RECEIVE 25% OFF PUBLISHED ANTIBODIES WITH CODE "PUB25"! Offer valid for US customers and available internationally through distributors.

Securin Recombinant Antibody

Applications

  • WB
  • FCM
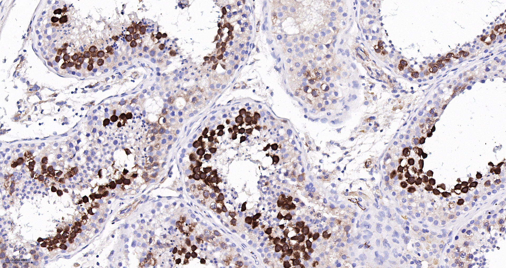
  • IHC-P
  • IHC-F
  • IF(IHC-P)
  • IF(ICC)
  • IP

Reactivity

  • Human
Overview
Catalog # bsm-61676r-TR
Product Name Securin Recombinant Antibody
Applications WB, FCM, IHC-P, IHC-F, IF(IHC-P), IF(ICC), IP
Reactivity Human
Specifications
Conjugation Unconjugated
Host Rabbit
Source KLH conjugated synthetic peptide derived from human Securin
Clonality Recombinant
Isotype IgG
Concentration Lot dependent
Purification Purified by Protein A.
Storage Buffer 0.01M TBS (pH 7.4), 1% BSA, 0.02% Proclin 300, and 50% Glycerol
Storage Condition Shipped at 4C. Store at -20C for one year. Avoid repeated freeze/thaw cycles.
Target
Gene ID 9232
Swiss Prot O95997
Subcellular location Cytoplasm, Nucleus
Synonyms Cut2; EAP1; hPTTG; Pds1; PTTG; PTTG1; Pttg3; Securin; TUTR1.
Background Regulatory protein, which plays a central role in chromosome stability, in the p53/TP53 pathway, and DNA repair.
Application Dilution
WB 1:500-2000
FCM FCM1:50-100
IHC-P IHC-P1:100-500
IHC-F IHC-F1:100-500
IF(IHC-P) IFIHC-P1:100-500
IF(ICC) IFICC1:50-200
IP IP1:20-50