RECEIVE 25% OFF PUBLISHED ANTIBODIES WITH CODE "PUB25"! Offer valid for US customers and available internationally through distributors.

CHEK2 Recombinant Antibody

Applications

  • WB
  • IHC-P
  • IHC-F
  • IF(IHC-P)
  • IF(ICC)
  • IP

Reactivity

  • Human
Overview
Catalog # bsm-61562r-100ul
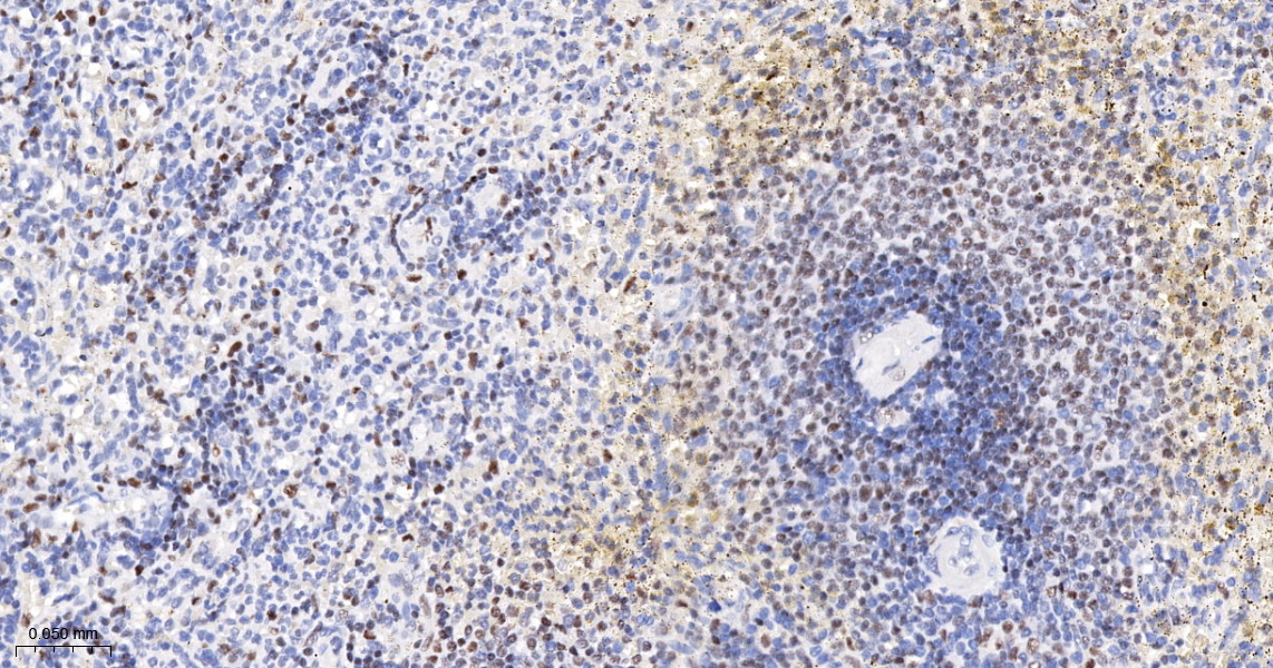
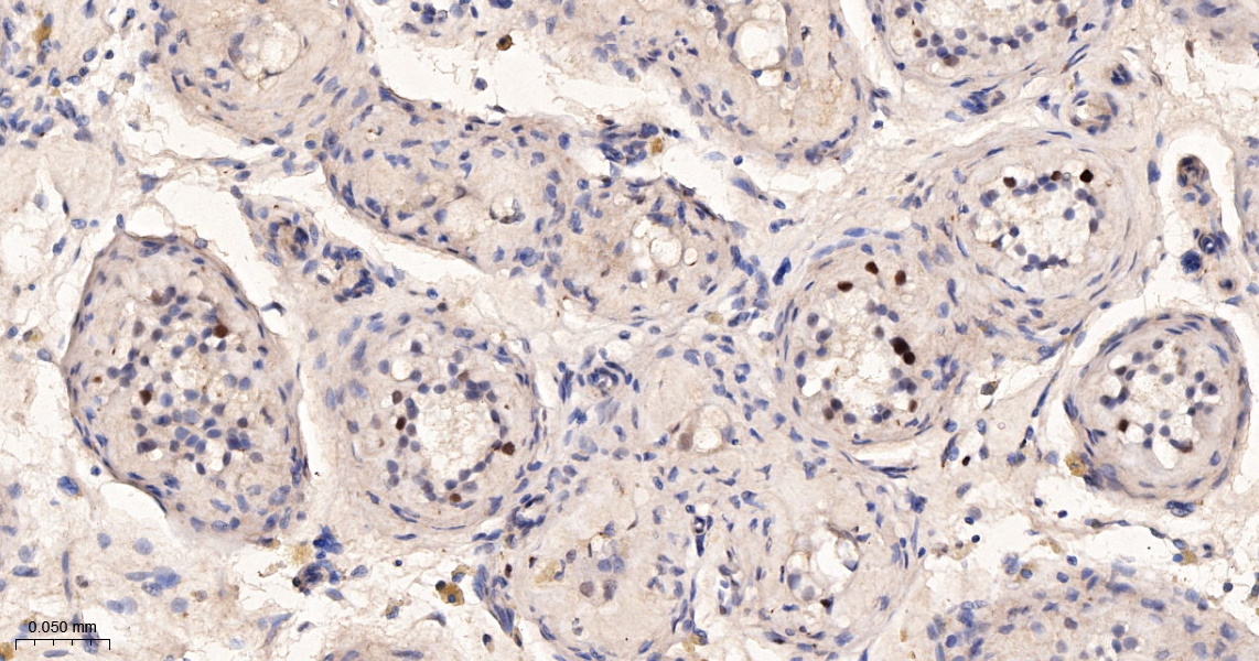
Product Name CHEK2 Recombinant Antibody
Applications WB, IHC-P, IHC-F, IF(IHC-P), IF(ICC), IP
Reactivity Human
Specifications
Conjugation Unconjugated
Host Rabbit
Source KLH conjugated synthetic peptide derived from human Chk2
Clonality Recombinant
Isotype IgG
Concentration Lot dependent
Purification Purified by Protein A.
Storage Buffer 0.01M TBS (pH 7.4), 1% BSA, 0.02% Proclin 300, and 50% Glycerol
Storage Condition Shipped at 4C. Store at -20C for one year. Avoid repeated freeze/thaw cycles.
Target
Gene ID 11200
Swiss Prot O96017
Subcellular location Nucleus
Synonyms CHEK2; CHK2; Cds1; Chk2; EC 2.7.11.1; RAD53; kinase Chk2.
Background Serine/threonine-protein kinase which is required for checkpoint-mediated cell cycle arrest, activation of DNA repair and apoptosis in response to the presence of DNA double-strand breaks.
Application Dilution
WB 1:500-2000
IHC-P IHC-P1:100-500
IHC-F IHC-F1:100-500
IF(IHC-P) IFIHC-P1:100-500
IF(ICC) IFICC1:50-200
IP IP1:20-50