RECEIVE 25% OFF PUBLISHED ANTIBODIES WITH CODE "PUB25"! Offer valid for US customers and available internationally through distributors.

Cathepsin L/V/K/H Recombinant Antibody

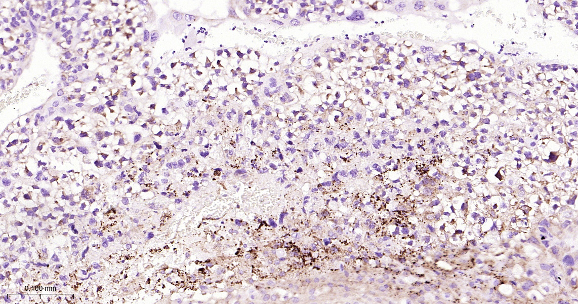
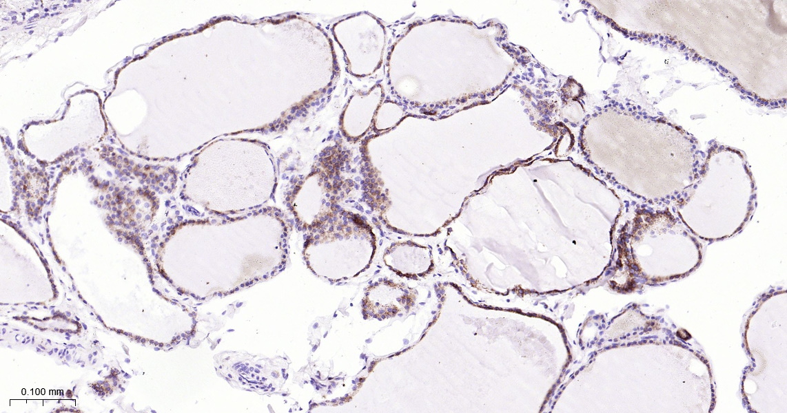
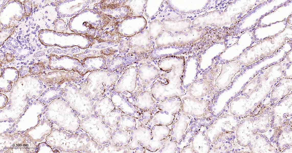
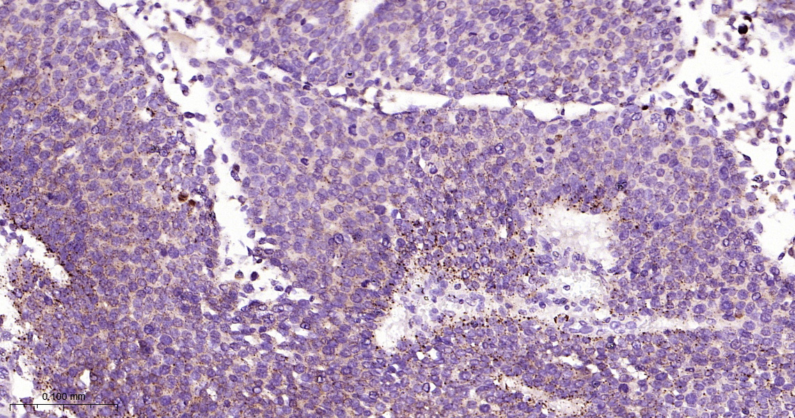
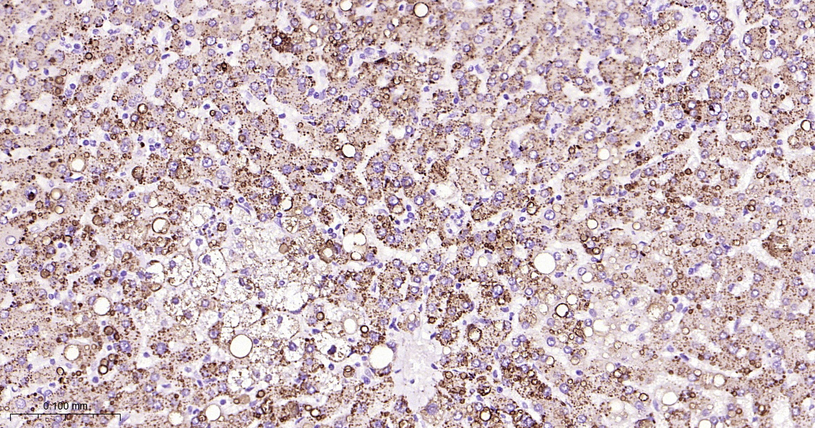
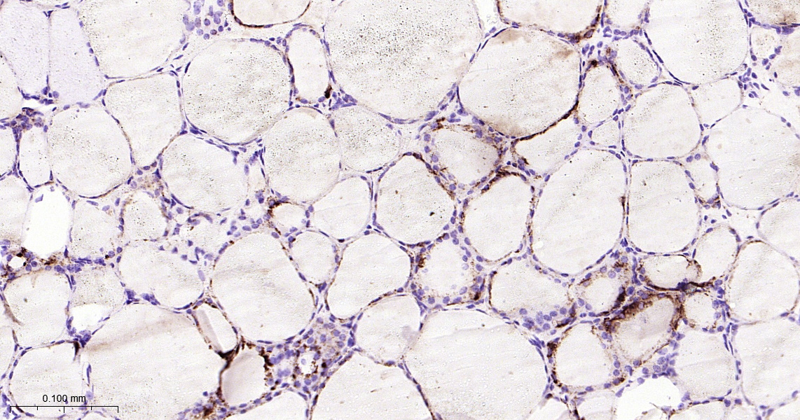
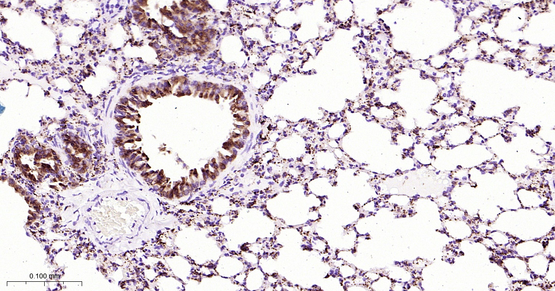
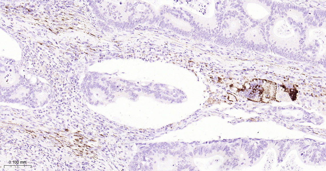
Applications

  • IHC-P
  • IHC-F
  • IF(IHC-P)

Reactivity

  • Human
  • Mouse
Overview
Catalog # bsm-61433r-100ul
Product Name Cathepsin L/V/K/H Recombinant Antibody
Applications IHC-P, IHC-F, IF(IHC-P)
Reactivity Human, Mouse
Specifications
Conjugation Unconjugated
Host Rabbit
Source KLH conjugated synthetic peptide derived from human Cathepsin L/V/K/H
Clonality Recombinant
Isotype IgG
Concentration Lot dependent
Purification Purified by Protein A.
Storage Buffer 0.01M TBS (pH 7.4), 1% BSA, 0.02% Proclin 300, and 50% Glycerol
Storage Condition Shipped at 4C. Store at -20C for one year. Avoid repeated freeze/thaw cycles.
Target
Gene ID 1514
Swiss Prot P07711,O60911,P43235,P09668
Subcellular location Cytoplasm, Secreted, Cell membrane
Synonyms Cathepsin; CTSL; CTSV; CTSK; CTSH.
Background Thiol protease important for the overall degradation of proteins in lysosomes (Probable). Plays a critical for normal cellular functions such as general protein turnover, antigen processing and bone remodeling.
Application Dilution
IHC-P 1:50-200
IHC-F IHC-F1:50-200
IF(IHC-P) IFIHC-P1:50-200