RECEIVE 25% OFF PUBLISHED ANTIBODIES WITH CODE "PUB25"! Offer valid for US customers and available internationally through distributors.

Alpha 1 microglobulin Recombinant Antibody

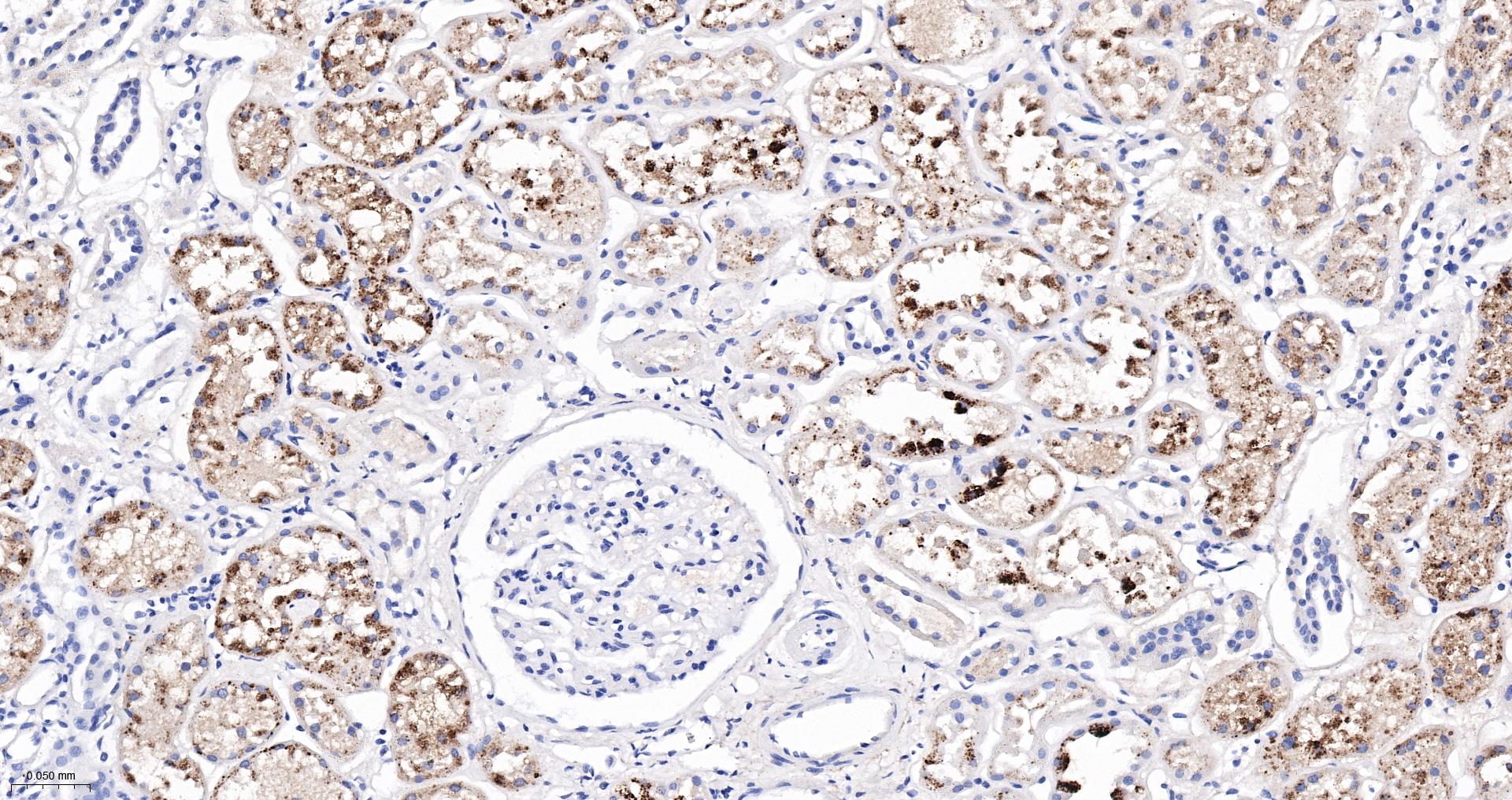
Applications

  • WB
  • IHC-P
  • IHC-F
  • IF(IHC-P)

Reactivity

  • Human
Overview
Catalog # bsm-61579r-TR
Product Name Alpha 1 microglobulin Recombinant Antibody
Applications WB, IHC-P, IHC-F, IF(IHC-P)
Reactivity Human
Specifications
Conjugation Unconjugated
Host Rabbit
Source KLH conjugated synthetic peptide derived from human AMBP
Clonality Recombinant
Isotype IgG
Concentration Lot dependent
Purification Purified by Protein A.
Storage Buffer 0.01M TBS (pH 7.4), 1% BSA, 0.02% Proclin 300, and 50% Glycerol
Storage Condition Shipped at 4C. Store at -20C for one year. Avoid repeated freeze/thaw cycles.
Target
Gene ID 259
Swiss Prot P02760
Subcellular location Secreted
Synonyms A1M; alpha 1 microglobulin bikunin; Alpha 1 microglycoprotein; AMBP; Bikunin; EDC1; HI30.
Background Antioxidant and tissue repair protein with reductase, heme-binding and radical-scavenging activities. Removes and protects against harmful oxidants and repairs macromolecules in intravascular and extravascular spaces and in intracellular compartments.
Application Dilution
WB 1:500-2000
IHC-P IHC-P1:100-500
IHC-F IHC-F1:100-500
IF(IHC-P) IFIHC-P1:100-500