| Overview |
| bsm-61444r |
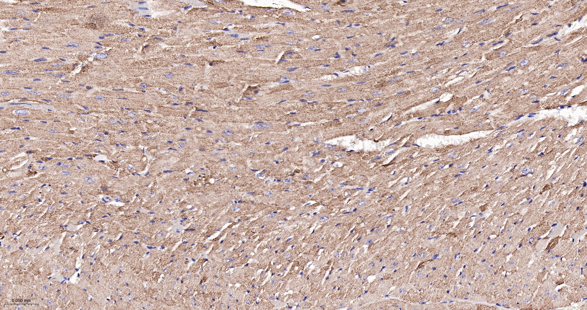
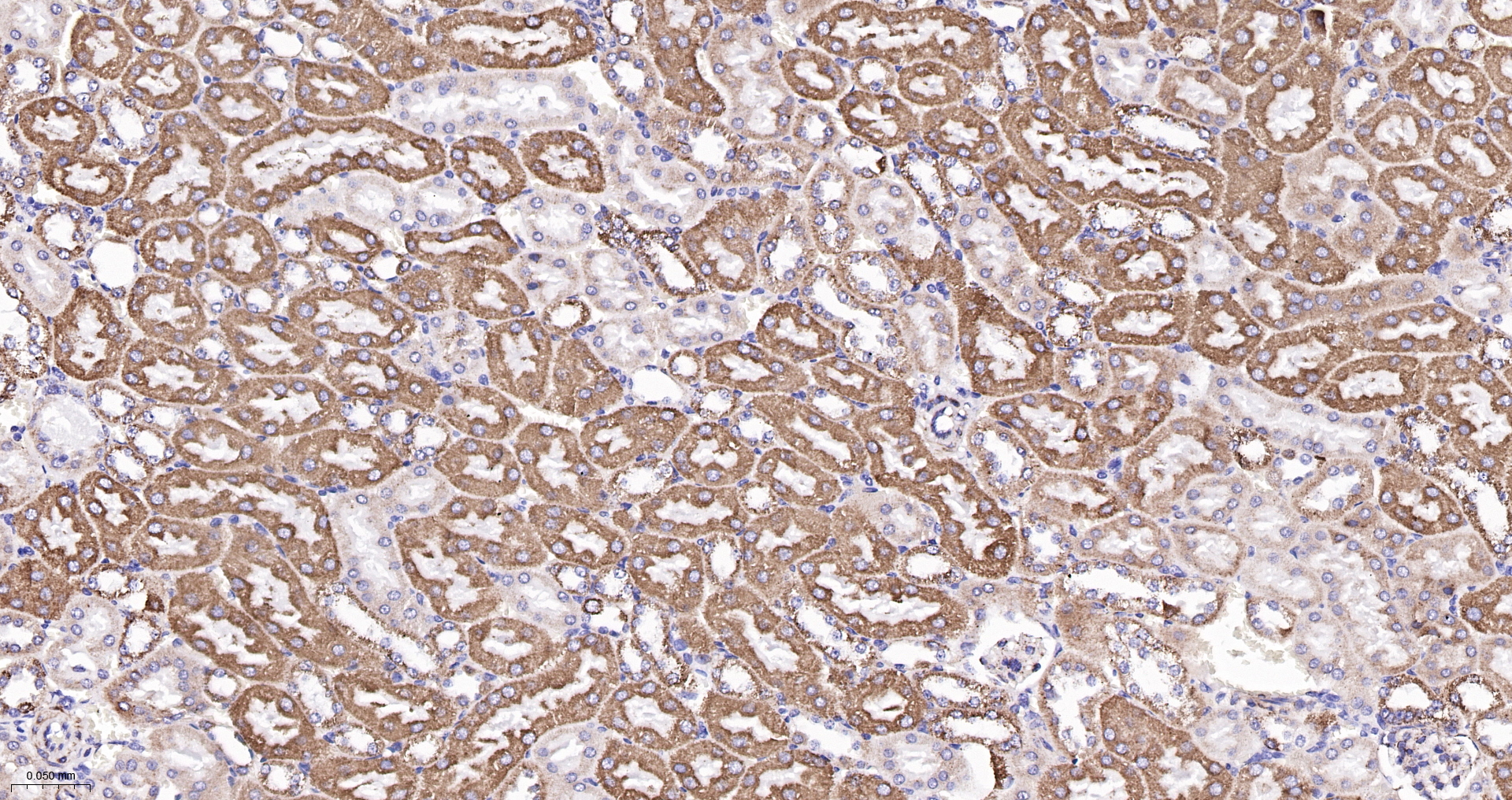
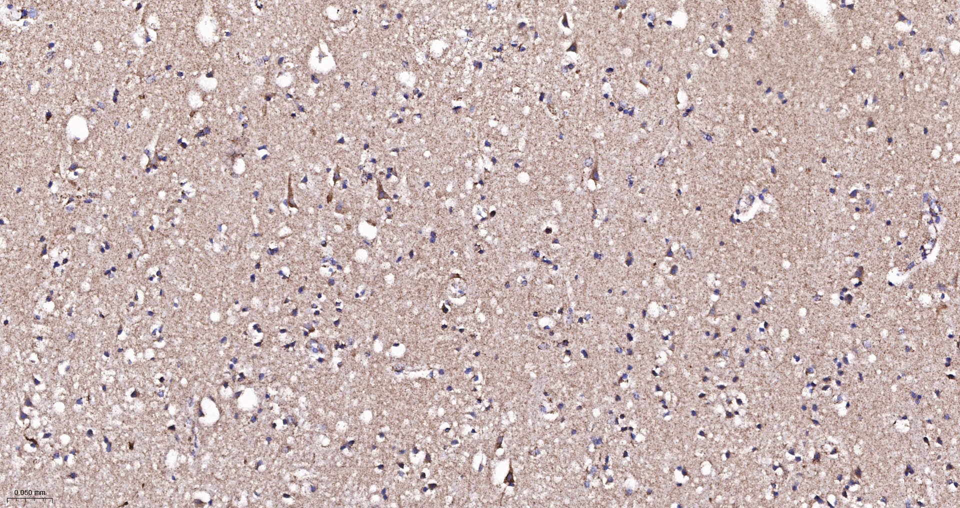
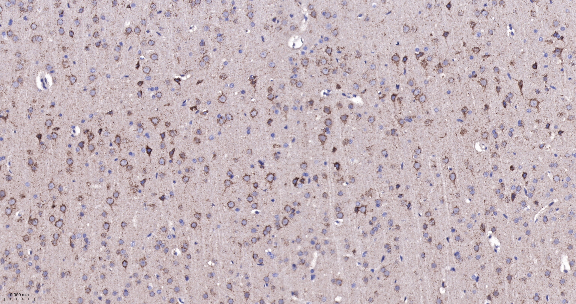
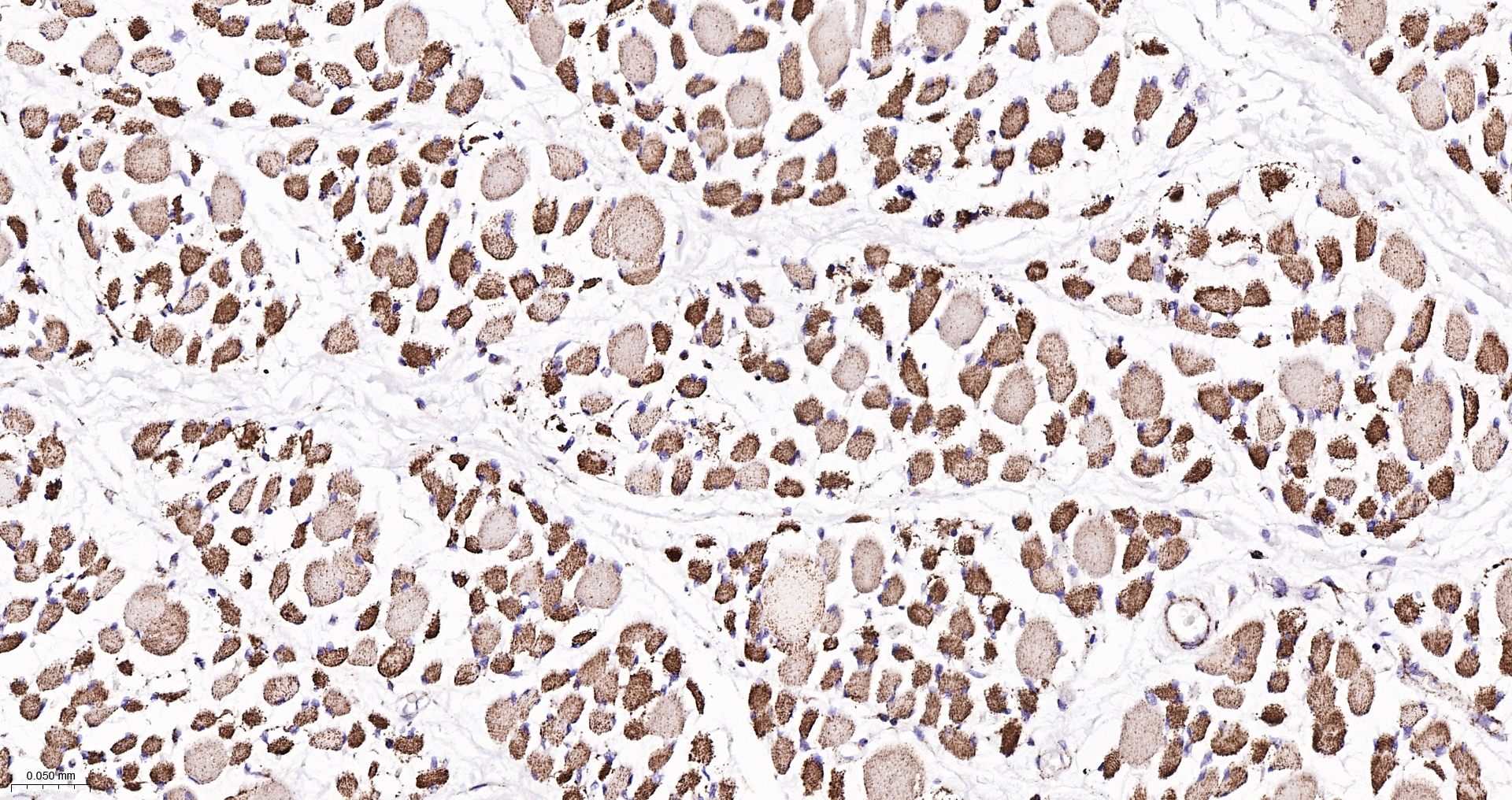
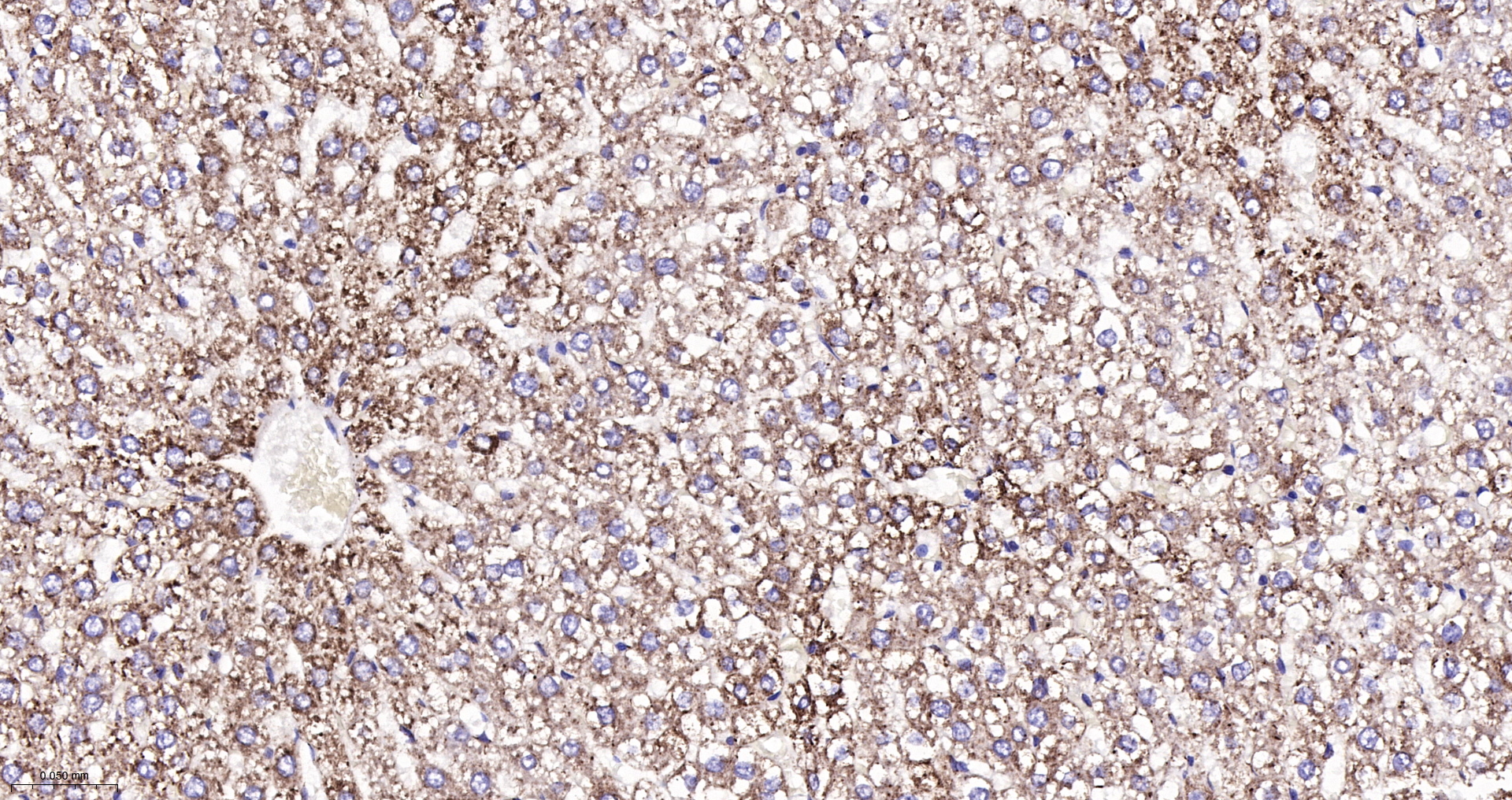
