| Overview |
| bsm-61518r-TR |
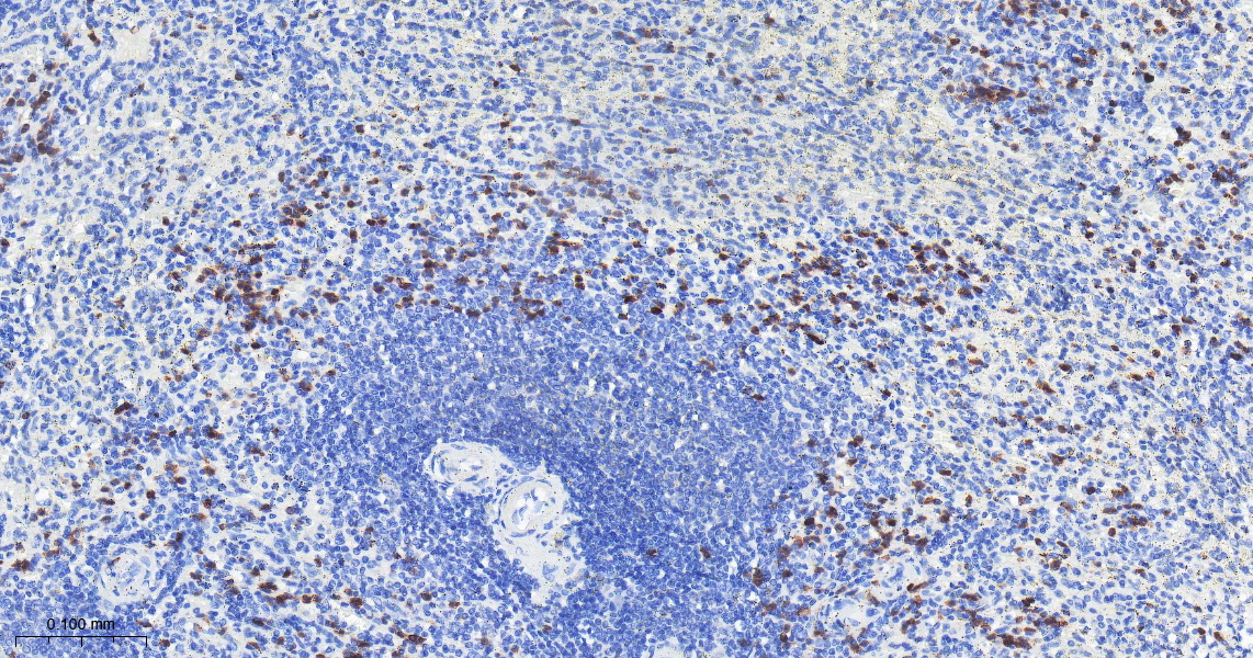
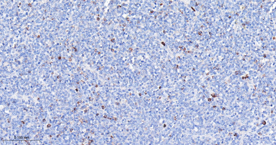
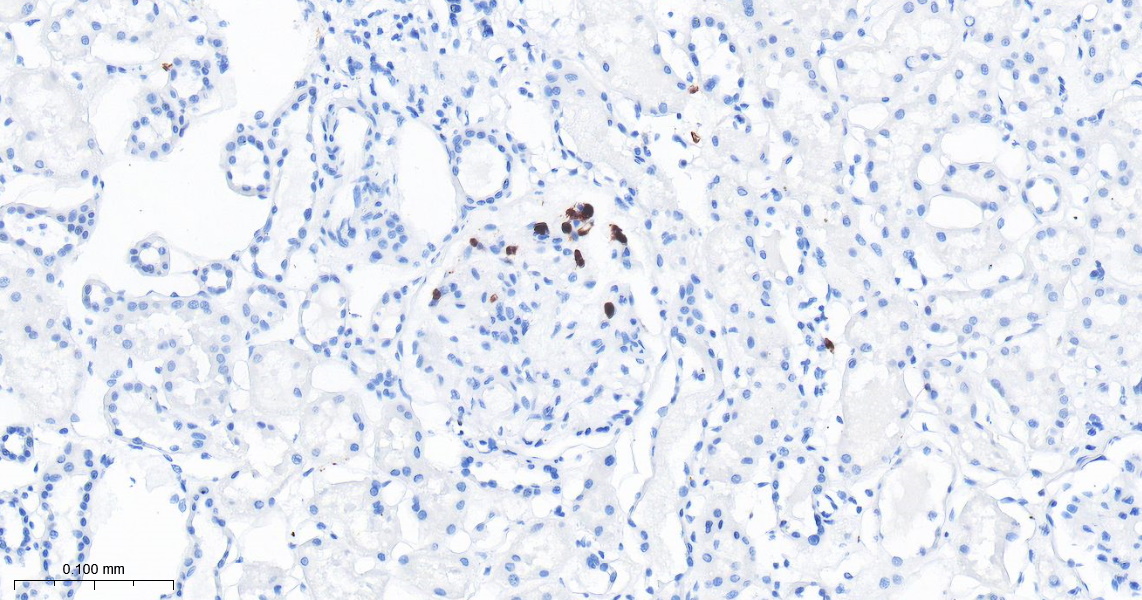
| cIAP1 Recombinant Antibody |
| WB, IHC-P, IHC-F, IF(IHC-P), IF(ICC) |
| Human |
| Specifications |
| Unconjugated |
| Rabbit |
| KLH conjugated synthetic peptide derived from human BIRC2 |
| Recombinant |
| IgG |
| Lot dependent |
| Purified by Protein A. |
| 0.01M TBS (pH 7.4), 1% BSA, 0.02% Proclin 300, and 50% Glycerol |
| Shipped at 4C. Store at -20C for one year. Avoid repeated freeze/thaw cycles. |
| Target |
| 329 |
| Q13490 |
| Cytoplasm |
| C-IAP1; IAP homolog B; Inhibitor of apoptosis protein 2; IAP-2; hIAP-2; hIAP2; API1; IAP2; MIHB; RNF48. |
| Multi-functional protein which regulates not only caspases and apoptosis, but also modulates inflammatory signaling and immunity, mitogenic kinase signaling, and cell proliferation, as well as cell invasion and metastasis. Acts as an E3 ubiquitin-protein ligase regulating NF-kappa-B signaling and regulates both canonical and non-canonical NF-kappa-B signaling by acting in opposite directions: acts as a positive regulator of the canonical pathway and suppresses constitutive activation of non-canonical NF-kappa-B signaling. |
| Application Dilution |
| WB |
1:500-2000 |
| IHC-P |
IHC-P1:100-500 |
| IHC-F |
IHC-F1:100-500 |
| IF(IHC-P) |
IFIHC-P1:100-500 |
| IF(ICC) |
IFICC1:50-200 |