Receive 30% off all Monoclonal IHC antibodies with code "MONO-IHC-30"! Offer valid for US customers and available internationally through distributors.

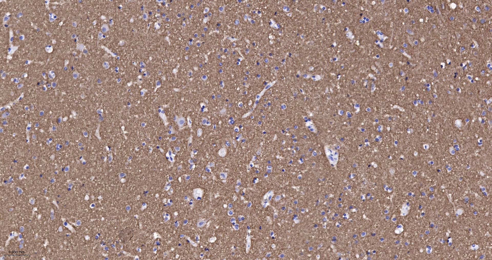
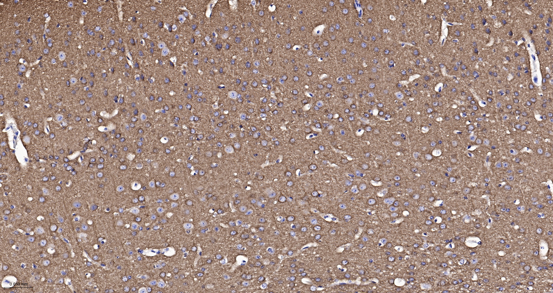
Dynamin 1 Recombinant Antibody

Applications

  • WB
  • IHC-P
  • IHC-F
  • IF
  • ICC/IF

Reactivity

  • Mouse
  • Rat

Predicted Reactivity

  • Human
Overview
Catalog # bsm-61620r-TR
Product Name Dynamin 1 Recombinant Antibody
Applications WB, IHC-P, IHC-F, IF, ICC/IF
Reactivity Mouse, Rat
Predicted Reactivity Human
Specifications
Conjugation Unconjugated
Host Rabbit
Source KLH conjugated synthetic peptide derived from human Dynamin 1
Clonality Recombinant
Isotype IgG
Concentration Lot dependent
Purification Purified by Protein A.
Storage Buffer 0.01M TBS (pH 7.4), 1% BSA, 0.02% Proclin 300, and 50% Glycerol
Storage Condition Shipped at 4C. Store at -20C for one year. Avoid repeated freeze/thaw cycles.
Target
Gene ID 1759
Swiss Prot Q05193
Subcellular location Cytoplasm
Synonyms B dynamin; D100; DNM 1; DNM1; Dynamin; Dynamin1.
Background Catalyzes the hydrolysis of GTP and utilizes this energy to mediate vesicle scission and participates in many forms of endocytosis, such as clathrin-mediated endocytosis or synaptic vesicle endocytosis as well as rapid endocytosis (RE).
Application Dilution
WB 1:300-5000
IHC-P 1:200-400
IHC-F 1:100-500
IF
ICC/IF 1:50-100