RECEIVE 25% OFF PUBLISHED ANTIBODIES WITH CODE "PUB25"! Offer valid for US customers and available internationally through distributors.

Drosha Recombinant Antibody

Applications

  • WB
  • FCM
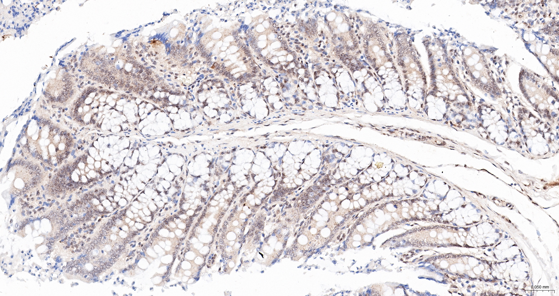
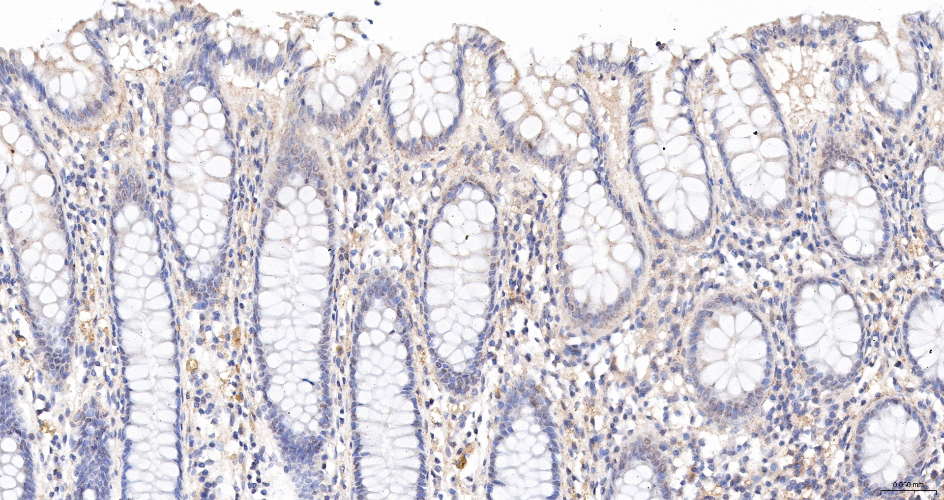
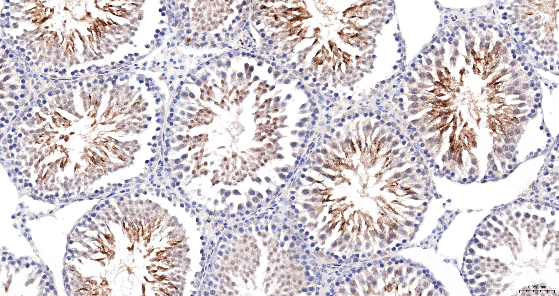
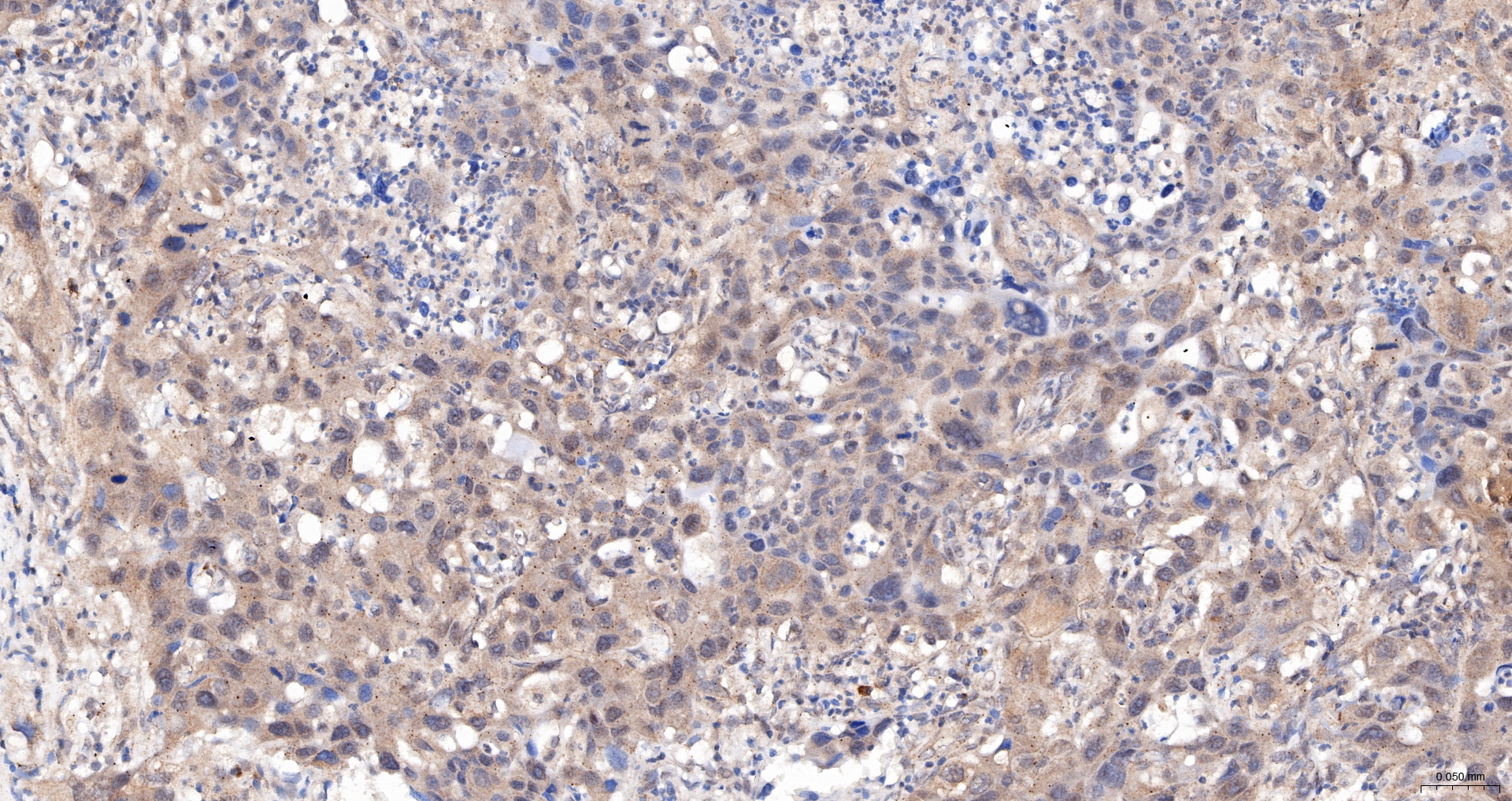
  • IHC-P
  • IHC-F
  • IF(IHC-P)

