RECEIVE 25% OFF PUBLISHED ANTIBODIES WITH CODE "PUB25"! Offer valid for US customers and available internationally through distributors.

RALBP1 Recombinant Antibody

Applications

  • WB
  • FCM
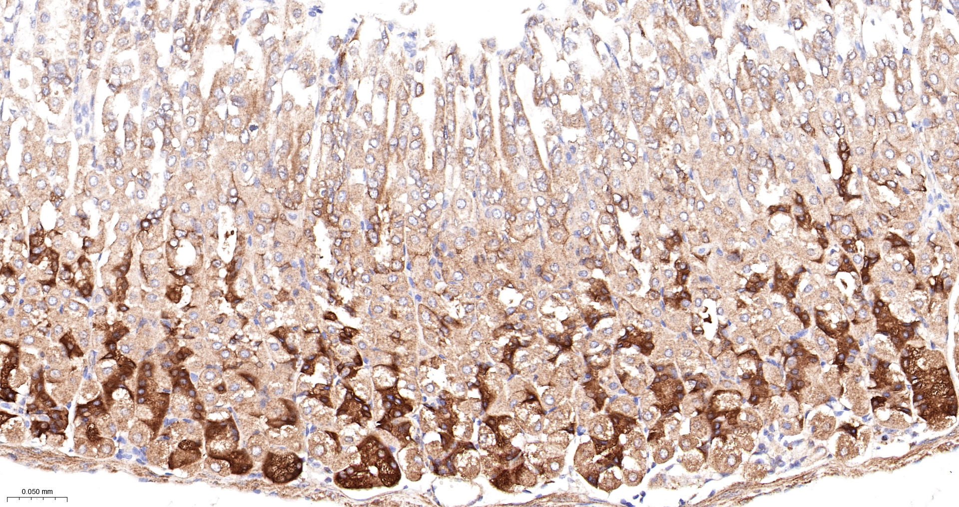
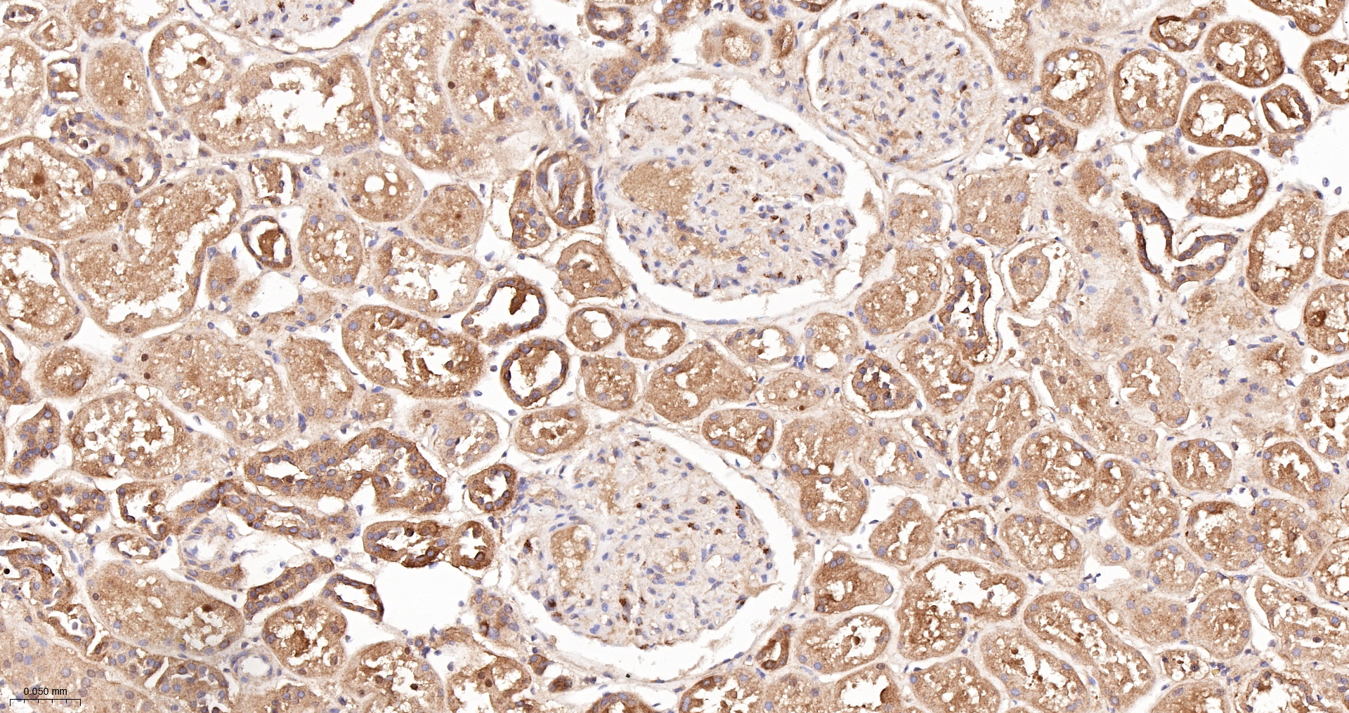
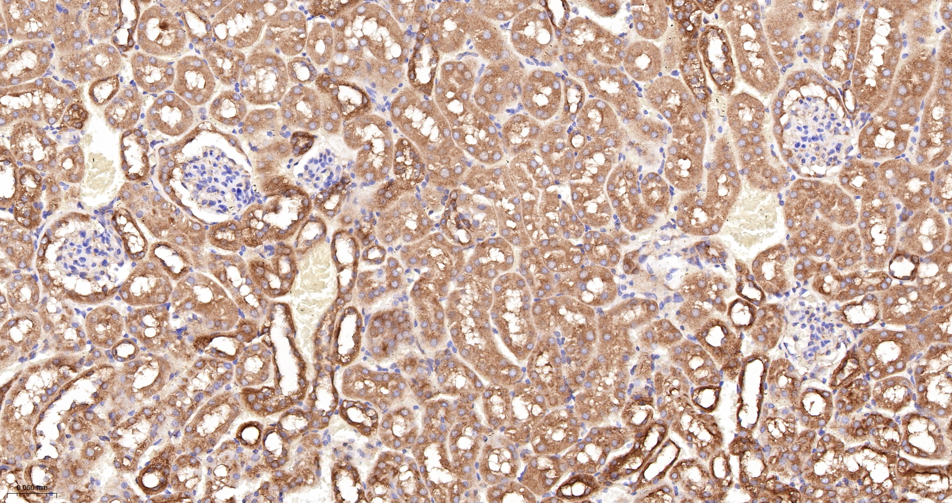
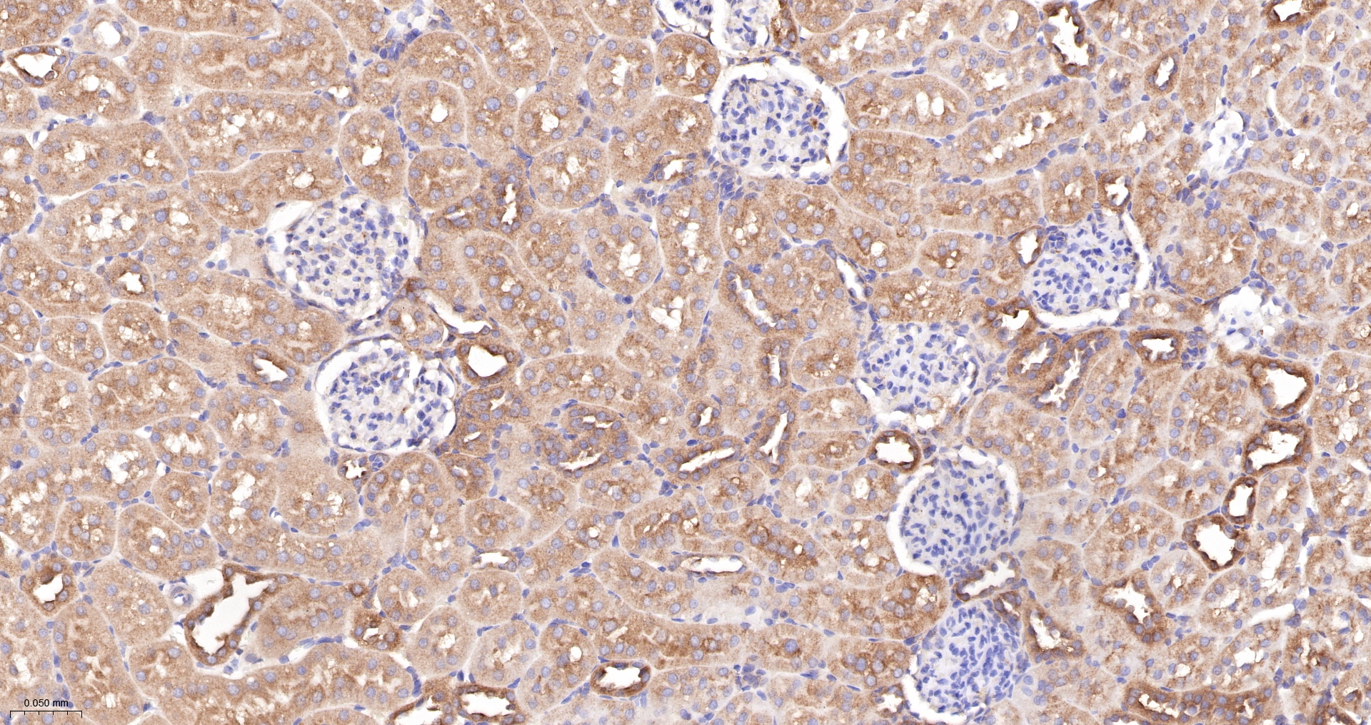
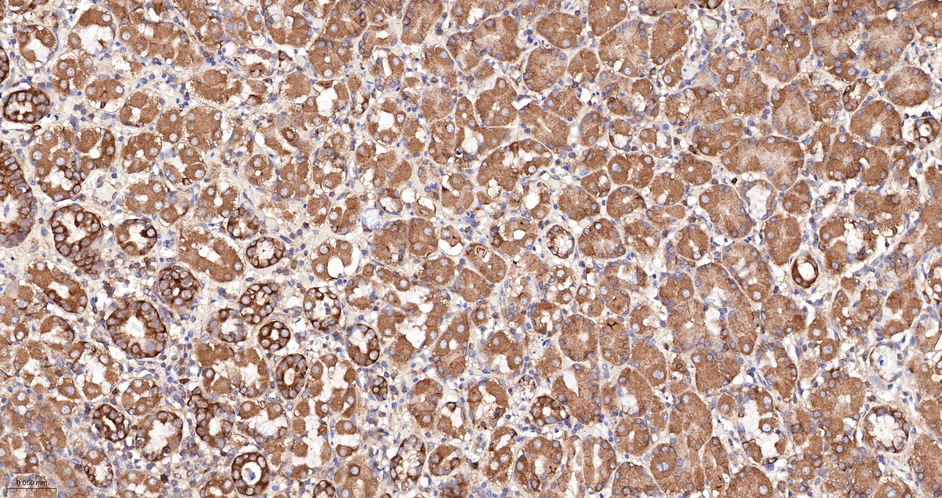
