RECEIVE 25% OFF PUBLISHED ANTIBODIES WITH CODE "PUB25"! Offer valid for US customers and available internationally through distributors.

Parvalbumin Recombinant Antibody

Applications

  • WB
  • IHC-P
  • IHC-F
  • IF(IHC-P)
  • IP

Reactivity

  • Human
  • Mouse
  • Rat
Overview
Catalog # bsm-61405r-100ul
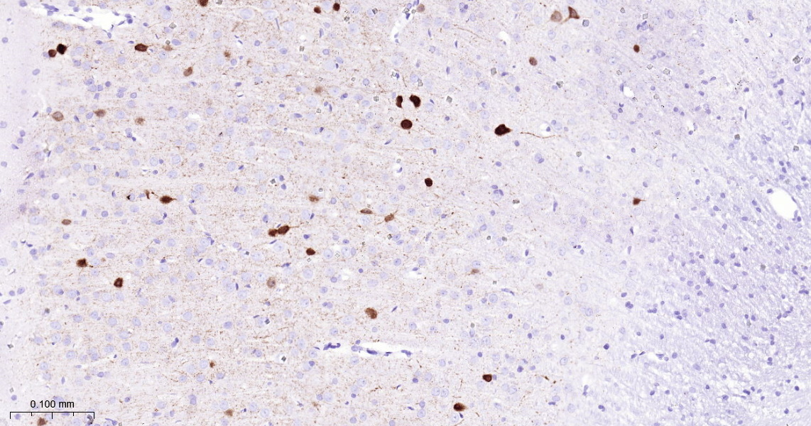
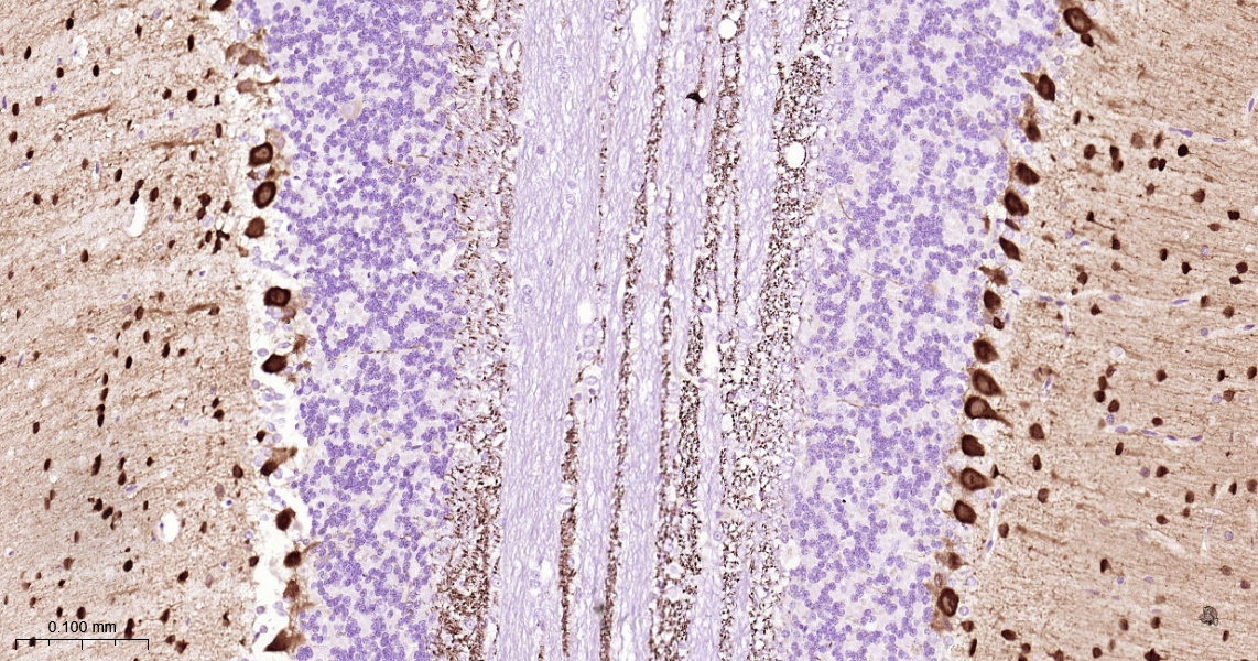
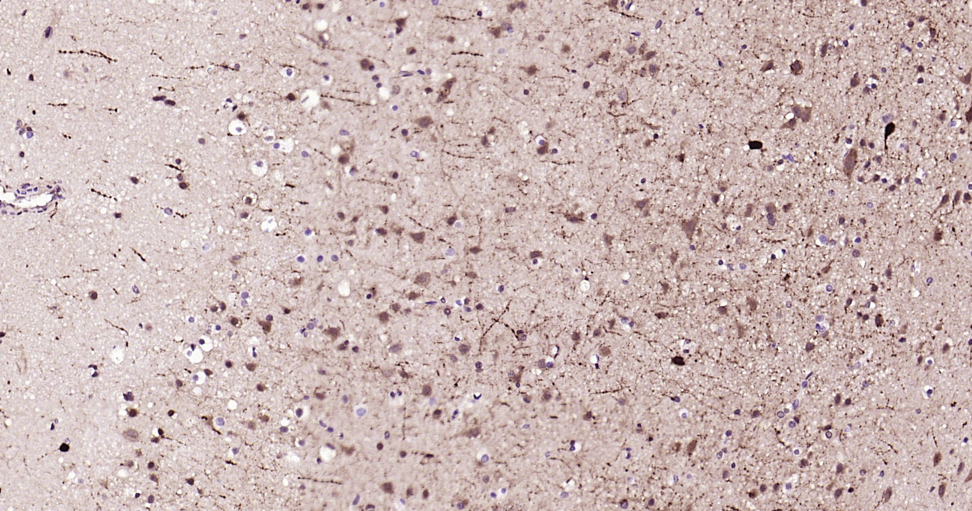
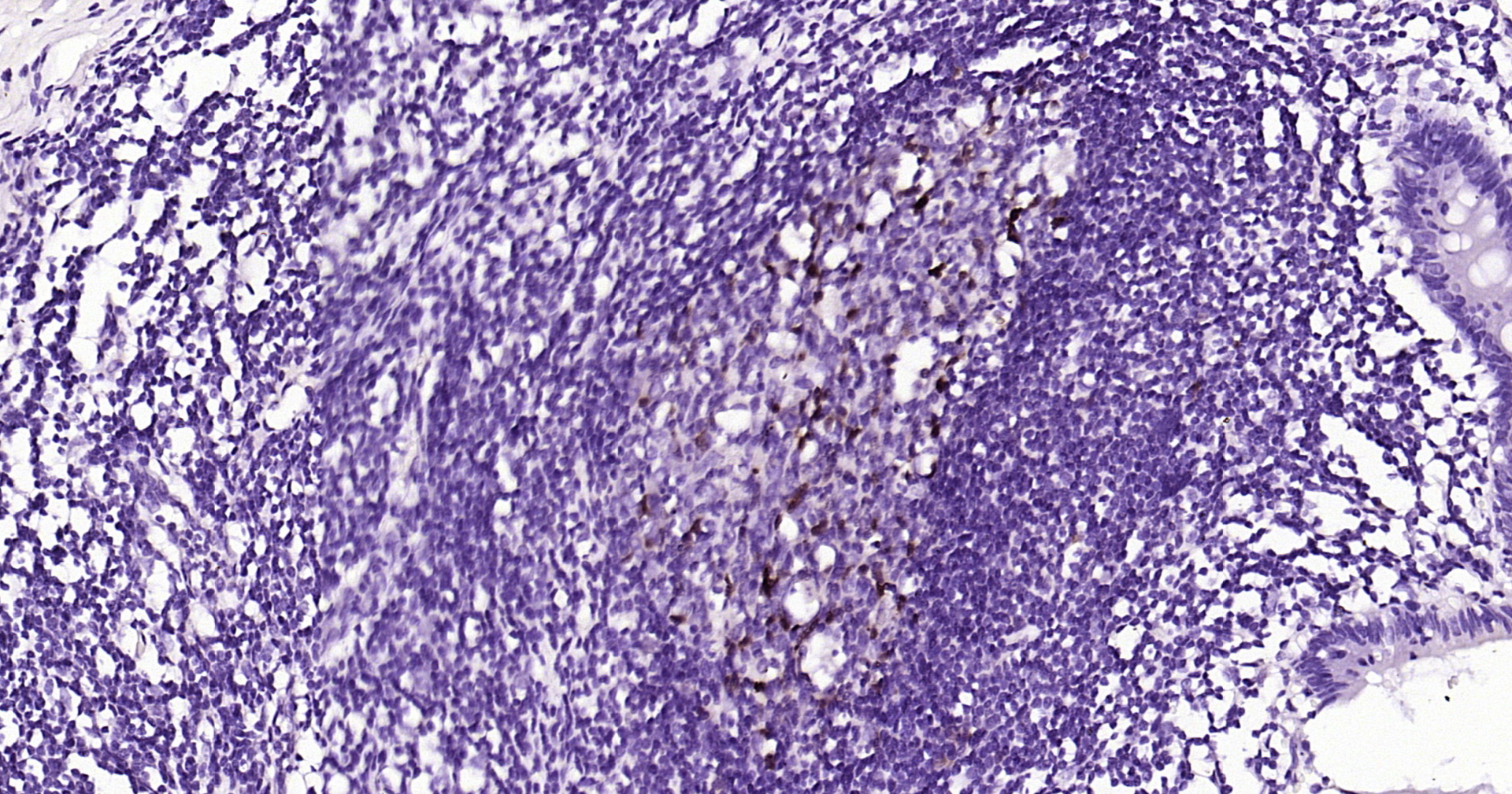
