RECEIVE 25% OFF PUBLISHED ANTIBODIES WITH CODE "PUB25"! Offer valid for US customers and available internationally through distributors.

FIS1 Recombinant Antibody

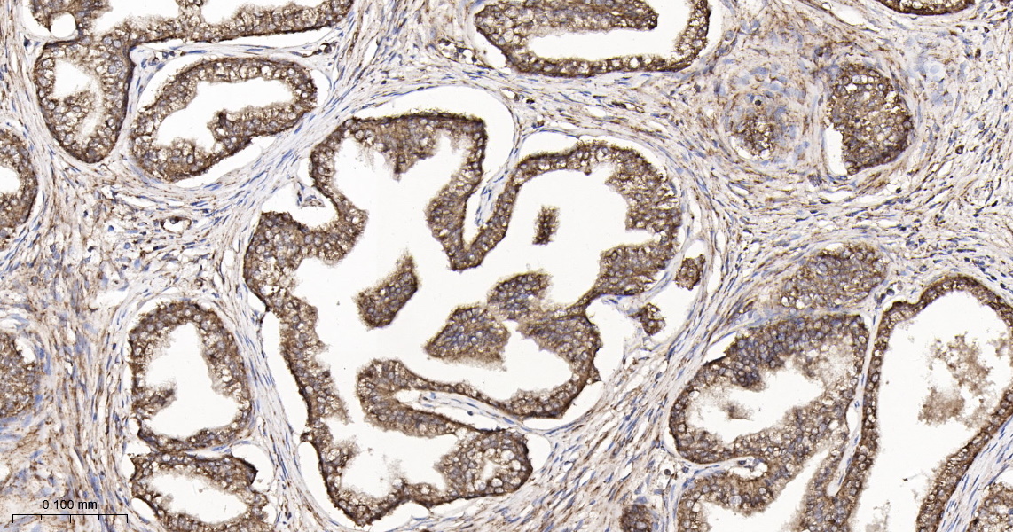
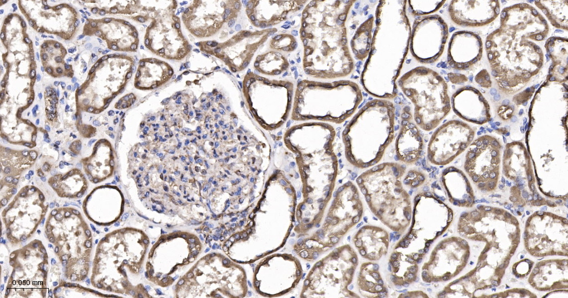
Applications

  • WB
  • IHC-P
  • IHC-F
  • IF(IHC-P)
  • IF(ICC)

Reactivity

  • Human
  • Cow
Overview
Catalog # bsm-61949r-100ul
Product Name FIS1 Recombinant Antibody
Applications WB, IHC-P, IHC-F, IF(IHC-P), IF(ICC)
Reactivity Human, Cow
Specifications
Conjugation Unconjugated
Host Rabbit
Source KLH conjugated synthetic peptide derived from human FIS1
Clonality Recombinant
Isotype IgG
Concentration Lot dependent
Purification Purified by Protein A.
Storage Buffer 0.01M TBS (pH 7.4), 1% BSA, 0.02% Proclin 300, and 50% Glycerol
Storage Condition Shipped at 4C. Store at -20C for one year. Avoid repeated freeze/thaw cycles.
Target
Gene ID 51024
Swiss Prot Q9Y3D6
Subcellular location Cytoplasm
Synonyms CGI135; FIS1; hFis1; TTC 11.
Background Involved in the fragmentation of the mitochondrial network and its perinuclear clustering.Plays a minor role in the recruitment and association of the fission mediator dynamin-related protein 1 (DNM1L) to the mitochondrial surface and mitochondrial fission.
Application Dilution
WB 1:500-2000
IHC-P IHC-P1:100-500
IHC-F IHC-F1:100-500
IF(IHC-P) IFIHC-P1:100-500
IF(ICC) IFICC1:50-200