RECEIVE 25% OFF PUBLISHED ANTIBODIES WITH CODE "PUB25"! Offer valid for US customers and available internationally through distributors.

LPA1 Recombinant Antibody

Applications

  • IHC-P
  • IHC-F
  • IF(IHC-P)

Reactivity

  • Human
Overview
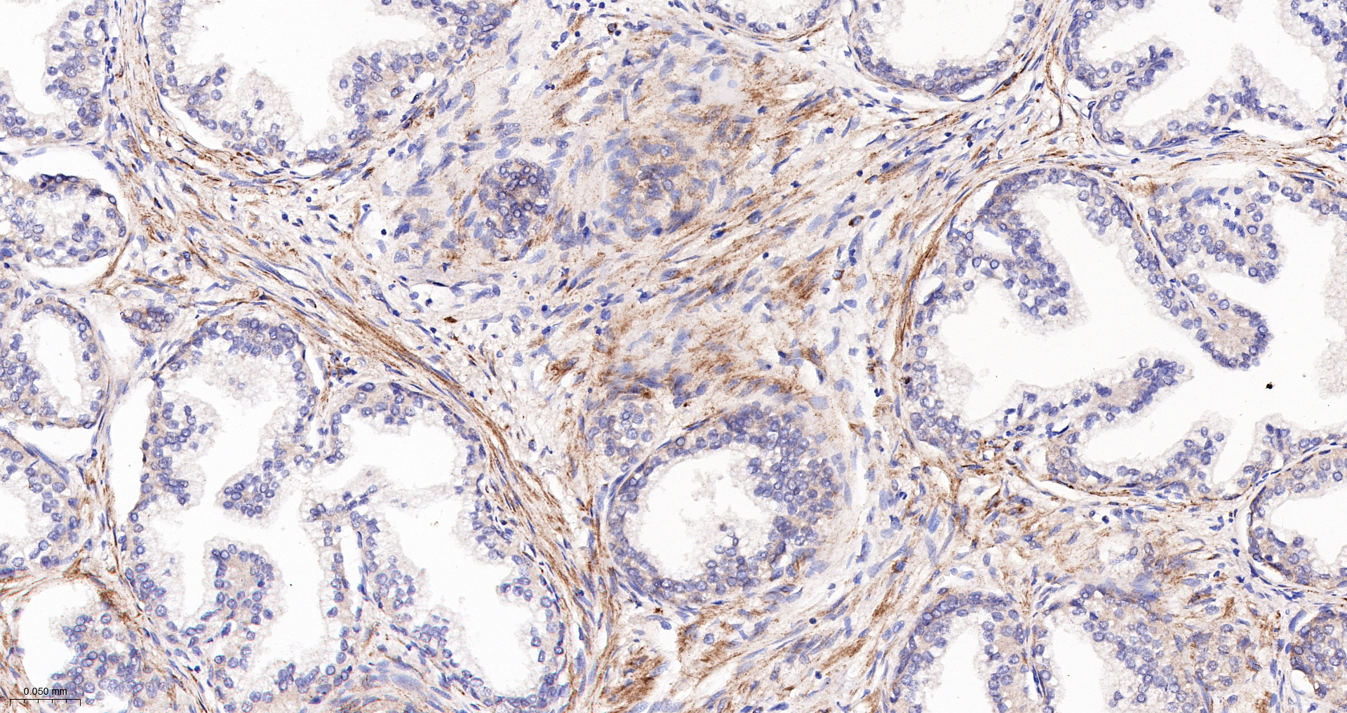
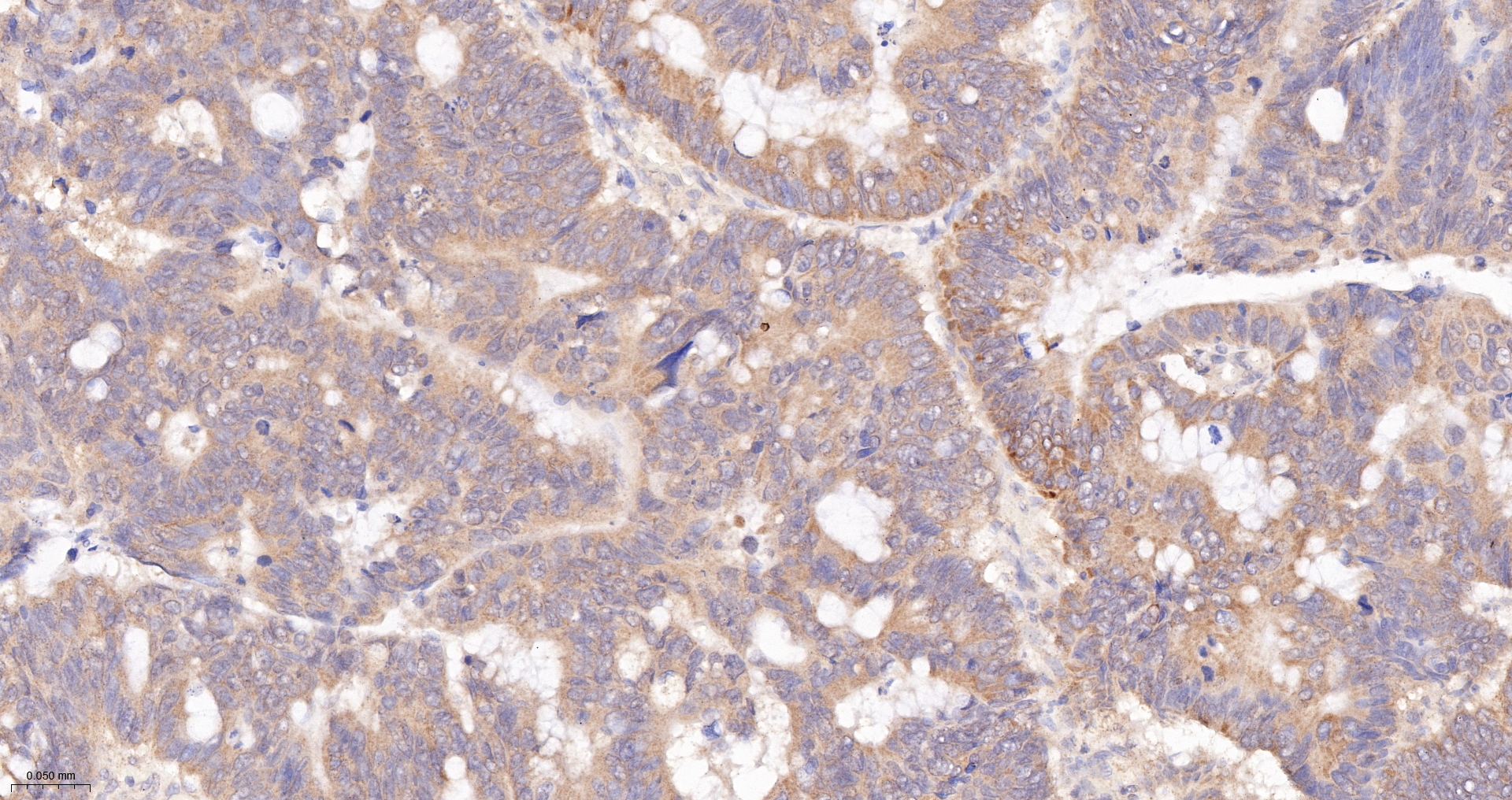
Catalog # bsm-61606r-TR
Product Name LPA1 Recombinant Antibody
Applications IHC-P, IHC-F, IF(IHC-P)
Reactivity Human
Specifications
Conjugation Unconjugated
Host Rabbit
Source KLH conjugated synthetic peptide derived from human LPA receptor 1
Clonality Recombinant
Isotype IgG
Concentration Lot dependent
Purification Purified by Protein A.
Storage Buffer 0.01M TBS (pH 7.4), 1% BSA, 0.02% Proclin 300, and 50% Glycerol
Storage Condition Shipped at 4C. Store at -20C for one year. Avoid repeated freeze/thaw cycles.
Target
Gene ID 1902
Swiss Prot Q92633
Subcellular location Cytoplasm, Cell membrane
Synonyms Lysophosphatidic acid receptor 1; LPA receptor 1; LPA-1; Lysophosphatidic acid receptor Edg-2; LPAR1; EDG2; LPA1.
Background Plays a role in the reorganization of the actin cytoskeleton, cell migration, differentiation and proliferation, and thereby contributes to the responses to tissue damage and infectious agents. Activates downstream signaling cascades via the G(i)/G(o), G12/G13, and G(q) families of heteromeric G proteins. Signaling inhibits adenylyl cyclase activity and decreases cellular cAMP levels.
Application Dilution
IHC-P 1:100-500
IHC-F IHC-F1:100-500
IF(IHC-P) IFIHC-P1:100-500