RECEIVE 25% OFF PUBLISHED ANTIBODIES WITH CODE "PUB25"! Offer valid for US customers and available internationally through distributors.

PMCA1 Recombinant Antibody

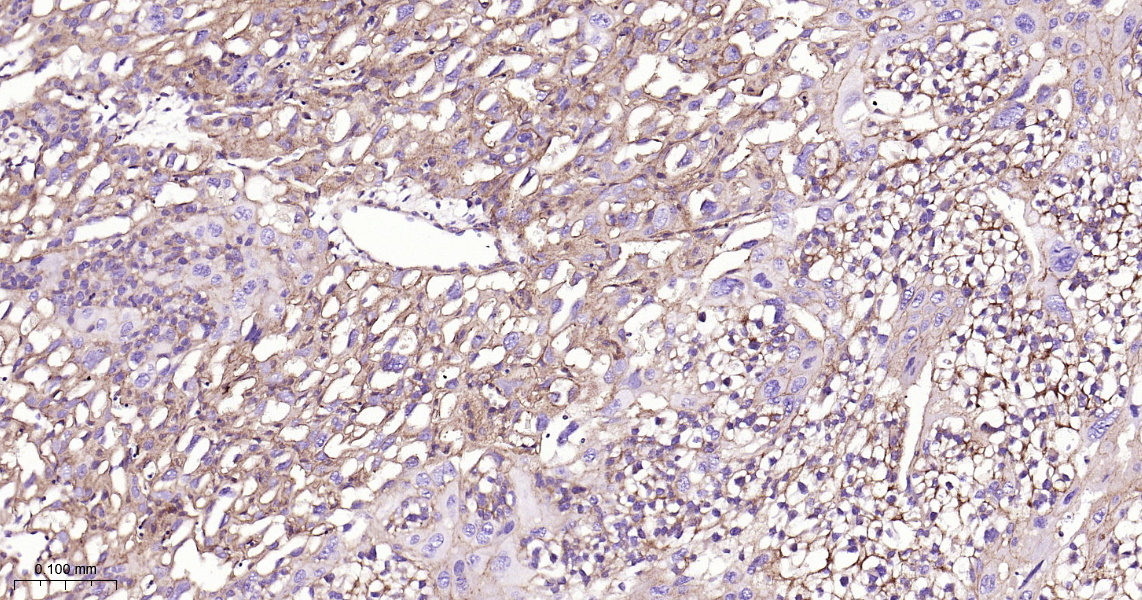
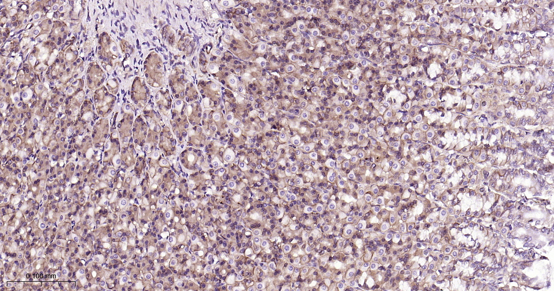
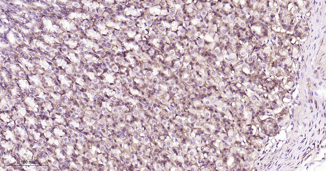
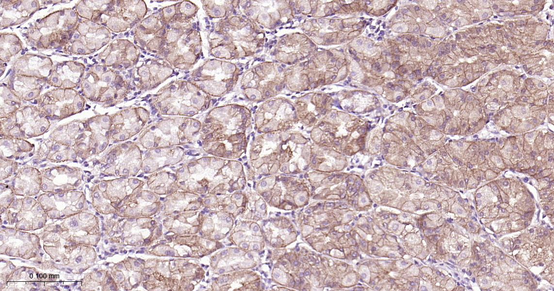
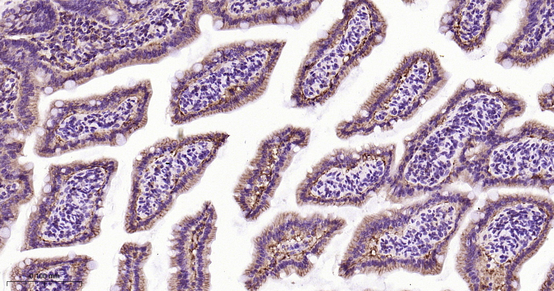
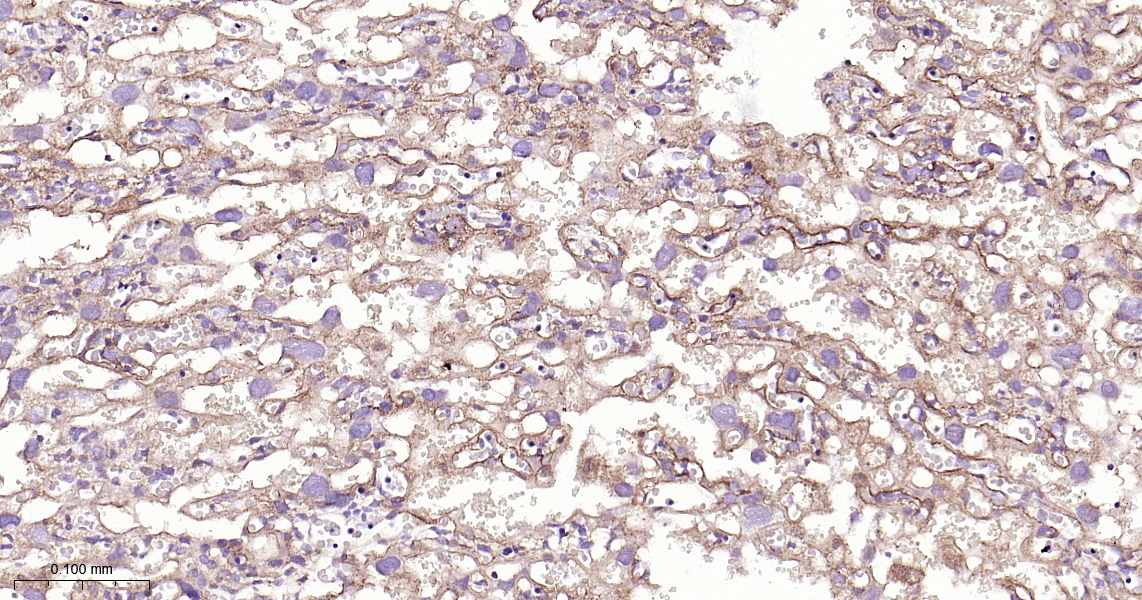
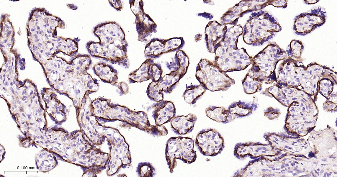
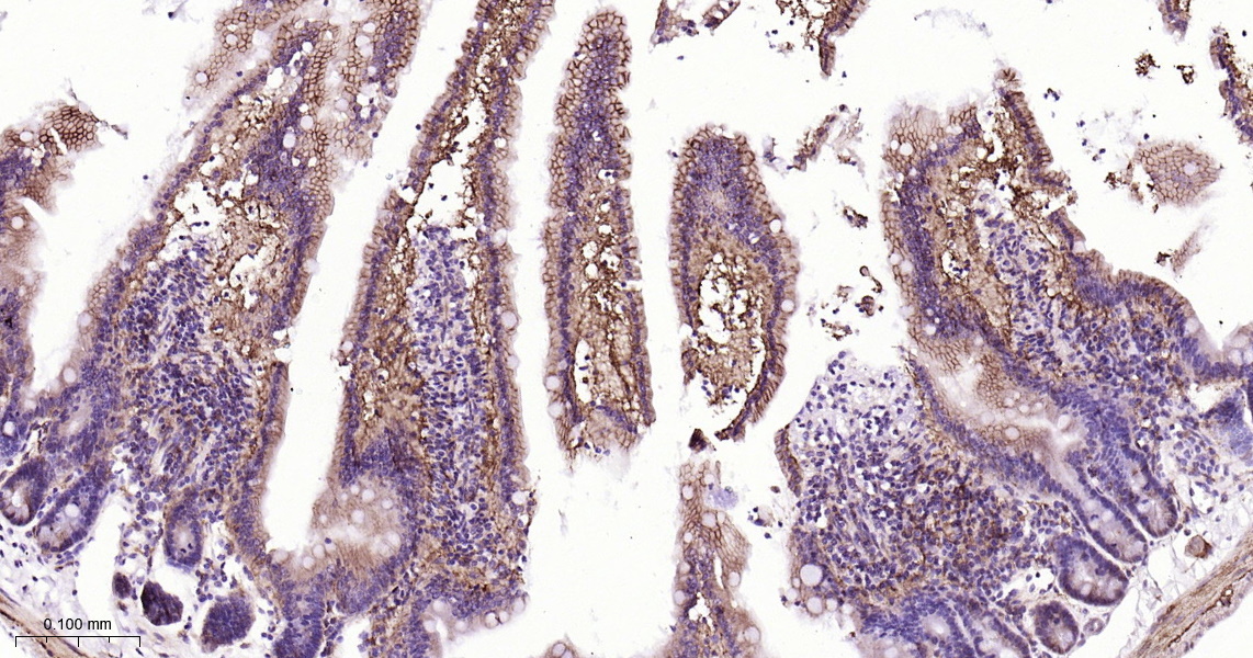
Applications

