RECEIVE 25% OFF PUBLISHED ANTIBODIES WITH CODE "PUB25"! Offer valid for US customers and available internationally through distributors.

NMT55 Recombinant Antibody

Applications

  • WB
  • FCM
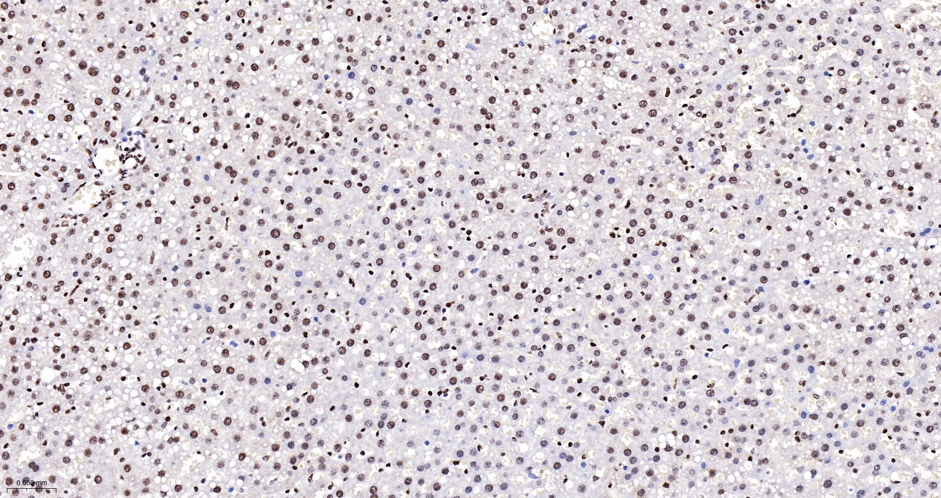
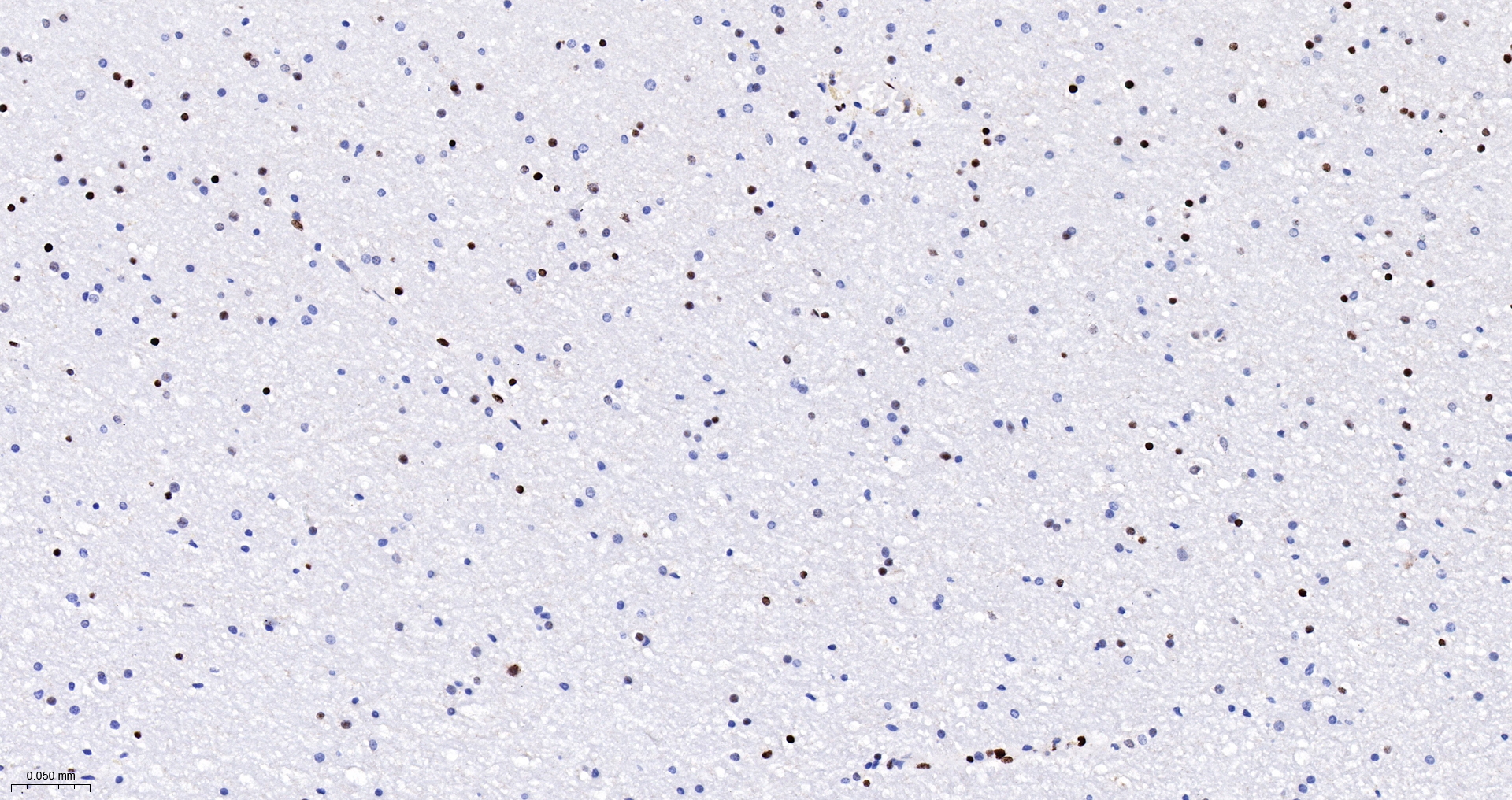
