RECEIVE 25% OFF PUBLISHED ANTIBODIES WITH CODE "PUB25"! Offer valid for US customers and available internationally through distributors.

CRMP2 Recombinant Antibody

Applications

  • WB
  • FCM
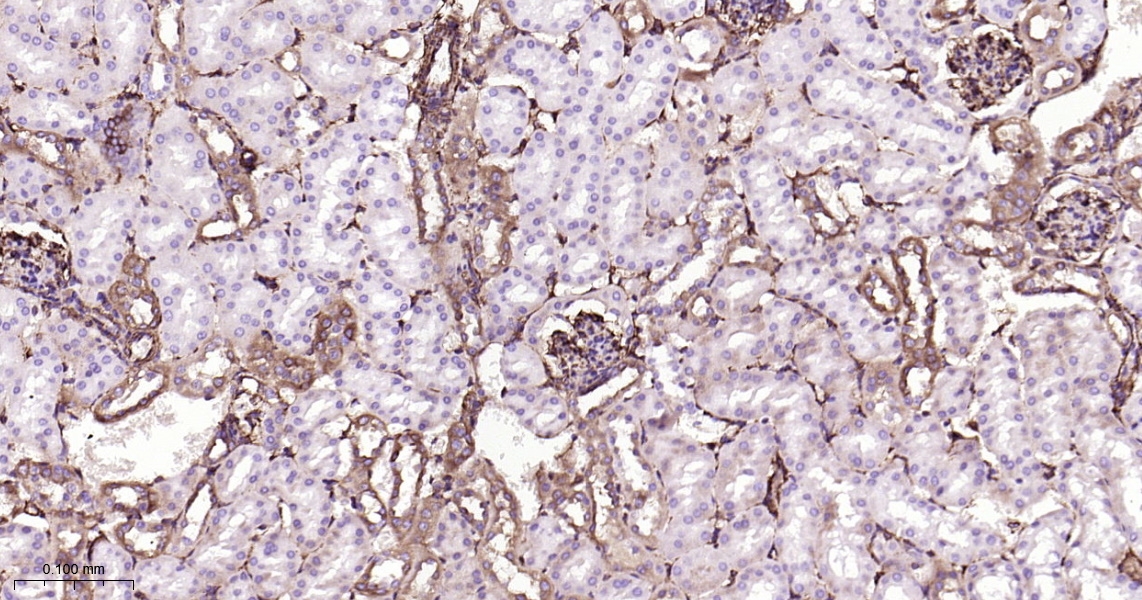
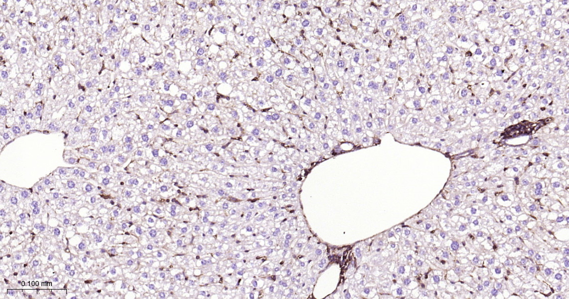
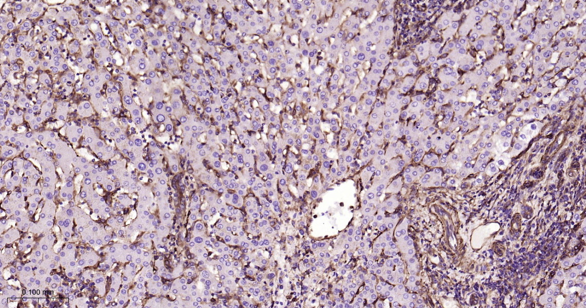
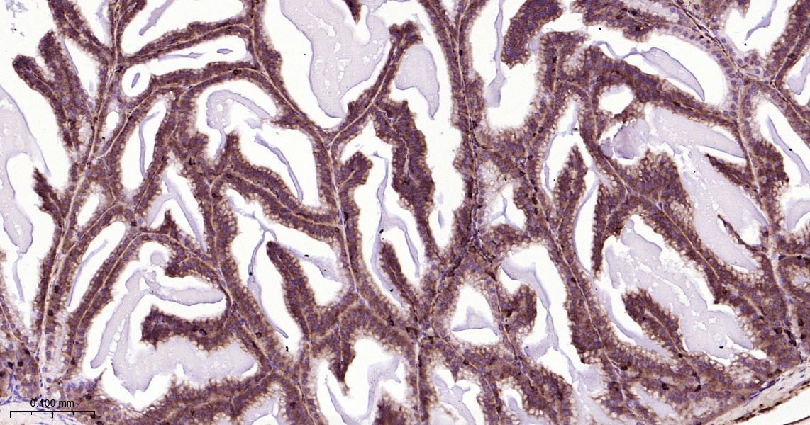
  • IHC-P
  • IHC-F
  • IF(IHC-P)
  • IF(ICC)
