RECEIVE 25% OFF PUBLISHED ANTIBODIES WITH CODE "PUB25"! Offer valid for US customers and available internationally through distributors.

DDAH1 Recombinant Antibody

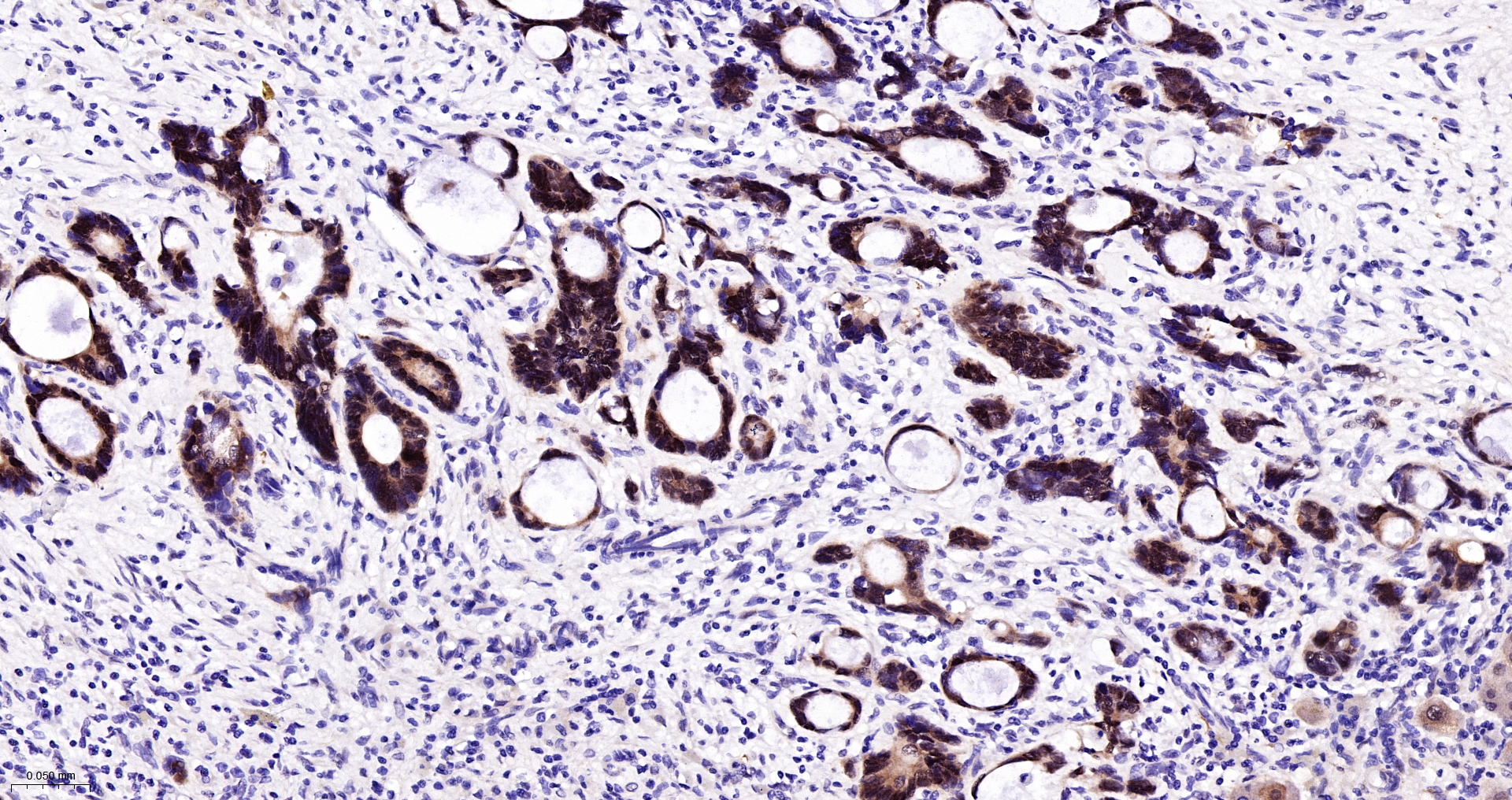
Applications

  • WB
  • FCM
  • IHC-P
  • IHC-F
  • IF(IHC-P)
  • IP

Reactivity

  • Human
  • Mouse
  • Rat
Overview
Catalog # bsm-61706r-TR
Product Name DDAH1 Recombinant Antibody
Applications WB, FCM, IHC-P, IHC-F, IF(IHC-P), IP
Reactivity Human, Mouse, Rat
Specifications
Conjugation Unconjugated
Host Rabbit
Source KLH conjugated synthetic peptide derived from human DDAH 1
Clonality Recombinant
Isotype IgG
Concentration Lot dependent
Purification Purified by Protein A.
Storage Buffer 0.01M TBS (pH 7.4), 1% BSA, 0.02% Proclin 300, and 50% Glycerol
Storage Condition Shipped at 4C. Store at -20C for one year. Avoid repeated freeze/thaw cycles.
Target
Gene ID 23576
Swiss Prot O94760
Subcellular location Cytoplasm
Synonyms DDAH; DDAH I; DDAH1; DDAHI; Dimethylargininase 1.
Background Hydrolyzes N(G),N(G)-dimethyl-L-arginine (ADMA) and N(G)-monomethyl-L-arginine (MMA) which act as inhibitors of NOS. Has therefore a role in the regulation of nitric oxide generation.
Application Dilution
WB 1:500-2000
FCM FCM1:50-100
IHC-P IHC-P1:100-500
IHC-F IHC-F1:100-500
IF(IHC-P) IFIHC-P1:100-500
IP IP1:20-50