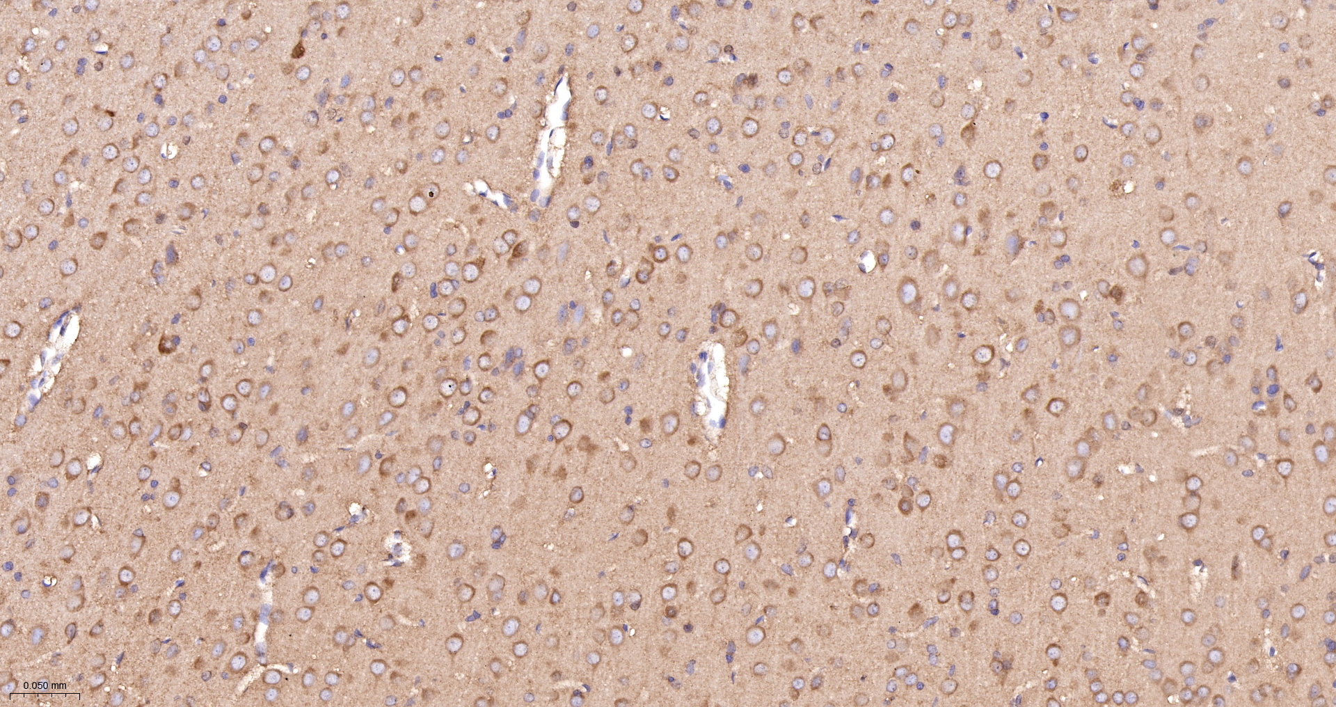
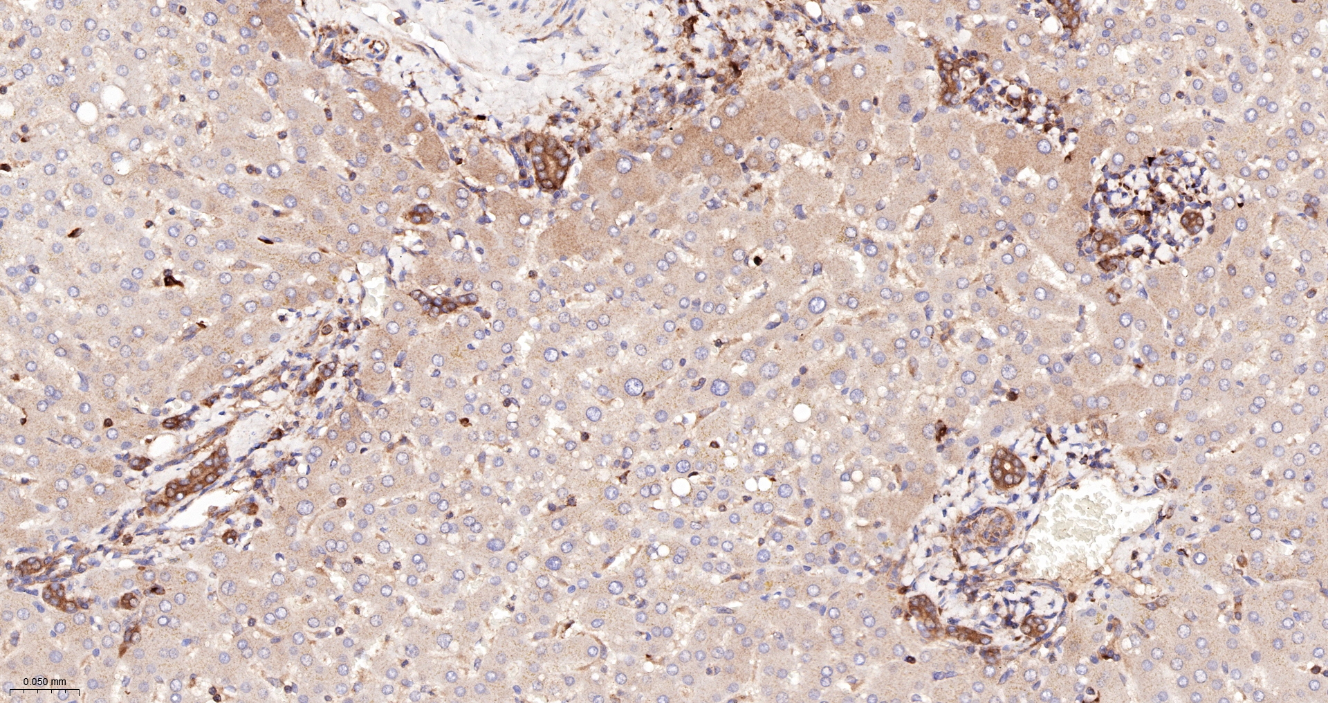
  • IHC-P
  • IHC-F
  • IF(IHC-P)

Reactivity

  • Human
  • Mouse
  • Rat
Overview
Catalog # bsm-61265r-100ul
Product Name RALBP1 Recombinant Antibody
Applications WB, FCM, IHC-P, IHC-F, IF(IHC-P)
Reactivity Human, Mouse, Rat
Specifications
Conjugation Unconjugated
Host Rabbit
Source KLH conjugated synthetic peptide derived from human RalBP1
Clonality Recombinant
Isotype IgG
Concentration Lot dependent
Purification Purified by Protein A.
Storage Buffer 0.01M TBS (pH 7.4), 1% BSA, 0.02% Proclin 300, and 50% Glycerol
Storage Condition Shipped at 4C. Store at -20C for one year. Avoid repeated freeze/thaw cycles.
Target
Gene ID 10928
Swiss Prot Q15311
Subcellular location Cytoplasm
Synonyms RALBP1; RIP1; RLIP1; RLIP76.
Background Multifunctional protein that functions as a downstream effector of RALA and RALB.As a GTPase-activating protein/GAP can inactivate CDC42 and RAC1 by stimulating their GTPase activity.As part of the Ral signaling pathway, may also regulate ligand-dependent EGF and insulin receptors-mediated endocytosis.
Application Dilution
WB 1:500-2000
FCM FCM1:50-100
IHC-P IHC-P1:100-500
IHC-F IHC-F1:100-500
IF(IHC-P) IFIHC-P1:100-500