RECEIVE 25% OFF PUBLISHED ANTIBODIES WITH CODE "PUB25"! Offer valid for US customers and available internationally through distributors.

CASPR Recombinant Antibody

Applications

  • WB
  • IHC-P
  • IHC-F
  • IF(IHC-P)

Reactivity

  • Human
  • Mouse
  • Rat
Overview
Catalog # bsm-61584r-100ul
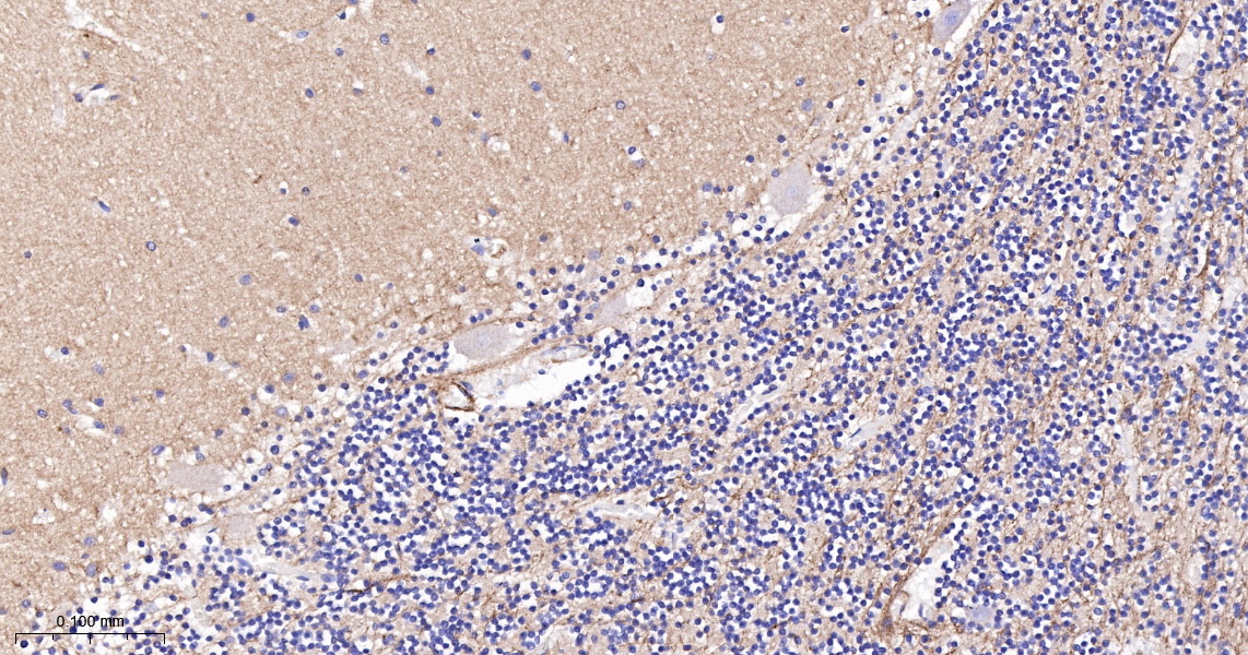
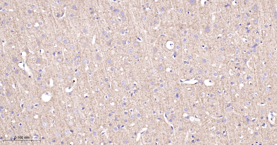
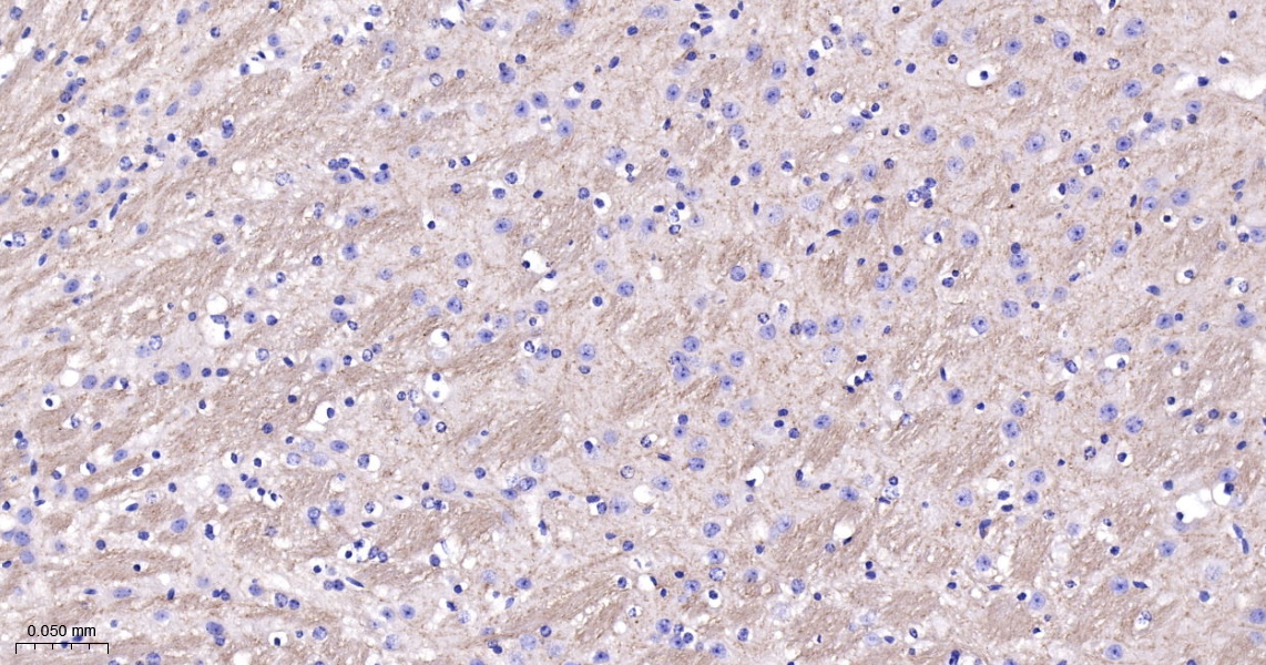
Product Name CASPR Recombinant Antibody
Applications WB, IHC-P, IHC-F, IF(IHC-P)
Reactivity Human, Mouse, Rat
Specifications
Conjugation Unconjugated
Host Rabbit
Source KLH conjugated synthetic peptide derived from human Caspr
Clonality Recombinant
Isotype IgG
Concentration Lot dependent
Purification Purified by Protein A.
Storage Buffer 0.01M TBS (pH 7.4), 1% BSA, 0.02% Proclin 300, and 50% Glycerol
Storage Condition Shipped at 4C. Store at -20C for one year. Avoid repeated freeze/thaw cycles.
Target
Gene ID 8506
Swiss Prot P78357
Subcellular location Cell membrane
Synonyms Caspr; Caspr1; CNTNAP; Cntnap1; Contactin associated protein 1; MHDNIV; NCP1; Neurexin-4; Nrxn4; p190; Paranodin.
Background Contactin-associated protein 2 (Caspr2) is a type I transmembrane protein and member of the neurexin superfamily that mediates nervous system cell-cell interactions through the Neurexin IV-Caspr-Paranodin (NCP) complex.
Application Dilution
WB 1:500-2000
IHC-P IHC-P1:50-200
IHC-F IHC-F1:50-200
IF(IHC-P) IFIHC-P1:50-200