Receive 30% off all Monoclonal IHC antibodies with code "MONO-IHC-30"! Offer valid for US customers and available internationally through distributors.

Caspase 2 Recombinant Antibody

Applications

  • WB
  • IHC-P
  • IHC-F
  • IF
  • Flow-Cyt
  • ICC/IF

Reactivity

  • Human
  • Mouse
  • Rat
Overview
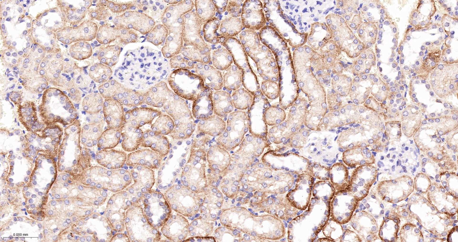
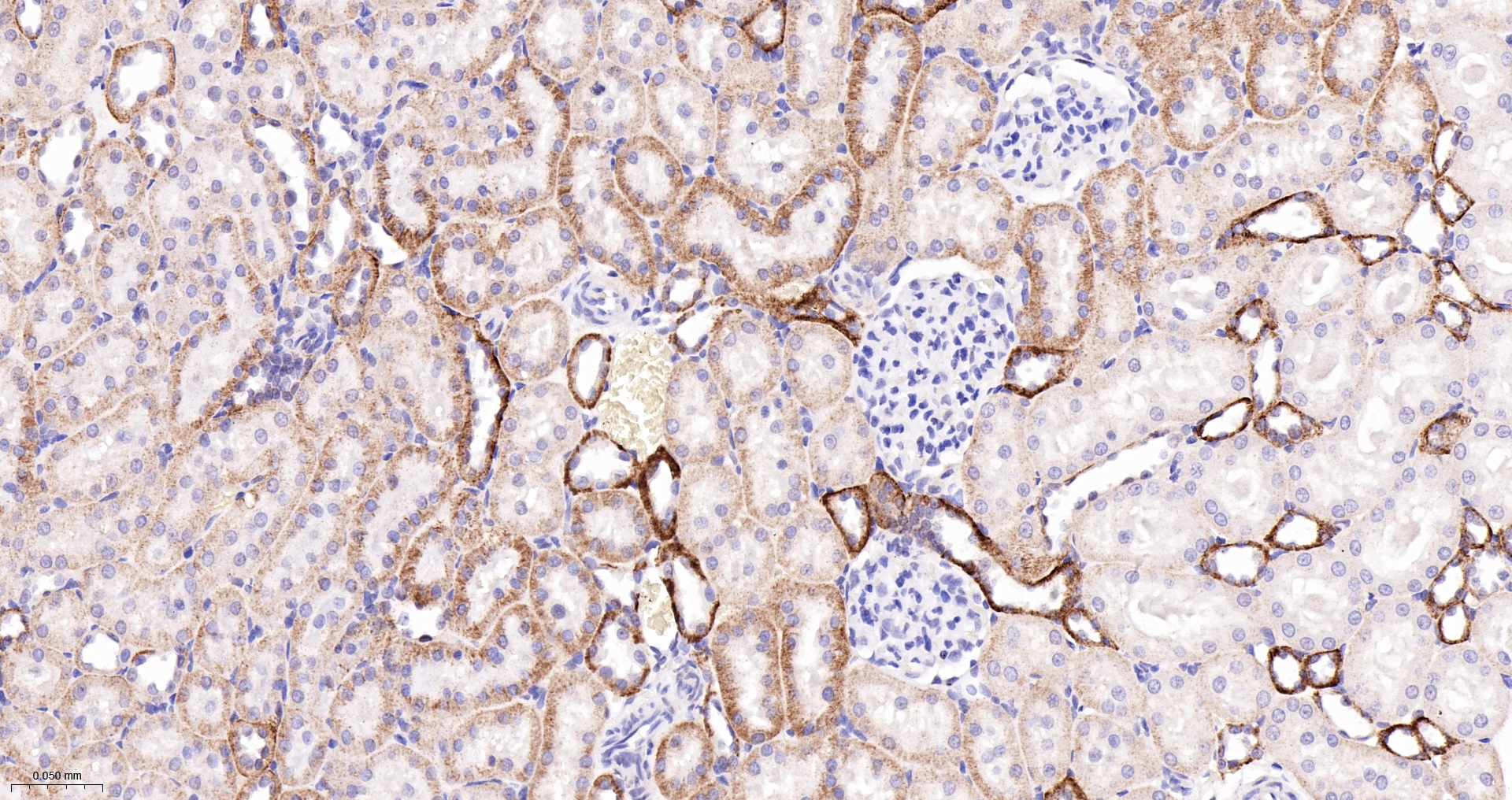
Catalog # bsm-61341r
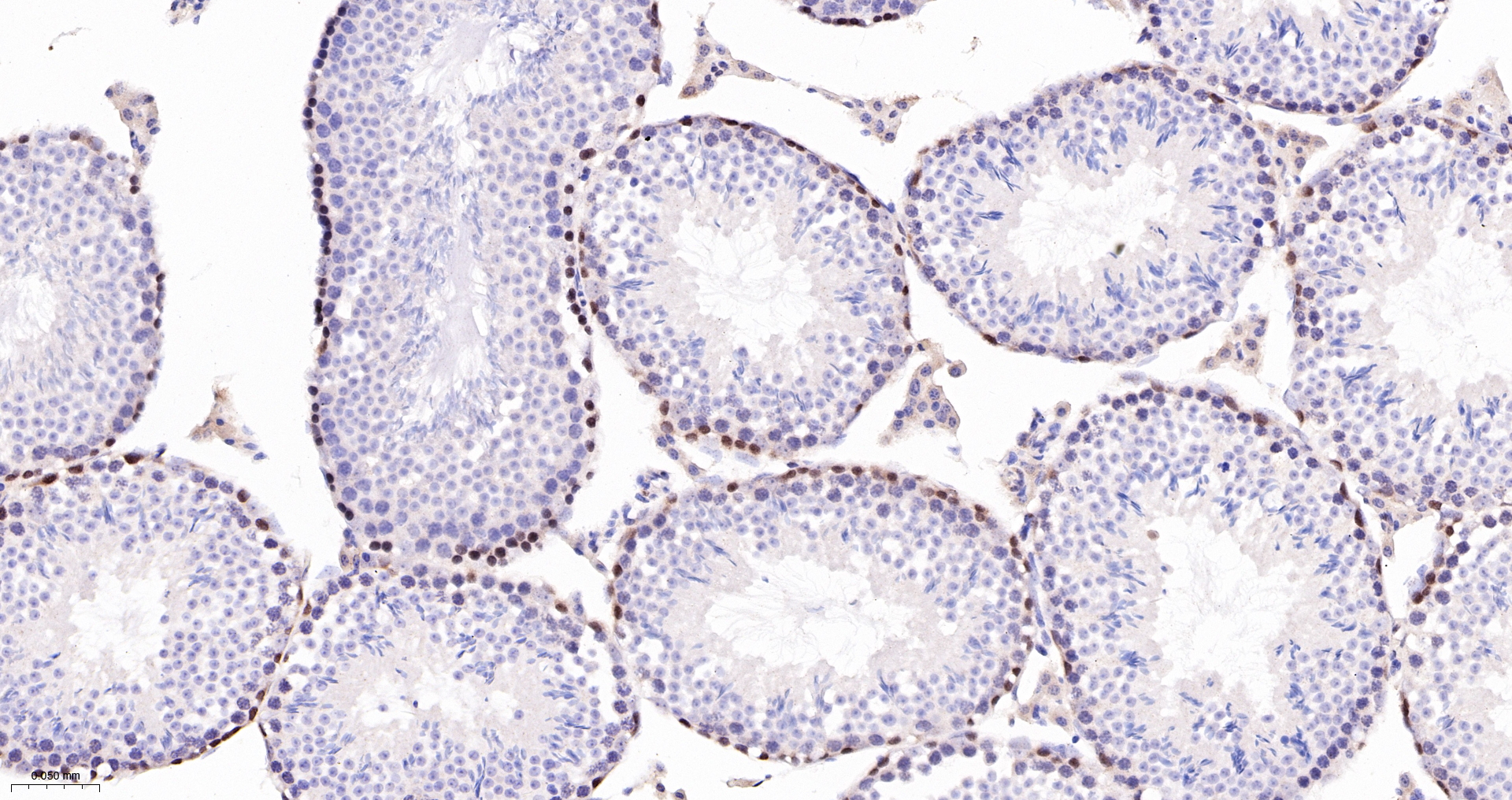