  • IP

Reactivity

  • Human
  • Mouse
  • Rat
Overview
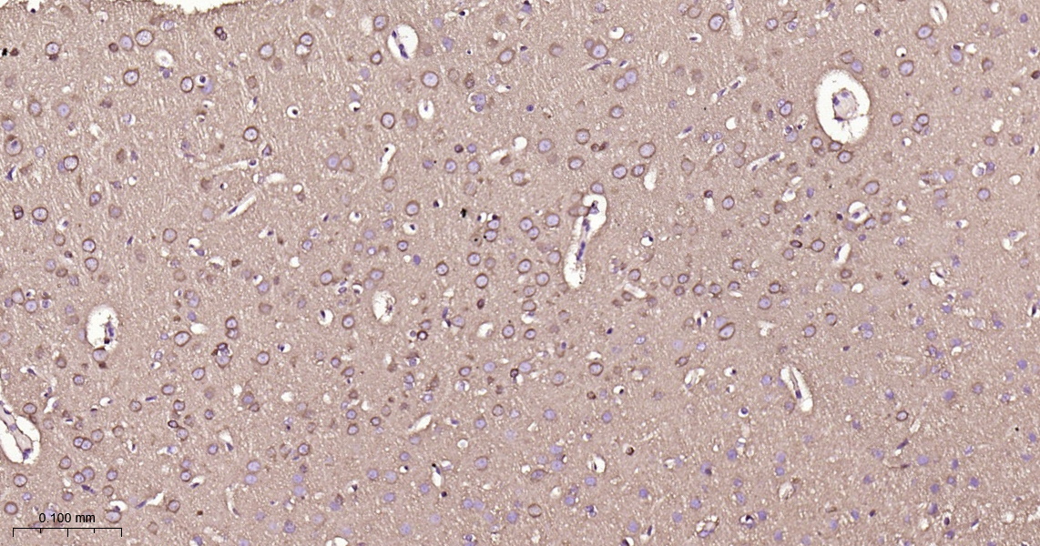
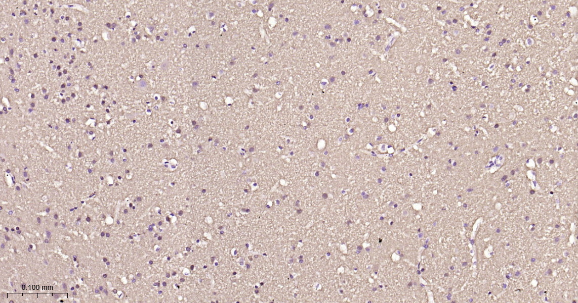
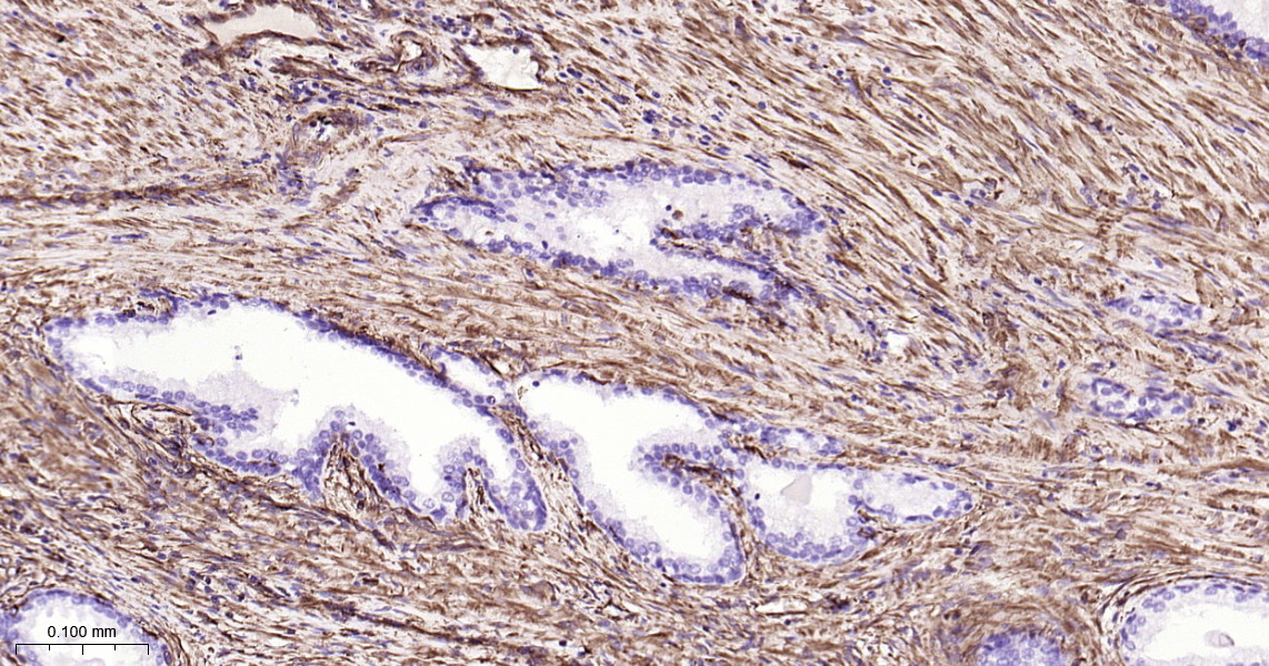
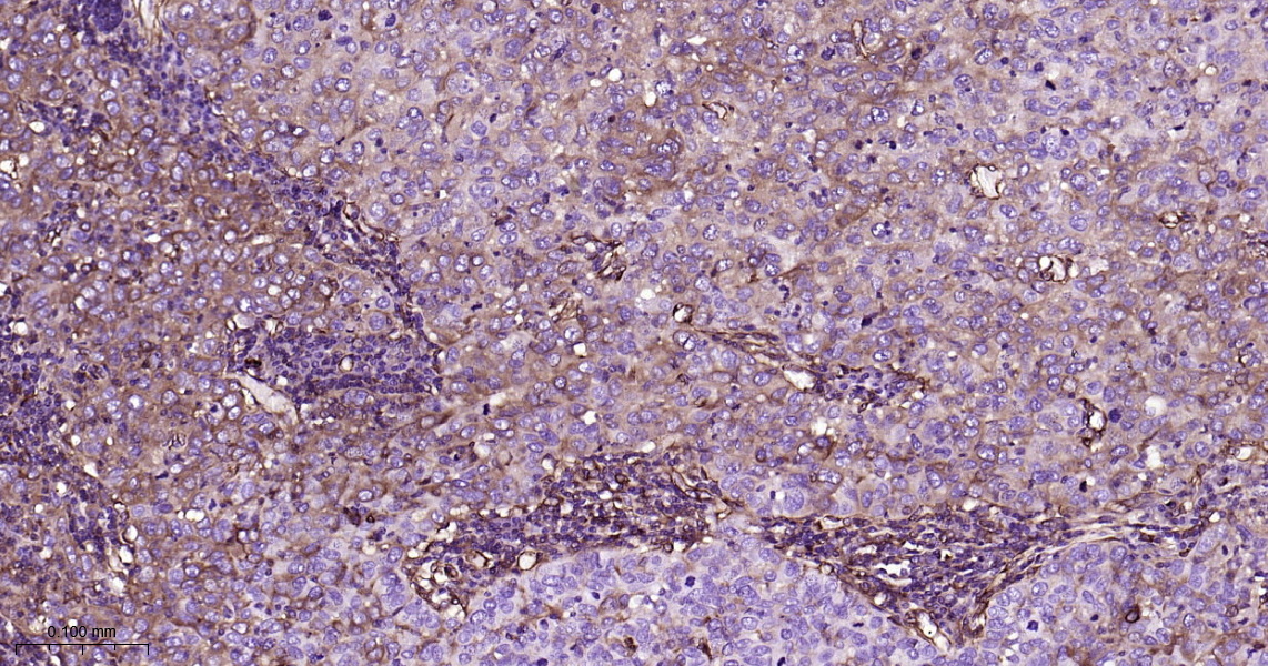
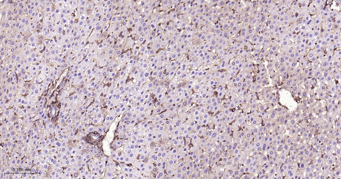
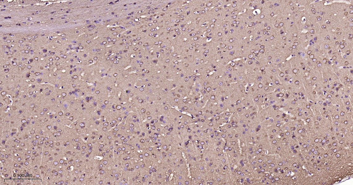
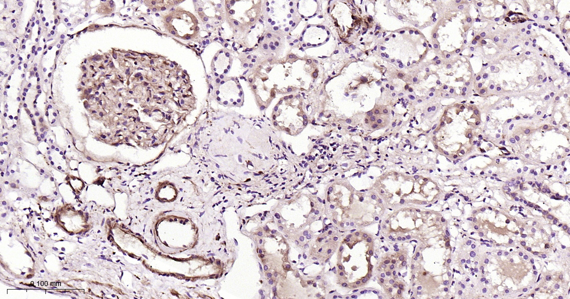
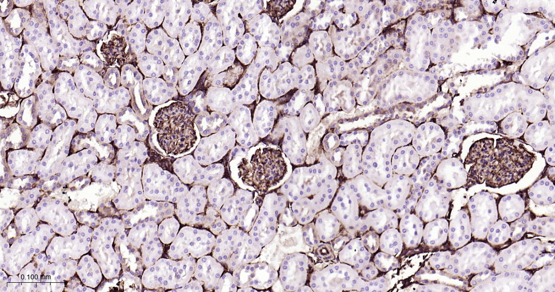
Catalog # bsm-61800r-100ul