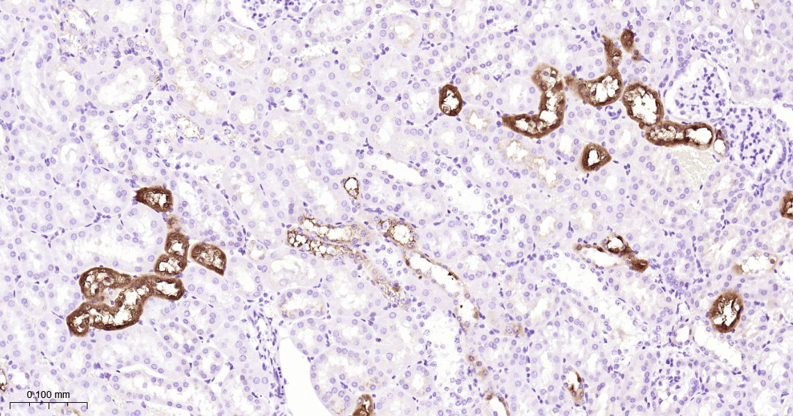
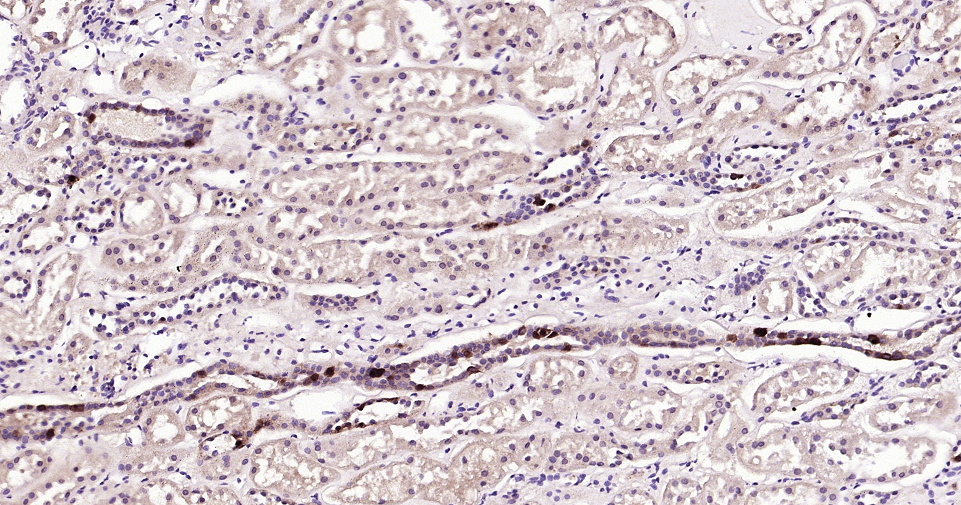
Product Name Parvalbumin Recombinant Antibody
Applications WB, IHC-P, IHC-F, IF(IHC-P), IP
Reactivity Human, Mouse, Rat
Specifications
Conjugation Unconjugated
Host Rabbit
Source KLH conjugated synthetic peptide derived from human Parvalbumin alpha
Clonality Recombinant
Isotype IgG
Concentration Lot dependent
Purification Purified by Protein A.
Storage Buffer 0.01M TBS (pH 7.4), 1% BSA, 0.02% Proclin 300, and 50% Glycerol
Storage Condition Shipped at 4C. Store at -20C for one year. Avoid repeated freeze/thaw cycles.
Target
Gene ID 5816
Swiss Prot P20472
Subcellular location Extracellular, Nucleus
Synonyms Parvalbumin alpha; PVALB.
Background In muscle, parvalbumin is thought to be involved in relaxation after contraction. It binds two calcium ions.
Application Dilution
WB 1:500-2000
IHC-P IHC-P1:100-500
IHC-F IHC-F1:100-500
IF(IHC-P) IFIHC-P1:100-500
IP IP1:20-50