RECEIVE 25% OFF PUBLISHED ANTIBODIES WITH CODE "PUB25"! Offer valid for US customers and available internationally through distributors.

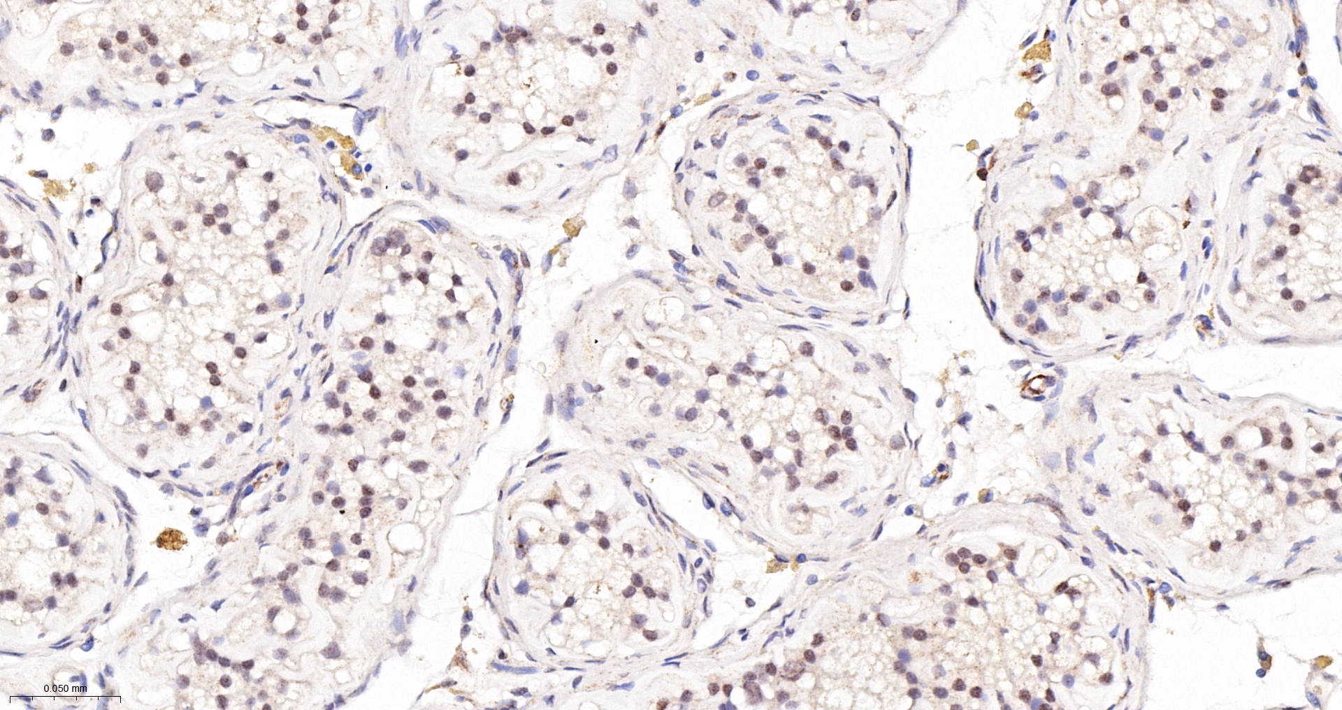
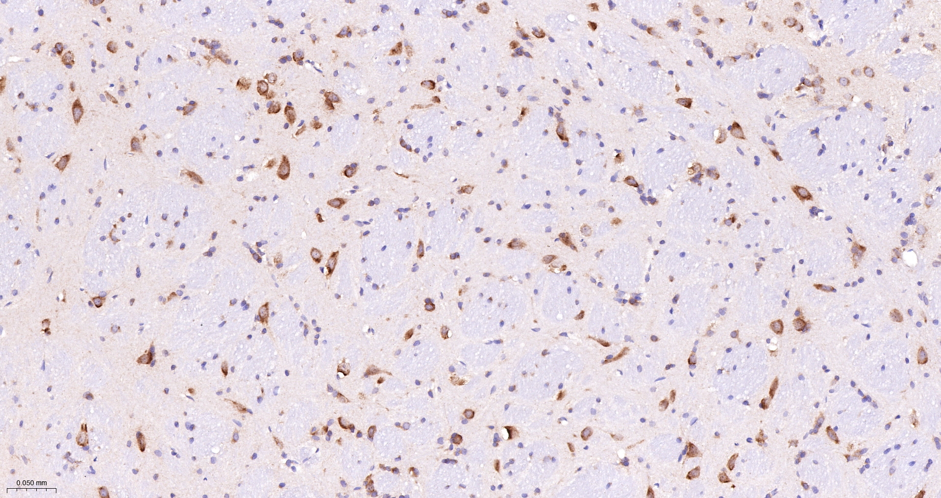
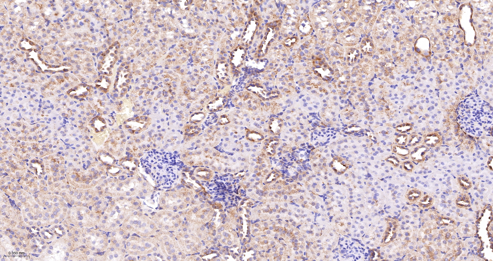
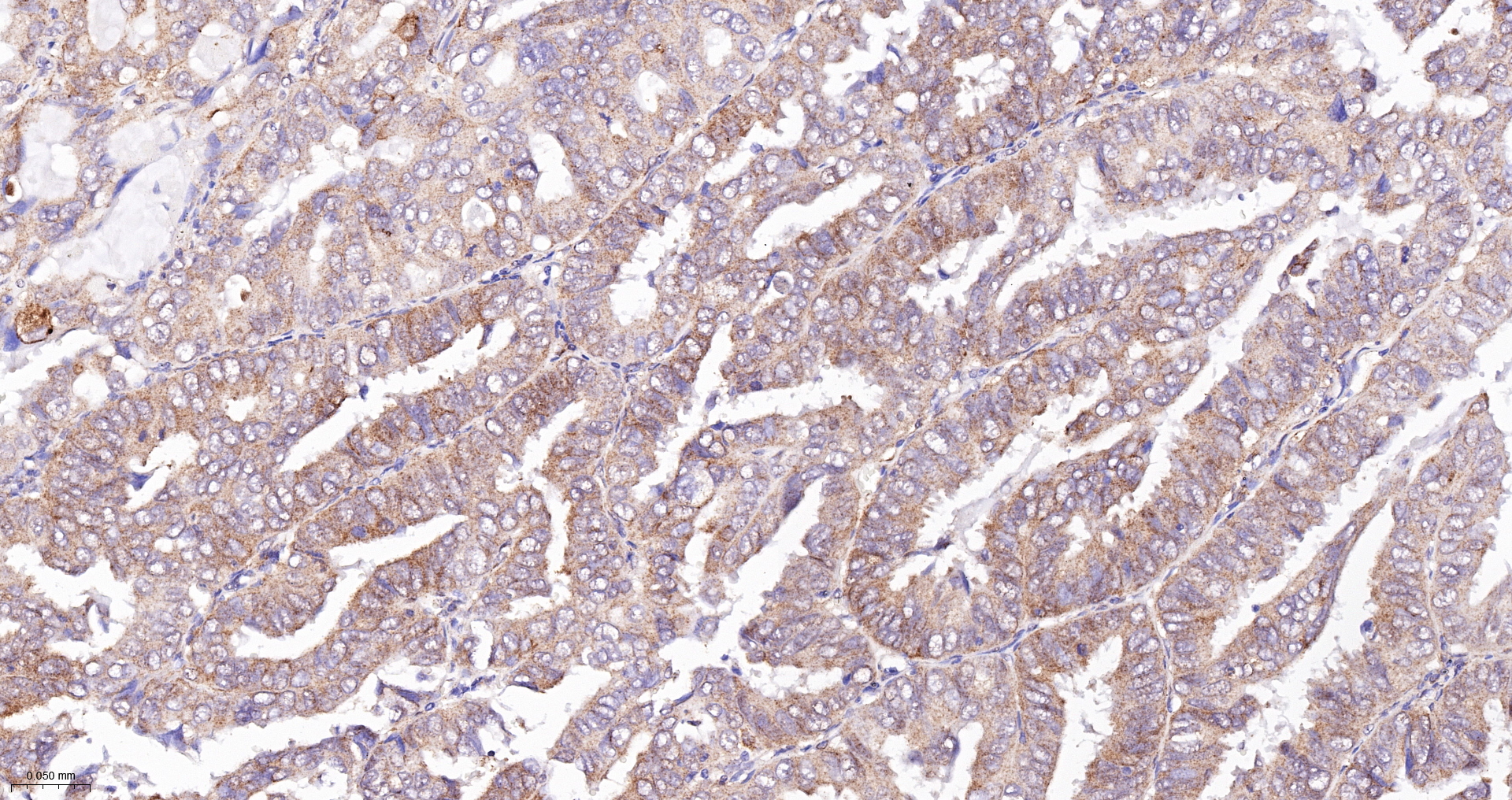
RACK1 Recombinant Antibody

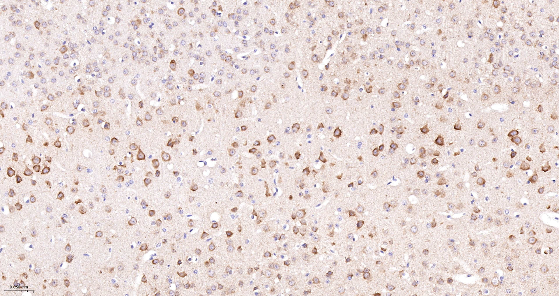
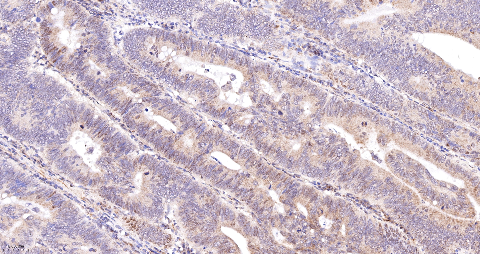
