RECEIVE 25% OFF PUBLISHED ANTIBODIES WITH CODE "PUB25"! Offer valid for US customers and available internationally through distributors.

SOD3 Recombinant Antibody

Applications

  • WB
  • IHC-P
  • IHC-F
  • IF(IHC-P)

Reactivity

  • Human
Overview
Catalog # bsm-61605r-100ul
Product Name SOD3 Recombinant Antibody
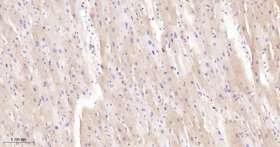
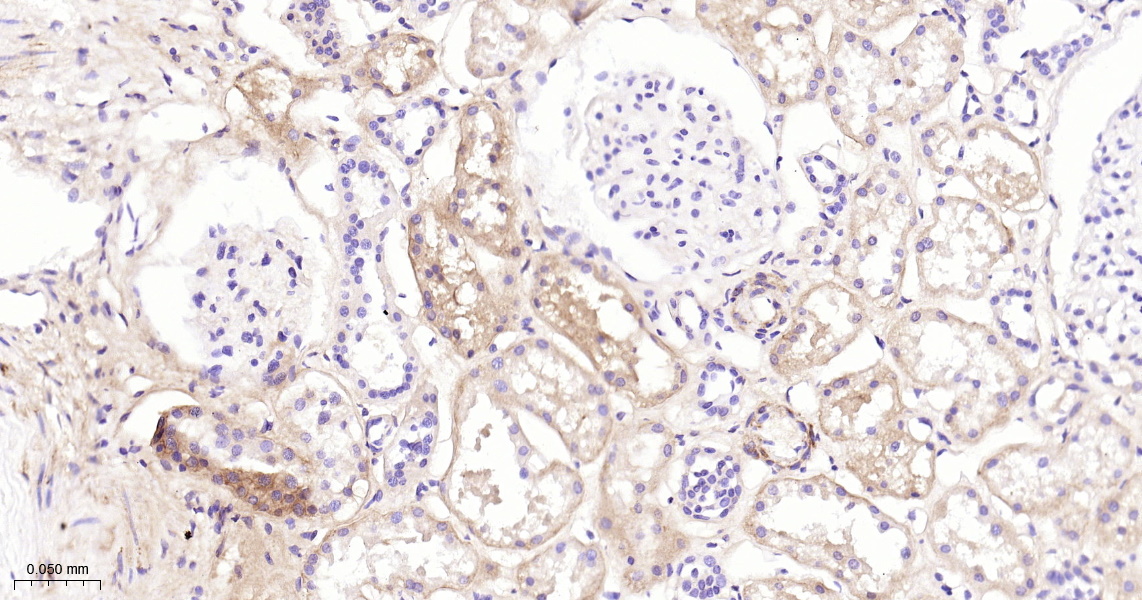
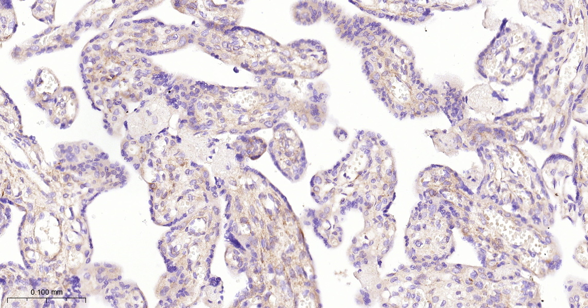
Applications WB, IHC-P, IHC-F, IF(IHC-P)
Reactivity Human
Specifications
Conjugation Unconjugated
Host Rabbit
Source KLH conjugated synthetic peptide derived from human SOD3
Clonality Recombinant
Isotype IgG
Concentration Lot dependent
Purification Purified by Protein A.
Storage Buffer 0.01M TBS (pH 7.4), 1% BSA, 0.02% Proclin 300, and 50% Glycerol
Storage Condition Shipped at 4C. Store at -20C for one year. Avoid repeated freeze/thaw cycles.
Target
Gene ID 6649
Swiss Prot P08294
Subcellular location Extracellular, Secreted
Synonyms EC SOD; Extracellular superoxide dismutase [Cu Zn]; Extracellular superoxide dismutase precursor; SOD3; Superoxide dismutase 3 extracellular.
Background Protect the extracellular space from toxic effect of reactive oxygen intermediates by converting superoxide radicals into hydrogen peroxide and oxygen.
Application Dilution
WB 1:500-2000
IHC-P IHC-P1:50-200
IHC-F IHC-F1:50-200
IF(IHC-P) IFIHC-P1:50-200