| Overview |
| bsm-61859r-100ul |
| PSMD4 Recombinant Antibody |
| WB, FCM, IHC-P, IHC-F, IF(IHC-P), IF(ICC), IP |
| Human, Mouse, Rat |
| Specifications |
| Unconjugated |
| Rabbit |
| KLH conjugated synthetic peptide derived from human PSMD4 |
| Recombinant |
| IgG |
| Lot dependent |
| Purified by Protein A. |
| 0.01M TBS (pH 7.4), 1% BSA, 0.02% Proclin 300, and 50% Glycerol |
| Shipped at 4C. Store at -20C for one year. Avoid repeated freeze/thaw cycles. |
| Target |
| 5710 |
| P55036 |
| Cytoplasm, Nucleus |
| PSMD4; AF; AF-1; ASF; MCB1; Rpn10; S5A; pUB-R5. |
| Binds and presumably selects ubiquitin-conjugates for destruction. Displays selectivity for longer polyubiquitin chains. Modulates intestinal fluid secretion. |
| Application Dilution |
| WB |
1:500-2000 |
| FCM |
FCM1μg/Test |
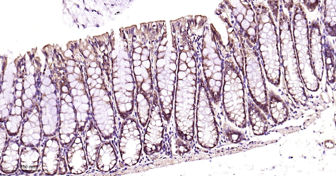
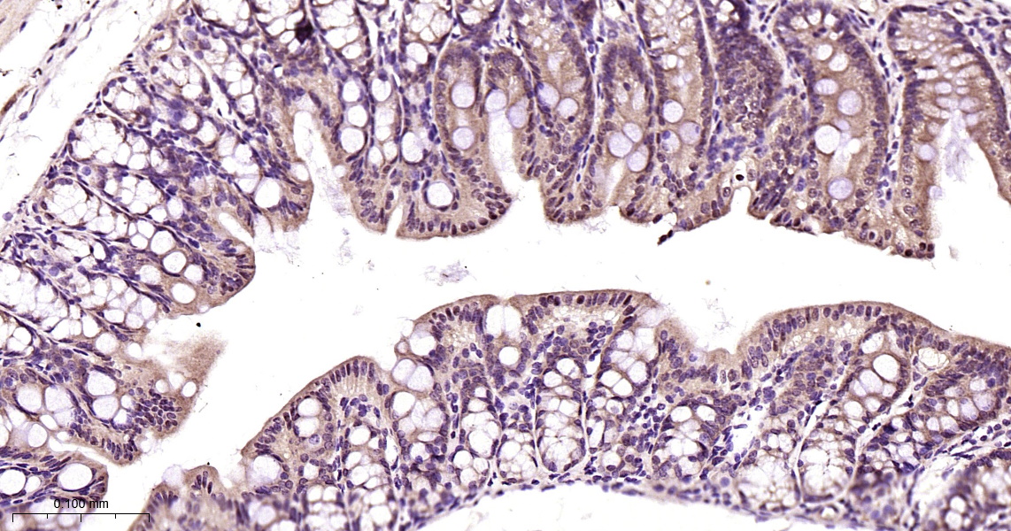
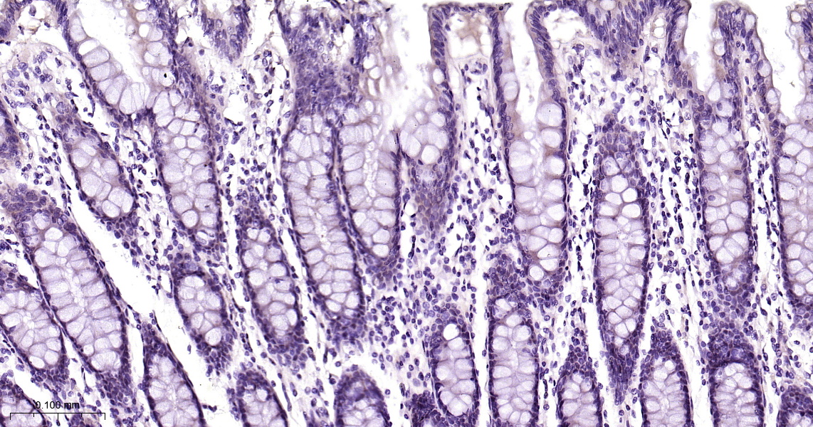
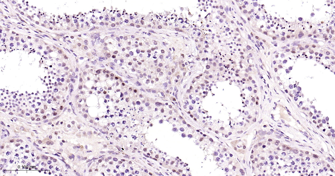
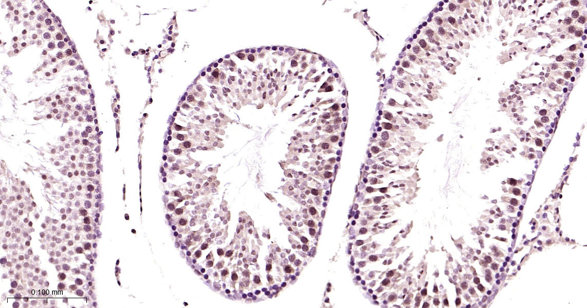
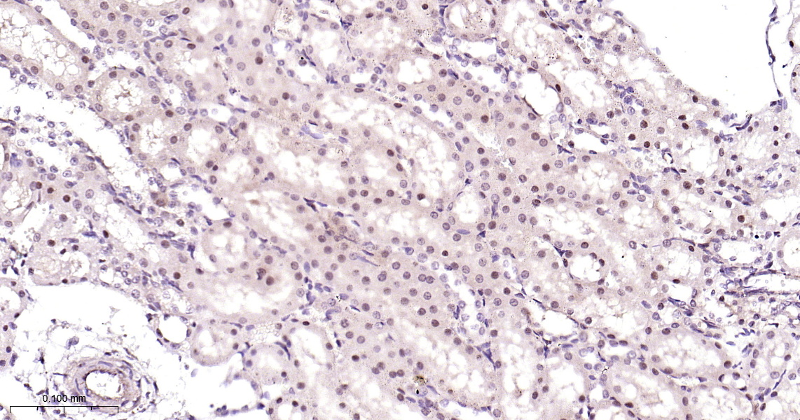
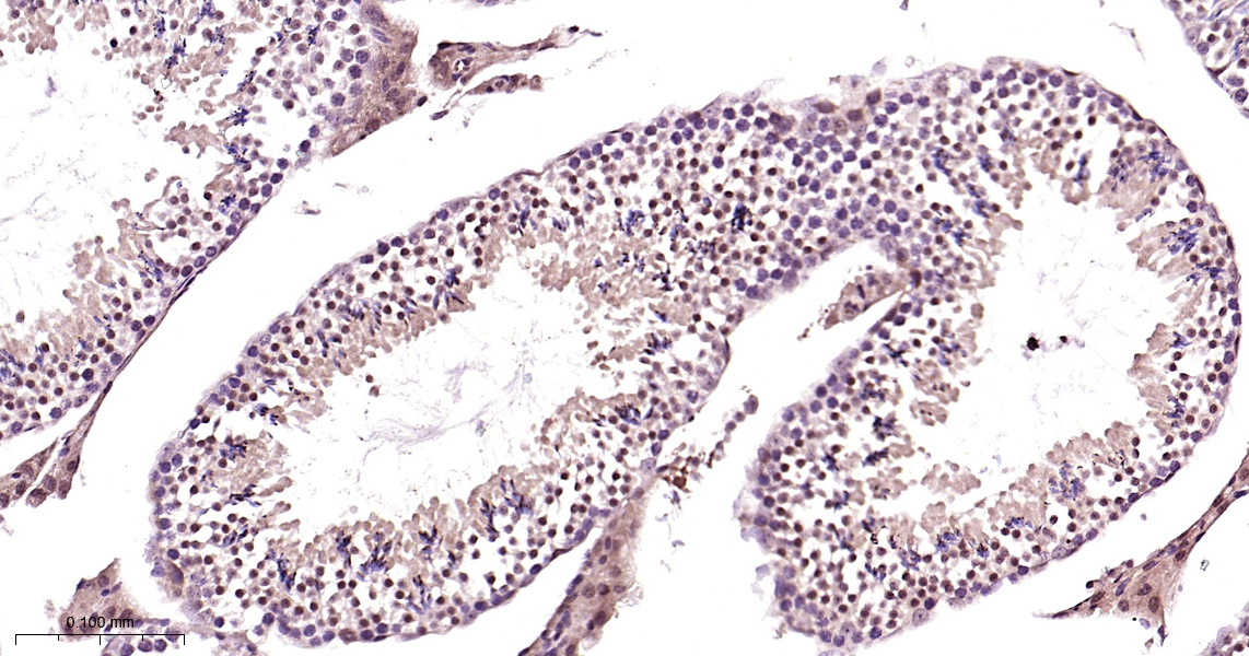
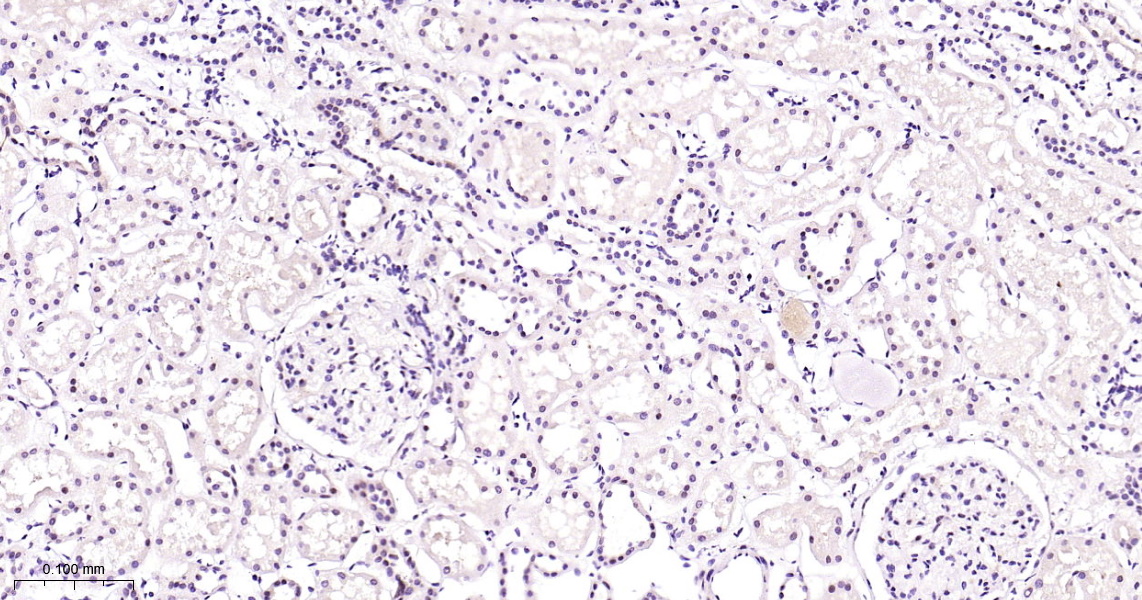
| IHC-P |
IHC-P1:100-500 |
| IHC-F |
IHC-F1:100-500 |
| IF(IHC-P) |
IFIHC-P1:100-500 |
| IF(ICC) |
IFICC1:50-200 |
| IP |
IP1:20-50 |