RECEIVE 25% OFF PUBLISHED ANTIBODIES WITH CODE "PUB25"! Offer valid for US customers and available internationally through distributors.

MBP Recombinant Antibody

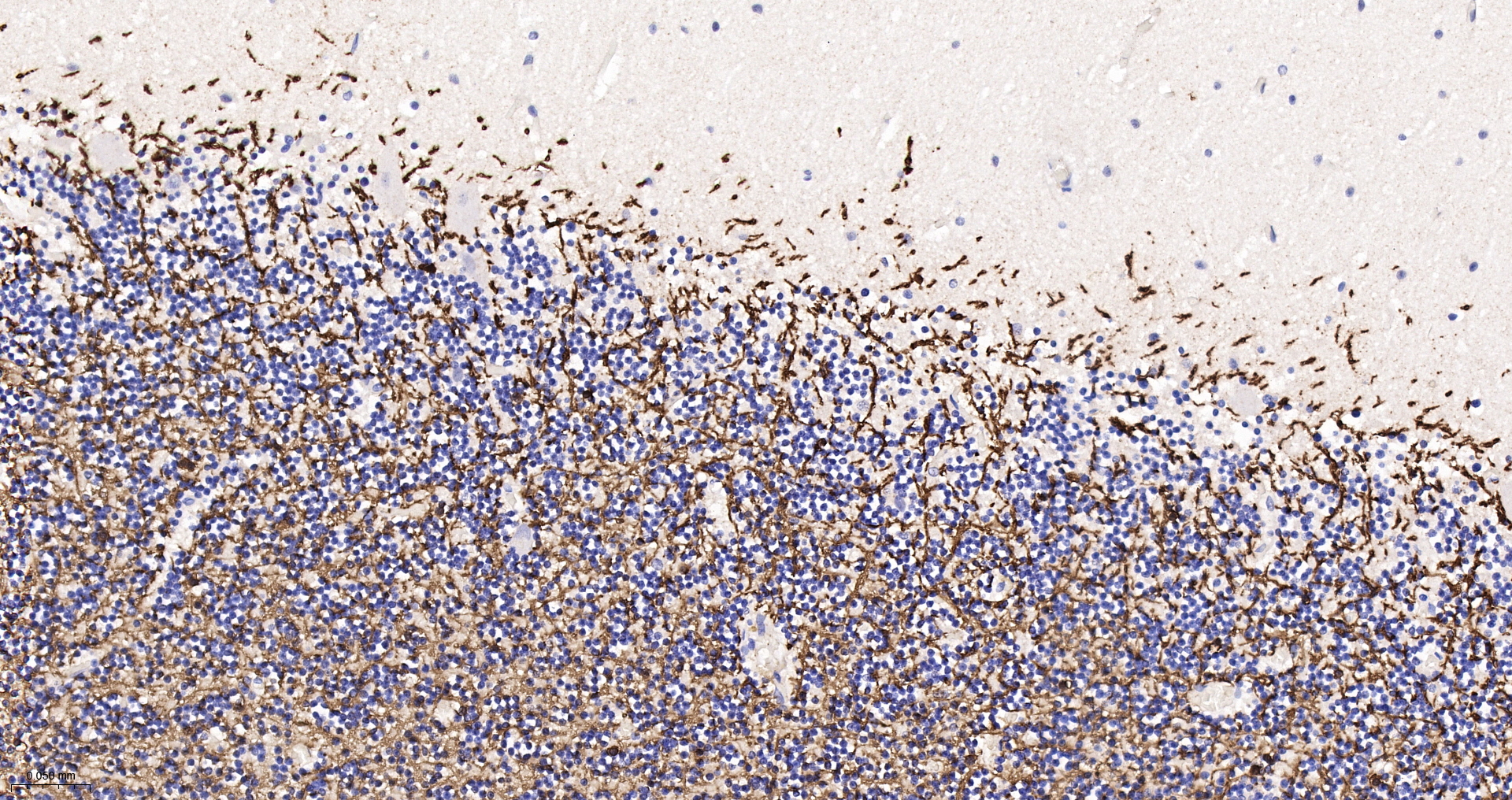
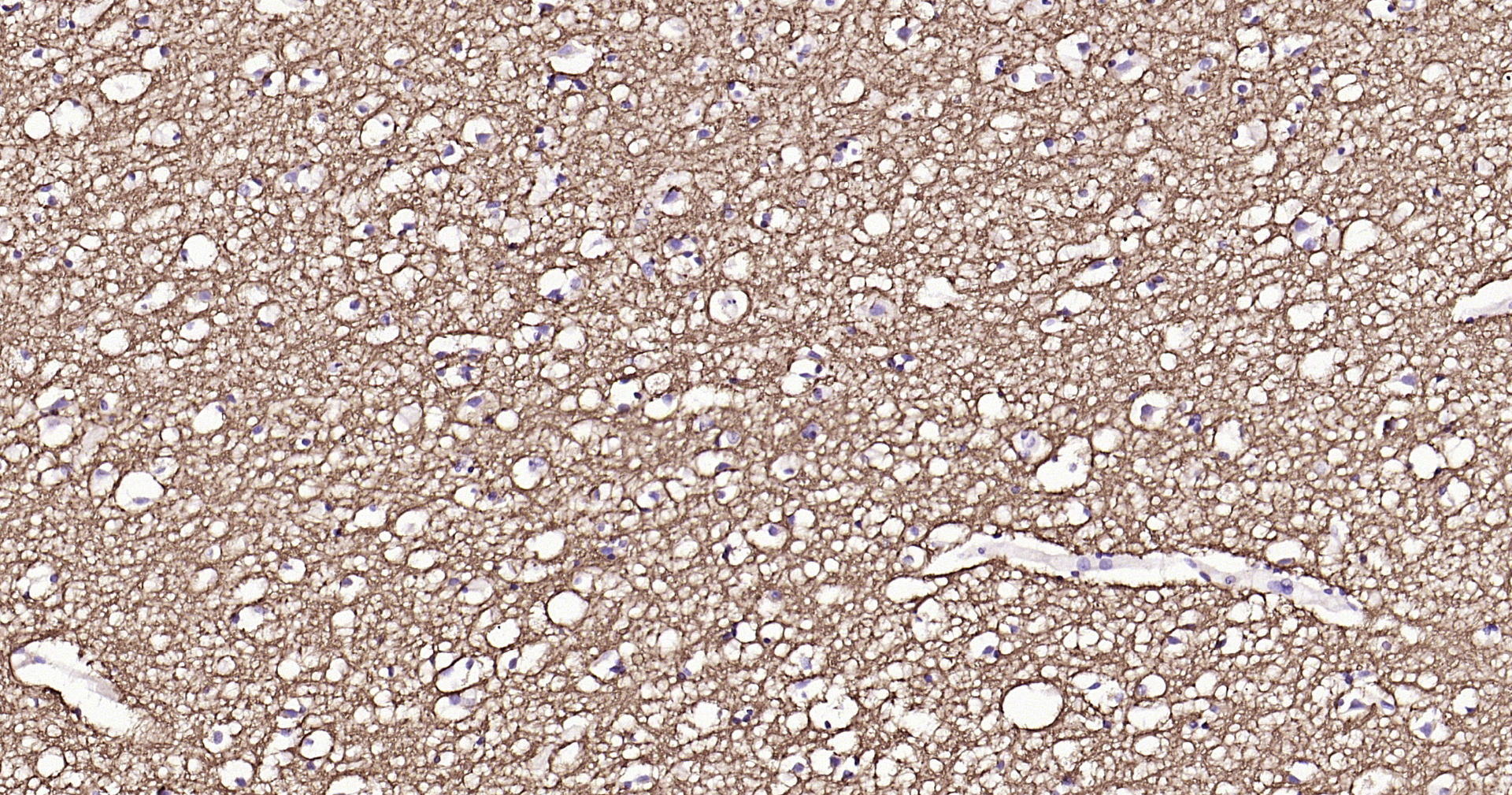
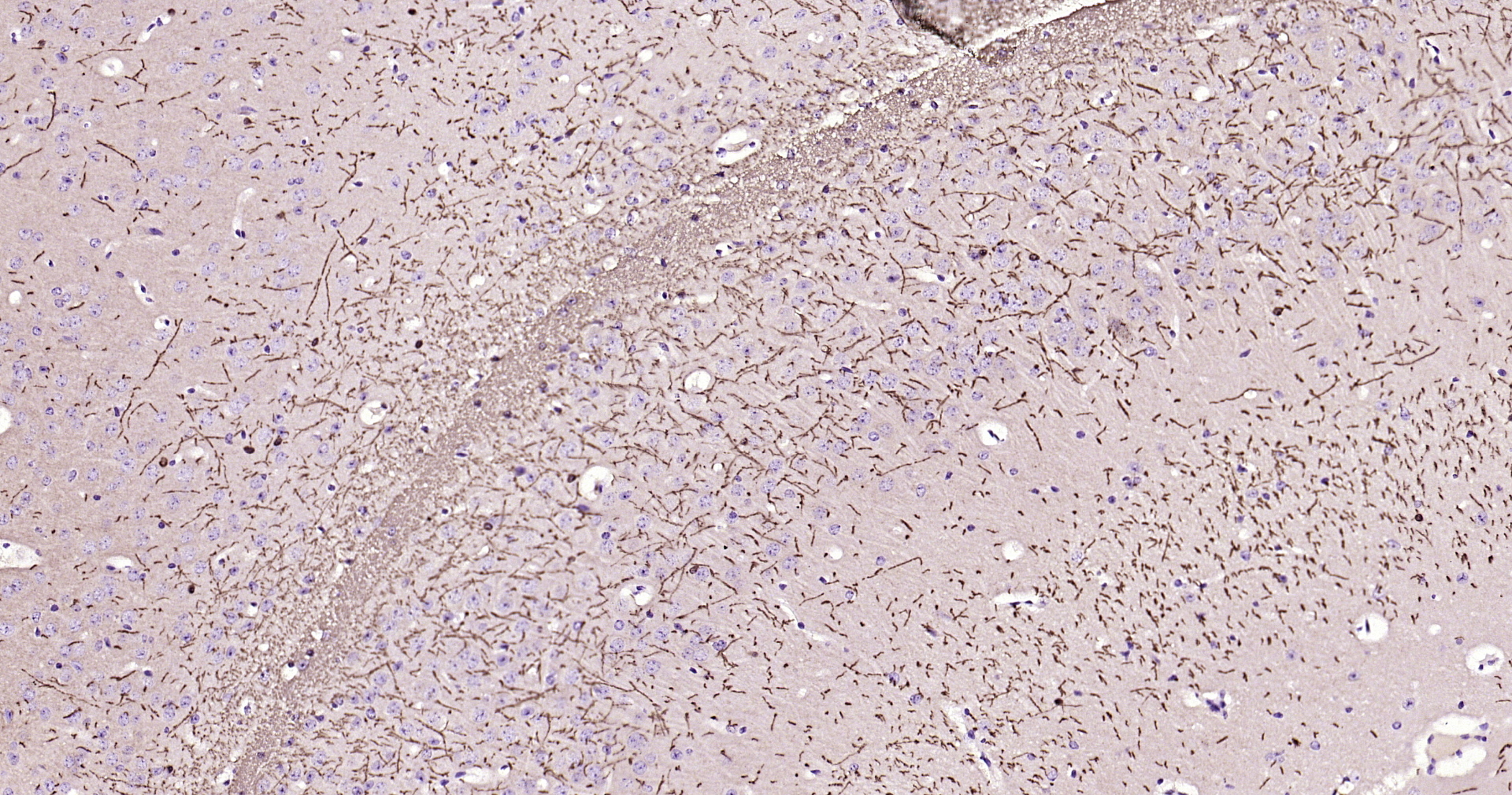
Applications

