RECEIVE 25% OFF PUBLISHED ANTIBODIES WITH CODE "PUB25"! Offer valid for US customers and available internationally through distributors.

CEACAM6 Recombinant Antibody

Applications

  • WB
  • IHC-P
  • IHC-F
  • IF(IHC-P)
  • IF(ICC)
  • IP

Reactivity

  • Human

Predicted Reactivity

  • Mouse
  • Rat
Overview
Catalog # bsm-61545r-TR
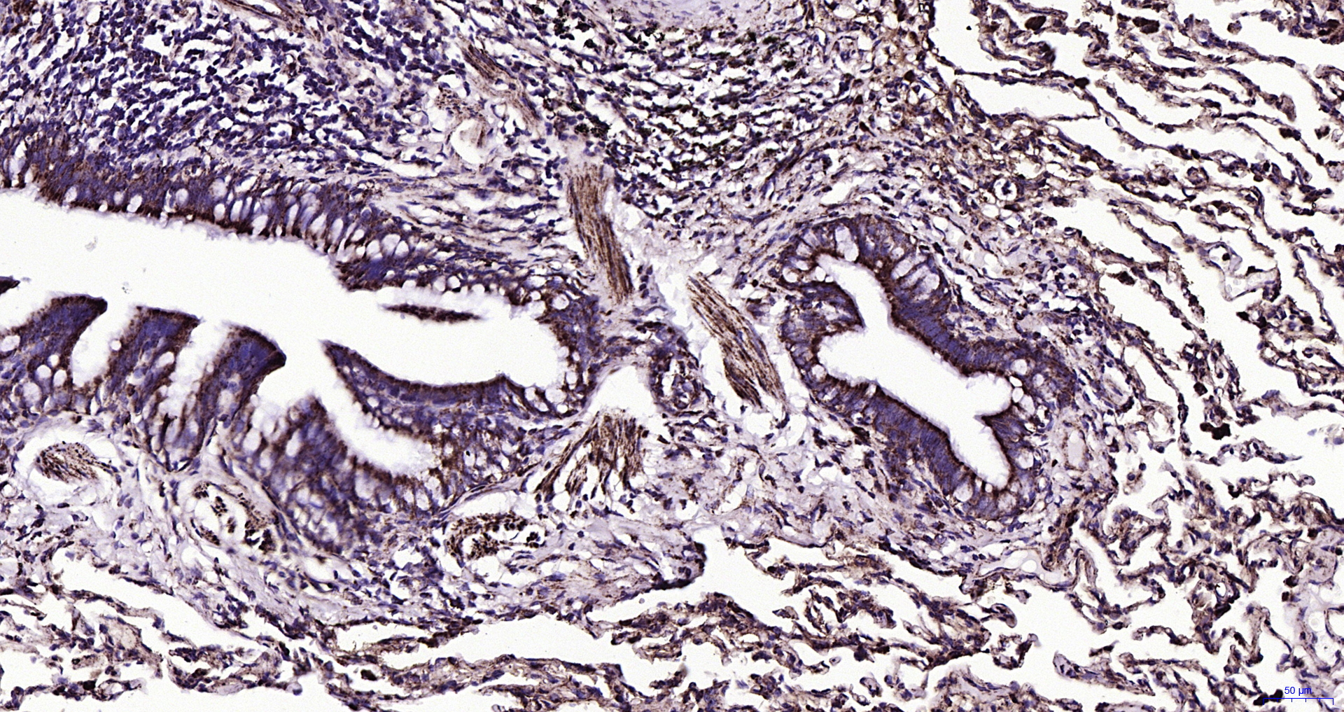
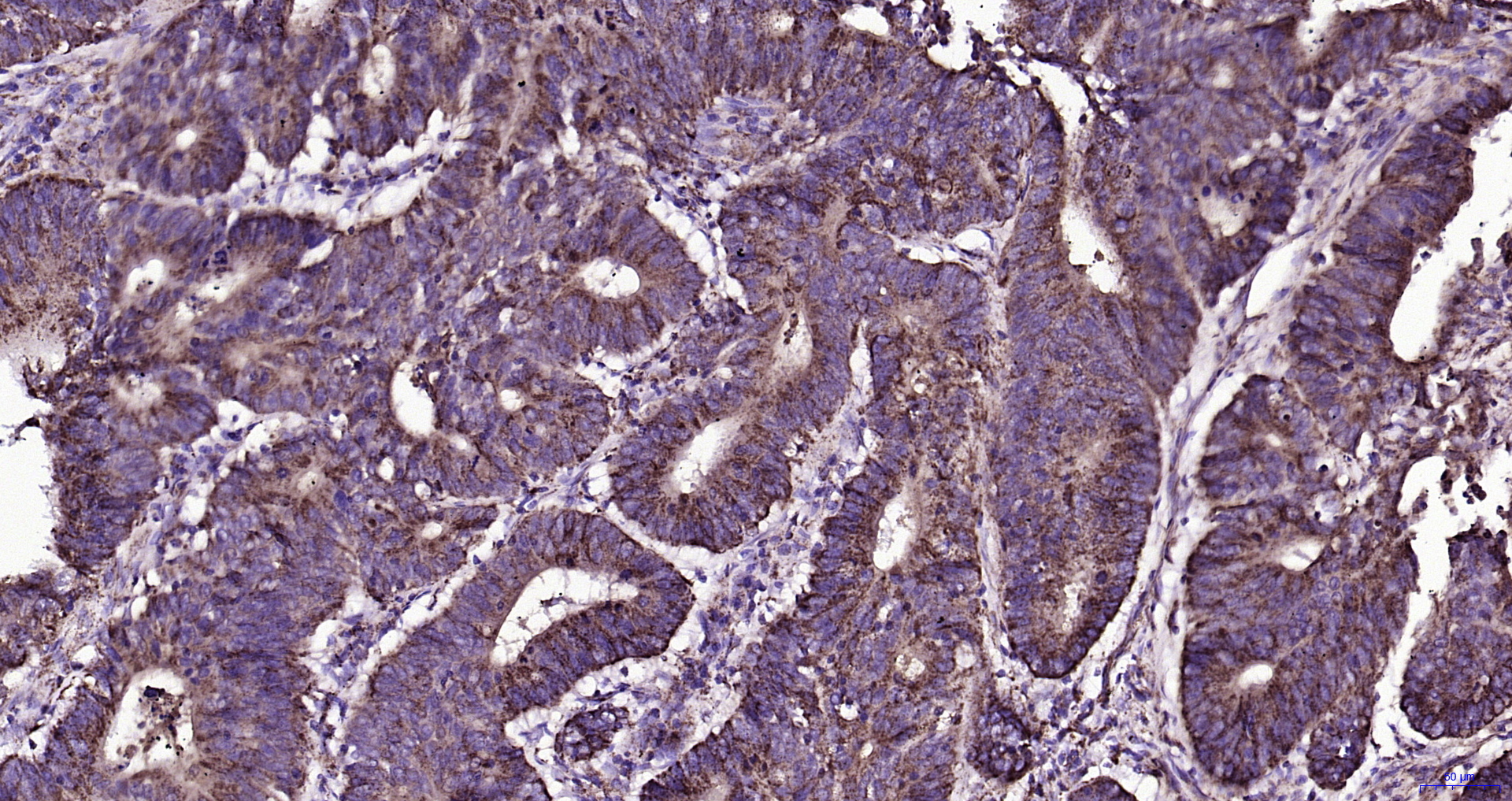
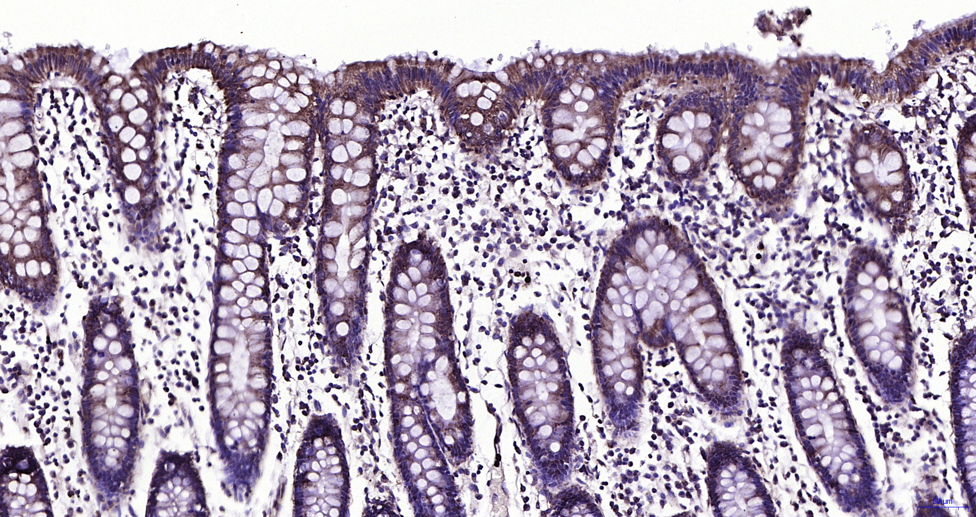
Product Name CEACAM6 Recombinant Antibody
Applications WB, IHC-P, IHC-F, IF(IHC-P), IF(ICC), IP
Reactivity Human
Predicted Reactivity Mouse, Rat
Specifications
Conjugation Unconjugated
Host Rabbit
Source KLH conjugated synthetic peptide derived from human CEACAM6
Clonality Recombinant
Isotype IgG
Concentration Lot dependent
Purification Purified by Protein A.
Storage Buffer 0.01M TBS (pH 7.4), 1% BSA, 0.02% Proclin 300, and 50% Glycerol
Storage Condition Shipped at 4C. Store at -20C for one year. Avoid repeated freeze/thaw cycles.
Target
Gene ID 4680
Swiss Prot P40199
Subcellular location Cell membrane
Synonyms CD66c; CEACAM6; CEAL; NCA; Non specific cross reacting antigen; Normal cross reacting antigen.
Background Cell surface glycoprotein that plays a role in cell adhesion and tumor progression.Intercellular adhesion occurs in a calcium- and fibronectin-independent manner.Mediates homophilic and heterophilic cell adhesion with other carcinoembryonic antigen-related cell adhesion molecules, such as CEACAM5 and CEACAM8.
Application Dilution
WB 1:500-2000
IHC-P IHC-P1:100-500
IHC-F IHC-F1:100-500
IF(IHC-P) IFIHC-P1:100-500
IF(ICC) IFICC1:50-200
IP IP1:20-50