Product Name CRMP2 Recombinant Antibody
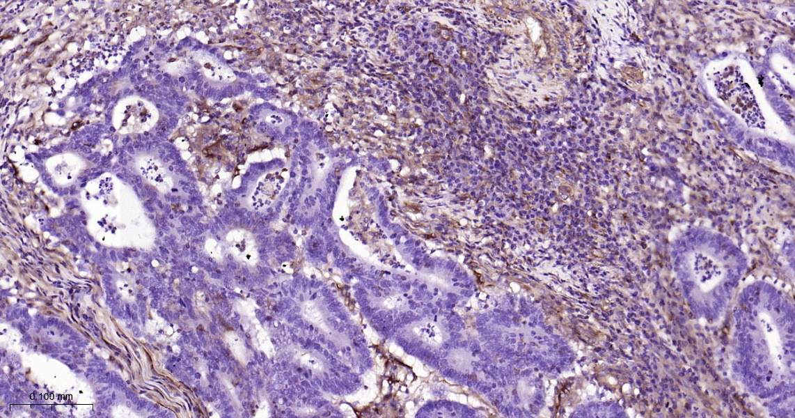
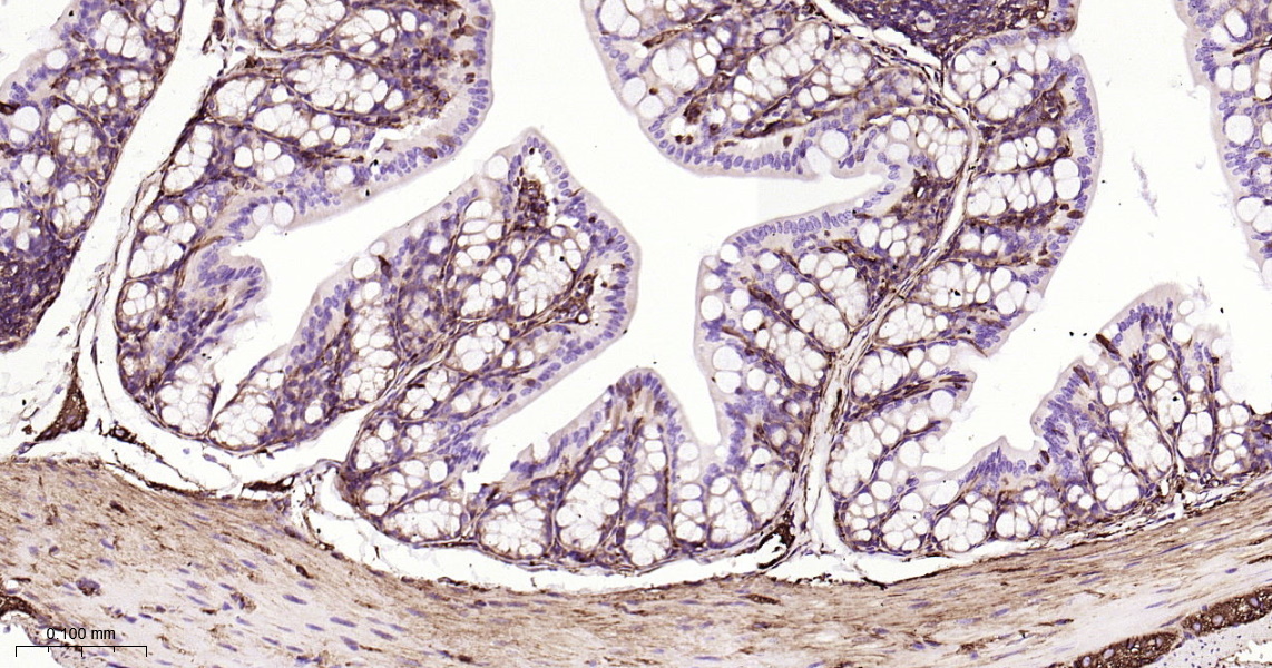
Applications WB, FCM, IHC-P, IHC-F, IF(IHC-P), IF(ICC), IP
Reactivity Human, Mouse, Rat
Specifications
Conjugation Unconjugated
Host Rabbit
Source KLH conjugated synthetic peptide derived from human DRP 2
Clonality Recombinant
Isotype IgG
Concentration Lot dependent
Purification Purified by Protein A.
Storage Buffer 0.01M TBS (pH 7.4), 1% BSA, 0.02% Proclin 300, and 50% Glycerol
Storage Condition Shipped at 4C. Store at -20C for one year. Avoid repeated freeze/thaw cycles.
Target
Gene ID 1808
Swiss Prot Q16555
Subcellular location Cytoplasm
Synonyms DRP2; CRMP-2; N2A3; Unc-33-like phosphoprotein 2; ULIP-2; DPYSL2; CRMP2; ULIP2; Musunc33; TOAD64.
Background Plays a role in neuronal development and polarity, as well as in axon growth and guidance, neuronal growth cone collapse and cell migration. Necessary for signaling by class 3 semaphorins and subsequent remodeling of the cytoskeleton. May play a role in endocytosis.
Application Dilution
WB 1:500-2000
FCM FCM1:50-100
IHC-P IHC-P1:100-500
IHC-F IHC-F1:100-500
IF(IHC-P) IFIHC-P1:100-500
IF(ICC) IFICC1:50-200
IP IP1:20-50