RECEIVE 25% OFF PUBLISHED ANTIBODIES WITH CODE "PUB25"! Offer valid for US customers and available internationally through distributors.

ADAP/FYB Recombinant Antibody

Applications

  • WB
  • FCM
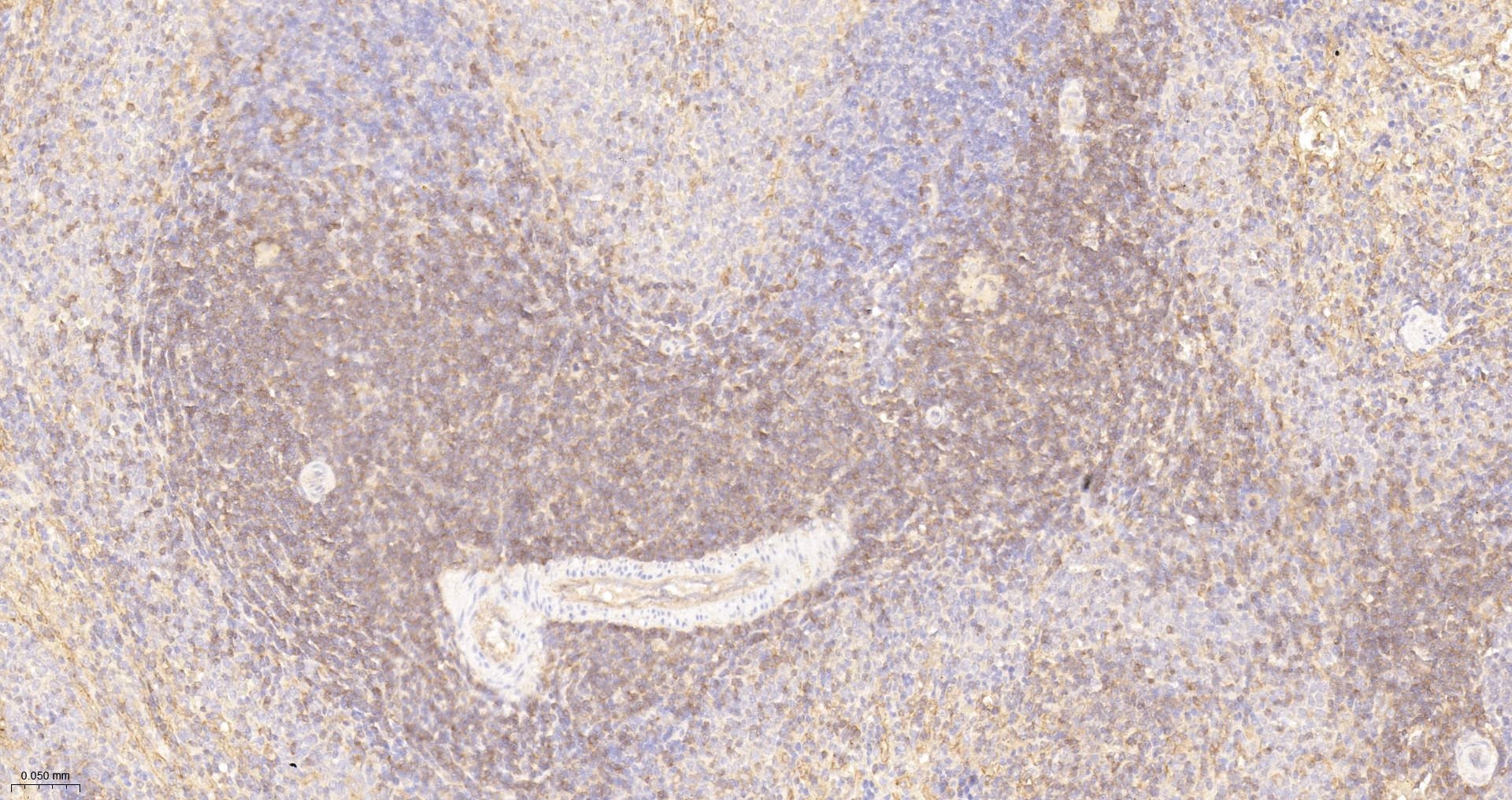
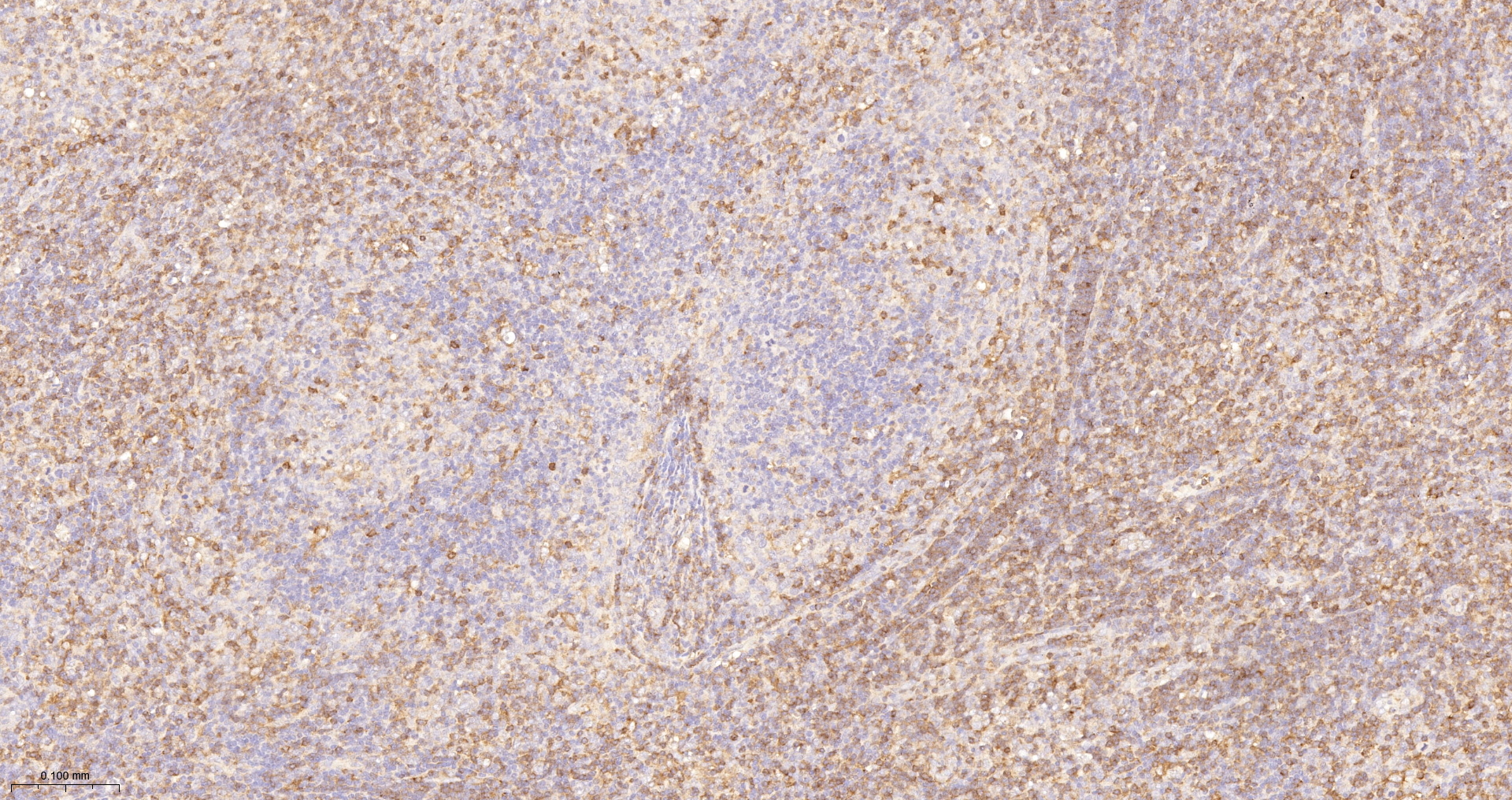
  • IHC-P
  • IHC-F
  • IF(IHC-P)
  • IF(ICC)

