Receive 30% off all Monoclonal IHC antibodies with code "MONO-IHC-30"! Offer valid for US customers and available internationally through distributors.

S100A6 Recombinant Antibody

Applications

  • WB
  • IHC-P
  • IHC-F
  • IP
  • IF
  • Flow-Cyt
  • ICC/IF

Reactivity

  • Human
  • Mouse
  • Rat
Overview
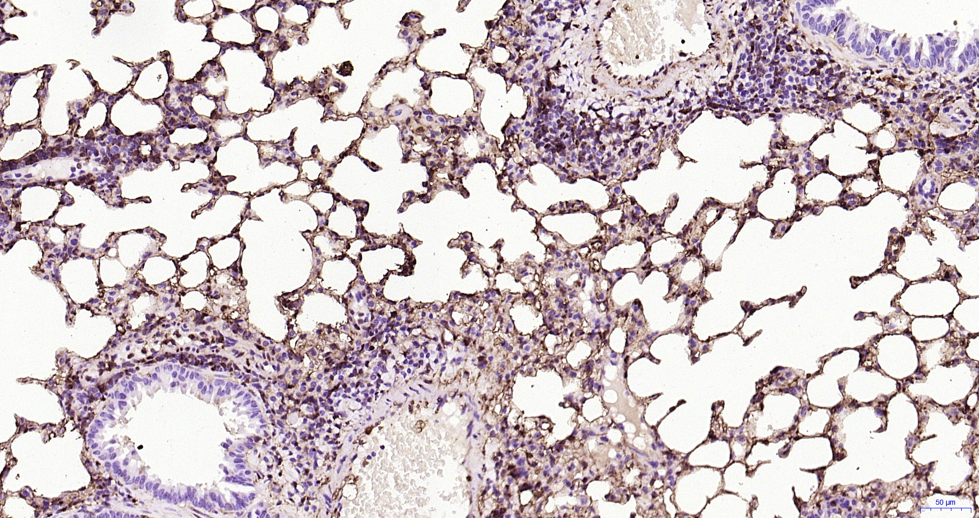
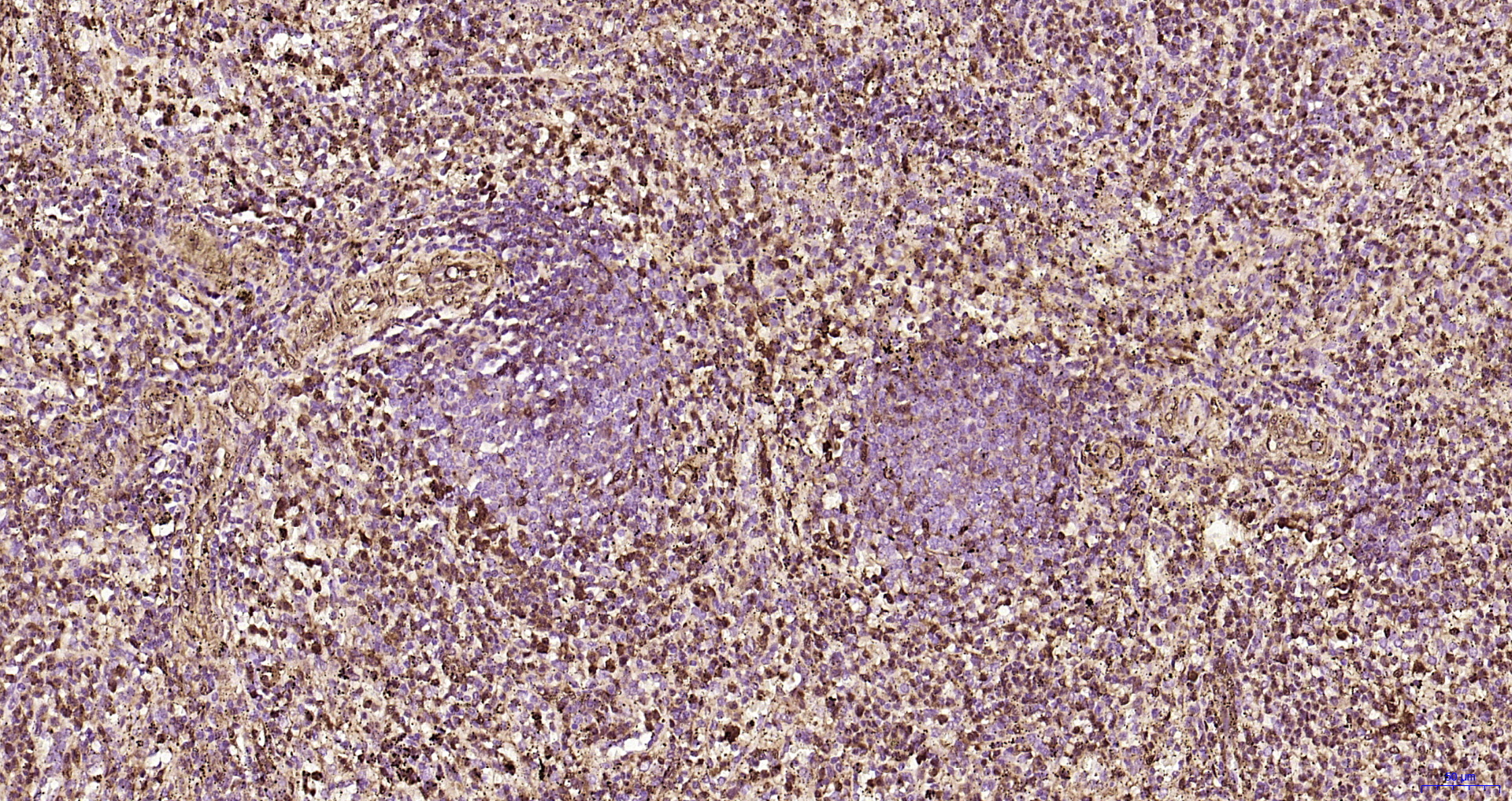
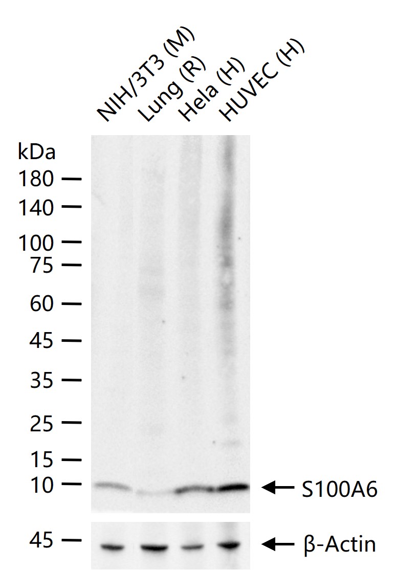
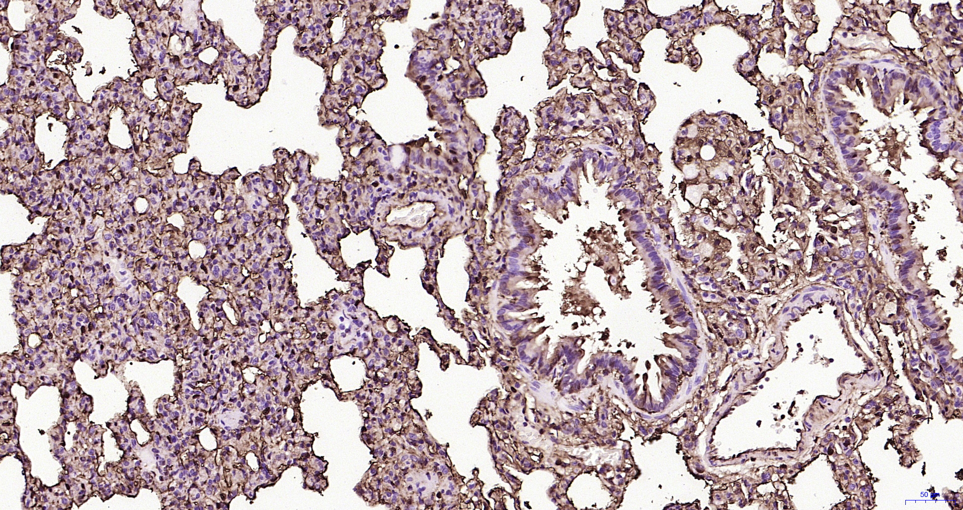
Catalog # bsm-61393r
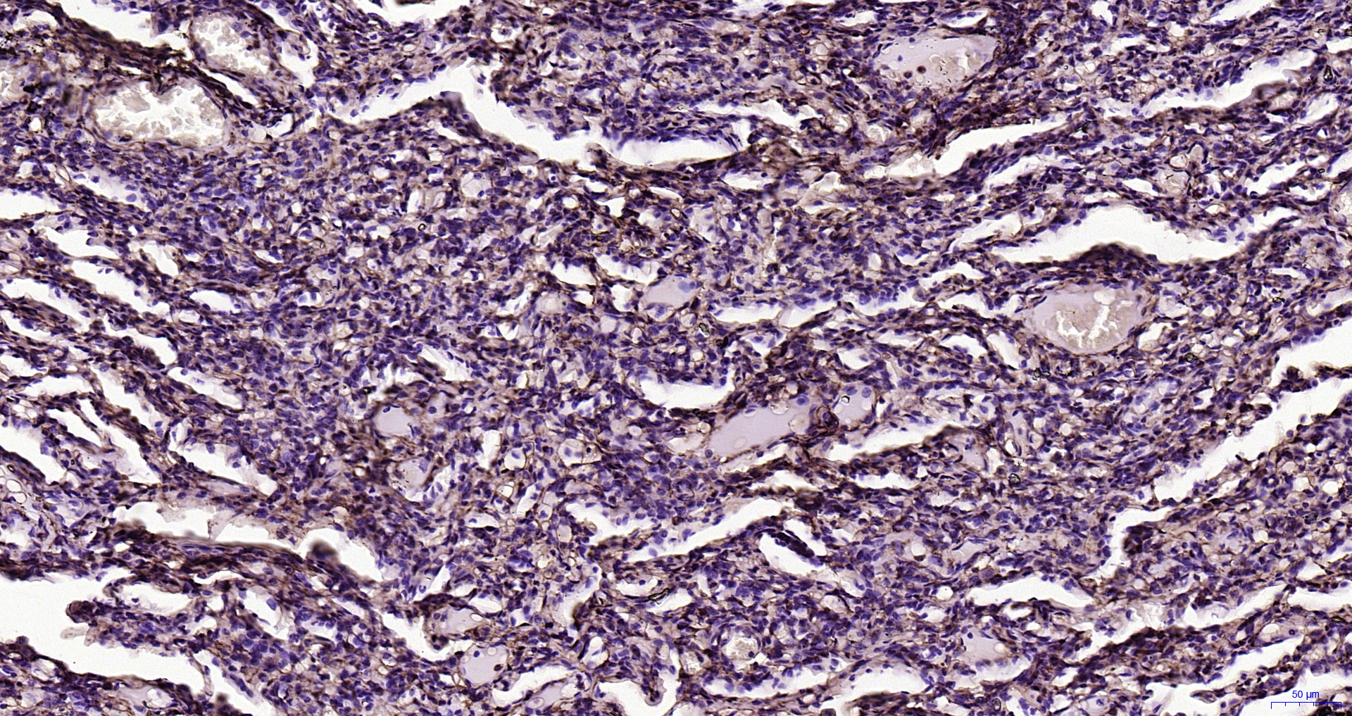
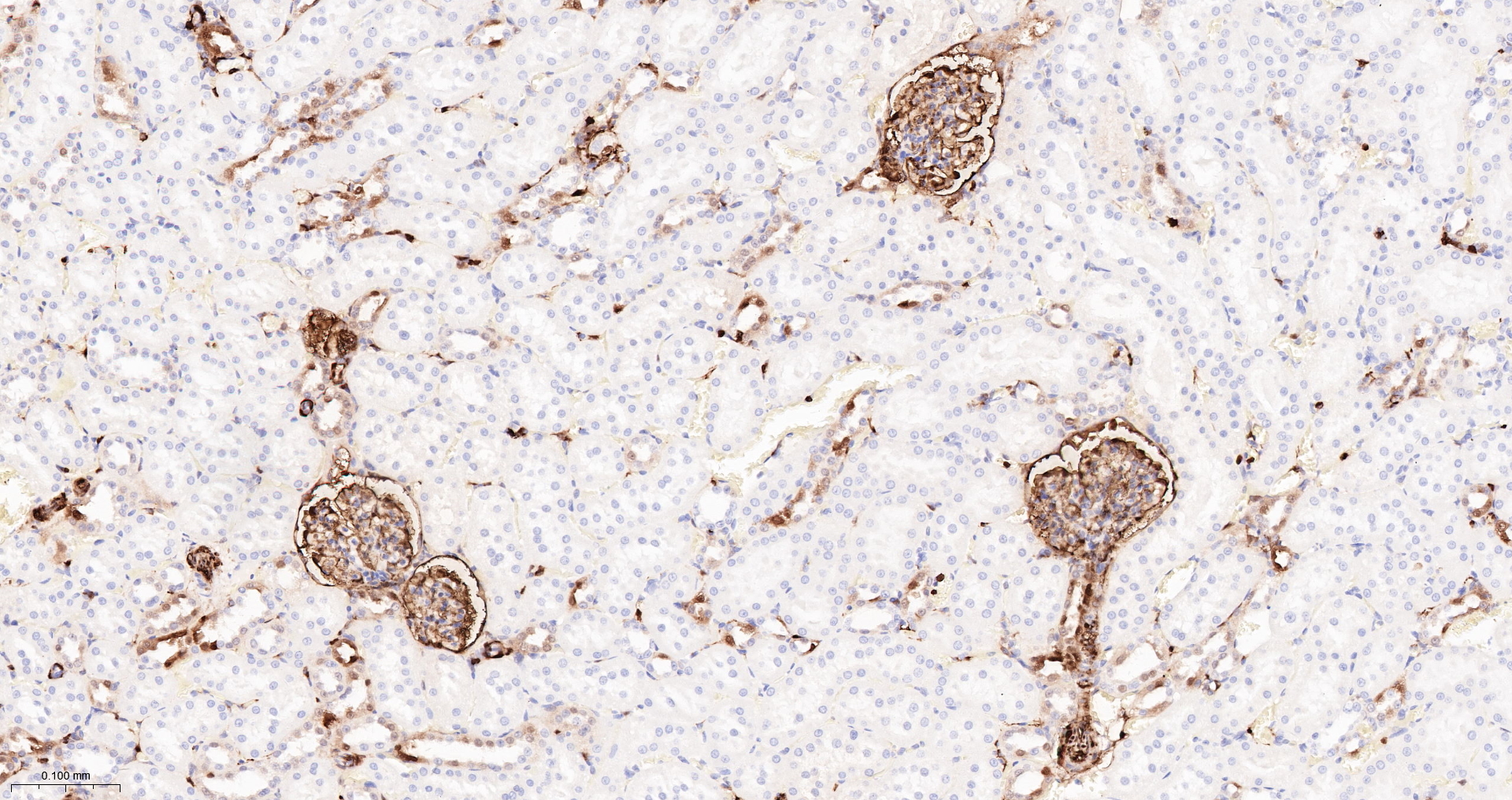
