RECEIVE 25% OFF PUBLISHED ANTIBODIES WITH CODE "PUB25"! Offer valid for US customers and available internationally through distributors.

BAG3 Recombinant Antibody

Applications

  • WB
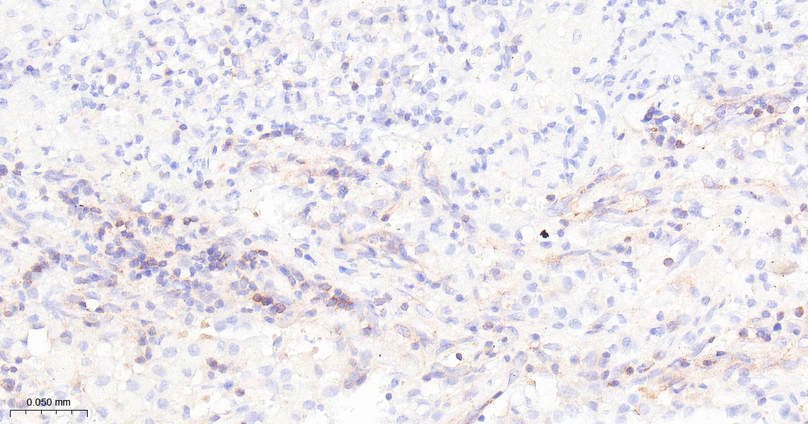
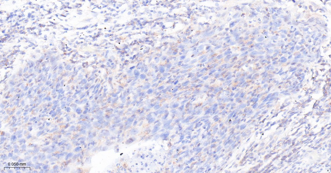
  • IHC-P
  • IHC-F
  • IF(IHC-P)
  • IP

Reactivity

  • Human
Overview
Catalog # bsm-61540r-100ul
Product Name BAG3 Recombinant Antibody
Applications WB, IHC-P, IHC-F, IF(IHC-P), IP
Reactivity Human
Specifications
Conjugation Unconjugated
Host Rabbit
Source KLH conjugated synthetic peptide derived from human BAG3
Clonality Recombinant
Isotype IgG
Concentration Lot dependent
Purification Purified by Protein A.
Storage Buffer 0.01M TBS (pH 7.4), 1% BSA, 0.02% Proclin 300, and 50% Glycerol
Storage Condition Shipped at 4C. Store at -20C for one year. Avoid repeated freeze/thaw cycles.
Target
Gene ID 9531
Swiss Prot O95817
Subcellular location Cytoplasm
Synonyms BAG 3; BAG family molecular chaperone regulator 3; Bag3; Bcl 2 binding protein; Bcl-2-binding protein Bis; BIS; CAIR 1; Docking protein CAIR 1; MFM6.
Background Co-chaperone for HSP70 and HSC70 chaperone proteins. Acts as a nucleotide-exchange factor (NEF) promoting the release of ADP from the HSP70 and HSC70 proteins thereby triggering client/substrate protein release.
Application Dilution
WB 1:500-2000
IHC-P IHC-P1:50-200
IHC-F IHC-F1:50-200
IF(IHC-P) IFIHC-P1:50-200
IP IP1:20-50