  • WB
  • IHC-P
  • IHC-F
  • IF(IHC-P)

Reactivity

  • Human
  • Mouse
  • Rat
Overview
Catalog # bsm-62073r-100ul
Product Name PMCA1 Recombinant Antibody
Applications WB, IHC-P, IHC-F, IF(IHC-P)
Reactivity Human, Mouse, Rat
Specifications
Conjugation Unconjugated
Host Rabbit
Source KLH conjugated synthetic peptide derived from human PMCA1
Clonality Recombinant
Isotype IgG
Concentration Lot dependent
Purification Purified by Protein A.
Storage Buffer 0.01M TBS (pH 7.4), 1% BSA, 0.02% Proclin 300, and 50% Glycerol
Storage Condition Shipped at 4C. Store at -20C for one year. Avoid repeated freeze/thaw cycles.
Target
Gene ID 490
Swiss Prot P20020
Subcellular location Cell membrane
Synonyms ATP2B1; PMCA1.
Background Catalyzes the hydrolysis of ATP coupled with the transport of calcium from the cytoplasm to the extracellular space thereby maintaining intracellular calcium homeostasis.
Application Dilution
WB 1:500-2000
IHC-P IHC-P1:50-200
IHC-F IHC-F1:50-200
IF(IHC-P) IFIHC-P1:50-200