RECEIVE 25% OFF PUBLISHED ANTIBODIES WITH CODE "PUB25"! Offer valid for US customers and available internationally through distributors.

Exportin 5 Recombinant Antibody

Applications

  • WB
  • FCM
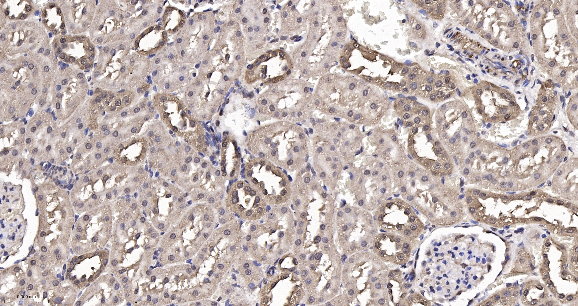
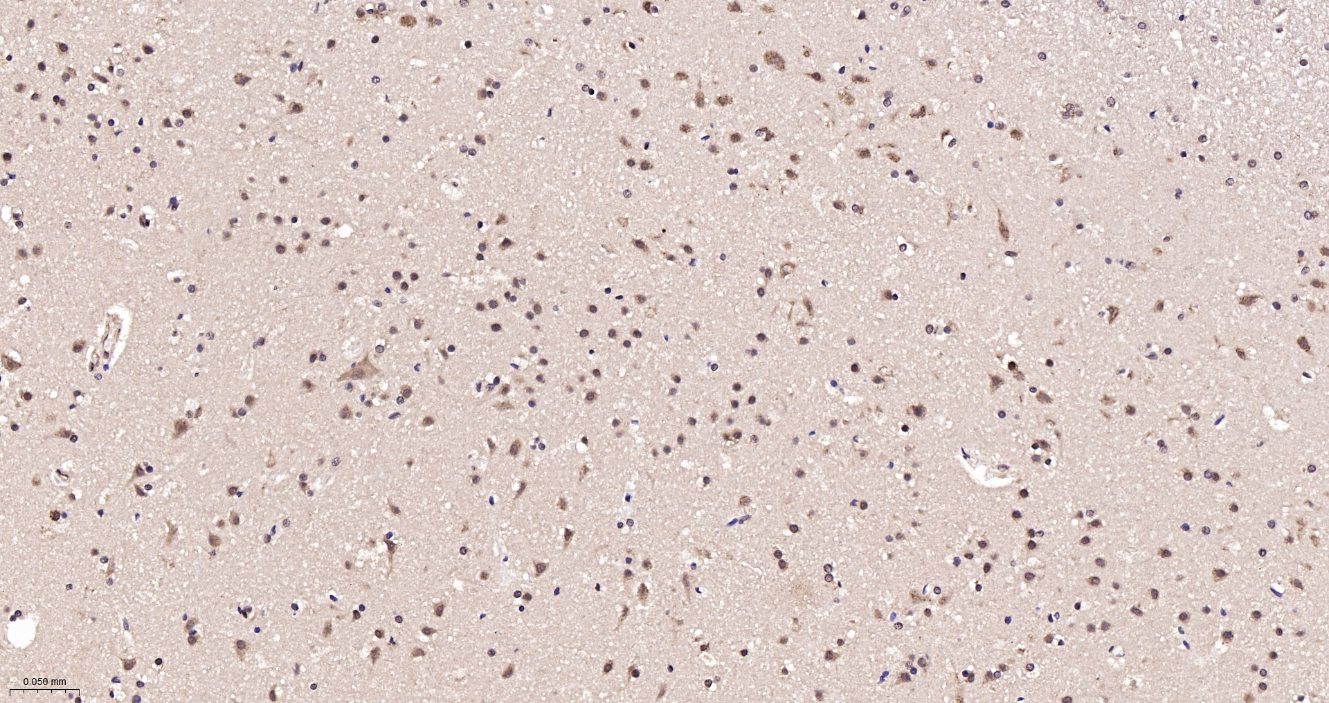
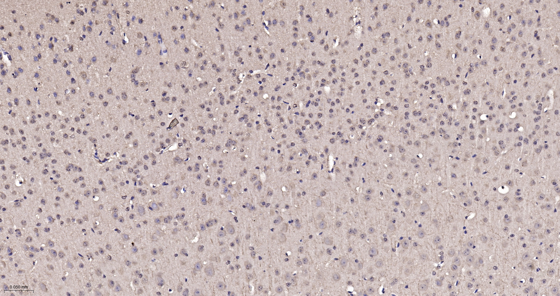
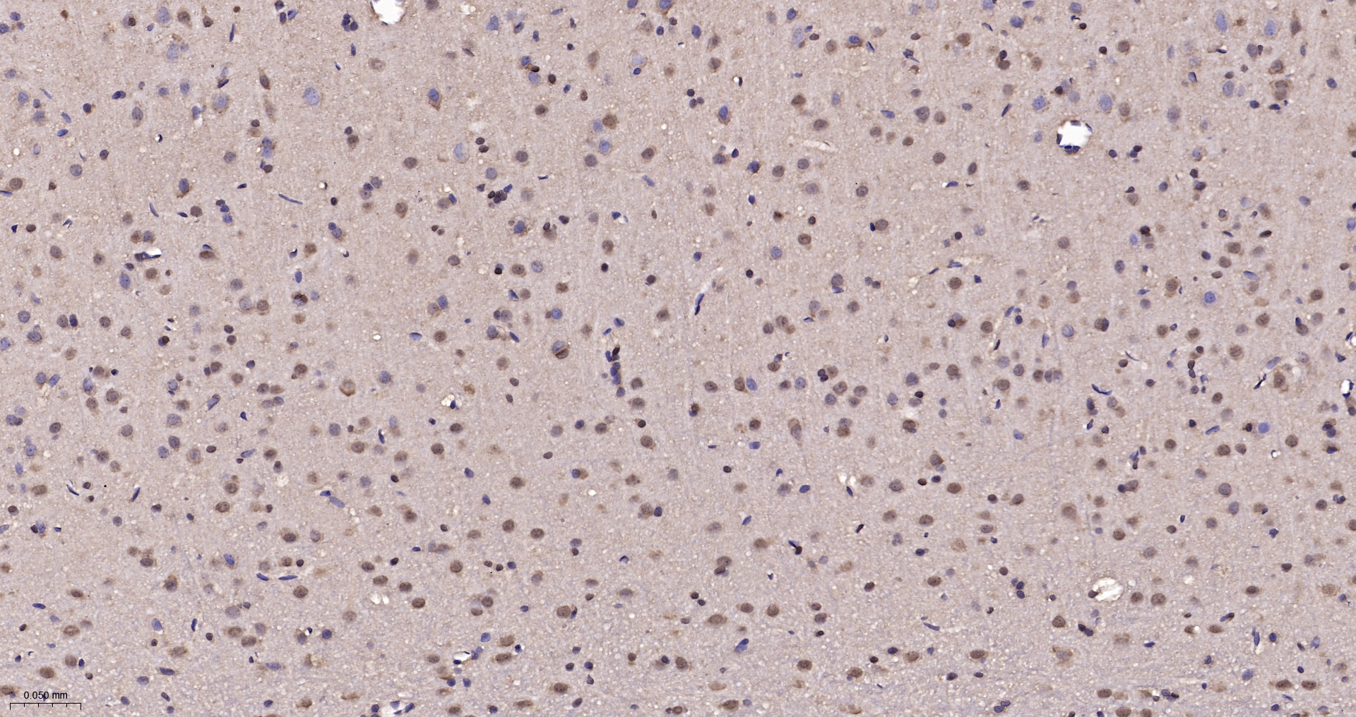
  • IHC-P
  • IHC-F
  • IF(IHC-P)
  • IF(ICC)

