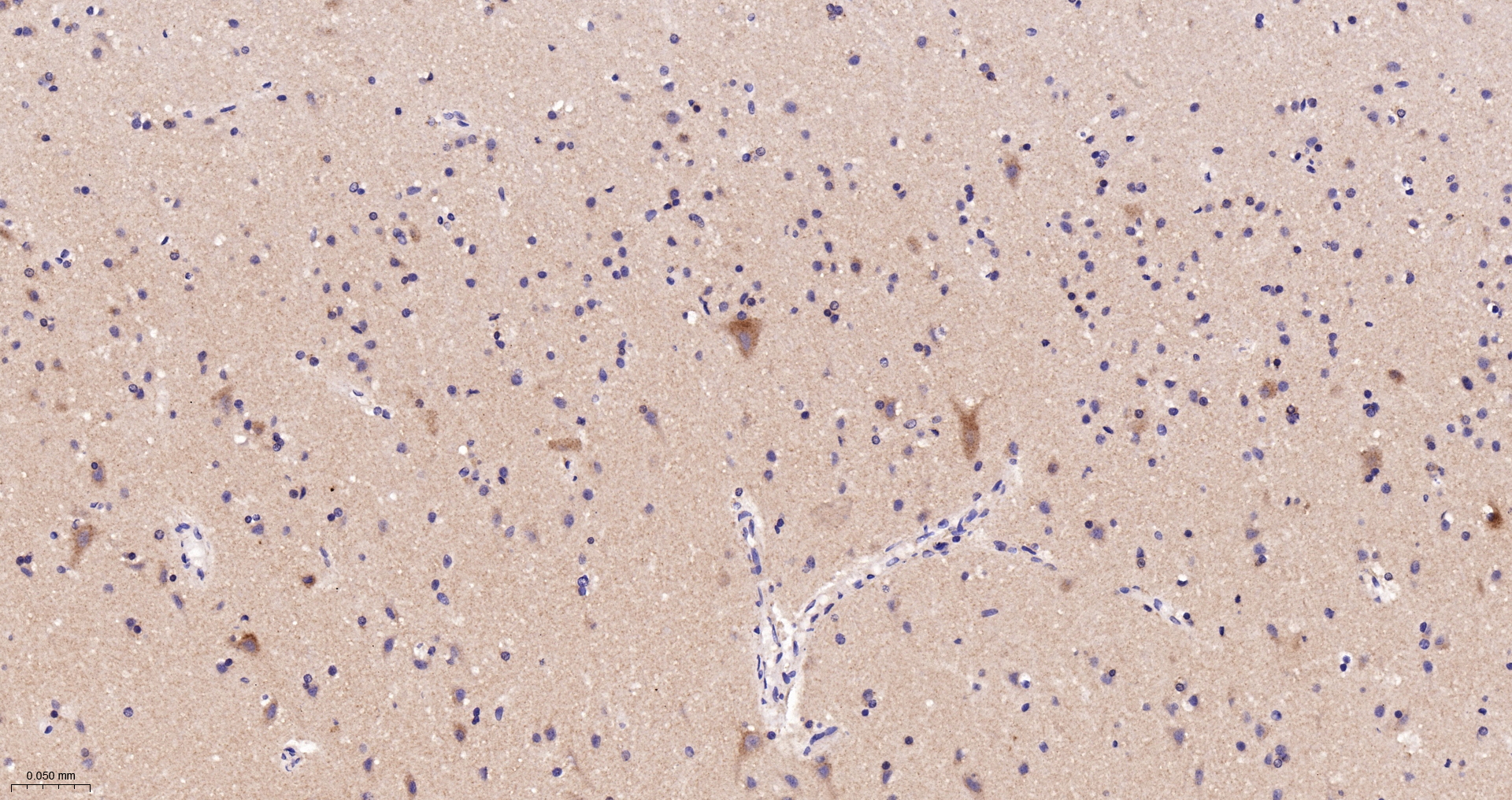
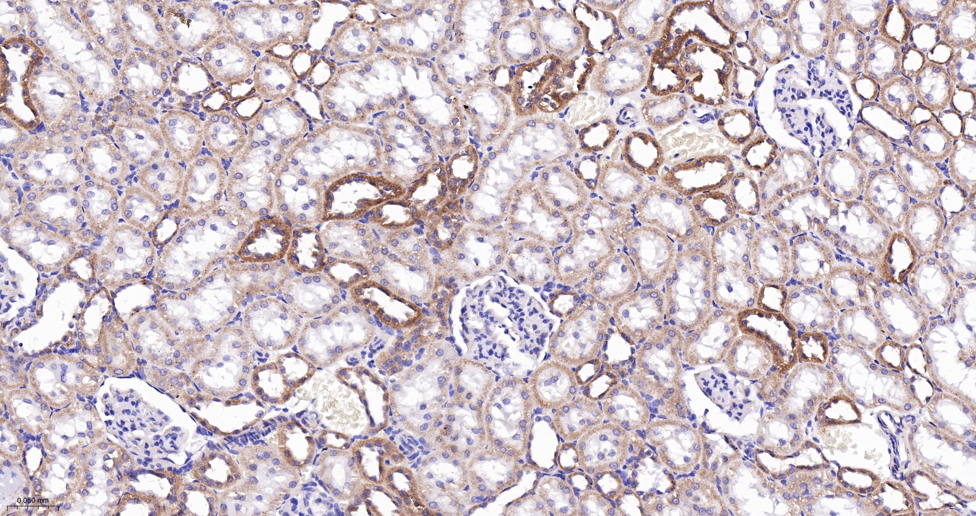
Applications

  • FCM
  • IHC-P
  • IHC-F
  • IF(IHC-P)

Reactivity

  • Human

Predicted Reactivity

  • Mouse
  • Rat
Overview
Catalog # bsm-61256r-100ul
Product Name ATP5MC1 Recombinant Antibody
Applications FCM, IHC-P, IHC-F, IF(IHC-P)
Reactivity Human
Predicted Reactivity Mouse, Rat
Specifications
Conjugation Unconjugated
Host Rabbit
Source KLH conjugated synthetic peptide derived from human ATP5MC1
Clonality Recombinant
Isotype IgG
Concentration Lot dependent
Purification Purified by Protein A.
Storage Buffer 0.01M TBS (pH 7.4), 1% BSA, 0.02% Proclin 300, and 50% Glycerol
Storage Condition Shipped at 4C. Store at -20C for one year. Avoid repeated freeze/thaw cycles.
Target
Gene ID 516
Swiss Prot P05496
Synonyms ATP5G1; ATP5G2; ATP5G3.
Background Mitochondrial membrane ATP synthase (F(1)F(0) ATP synthase or Complex V) produces ATP from ADP in the presence of a proton gradient across the membrane which is generated by electron transport complexes of the respiratory chain.
Application Dilution
FCM 1:50-100
IHC-P IHC-P1:100-500
IHC-F IHC-F1:100-500
IF(IHC-P) IFIHC-P1:100-500