Reactivity

  • Human
  • Mouse
Overview
Catalog # bsm-61997r-100ul
Product Name ADAP/FYB Recombinant Antibody
Applications WB, FCM, IHC-P, IHC-F, IF(IHC-P), IF(ICC)
Reactivity Human, Mouse
Specifications
Conjugation Unconjugated
Host Rabbit
Source KLH conjugated synthetic peptide derived from human FYN binding protein 1
Clonality Recombinant
Isotype IgG
Concentration Lot dependent
Purification Purified by Protein A.
Storage Buffer 0.01M TBS (pH 7.4), 1% BSA, 0.02% Proclin 300, and 50% Glycerol
Storage Condition Shipped at 4C. Store at -20C for one year. Avoid repeated freeze/thaw cycles.
Target
Gene ID 2533
Swiss Prot O15117
Subcellular location Cytoplasm, Nucleus
Synonyms ADAP; Fyb; FYN binding protein; p120/p130; SLAP130.
Background Acts as an adapter protein of the FYN and LCP2 signaling cascades in T-cells.May play a role in linking T-cell signaling to remodeling of the actin cytoskeleton.
Application Dilution
WB 1:500-2000
FCM FCM1:50-100
IHC-P IHC-P1:100-500
IHC-F IHC-F1:100-500
IF(IHC-P) IFIHC-P1:100-500
IF(ICC) IFICC1:50-200