Reactivity

  • Human
  • Mouse
  • Rat
Overview
Catalog # bsm-61945r-100ul
Product Name Exportin 5 Recombinant Antibody
Applications WB, FCM, IHC-P, IHC-F, IF(IHC-P), IF(ICC)
Reactivity Human, Mouse, Rat
Specifications
Conjugation Unconjugated
Host Rabbit
Source KLH conjugated synthetic peptide derived from human Exportin 5
Clonality Recombinant
Isotype IgG
Concentration Lot dependent
Purification Purified by Protein A.
Storage Buffer 0.01M TBS (pH 7.4), 1% BSA, 0.02% Proclin 300, and 50% Glycerol
Storage Condition Shipped at 4C. Store at -20C for one year. Avoid repeated freeze/thaw cycles.
Target
Gene ID 57510
Swiss Prot Q9HAV4
Subcellular location Cytoplasm, Nucleus
Synonyms Exp5; Exportin 5; Ranbp21; xpo5.
Background E3 ubiquitin-protein ligase which accepts ubiquitin from an E2 ubiquitin-conjugating enzyme in the form of a thioester and then directly transfers the ubiquitin to targeted substrates.Interacts with SMAD7 to trigger SMAD7-mediated transforming growth factor beta/TGF-beta receptor ubiquitin-dependent degradation, thereby down-regulating TGF-beta signaling.
Application Dilution
WB 1:500-2000
FCM FCM1:50-100
IHC-P IHC-P1:100-200
IHC-F IHC-F1:100-200
IF(IHC-P) IFIHC-P1:50-200
IF(ICC) IFICC1:50-200