RECEIVE 25% OFF PUBLISHED ANTIBODIES WITH CODE "PUB25"! Offer valid for US customers and available internationally through distributors.

CLSTN1 Recombinant Antibody

Applications

  • WB
  • FCM
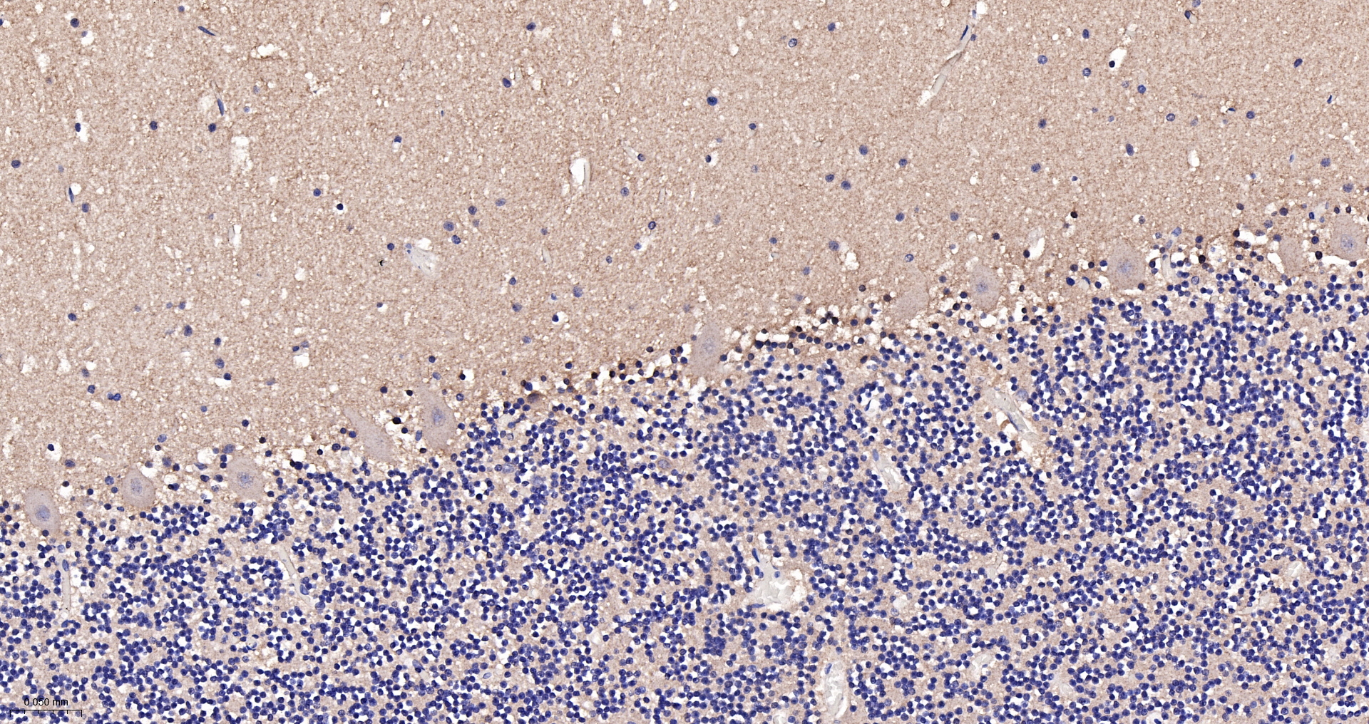
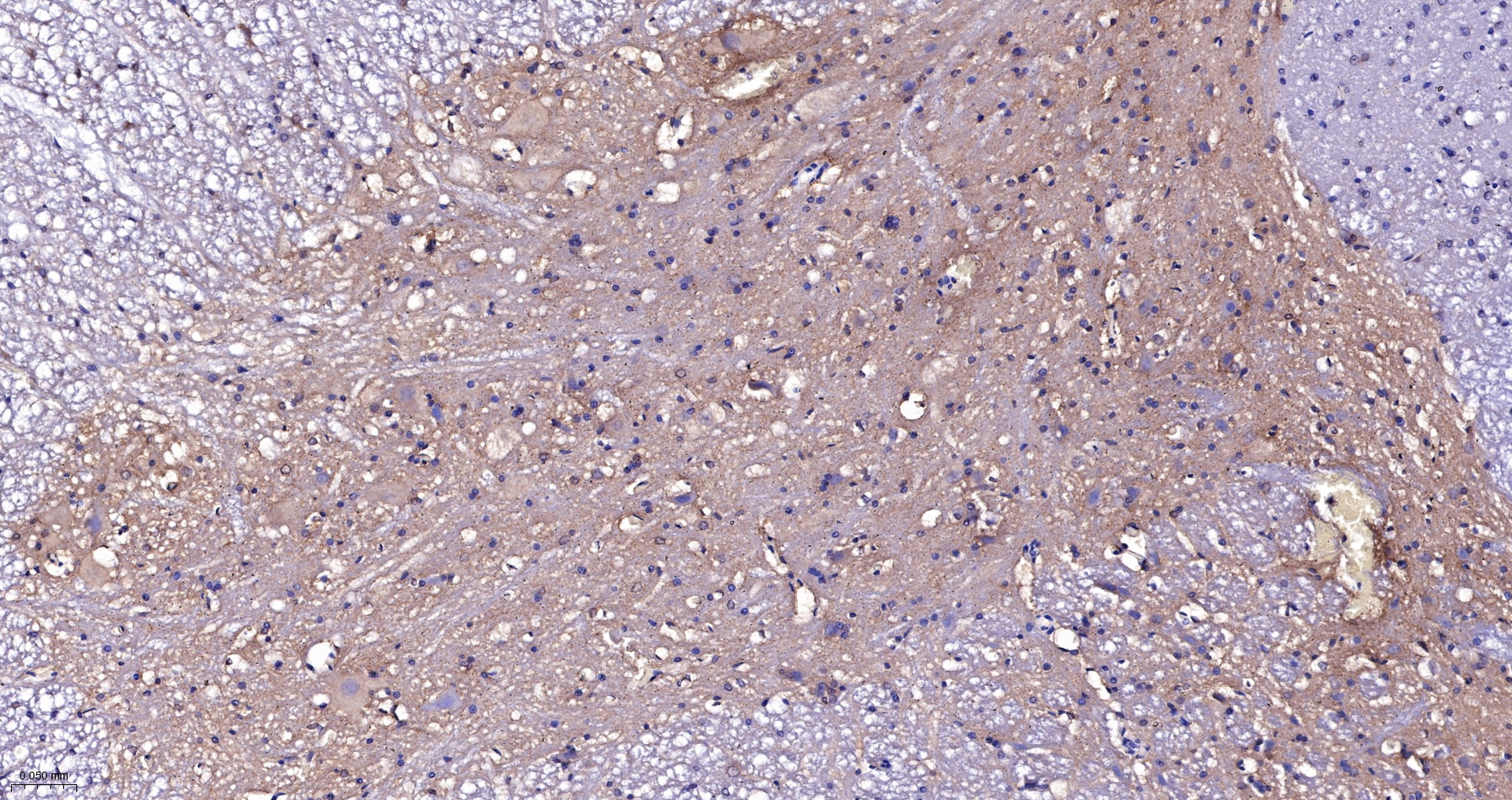
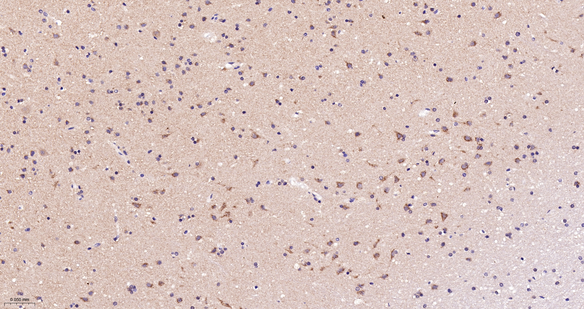
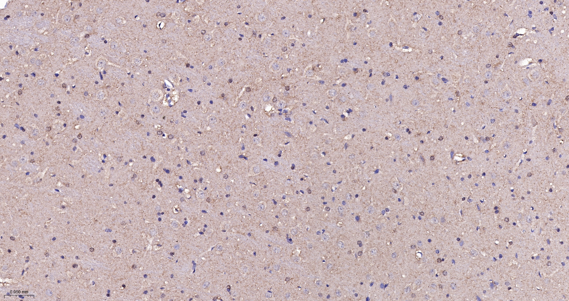
  • IHC-P
  • IHC-F
  • IF(IHC-P)