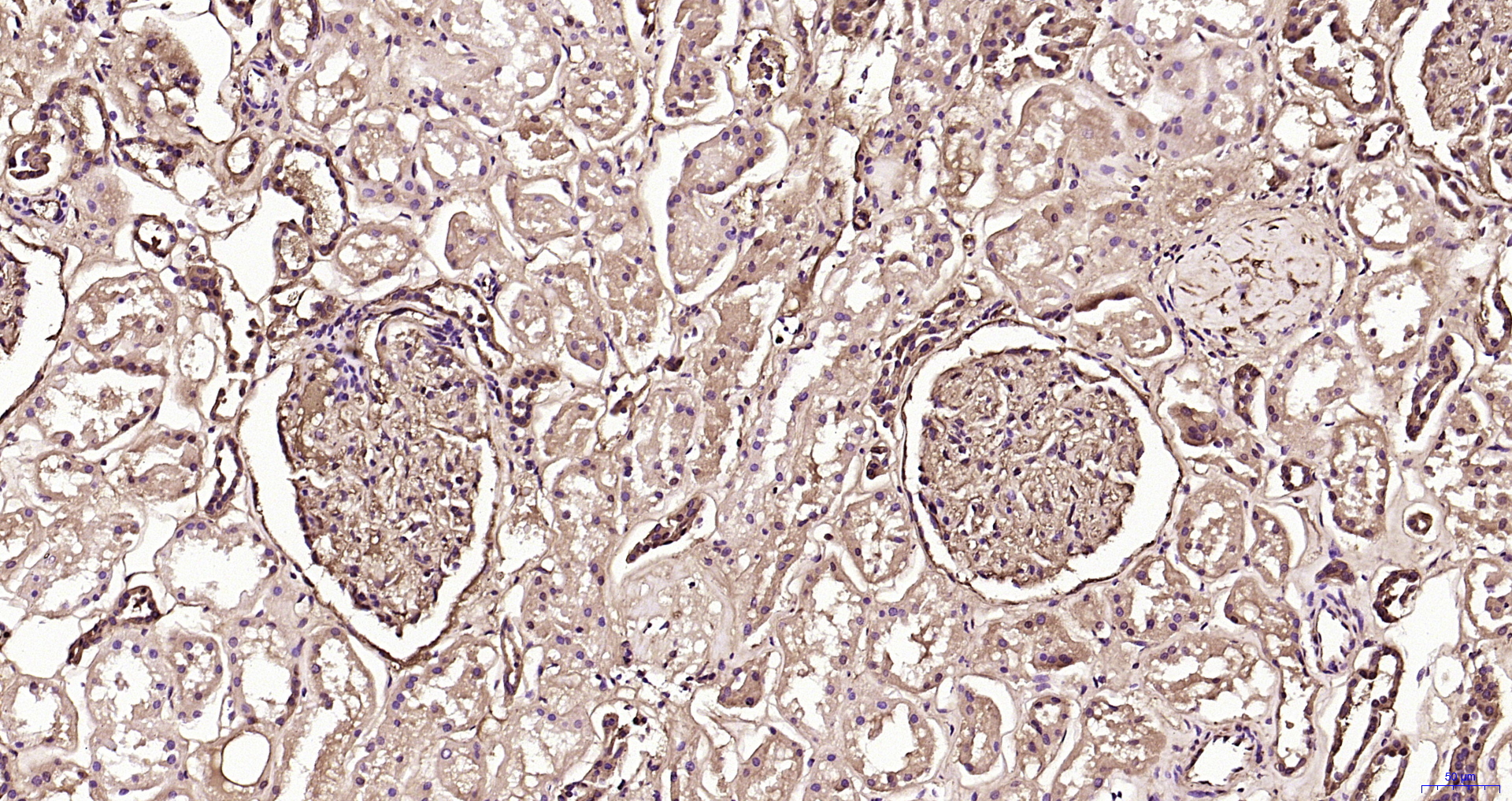
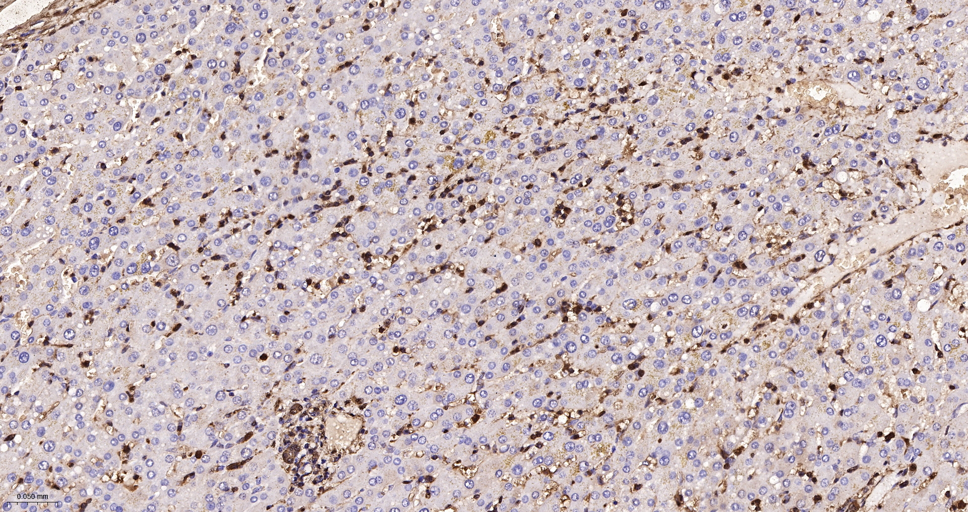
Product Name S100A6 Recombinant Antibody
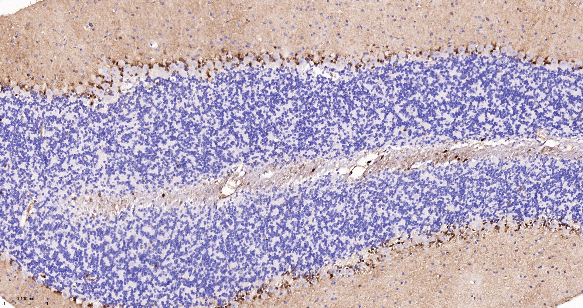
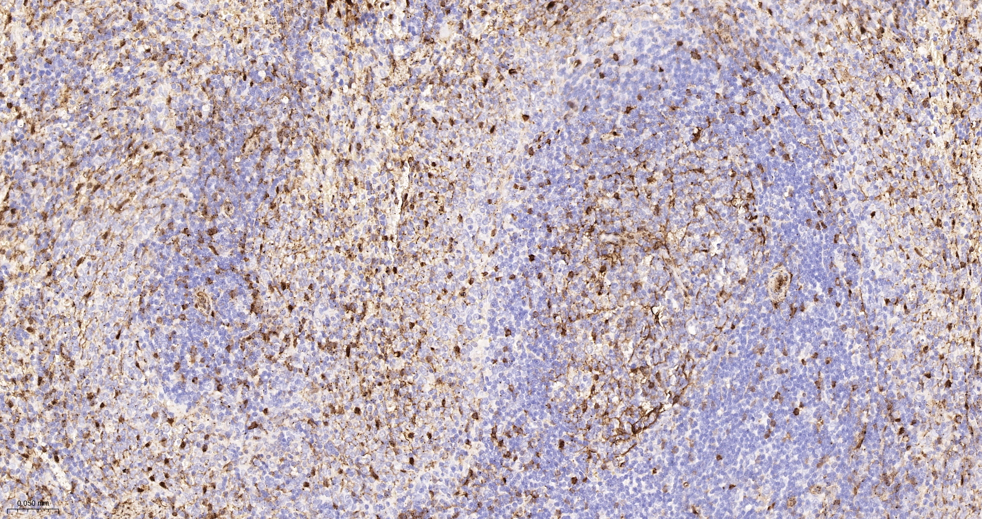
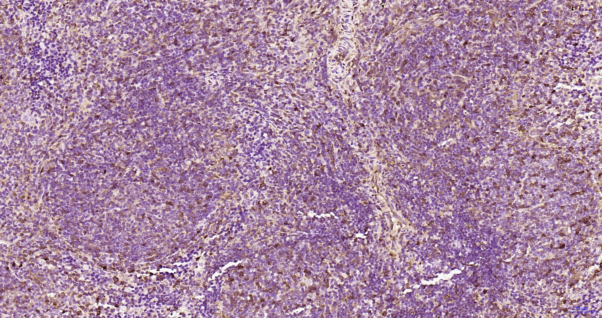
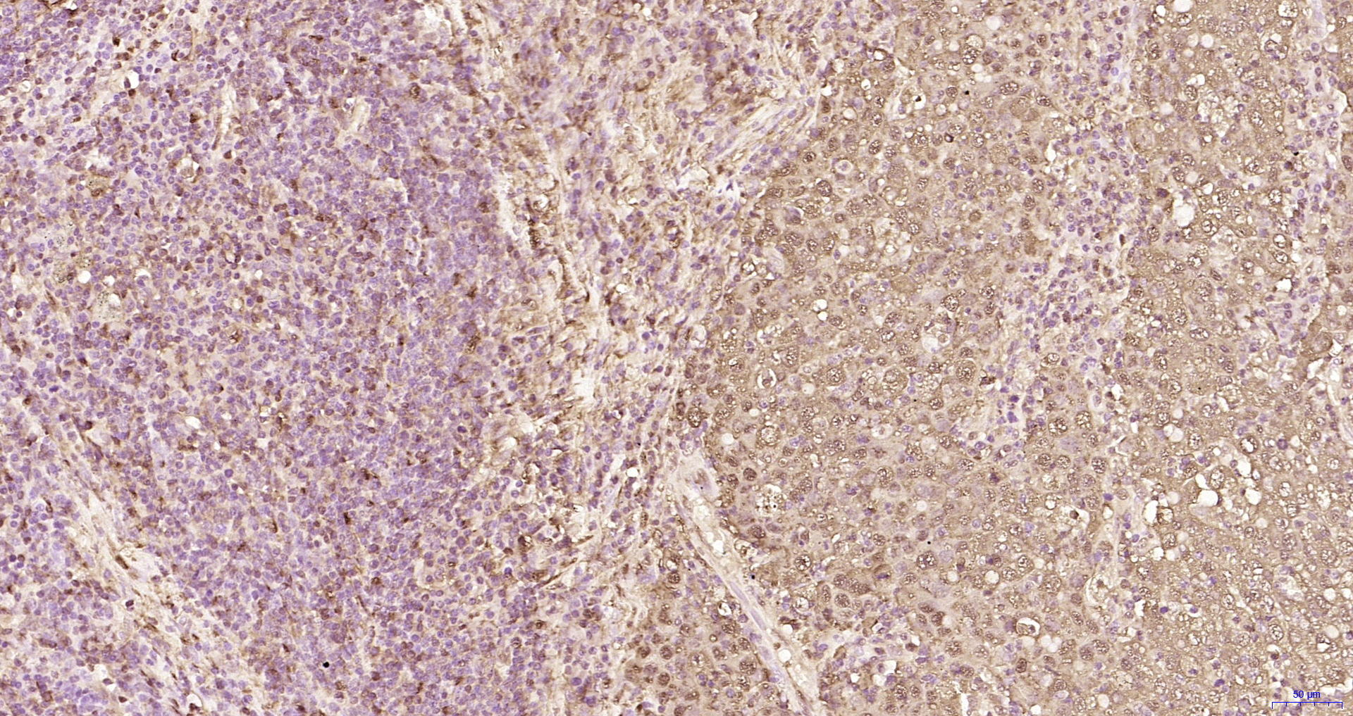
