RECEIVE 25% OFF PUBLISHED ANTIBODIES WITH CODE "PUB25"! Offer valid for US customers and available internationally through distributors.

MAD2L2 Recombinant Antibody

Applications

  • WB
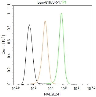
  • FCM
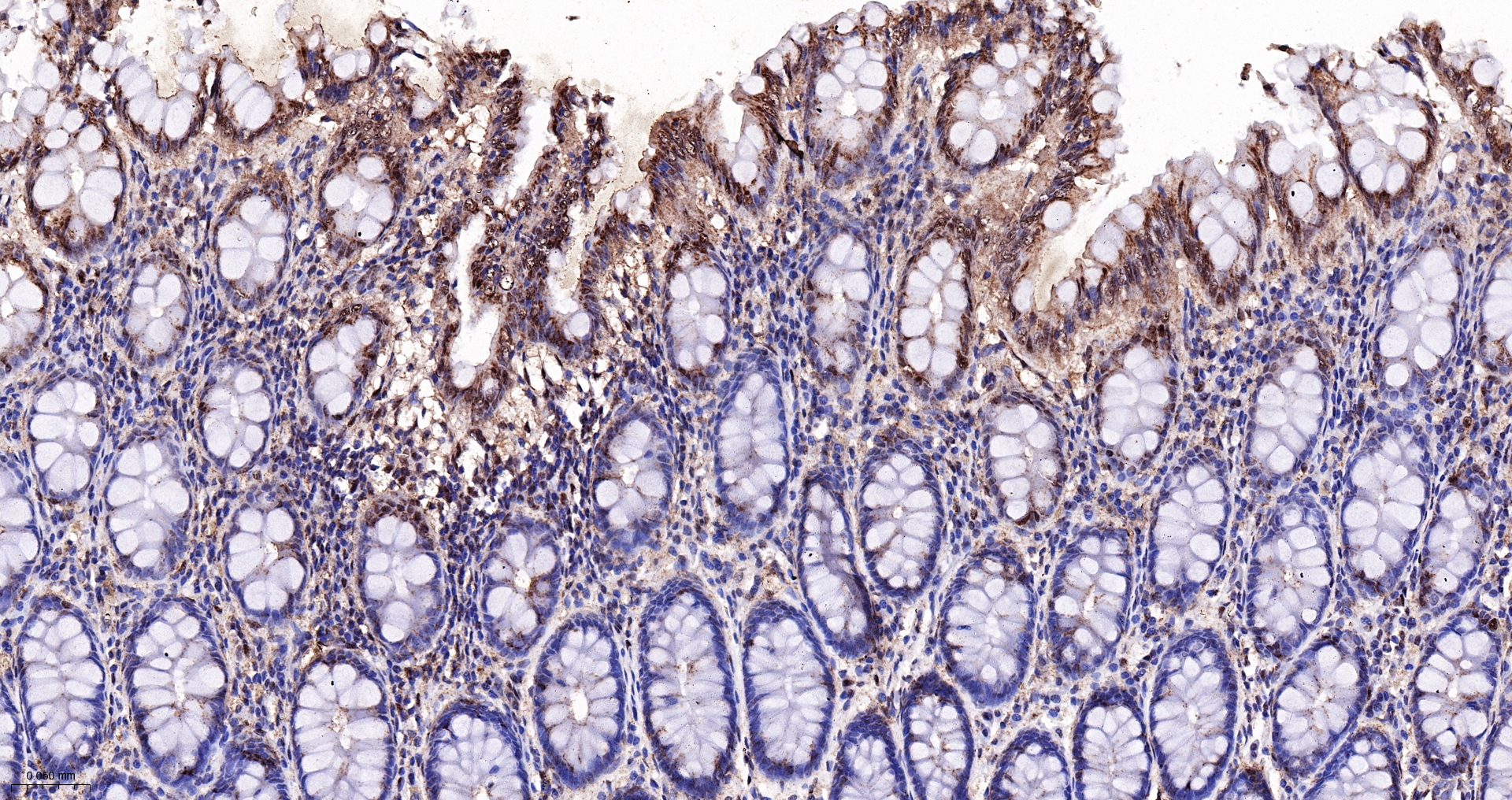
  • IHC-P
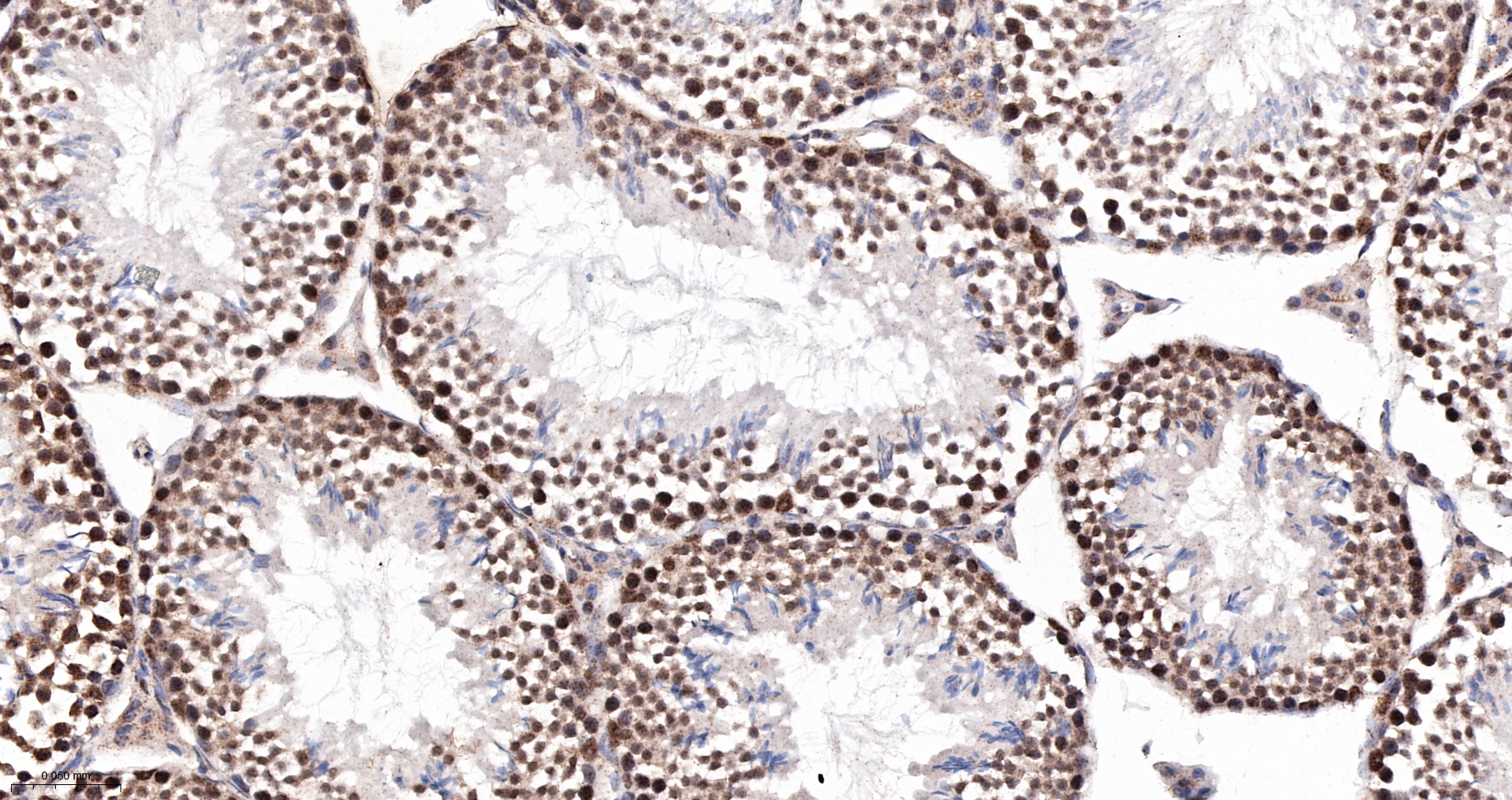
  • IHC-F
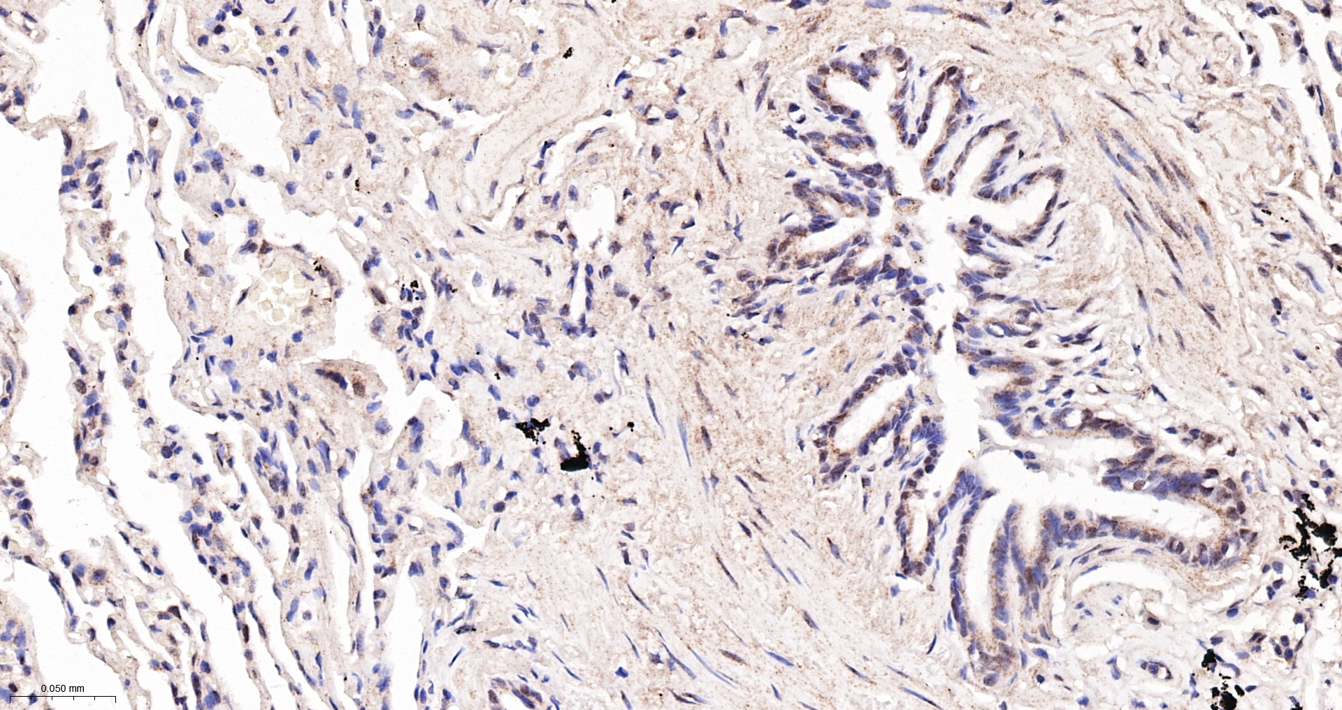
  • IF(IHC-P)
  • IF(ICC)
  • IP

Reactivity

  • Human
  • Mouse
  • Rat
Overview
