| Overview |
| bsm-61558r-100ul |
| TXNRD1 Recombinant Antibody |
| WB, FCM, IHC-P, IHC-F, IF(IHC-P), IF(ICC), IP |
| Human, Mouse, Rat |
| Specifications |
| Unconjugated |
| Rabbit |
| A synthesized peptide derived from human TR |
| Recombinant |
| IgG |
| 1mg/ml |
| Purified by Protein A. |
| 10mM phosphate buffered saline(pH 7.4) with 150mM sodium chloride, 0.05% BSA, 0.02% Proclin300 and 50% glycerol. |
| Shipped at 4C. Store at -20C for one year. Avoid repeated freeze/thaw cycles. |
| Target |
| 7296 |
| Q16881 |
| Cytoplasm, Nucleus |
| GRIM12; KDRF; KM 102 derived reductase like factor; xidoreductase; Thioredoxin reductase 1; TR1; TRXR1; TXNR; TXNRD. |
| Application Dilution |
| WB |
1:1000-5000 |
| FCM |
FCM1ug/Test |
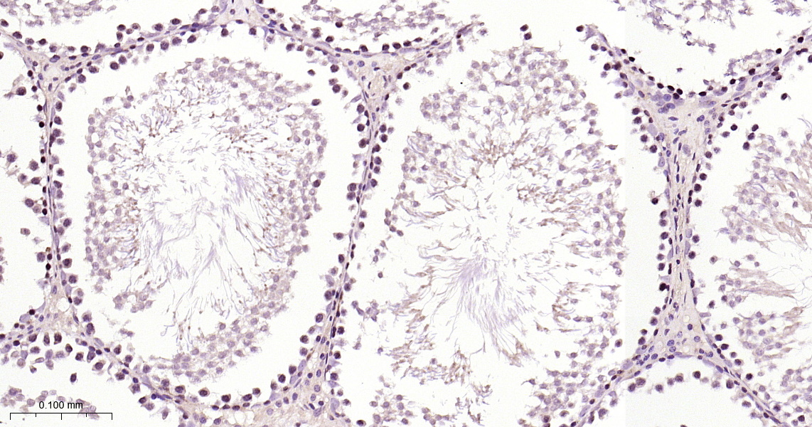
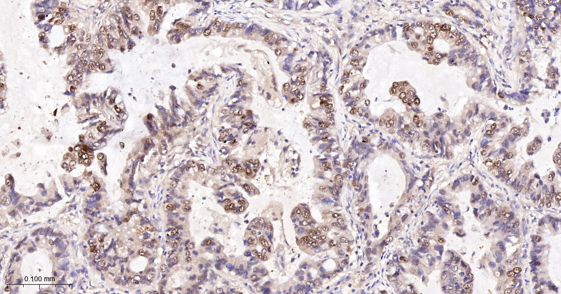