Applications WB, IHC-P, IHC-F, IP, IF, Flow-Cyt, ICC/IF
Reactivity Human, Mouse, Rat
Specifications
Conjugation Unconjugated
Host Rabbit
Source KLH conjugated synthetic peptide derived from human S100A6
Clonality Recombinant
Isotype IgG
Concentration Lot dependent
Purification Purified by Protein A.
Storage Buffer 0.01M TBS (pH 7.4), 1% BSA, 0.02% Proclin 300, and 50% Glycerol
Storage Condition Shipped at 4C. Store at -20C for one year. Avoid repeated freeze/thaw cycles.
Target
Gene ID 6277
Swiss Prot P06703
Subcellular location Cytoplasm, Nucleus, Cell membrane
Synonyms Protein S100-A6; Calcyclin; MLN 4; PRA; CACY; CABP; 5B10.
Background May function as calcium sensor and modulator, contributing to cellular calcium signaling. May function by interacting with other proteins, such as TPR-containing proteins, and indirectly play a role in many physiological processes such as the reorganization of the actin cytoskeleton and in cell motility. Binds 2 calcium ions. Calcium binding is cooperative.
Application Dilution
WB 1:300-5000
IHC-P 1:200-400
IHC-F 1:100-500
IP 1-2ug
IF
Flow-Cyt 1ug/Test
ICC/IF 1:50-100