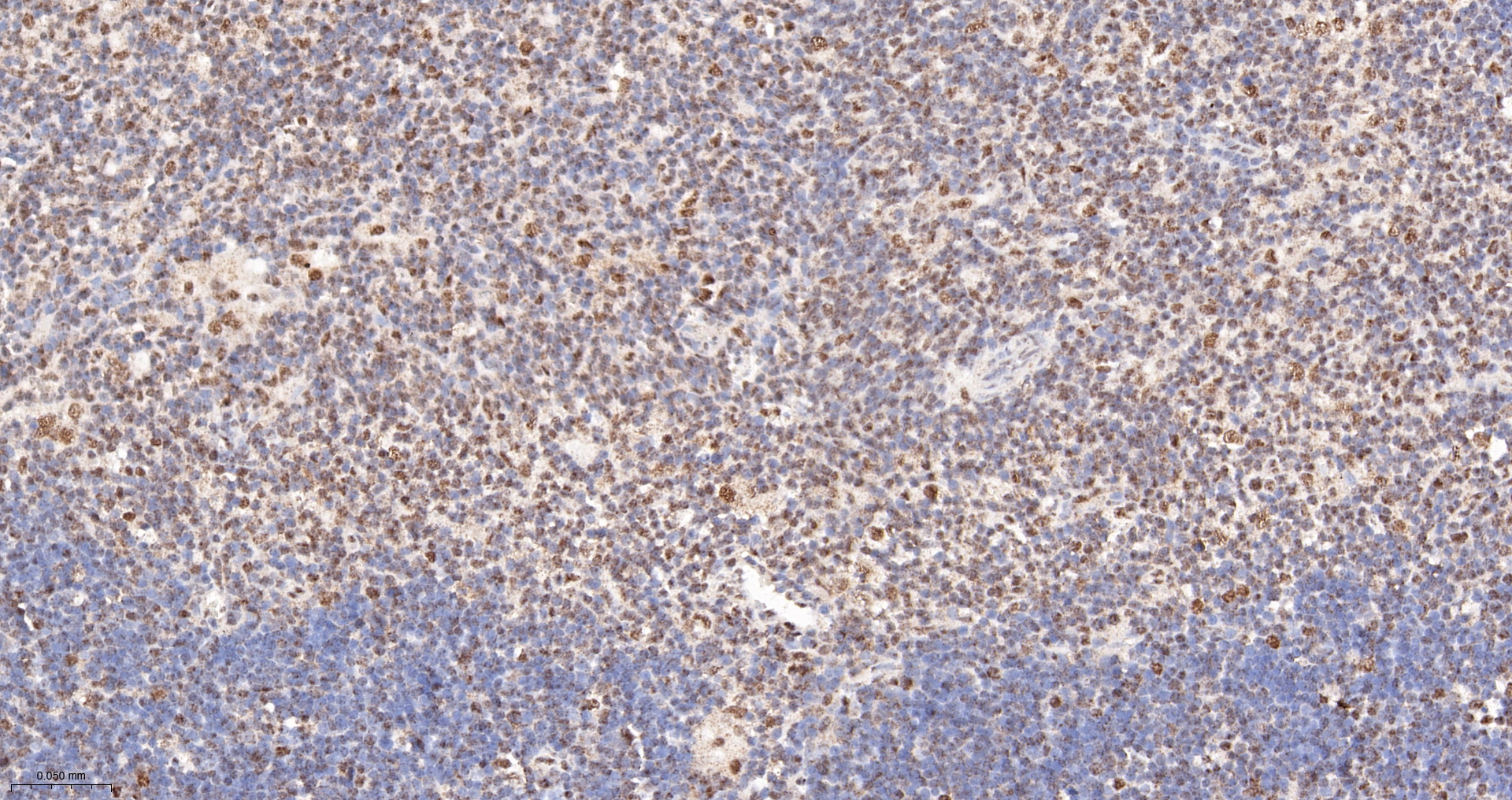
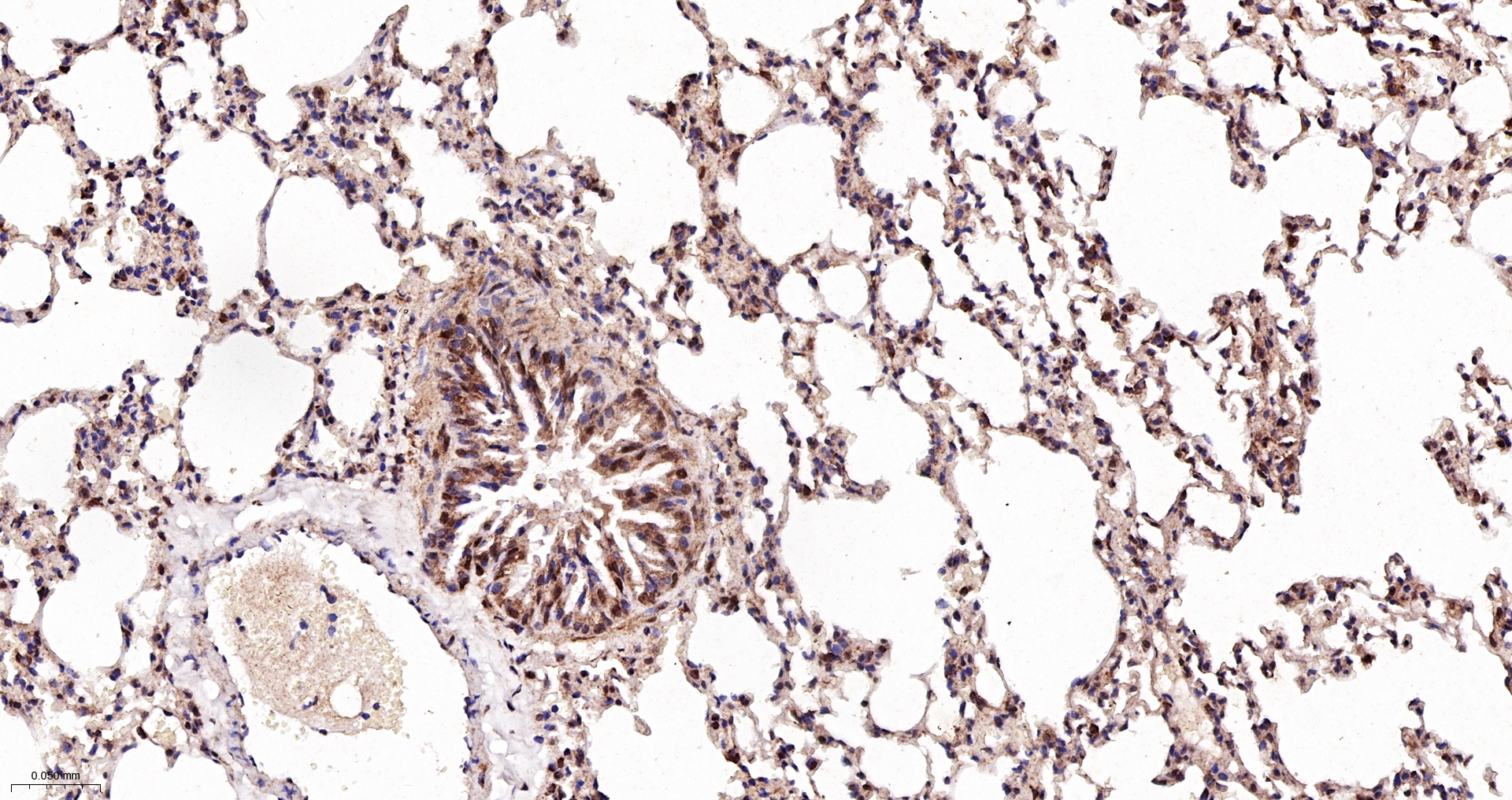
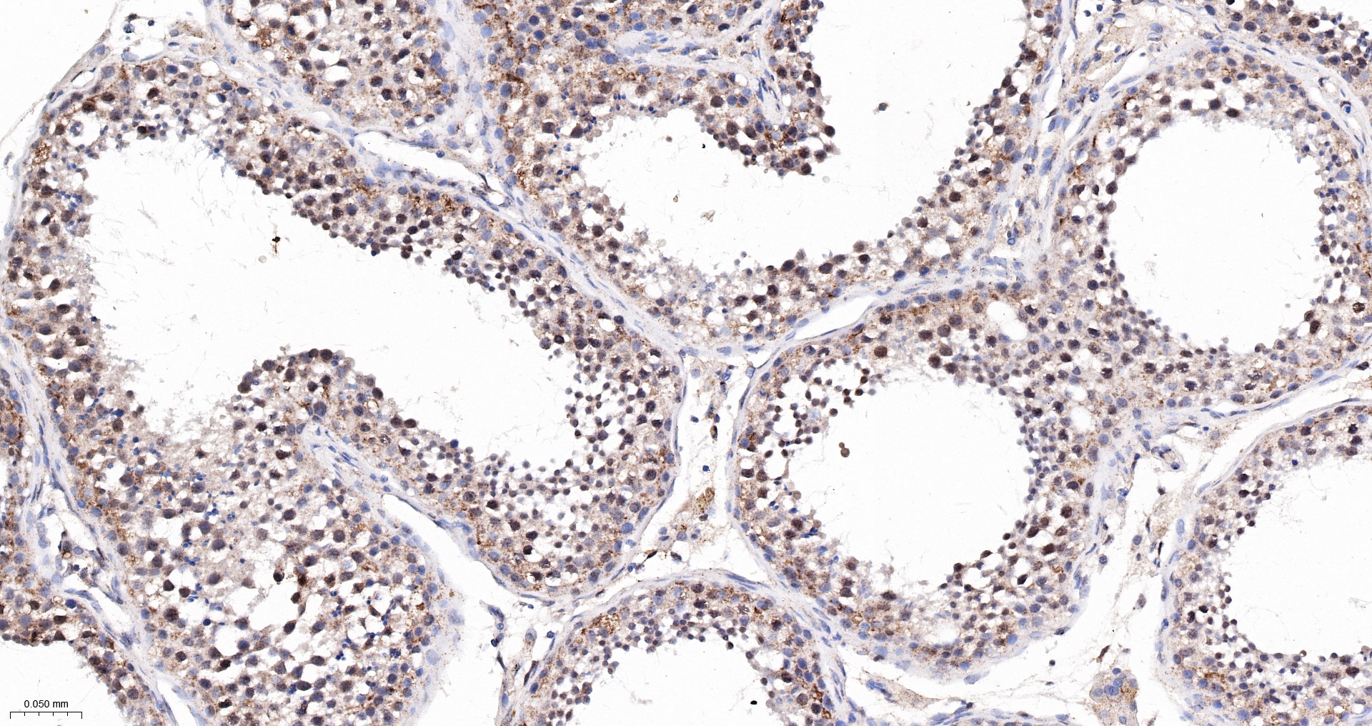
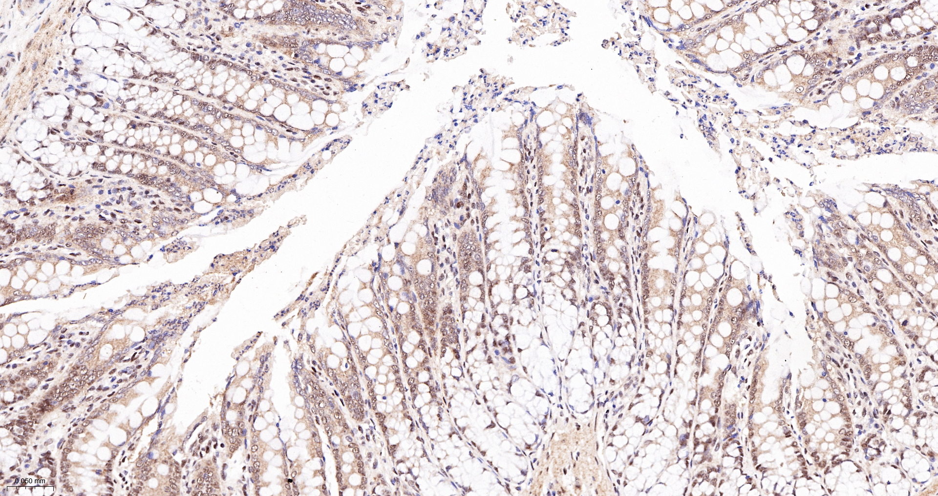
Catalog # bsm-61670r-100ul
Product Name MAD2L2 Recombinant Antibody
