RECEIVE 25% OFF PUBLISHED ANTIBODIES WITH CODE "PUB25"! Offer valid for US customers and available internationally through distributors.

FTMT Recombinant Antibody

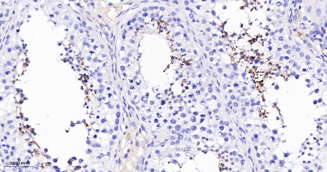
Applications

  • IHC-P
  • IHC-F
  • IF(IHC-P)

Reactivity

  • Human
Overview
Catalog # bsm-61554r-TR
Product Name FTMT Recombinant Antibody
Applications IHC-P, IHC-F, IF(IHC-P)
Reactivity Human
Specifications
Conjugation Unconjugated
Host Rabbit
Source KLH conjugated synthetic peptide derived from human FTMT
Clonality Recombinant
Isotype IgG
Concentration Lot dependent
Purification Purified by Protein A.
Storage Buffer 0.01M TBS (pH 7.4), 1% BSA, 0.02% Proclin 300, and 50% Glycerol
Storage Condition Shipped at 4C. Store at -20C for one year. Avoid repeated freeze/thaw cycles.
Target
Gene ID 94033
Swiss Prot Q8N4E7
Subcellular location Cytoplasm
Synonyms FerH; Ferritin; Ferritin H subunit; Ferritin, mitochondrial; Fth3; FTMT; mitochondrial; Mitochondrial ferritin; MTF.
Background Catalyzes the oxidation of ferrous iron(II) to ferric iron(III) and stores iron in a soluble, non-toxic, readily available form.
Application Dilution
IHC-P 1:50-200
IHC-F IHC-F1:50-200
IF(IHC-P) IFIHC-P1:50-200