Receive 30% off all Monoclonal IHC antibodies with code "MONO-IHC-30"! Offer valid for US customers and available internationally through distributors.

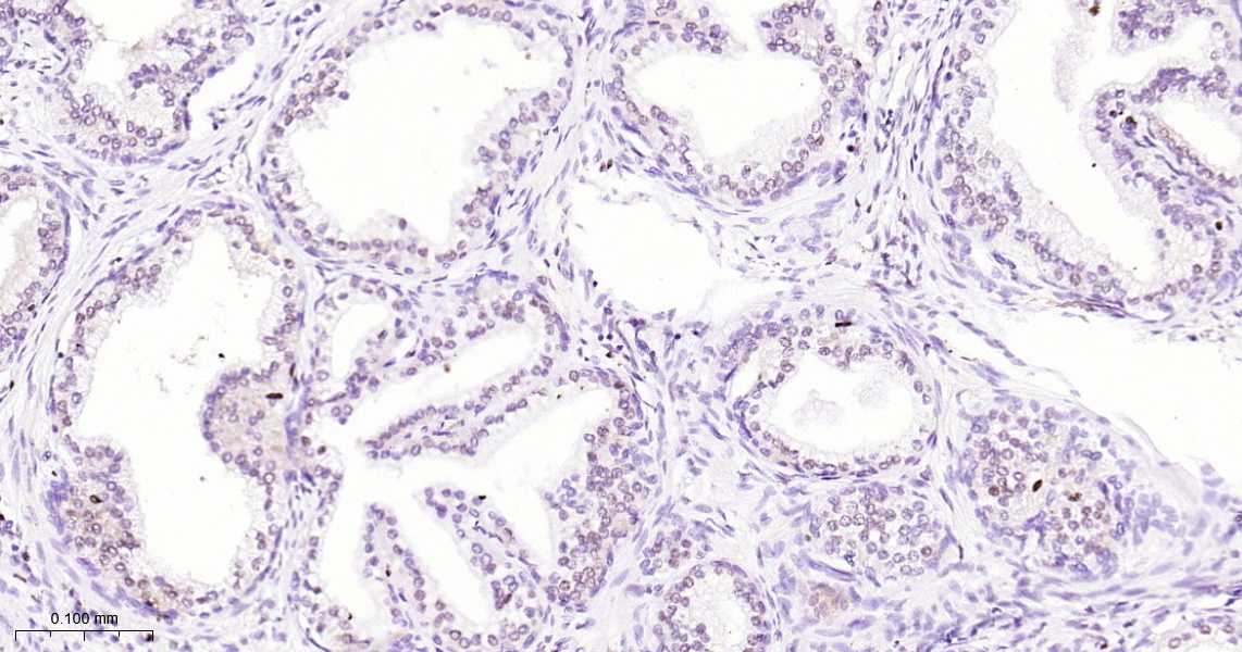
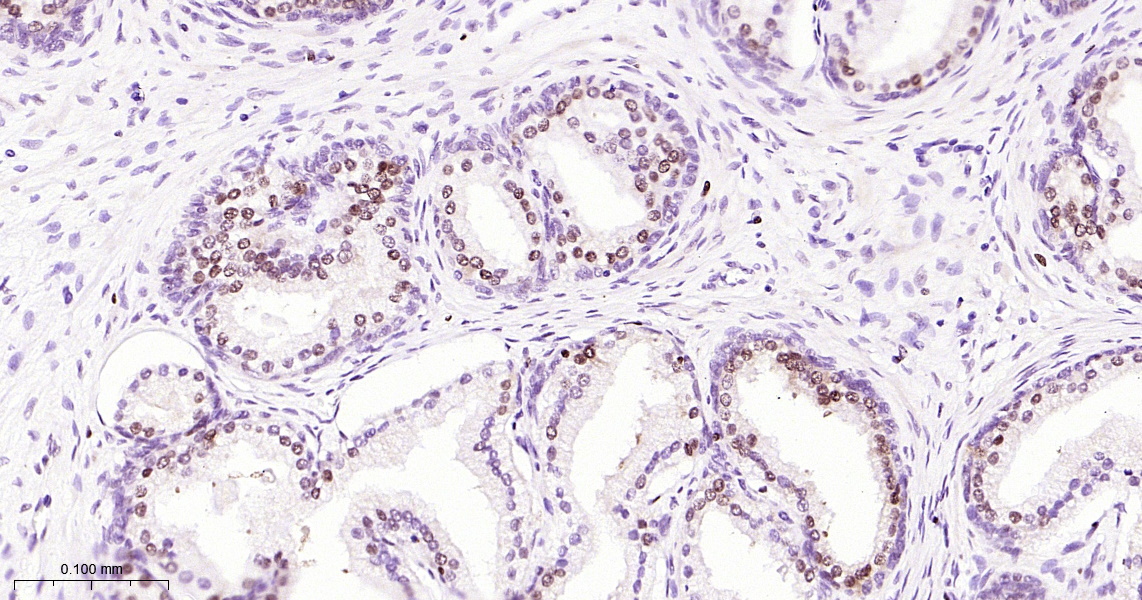
Nkx3.1 Recombinant Antibody

Applications

  • WB
  • IHC-P
  • IHC-F
  • IF

Reactivity

  • Human
Overview
Catalog # bsm-61752r-TR
Product Name Nkx3.1 Recombinant Antibody
Applications WB, IHC-P, IHC-F, IF
Reactivity Human
Specifications
Conjugation Unconjugated
Host Rabbit
Source KLH conjugated synthetic peptide derived from human Nkx 3.1
Clonality Recombinant
Isotype IgG
Concentration Lot dependent
Purification Purified by Protein A.
Storage Buffer 0.01M TBS (pH 7.4), 1% BSA, 0.02% Proclin 300, and 50% Glycerol
Storage Condition Shipped at 4C. Store at -20C for one year. Avoid repeated freeze/thaw cycles.
Target
Gene ID 4824
Swiss Prot Q99801
Subcellular location Nucleus
Synonyms NKX3; BAPX2; NKX3A; NKX3.1; NKX3-1.
Background Transcription factor, which binds preferentially the consensus sequence 5'-TAAGT[AG]-3' and can behave as a transcriptional repressor. Plays an important role in normal prostate development, regulating proliferation of glandular epithelium and in the formation of ducts in prostate. Acts as a tumor suppressor controlling prostate carcinogenesis, as shown by the ability to inhibit proliferation and invasion activities of PC-3 prostate cancer cells.
Application Dilution
WB 1:300-5000
IHC-P 1:200-400
IHC-F 1:100-500
IF