RECEIVE 25% OFF PUBLISHED ANTIBODIES WITH CODE "PUB25"! Offer valid for US customers and available internationally through distributors.

PPIA Recombinant Antibody

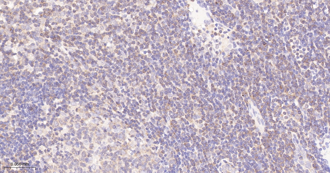
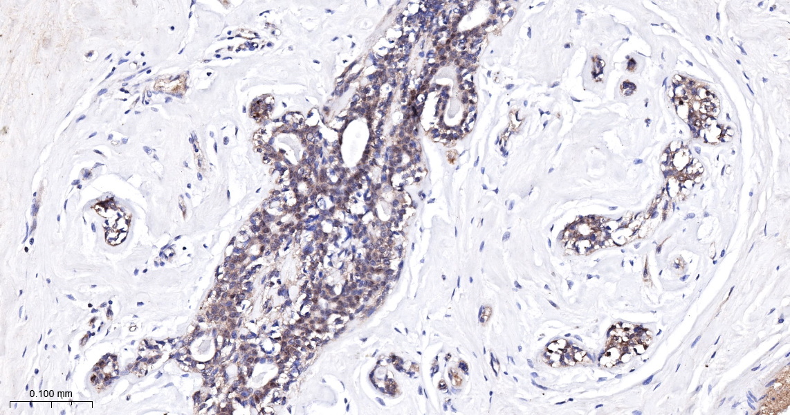
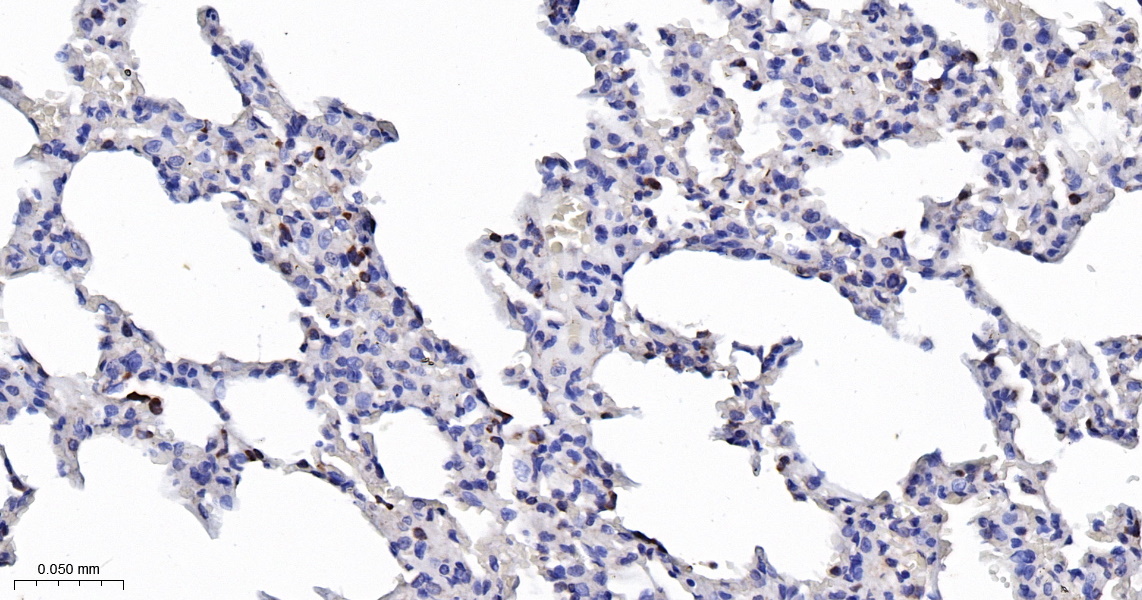
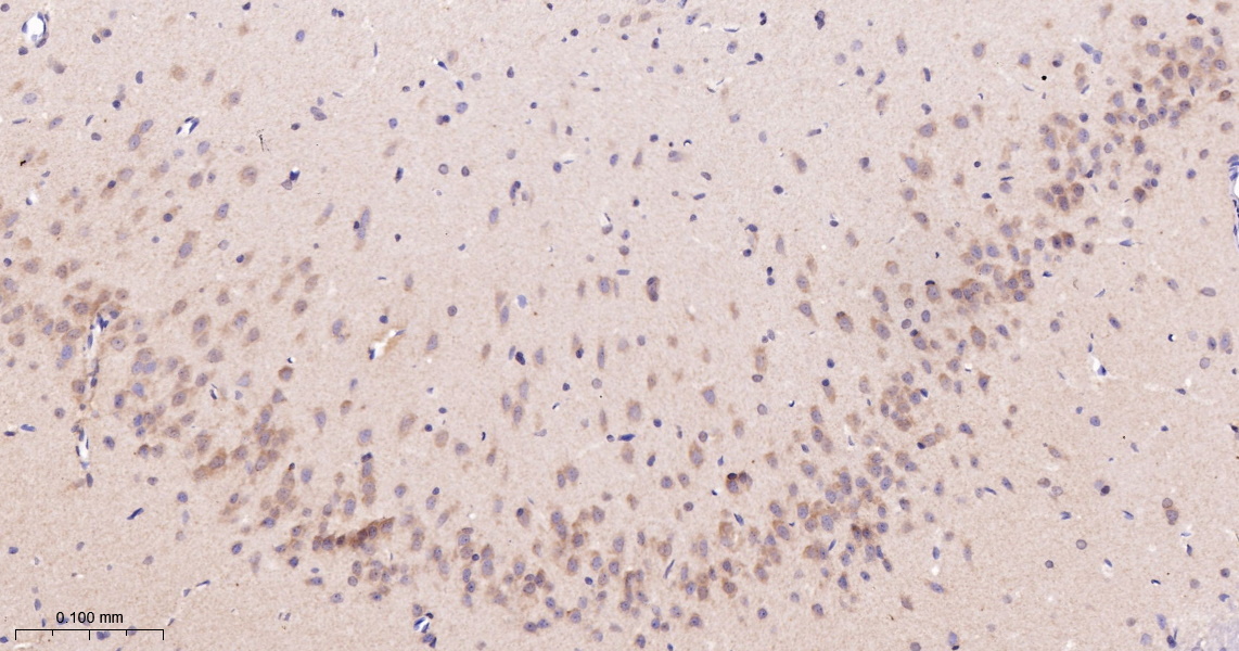
Applications