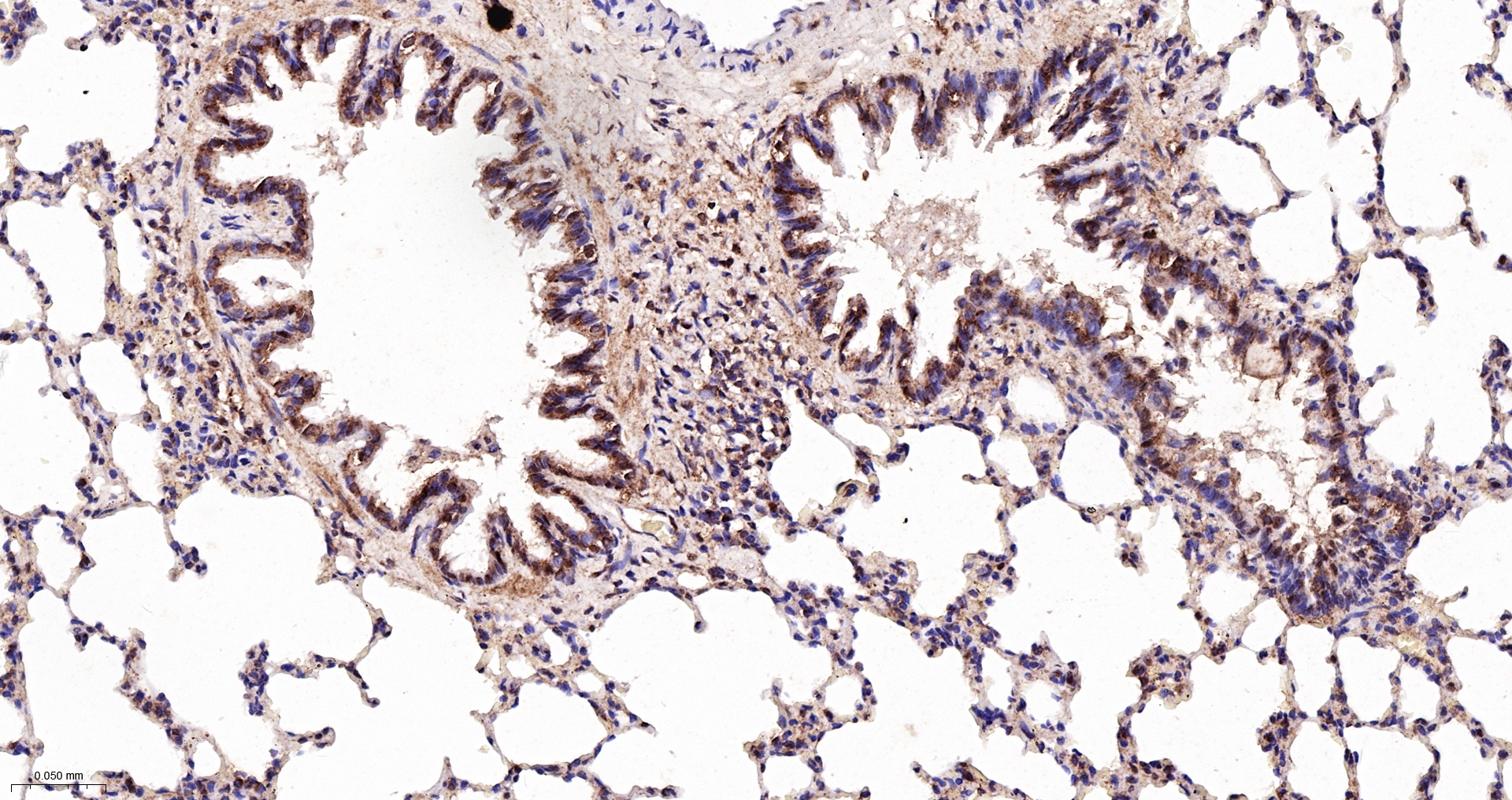
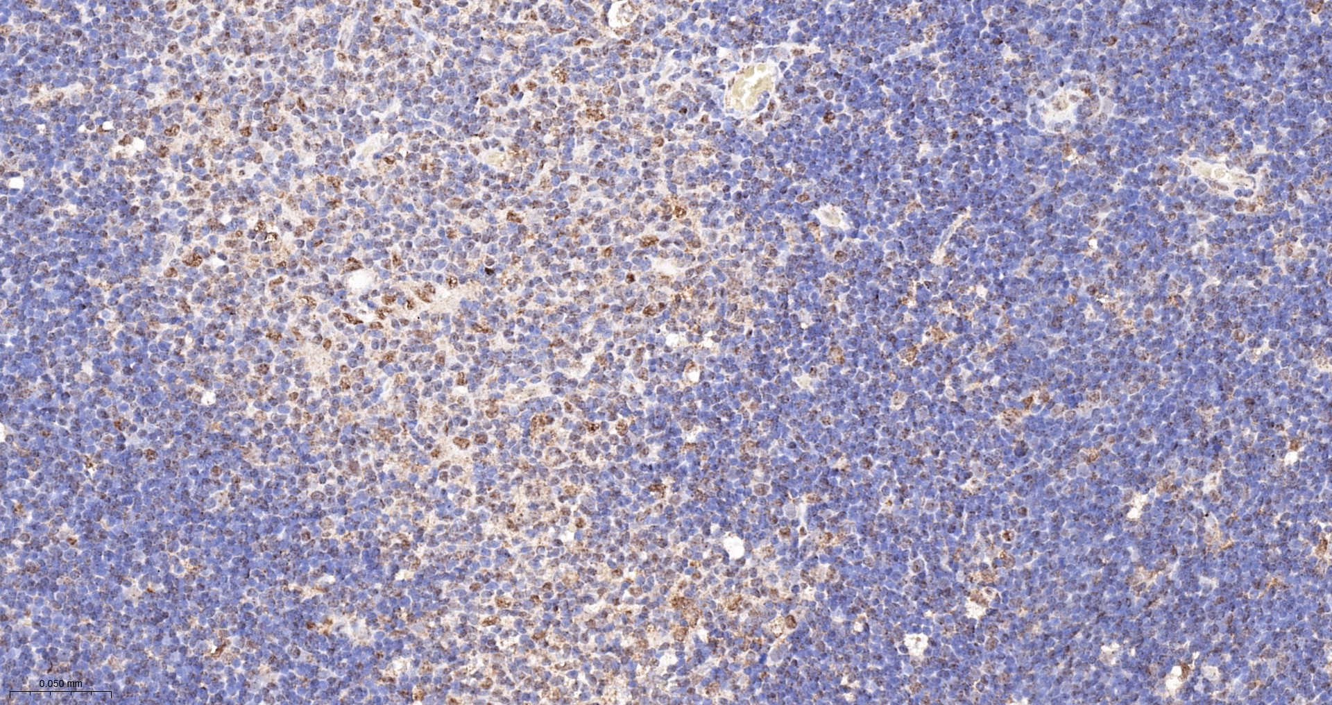
Applications WB, FCM, IHC-P, IHC-F, IF(IHC-P), IF(ICC), IP
Reactivity Human, Mouse, Rat
Specifications
Conjugation Unconjugated
Host Rabbit
Source KLH conjugated synthetic peptide derived from human MAD2L2
Clonality Recombinant
Isotype IgG
Concentration Lot dependent
Purification Purified by Protein A.
Storage Buffer 0.01M TBS (pH 7.4), 1% BSA, 0.02% Proclin 300, and 50% Glycerol
Storage Condition Shipped at 4C. Store at -20C for one year. Avoid repeated freeze/thaw cycles.
Target
Gene ID 10459
Swiss Prot Q9UI95
Subcellular location Cytoplasm, Nucleus
Synonyms hREV7; MAD2B; Mad2l2 Mitotic Arrest Deficient 2 L2; POLZ2; REV 7; REV7; REV7 homolog.
Background Adapter protein able to interact with different proteins and involved in different biological processe.Mediates the interaction between the error-prone DNA polymerase zeta catalytic subunit REV3L and the inserter polymerase REV1, thereby mediating the second polymerase switching in translesion DNA synthesis.
Application Dilution
WB 1:500-2000
FCM FCM1:50-100
IHC-P IHC-P1:100-500
IHC-F IHC-F1:100-500
IF(IHC-P) IFIHC-P1:100-500
IF(ICC) IFICC1:50-200
IP IP1:20-50