Reactivity

  • Human
Overview
Catalog # bsm-61492r-100ul
Product Name Drosha Recombinant Antibody
Applications WB, FCM, IHC-P, IHC-F, IF(IHC-P)
Reactivity Human
Specifications
Conjugation Unconjugated
Host Rabbit
Source KLH conjugated synthetic peptide derived from human Drosha
Clonality Recombinant
Isotype IgG
Concentration Lot dependent
Purification Purified by Protein A.
Storage Buffer 0.01M TBS (pH 7.4), 1% BSA, 0.02% Proclin 300, and 50% Glycerol
Storage Condition Shipped at 4C. Store at -20C for one year. Avoid repeated freeze/thaw cycles.
Target
Gene ID 29102
Swiss Prot Q9NRR4
Subcellular location Nucleus
Synonyms Ribonuclease 3 (EC:3.1.26.3); Protein Drosha; Ribonuclease III; RNase III; p241; DROSHA; RN3; RNASE3L; RNASEN.
Background Ribonuclease III double-stranded (ds) RNA-specific endoribonuclease that is involved in the initial step of microRNA (miRNA) biogenesis. Component of the microprocessor complex that is required to process primary miRNA transcripts (pri-miRNAs) to release precursor miRNA (pre-miRNA) in the nucleus.
Application Dilution
WB 1:500-2000
FCM FCM1:50-100
IHC-P IHC-P1:50-200
IHC-F IHC-F1:50-200
IF(IHC-P) IFIHC-P1:50-200