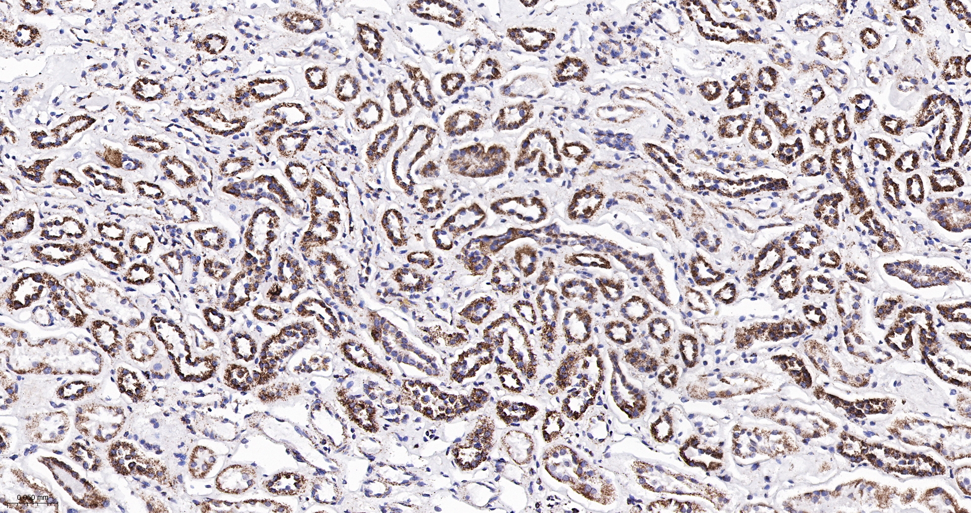
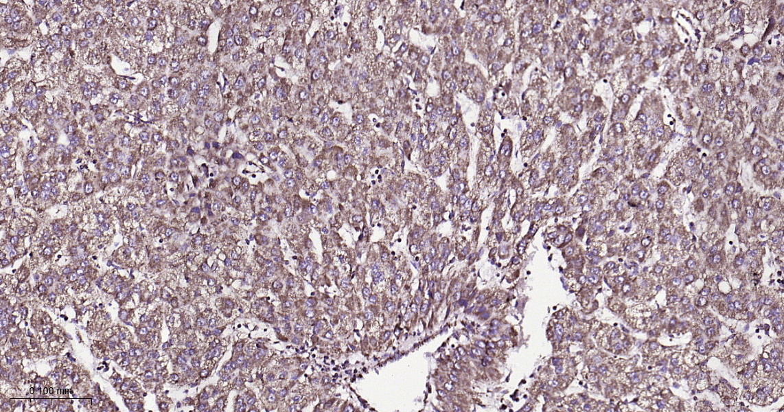
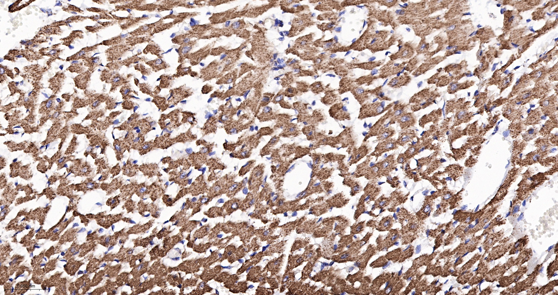
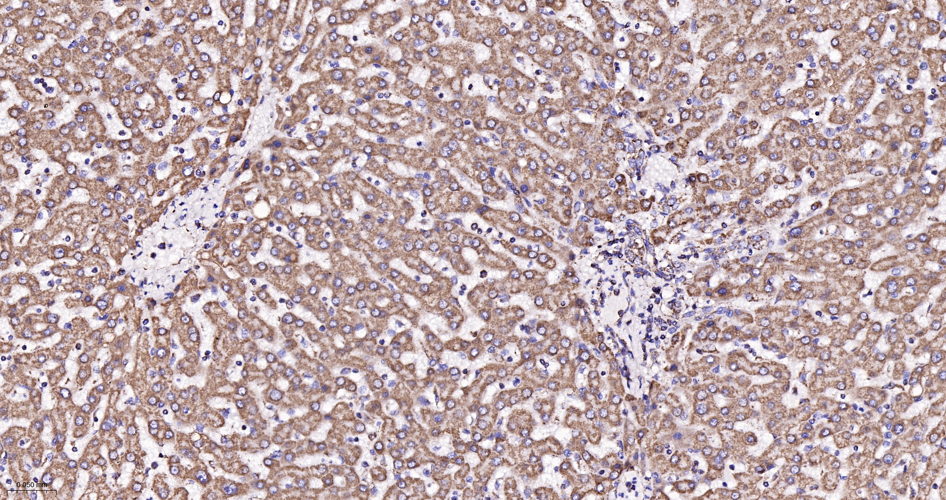
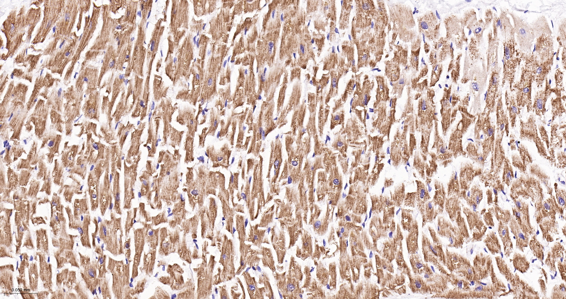
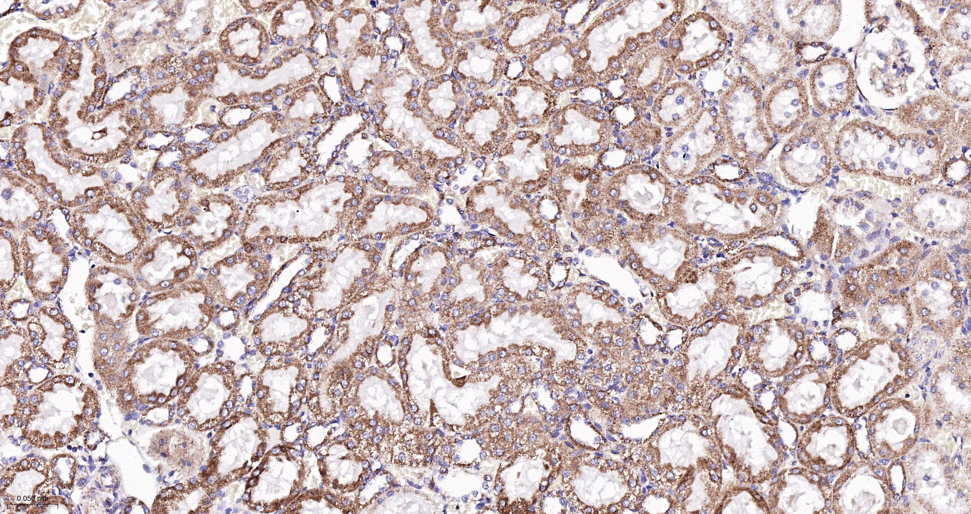
| ATP5A Recombinant Antibody |
