| Overview |
| bsm-61648r |
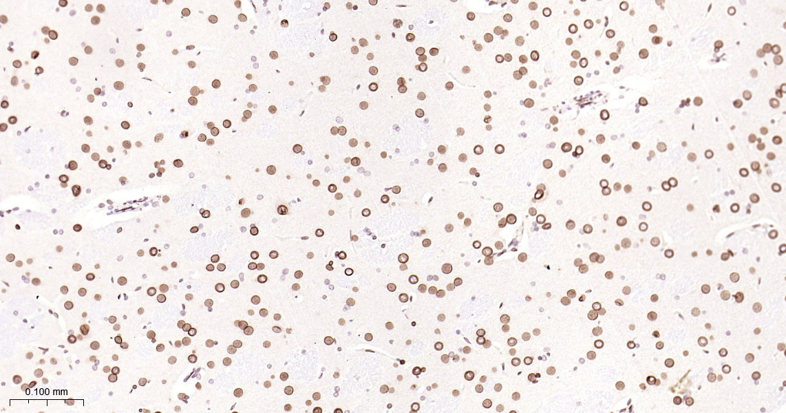
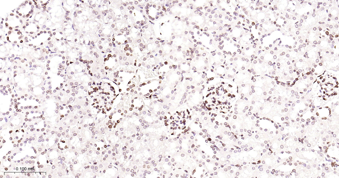
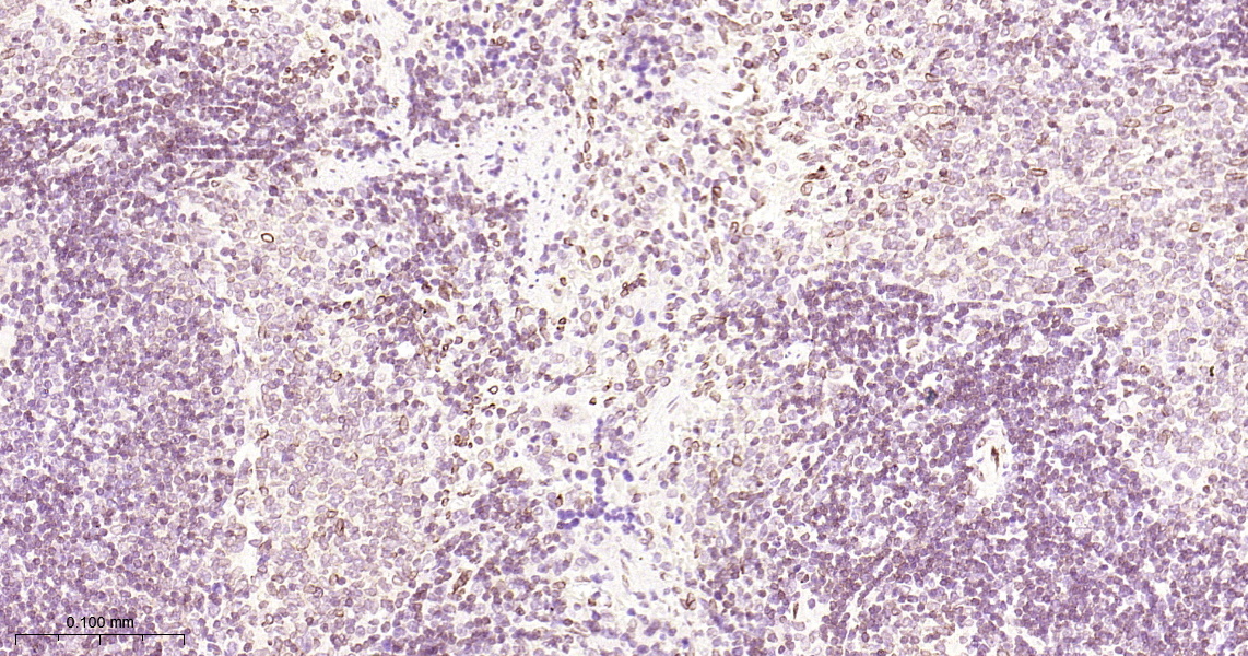
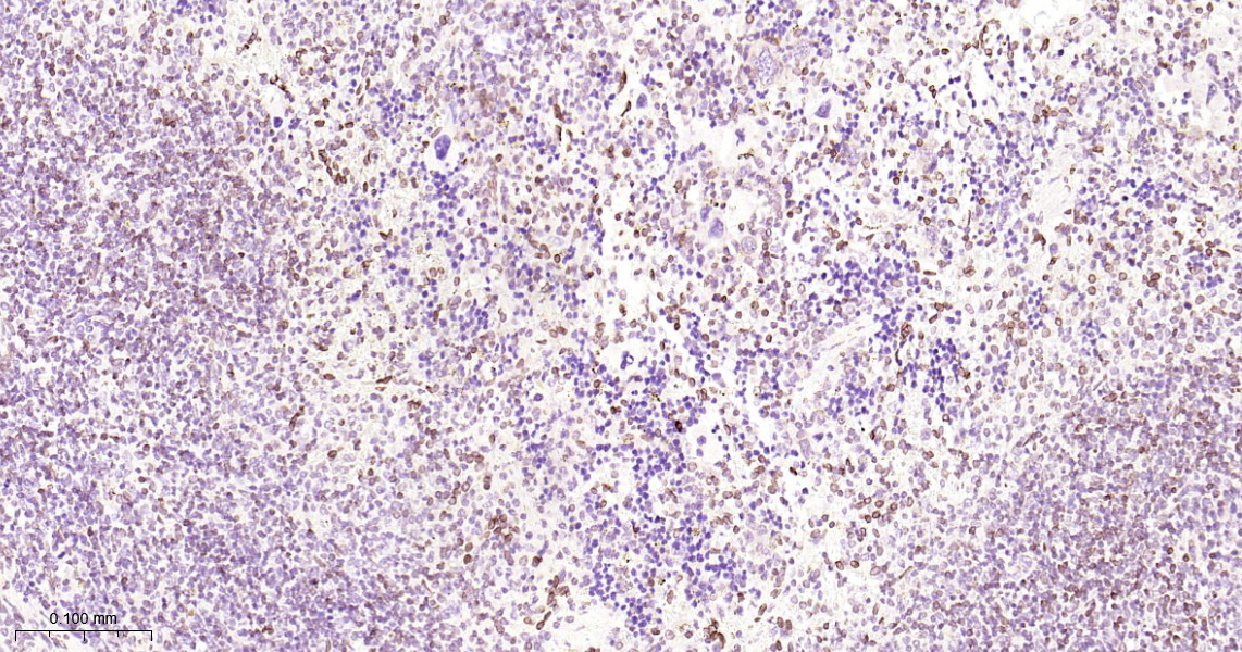
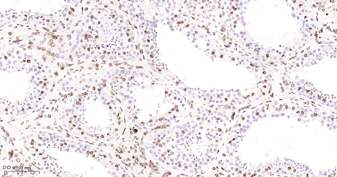
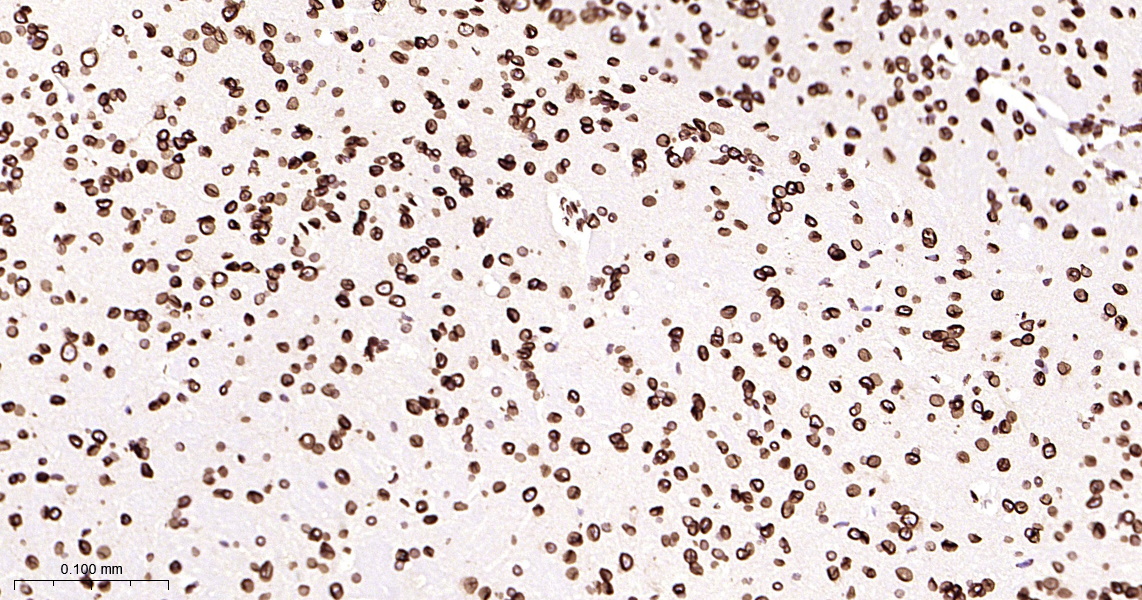
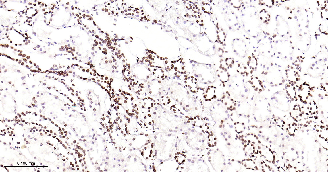
| Lamin B2 Recombinant Antibody |
| WB, IHC-P, IHC-F, IP, IF, Flow-Cyt |
| Human, Mouse, Rat |
| Specifications |
| Unconjugated |
| Rabbit |
| KLH conjugated synthetic peptide derived from human Lamin B2 |
| Recombinant |
| IgG |
| Lot dependent |
| Purified by Protein A. |
| 0.01M TBS (pH 7.4), 1% BSA, 0.02% Proclin 300, and 50% Glycerol |
| Shipped at 4C. Store at -20C for one year. Avoid repeated freeze/thaw cycles. |
| Target |
| 84823 |
| Q03252 |
| Nucleus, Cell membrane |
| LAMB2; LMN 2; LMN B2; LMN2; LMNB2. |
| Lamins are components of the nuclear lamina, a fibrous layer on the nucleoplasmic side of the inner nuclear membrane, which is thought to provide a framework for the nuclear envelope and may also interact with chromatin. |
| Application Dilution |
| WB |
1:300-5000 |
| IHC-P |
1:200-400 |
| IHC-F |
1:100-500 |
| IP |
1-2ug |
| IF |
|
| Flow-Cyt |
1ug/Test |