  • WB
  • IHC-P
  • IHC-F
  • IF(IHC-P)

Reactivity

  • Human
  • Mouse
  • Rat
Overview
Catalog # bsm-61428r-100ul
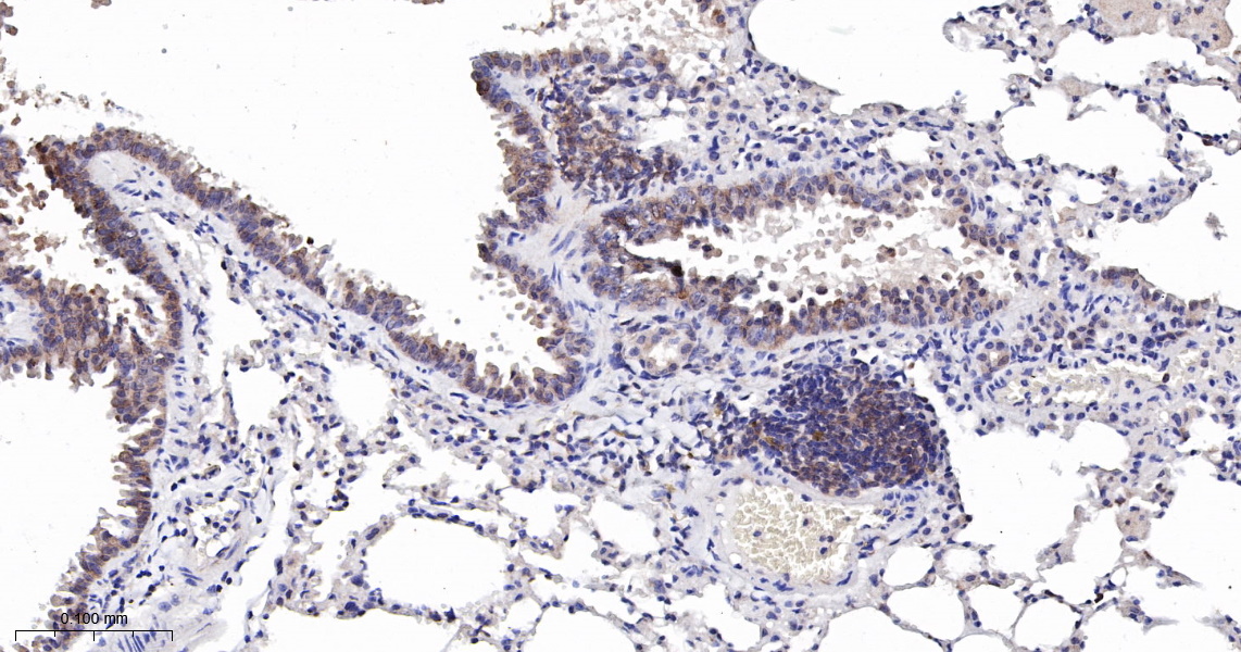
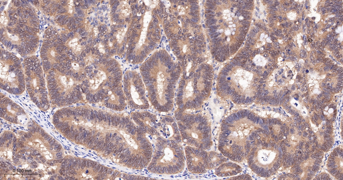
Product Name PPIA Recombinant Antibody
Applications WB, IHC-P, IHC-F, IF(IHC-P)
Reactivity Human, Mouse, Rat
Specifications
Conjugation Unconjugated
Host Rabbit
Source KLH conjugated synthetic peptide derived from human PPIA
Clonality Recombinant
Isotype IgG
Concentration Lot dependent
Purification Purified by Protein A.
Storage Buffer 0.01M TBS (pH 7.4), 1% BSA, 0.02% Proclin 300, and 50% Glycerol
Storage Condition Shipped at 4C. Store at -20C for one year. Avoid repeated freeze/thaw cycles.
Target
Gene ID 5478
Swiss Prot P62937
Subcellular location Cytoplasm
Synonyms CyclophilinA; Cyclosporin A binding protein; CYPA; CYPH; Peptidyl-prolyl cis-trans isomerase A; Rotamase A; PPIase A; PPIA; Peptidyl-prolyl cis-trans isomerase A.
Background PPIases accelerate the folding of proteins. It catalyzes the cis-trans isomerization of proline imidic peptide bonds in oligopeptides.
Application Dilution
WB 1:500-2000
IHC-P IHC-P1:100-500
IHC-F IHC-F1:100-500
IF(IHC-P) IFIHC-P1:100-500