RECEIVE 25% OFF PUBLISHED ANTIBODIES WITH CODE "PUB25"! Offer valid for US customers and available internationally through distributors.

GTPBP4 Recombinant Antibody

Applications

  • WB
  • FCM
  • IHC-P
  • IHC-F
  • IF(IHC-P)
  • IF(ICC)
  • IP

Reactivity

  • Human
Overview
Catalog # bsm-62049r-100ul
Product Name GTPBP4 Recombinant Antibody
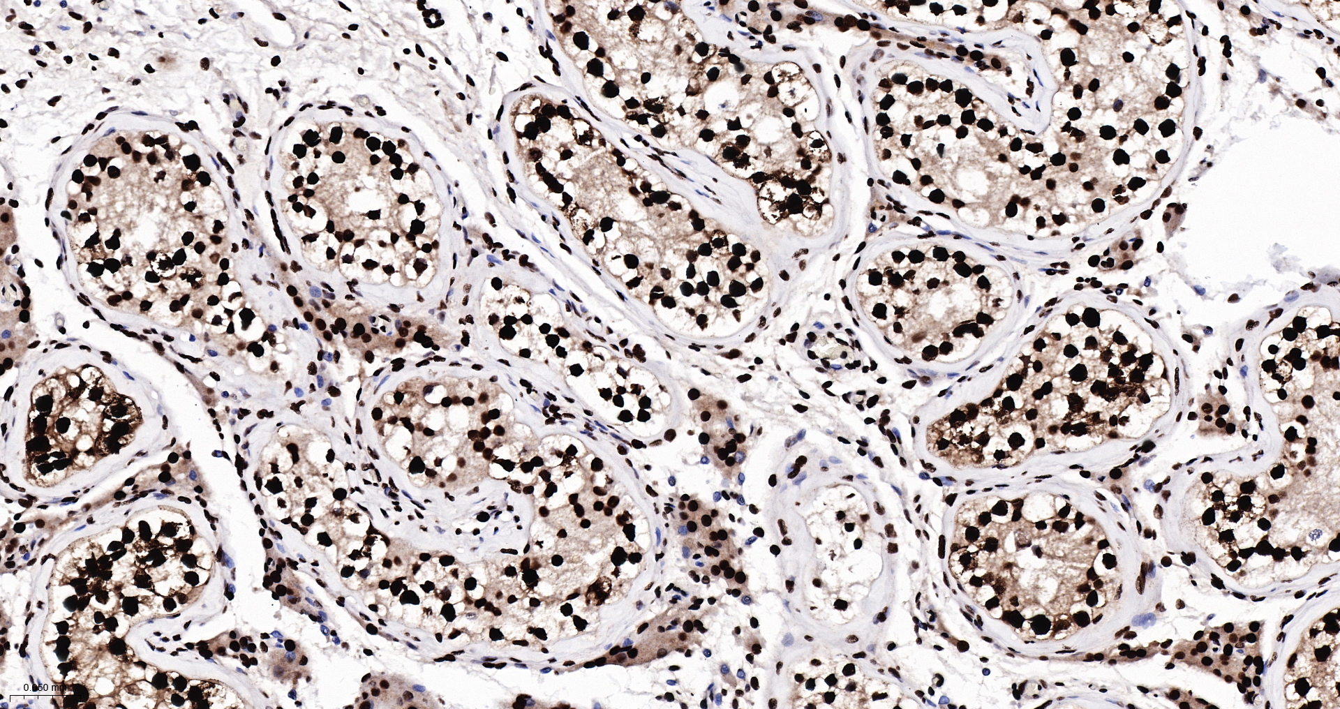
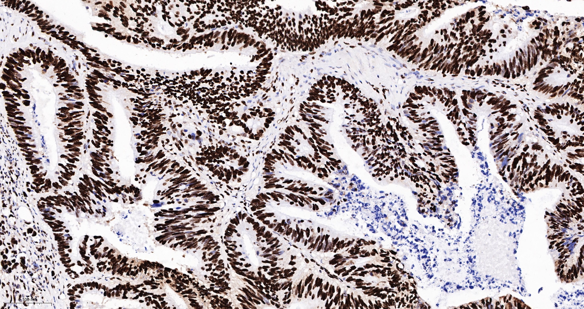
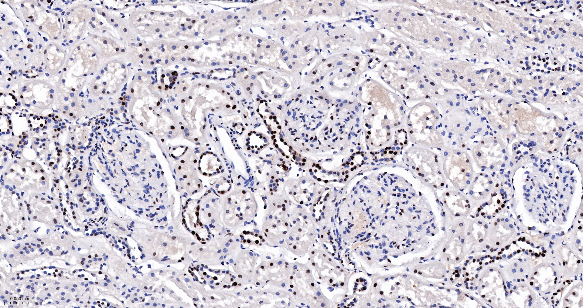
Applications WB, FCM, IHC-P, IHC-F, IF(IHC-P), IF(ICC), IP
Reactivity Human
Specifications
Conjugation Unconjugated
Host Rabbit
Source KLH conjugated synthetic peptide derived from human GTPBP4
Clonality Recombinant
Isotype IgG
Concentration Lot dependent
Purification Purified by Protein A.
Storage Buffer 0.01M TBS (pH 7.4), 1% BSA, 0.02% Proclin 300, and 50% Glycerol
Storage Condition Shipped at 4C. Store at -20C for one year. Avoid repeated freeze/thaw cycles.
Target
Gene ID 23560
Swiss Prot Q9BZE4
Subcellular location Nucleus
Synonyms CRFG; GTP binding protein 4; Gtpbp4; NGB; NOG1.
Background Involved in the biogenesis of the 60S ribosomal subunit.Acts as a TP53 repressor, preventing TP53 stabilization and cell cycle arrest.
Application Dilution
WB 1:500-2000
FCM FCM1:50-100
IHC-P IHC-P1:100-200
IHC-F IHC-F1:100-200
IF(IHC-P) IFIHC-P1:100-200
IF(ICC) IFICC1:100-500
IP IP1:20-50