Reactivity

  • Human
  • Mouse
Overview
Catalog # bsm-62063r-100ul
Product Name CLSTN1 Recombinant Antibody
Applications WB, FCM, IHC-P, IHC-F, IF(IHC-P)
Reactivity Human, Mouse
Specifications
Conjugation Unconjugated
Host Rabbit
Source KLH conjugated synthetic peptide derived from human Calsyntenin 1
Clonality Recombinant
Isotype IgG
Concentration Lot dependent
Purification Purified by Protein A.
Storage Buffer 0.01M TBS (pH 7.4), 1% BSA, 0.02% Proclin 300, and 50% Glycerol
Storage Condition Shipped at 4C. Store at -20C for one year. Avoid repeated freeze/thaw cycles.
Target
Gene ID 22883
Swiss Prot O94985
Subcellular location Cytoplasm, Nucleus, Cell membrane
Synonyms Alcadein alpha 1; alcalpha1; alcalpha2; Calsyntenin 1; CDHR12; Clstn1; CS1; CSTN1; PIK3CD; XB31alpha.
Background Postsynaptic adhesion molecule that binds to presynaptic neurexins to mediate both excitatory and inhibitory synapse formation. Promotes synapse development by acting as a cell adhesion molecule at the postsynaptic membrane, which associates with neurexin-alpha at the presynaptic membrane.
Application Dilution
WB 1:500-2000
FCM FCM1:50-100
IHC-P IHC-P1:100-500
IHC-F IHC-F1:100-500
IF(IHC-P) IFIHC-P1:100-500