| WB, IHC-P, IHC-F, IF, Flow-Cyt, ICC/IF |
| Human, Mouse, Rat |
| Specifications |
| Unconjugated |
| Rabbit |
| KLH conjugated synthetic peptide derived from human ATP5A |
| Recombinant |
| IgG |
| Lot dependent |
| Purified by Protein A. |
| 0.01M TBS (pH 7.4), 1% BSA, 0.02% Proclin 300, and 50% Glycerol |
| Shipped at 4C. Store at -20C for one year. Avoid repeated freeze/thaw cycles. |
| Target |
| 498 |
| P25705 |
| Cytoplasm, Cell membrane |
| Atp5a1; ATP5AL2; ATPM; hATP1; HEL-S-123m; MC5DN4; MOM2. |
| Mitochondrial membrane ATP synthase (F(1)F(0) ATP synthase or Complex V) produces ATP from ADP in the presence of a proton gradient across the membrane which is generated by electron transport complexes of the respiratory chain. F-type ATPases consist of two structural domains, F(1) - containing the extramembraneous catalytic core, and F(0) - containing the membrane proton channel, linked together by a central stalk and a peripheral stalk. |
| Application Dilution |
| WB |
1:300-5000 |
| IHC-P |
1:200-400 |
| IHC-F |
1:100-500 |
| IF |
|
| Flow-Cyt |
1ug/Test |
| ICC/IF |
1:50-100 |