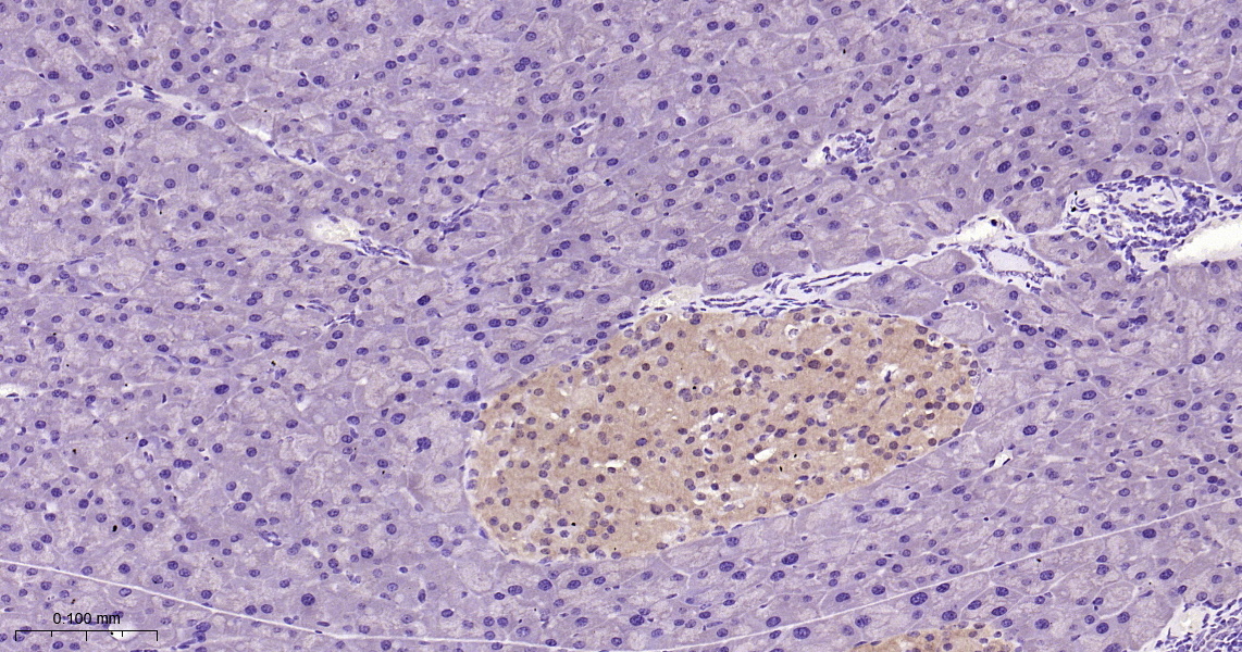
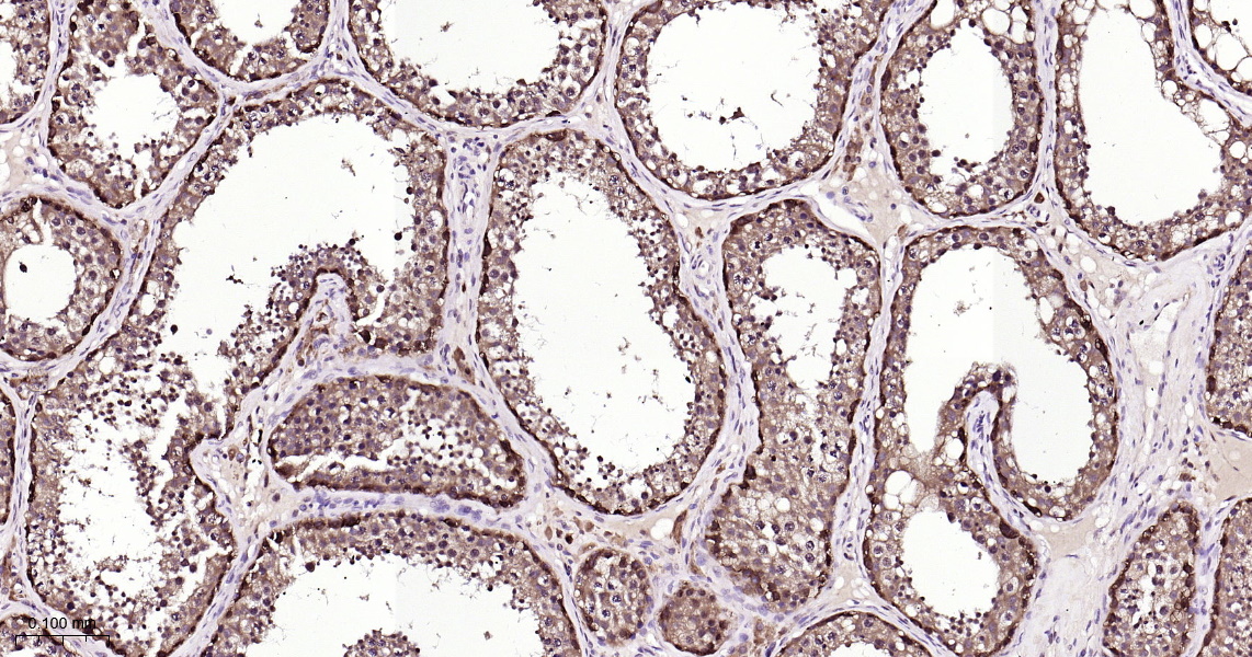
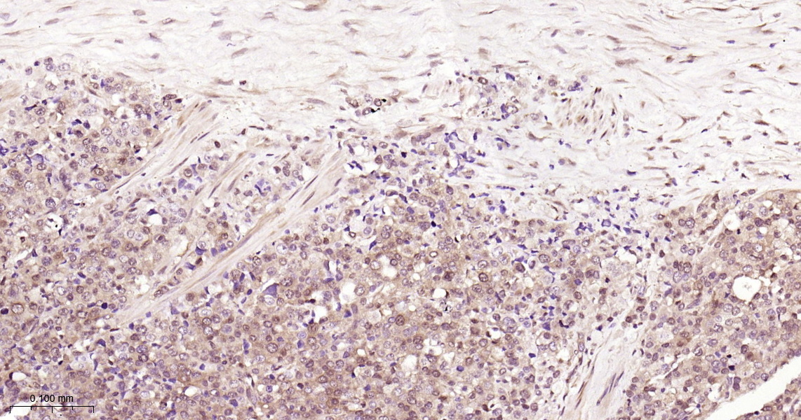
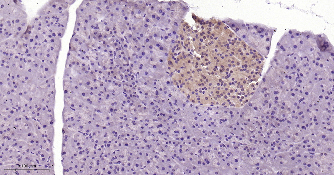
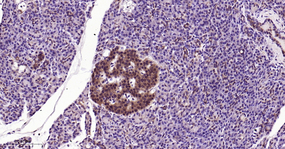
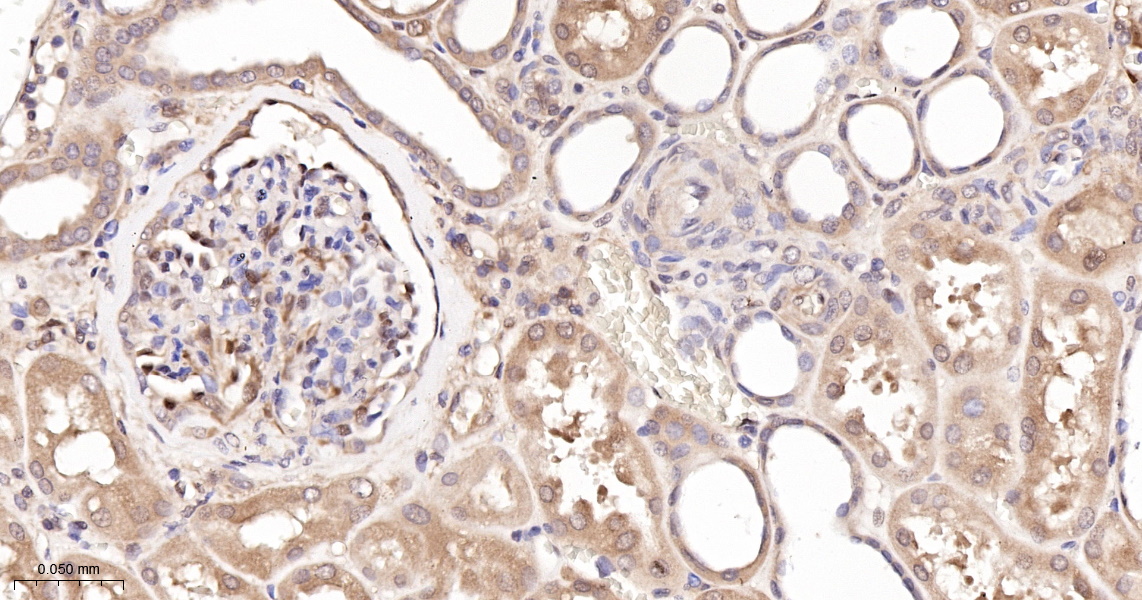
| IHC-P |
IHC-P1:100-500 |
| IHC-F |
IHC-F1:100-500 |
| IF(IHC-P) |
IFIHC-P1:100-500 |
| IF(ICC) |
IFICC1:50-200 |
| IP |
IP1:20-50 |