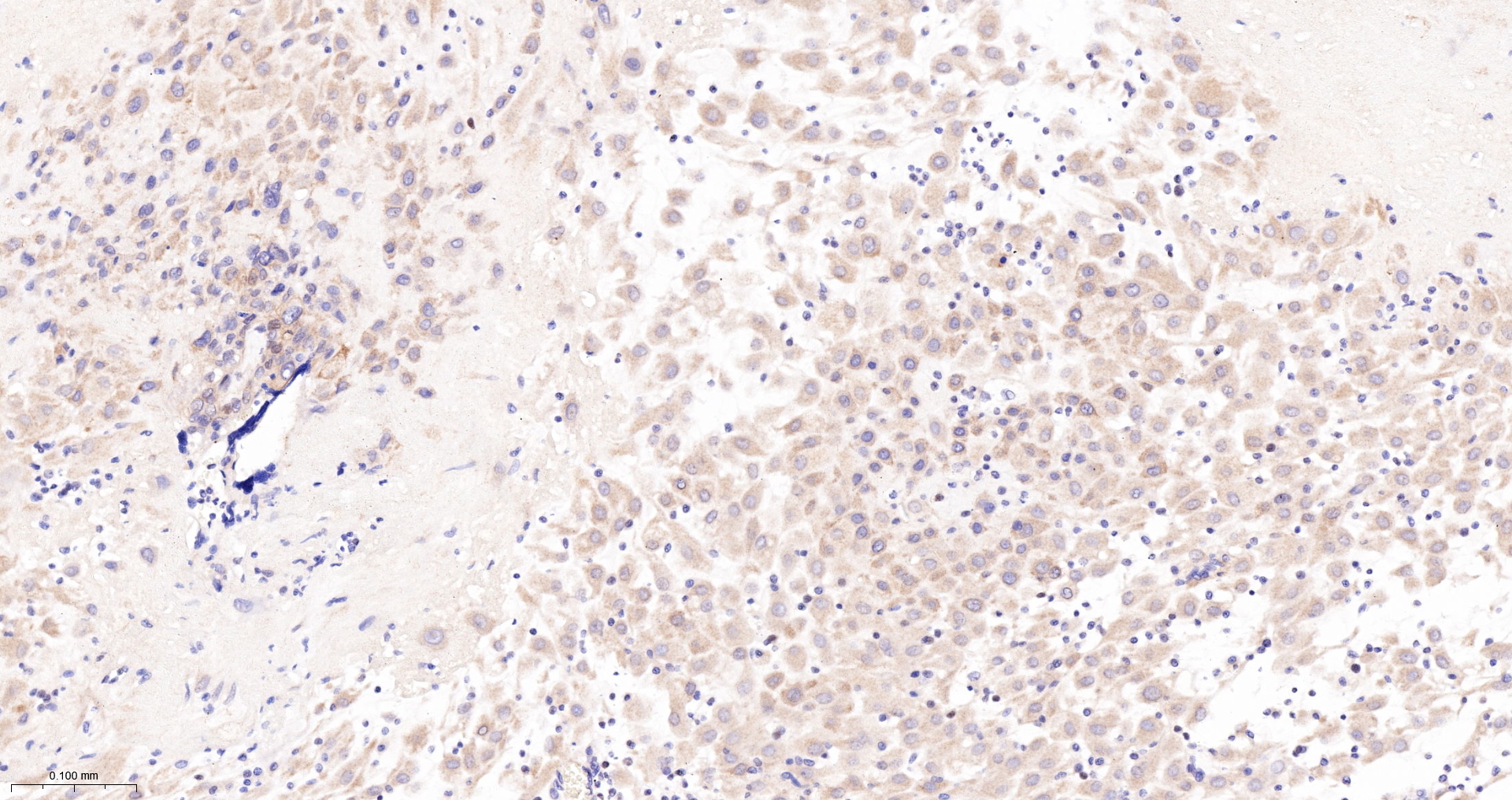
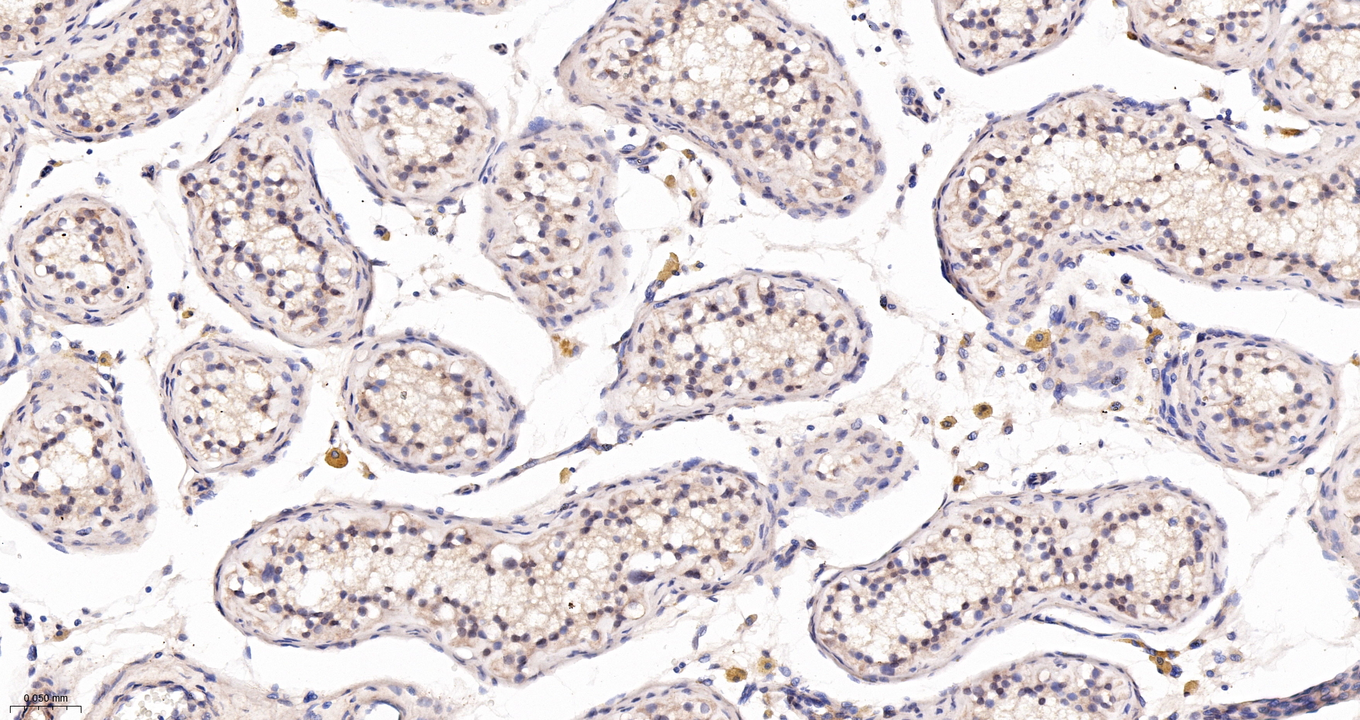
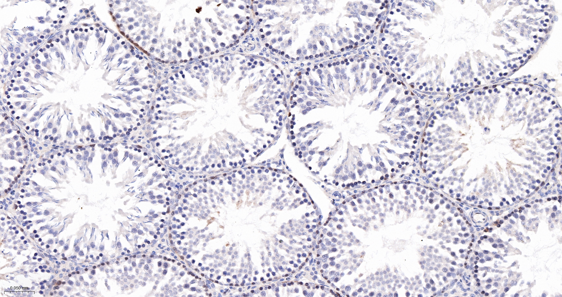
Product Name Caspase 2 Recombinant Antibody
Applications WB, IHC-P, IHC-F, IF, Flow-Cyt, ICC/IF
Reactivity Human, Mouse, Rat
Specifications
Conjugation Unconjugated
Host Rabbit
Source KLH conjugated synthetic peptide derived from human Caspase 2
Clonality Recombinant
Isotype IgG
Concentration Lot dependent
Purification Purified by Protein A.
Storage Buffer 0.01M TBS (pH 7.4), 1% BSA, 0.02% Proclin 300, and 50% Glycerol
Storage Condition Shipped at 4C. Store at -20C for one year. Avoid repeated freeze/thaw cycles.
Target
Gene ID 835
Swiss Prot P42575
Subcellular location Cytoplasm, Nucleus
Synonyms Caspase-2; Caspase 2; Caspase2; CASP-2; Neural precursor cell expressed developmentally down-regulated protein 2; NEDD-2; Protease ICH-1; CASP2; ICH1; NEDD2.
Background Caspase-2 is a Class I caspase with a long prodomain necessary for nuclear localization. Caspase-2 is the nuclear apoptotic respondent to cellular genotoxic stress or mitotic catastrophe. Activation occurs upon recruitment to a complex containing a p53-induced death domain protein, PIDD.
Application Dilution
WB 1:300-5000
IHC-P 1:200-400
IHC-F 1:100-500
IF
Flow-Cyt 1ug/Test
ICC/IF 1:50-100