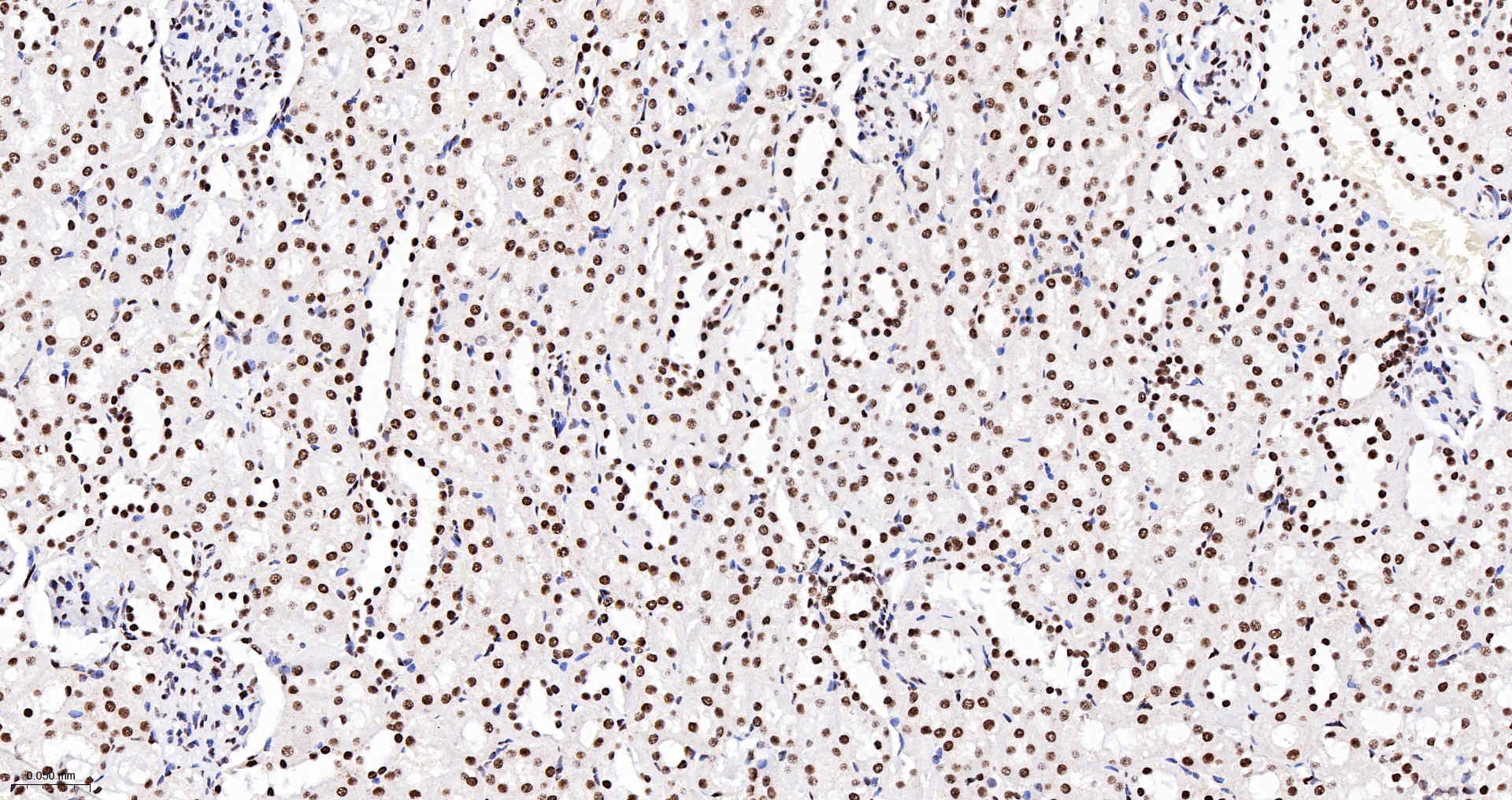
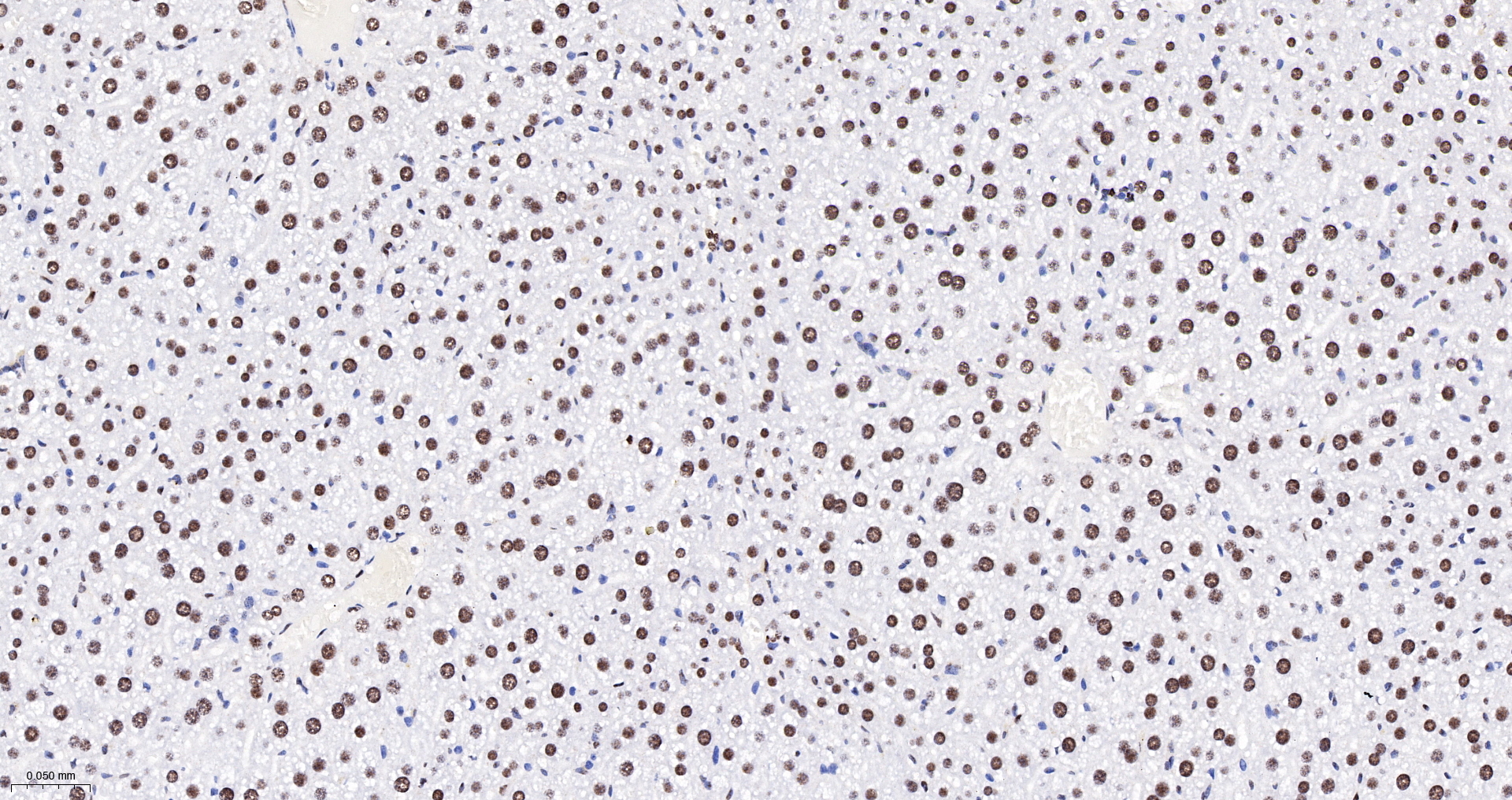
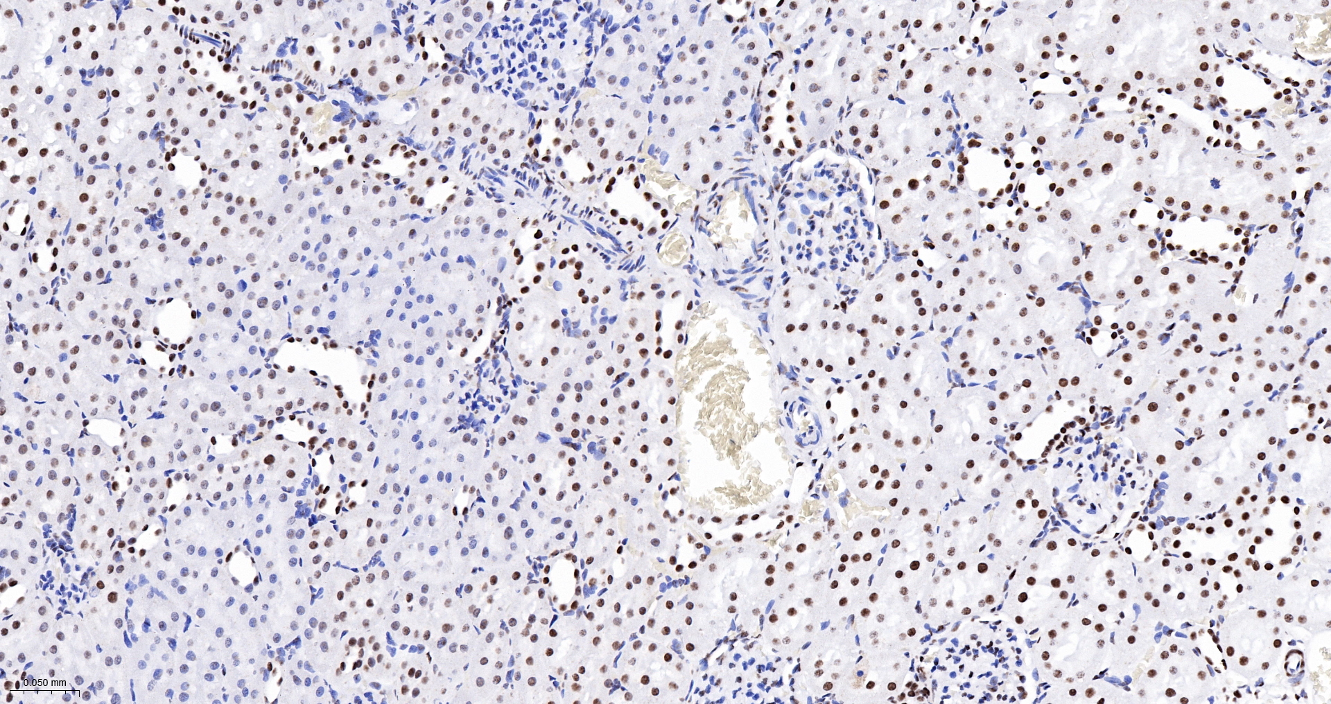
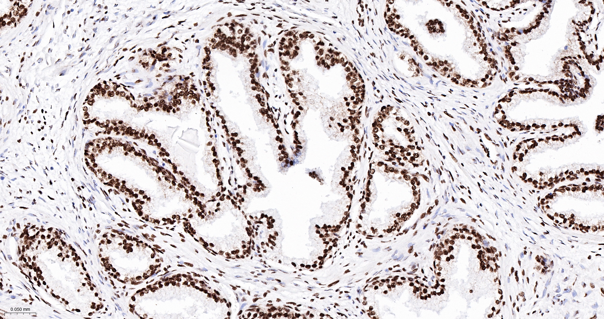
  • IHC-P
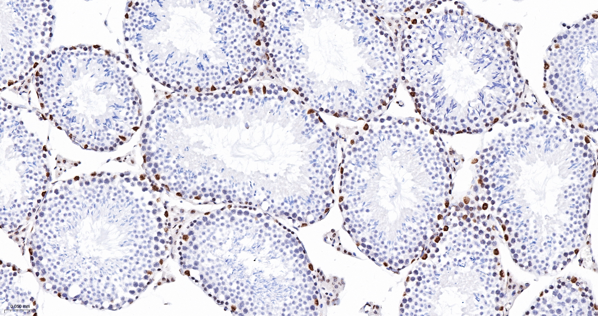
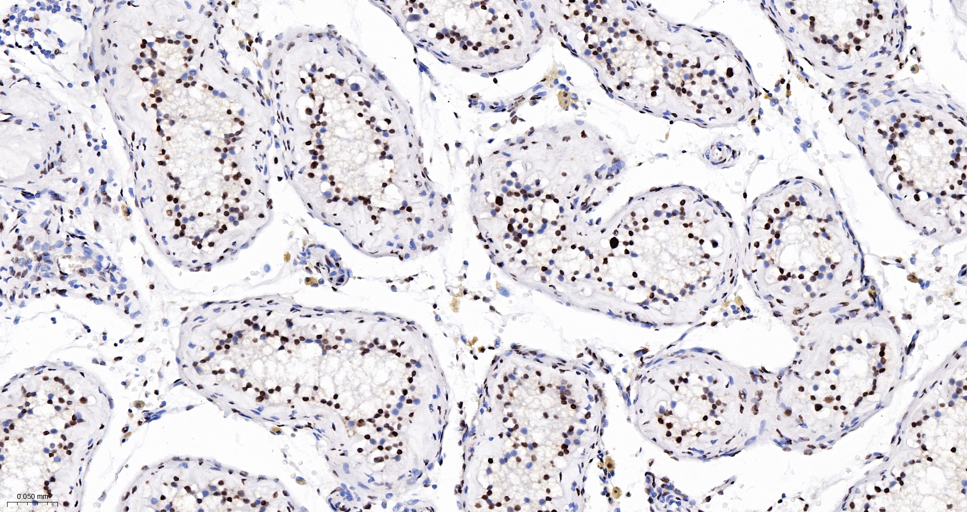
  • IHC-F
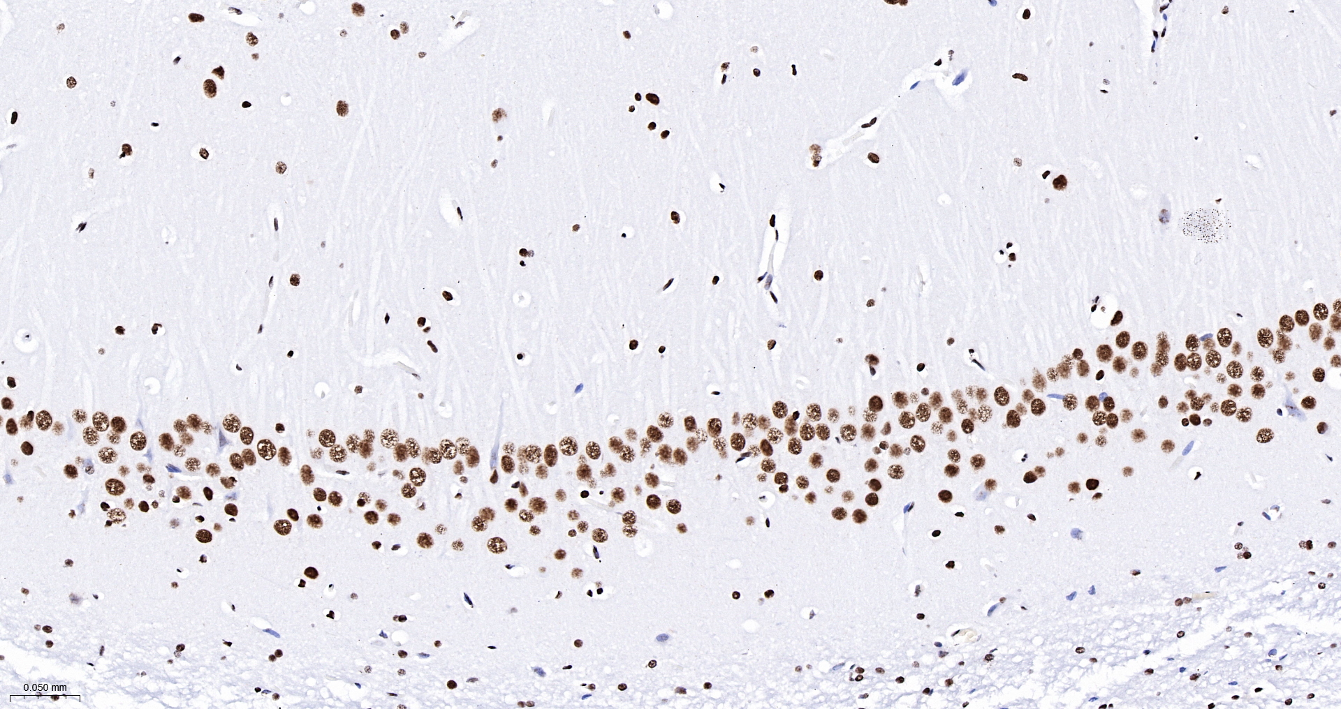
