RECEIVE 25% OFF PUBLISHED ANTIBODIES WITH CODE "PUB25"! Offer valid for US customers and available internationally through distributors.

CYP3A4 Recombinant Antibody

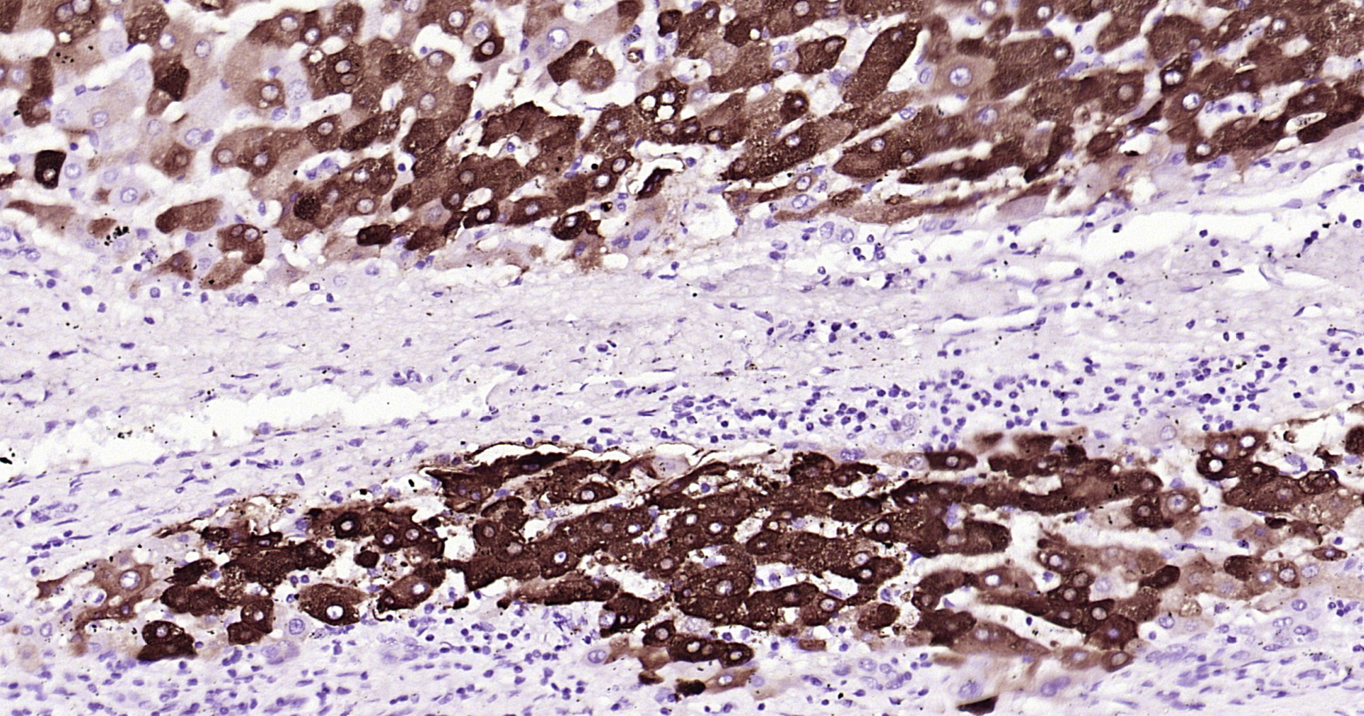
Applications

  • WB
  • IHC-P
  • IHC-F
  • IF(IHC-P)
  • IP

Reactivity

  • Human
Overview
Catalog # bsm-61566r-100ul
Product Name CYP3A4 Recombinant Antibody
Applications WB, IHC-P, IHC-F, IF(IHC-P), IP
Reactivity Human
Specifications
Conjugation Unconjugated
Host Rabbit
Source KLH conjugated synthetic peptide derived from human Cytochrome P450 3A4
Clonality Recombinant
Isotype IgG
Concentration Lot dependent
Purification Purified by Protein A.
Storage Buffer 0.01M TBS (pH 7.4), 1% BSA, 0.02% Proclin 300, and 50% Glycerol
Storage Condition Shipped at 4C. Store at -20C for one year. Avoid repeated freeze/thaw cycles.
Target
Gene ID 1576
Swiss Prot P08684
Subcellular location Cytoplasm, Cell membrane
Synonyms CYP3A4; CYPIIIA3; CYPIIIA4; Cytochrome P450 3A3; Cytochrome P450 HLp; Cytochrome P450 NF-25; Cytochrome P450-PCN1; Nifedipine oxidase.
Background A cytochrome P450 monooxygenase involved in the metabolism of sterols, steroid hormones, retinoids and fatty acids. Mechanistically, uses molecular oxygen inserting one oxygen atom into a substrate, and reducing the second into a water molecule, with two electrons provided by NADPH via cytochrome P450 reductase (NADPH--hemoprotein reductase). Catalyzes the hydroxylation of carbon-hydrogen bonds.
Application Dilution
WB 1:500-2000
IHC-P IHC-P1:100-500
IHC-F IHC-F1:100-500
IF(IHC-P) IFIHC-P1:100-500
IP IP1:20-50