  • WB
  • IHC-P
  • IHC-F
  • IF(IHC-P)

Reactivity

  • Human
  • Mouse
  • Rat
Overview
Catalog # bsm-61377r-100ul
Product Name MBP Recombinant Antibody
Applications WB, IHC-P, IHC-F, IF(IHC-P)
Reactivity Human, Mouse, Rat
Specifications
Conjugation Unconjugated
Host Rabbit
Source KLH conjugated synthetic peptide derived from human Myelin basic protein
Clonality Recombinant
Isotype IgG
Concentration 1mg/ml
Purification Purified by Protein A.
Storage Buffer 0.01M TBS (pH 7.4), 1% BSA, 0.02% Proclin 300, and 50% Glycerol
Storage Condition Shipped at 4C. Store at -20C for one year. Avoid repeated freeze/thaw cycles.
Target
Gene ID 4155
Swiss Prot P02686
Subcellular location Cytoplasm, Cell membrane
Synonyms MGC99675; MBP; Myelin basic protein; HUGO; MLD; GDB.
Background The classic group of MBP isoforms (isoform 4-isoform?14) are with PLP the most abundant protein components of the myelin membrane in the CNS. They have a role in both its formation and stabilization. The smaller isoforms might have an important role in remyelination of denuded axons in multiple sclerosis.
Application Dilution
WB 1:1000-5000
IHC-P IHC-P1:200-500
IHC-F IHC-F1:200-500
IF(IHC-P) IFIHC-P1:200-500