  • IF(IHC-P)
  • IF(ICC)

Reactivity

  • Human
  • Mouse
  • Rat
Overview
Catalog # bsm-61934r-100ul
Product Name NMT55 Recombinant Antibody
Applications WB, FCM, IHC-P, IHC-F, IF(IHC-P), IF(ICC)
Reactivity Human, Mouse, Rat
Specifications
Conjugation Unconjugated
Host Rabbit
Source KLH conjugated synthetic peptide derived from human NONO
Clonality Recombinant
Isotype IgG
Concentration Lot dependent
Purification Purified by Protein A.
Storage Buffer 0.01M TBS (pH 7.4), 1% BSA, 0.02% Proclin 300, and 50% Glycerol
Storage Condition Shipped at 4C. Store at -20C for one year. Avoid repeated freeze/thaw cycles.
Target
Gene ID 4841
Swiss Prot Q15233
Subcellular location Nucleus
Synonyms P54; NMT55; NRB54; P54NRB.
Background DNA- and RNA binding protein, involved in several nuclear processes.Binds the conventional octamer sequence in double-stranded DNA.Also binds single-stranded DNA and RNA at a site independent of the duplex site.Involved in pre-mRNA splicing, probably as a heterodimer with SFPQ.
Application Dilution
WB 1:500-2000
FCM FCM1:50-100
IHC-P IHC-P1:100-500
IHC-F IHC-F1:100-500
IF(IHC-P) IFIHC-P1:100-500
IF(ICC) IFICC1:50-200