Receive 30% off all Monoclonal IHC antibodies with code "MONO-IHC-30"! Offer valid for US customers and available internationally through distributors.

LCK Recombinant Antibody

Applications

  • WB
  • IHC-P
  • IHC-F
  • IP
  • IF
  • Flow-Cyt
  • ICC/IF

Reactivity

  • Human
Overview
Catalog # bsm-61647r
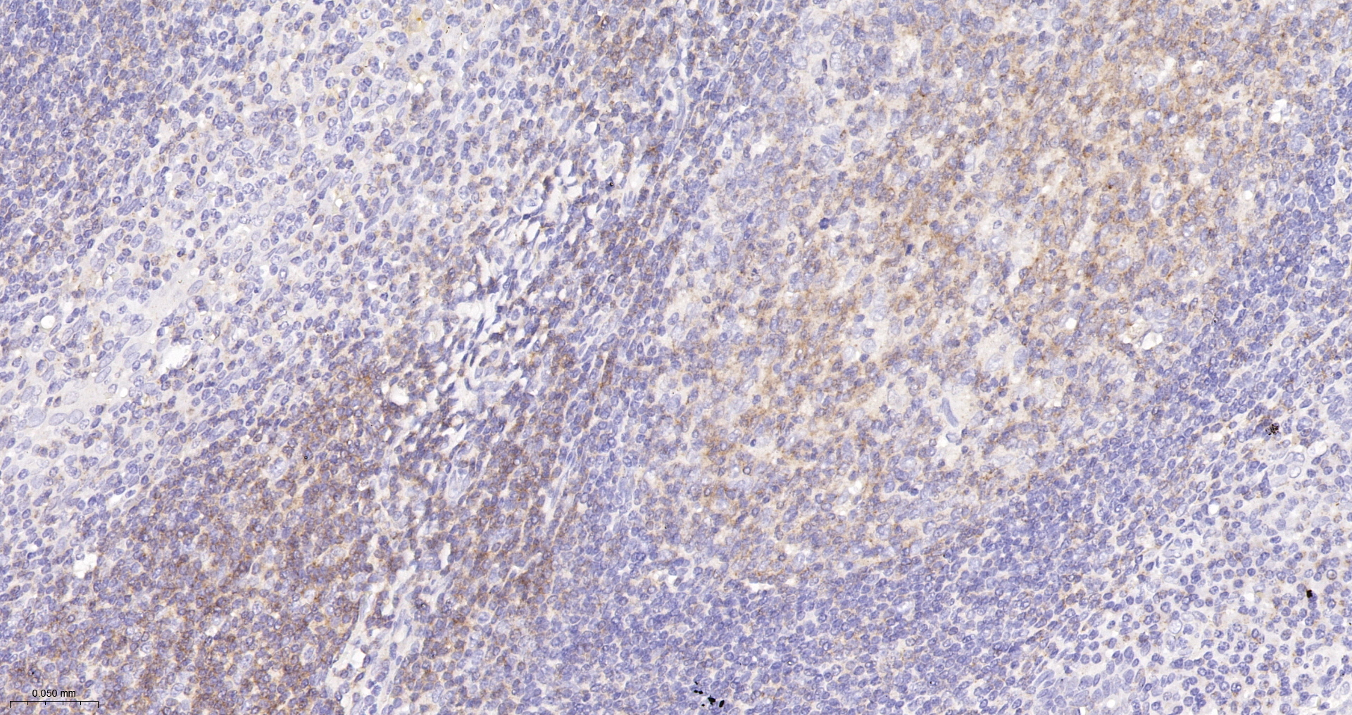
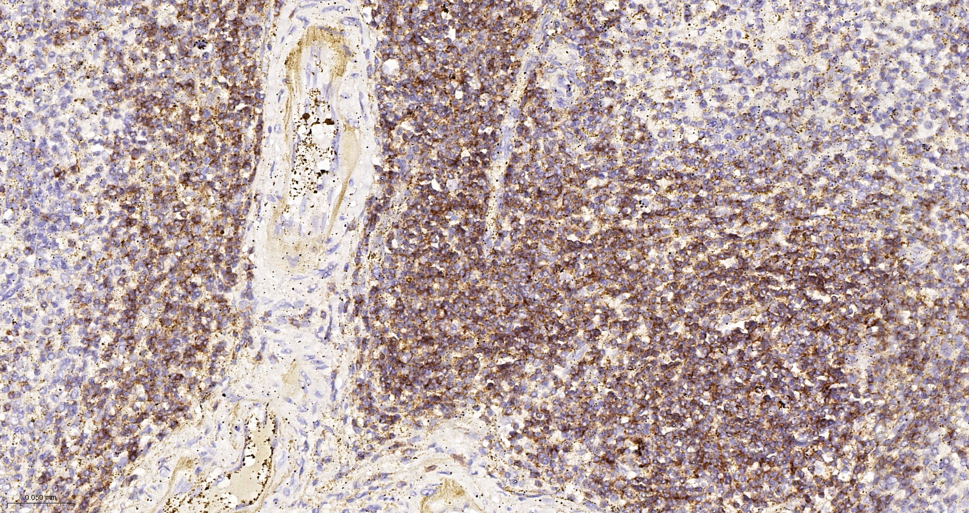
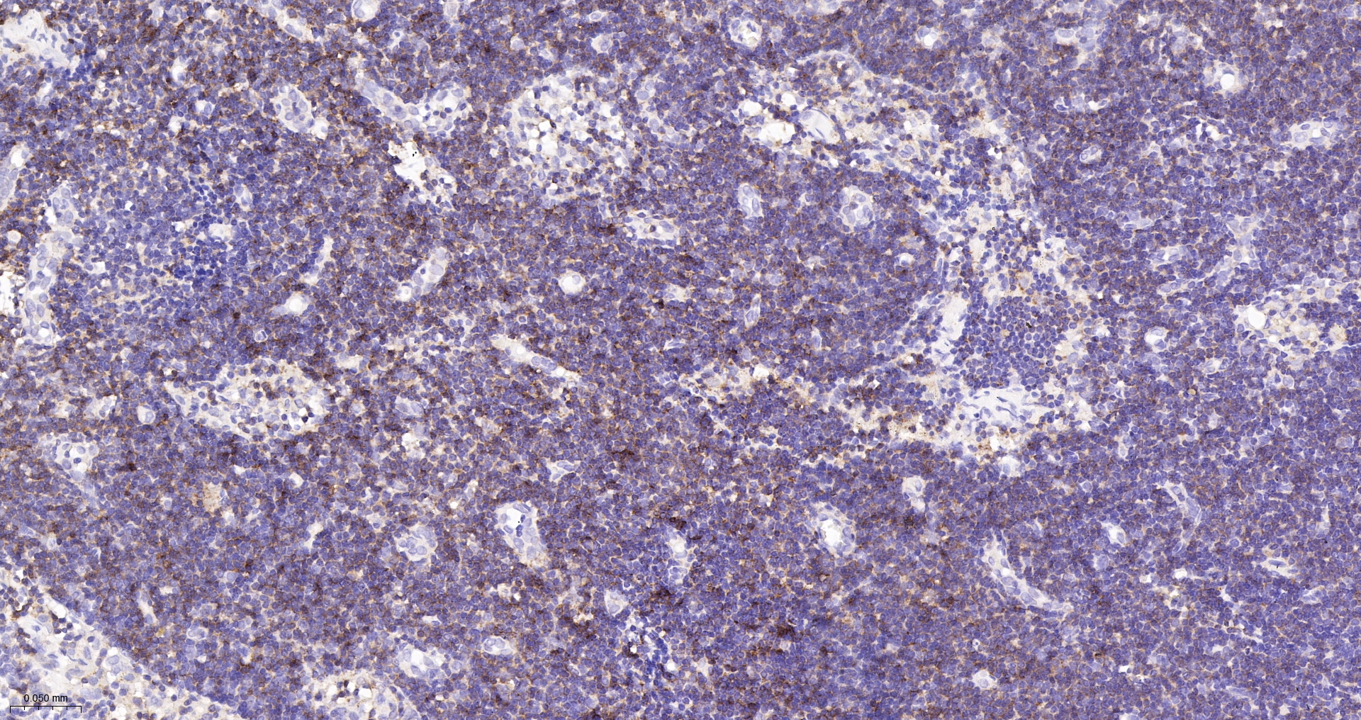
Product Name LCK Recombinant Antibody
Applications WB, IHC-P, IHC-F, IP, IF, Flow-Cyt, ICC/IF
Reactivity Human
Specifications
Conjugation Unconjugated
Host Rabbit
Source KLH conjugated synthetic peptide derived from human LCK
Clonality Recombinant
Isotype IgG
Concentration Lot dependent
Purification Purified by Protein A.
Storage Buffer 0.01M TBS (pH 7.4), 1% BSA, 0.02% Proclin 300, and 50% Glycerol
Storage Condition Shipped at 4C. Store at -20C for one year. Avoid repeated freeze/thaw cycles.
Target
Gene ID 3932
Swiss Prot P06239
Subcellular location Cytoplasm, Cell membrane
Synonyms IMD22; LCK; Lck p56; LSK; Oncogene lck; P56 LCK; pp58 lck; Protein YT16; T cell specific protein tyrosine kinase; YT16.
Background Non-receptor tyrosine-protein kinase that plays an essential role in the selection and maturation of developing T-cells in the thymus and in the function of mature T-cells. Plays a key role in T-cell antigen receptor (TCR)-linked signal transduction pathways.
Application Dilution
WB 1:300-5000
IHC-P 1:200-400
IHC-F 1:100-500
IP 1-2ug
IF
Flow-Cyt 1ug/Test
ICC/IF 1:50-100