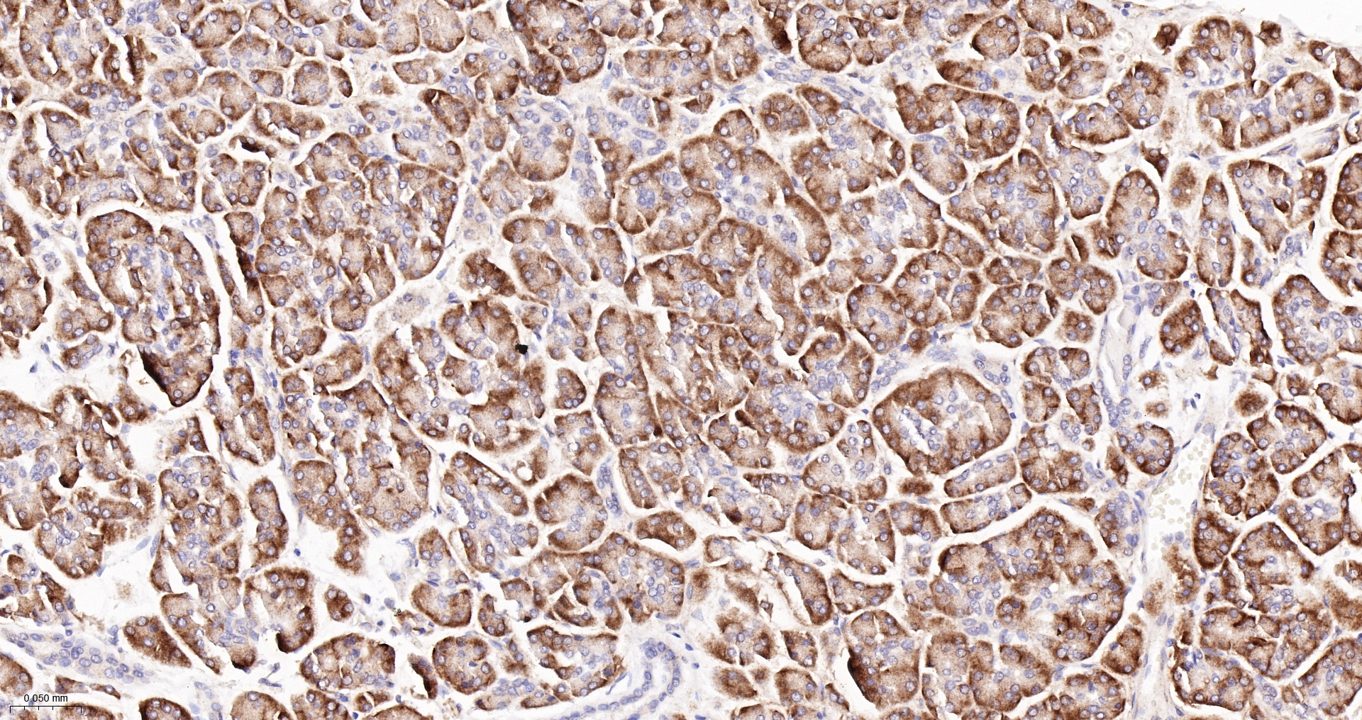
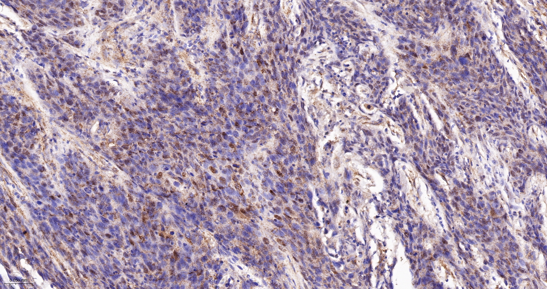
Applications

  • FCM
  • IHC-P
  • IHC-F
  • IF(IHC-P)
  • IF(ICC)

Reactivity

  • Human
  • Mouse
  • Rat
Overview
Catalog # bsm-61942r-100ul
Product Name RACK1 Recombinant Antibody
Applications FCM, IHC-P, IHC-F, IF(IHC-P), IF(ICC)
Reactivity Human, Mouse, Rat
Specifications
Conjugation Unconjugated
Host Rabbit
Source KLH conjugated synthetic peptide derived from human RACK1
Clonality Recombinant
Isotype IgG
Concentration Lot dependent
Purification Purified by Protein A.
Storage Buffer 0.01M TBS (pH 7.4), 1% BSA, 0.02% Proclin 300, and 50% Glycerol
Storage Condition Shipped at 4C. Store at -20C for one year. Avoid repeated freeze/thaw cycles.
Target
Gene ID 10399
Swiss Prot P63244
Subcellular location Cytoplasm, Nucleus, Cell membrane
Synonyms H12.3; HLC-7; PIG21; RACK1; Gnb2-rs1.
Background Seems to bind protein kinase C acting as an intracellular receptor to anchor the activated PKC to the cytoskeleton. May be involved in up-regulation of the activity of kinases such as PKC via binding to KRT1.
Application Dilution
FCM 1:50-100
IHC-P IHC-P1:100-500
IHC-F IHC-F1:100-500
IF(IHC-P) IFIHC-P1:100-500
IF(ICC) IFICC1:50-200